


国际肿瘤学杂志››2025,Vol. 52››Issue (3): 152-157.doi:10.3760/cma.j.cn371439-20231016-00023
收稿日期:2023-10-16修回日期:2023-12-27出版日期:2025-03-08发布日期:2025-04-02通讯作者:王盛,Email:457573293@qq.comWang Yi1, Wang Qiangli1, Zhang Jia1, Yang Yijin1, Wang Sheng2(
)
Received:2023-10-16Revised:2023-12-27Online:2025-03-08Published:2025-04-02Contact:Wang Sheng,Email:
摘要:
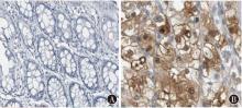
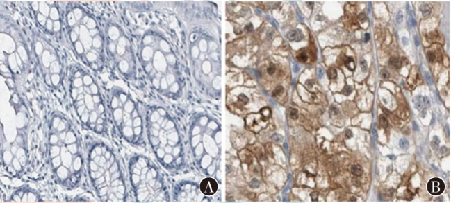
目的探讨结直肠癌肝转移(CRLM)患者癌组织中琥珀酸盐受体1(SUCNR1)和Y-框结合蛋白1(YBX1)表达及与临床病理特征和预后的关系。方法选取2016年1月至2020年5月在上海交通大学医学院苏州九龙医院接受手术治疗的105例CRLM患者为研究对象。比较癌组织及癌旁组织中SUCNR1、YBX1的高表达率;比较高、低SUCNR1、YBX1表达患者临床病理特征及预后情况;采用单因素与多因素Cox比例风险回归模型分析预后影响因素。结果SUCNR1在结直肠癌组织中染色主要定位于细胞膜, 阳性染色呈黄色或棕黄色;YBX1在结直肠癌组织中主要定位于细胞质, 阳性染色呈黄色或棕黄色。CRLM患者癌组织中SUCNR1高表达率为74.29%(78/105), 明显高于癌旁组织的27.62%(29/105);癌组织中YBX1高表达率为84.76%(89/105), 明显高于癌旁组织的32.38%(34/105), 差异均有统计学意义(χ2=45.75,P<0.001;χ2=59.36,P<0.001)。SUCNR1高表达与低表达患者组织学分级、肝转移距结直肠癌确诊时间差异均有统计学意义(χ2=7.43,P=0.006;χ2=9.19,P=0.002);YBX1高表达与低表达患者肝转移距结直肠癌确诊时间差异有统计学意义(χ2=13.08,P<0.001)。SUCNR1高表达与低表达患者3年总生存(OS)率分别为52.56%和77.78%, 差异有统计学意义(χ2=6.10,P=0.014);YBX1高表达与低表达患者3年OS率分别为53.93%和87.50%, 差异有统计学意义(χ2=6.02,P=0.014)。单因素分析显示, 组织学分级(HR=4.69, 95%CI为1.14~19.36,P=0.033)、肝转移距结直肠癌确诊时间(HR=4.05, 95%CI为1.02~16.62,P=0.048)、癌组织SUCNR1(HR=5.12, 95%CI为1.17~22.34,P=0.030)、YBX1表达(HR=6.29, 95%CI为1.55~25.47,P=0.010)均是CRLM患者OS的影响因素。多因素分析显示, 组织学分级(HR=4.16, 95%CI为1.12~15.54,P=0.034)、肝转移距结直肠癌确诊时间(HR=5.59, 95%CI为1.25~24.99,P=0.024)、癌组织SUCNR1表达(HR=3.68, 95%CI为1.28~10.54,P=0.015)、YBX1表达(HR=3.42, 95%CI为1.56~7.52,P=0.002)均是CRLM患者预后的独立影响因素。结论CRLM患者癌组织中SUCNR1和YBX1高表达率均高于癌旁组织, 高、低SUCNR1表达患者肿瘤组织学分级、肝转移距结直肠癌确诊时间有差异, 高、低YBX1表达患者肝转移距结直肠癌确诊时间有差异, SUCNR1、YBX1低表达患者3年OS率高于高表达患者, 组织学分级、肝转移距结直肠癌确诊时间、癌组织中SUCNR1、YBX1表达均是CRLM患者OS的独立影响因素。
王逸, 王强力, 张甲, 杨懿瑾, 王盛. 结直肠癌肝转移患者组织中SUCNR1和YBX1的表达与临床病理特征及预后的关系[J]. 国际肿瘤学杂志, 2025, 52(3): 152-157.
Wang Yi, Wang Qiangli, Zhang Jia, Yang Yijin, Wang Sheng. Relationship between the expression of SUCNR1 and YBX1 in tissues of patients with colorectal cancer liver metastases and their clinicopathological characteristics and prognosis[J]. Journal of International Oncology, 2025, 52(3): 152-157.
表1
高、低SUCNR1、YBX1表达CRLM患者临床病理特征比较[例(%)]"
| 临床病理特征 | SUCNR1 | χ2值 | P值 | YBX1 | χ2值 | P值 | ||
|---|---|---|---|---|---|---|---|---|
| 高表达(n=78) | 低表达(n=27) | 高表达(n=89) | 低表达(n=16) | |||||
| 性别 | ||||||||
| 男 | 52(66.67) | 20(74.07) | 0.51 | 0.475 | 60(67.42) | 12(75.00) | 0.36 | 0.547 |
| 女 | 26(33.33) | 7(25.93) | 29(32.58) | 4(25.00) | ||||
| 年龄(岁) | ||||||||
| ≥60 | 38(48.72) | 11(40.74) | 0.51 | 0.474 | 41(46.07) | 8(50.00) | 0.08 | 0.772 |
| <60 | 40(51.28) | 16(59.26) | 48(53.93) | 8(50.00) | ||||
| 原发部位 | ||||||||
| 结肠 | 53(67.95) | 22(81.48) | 1.80 | 0.180 | 62(69.66) | 13(81.25) | 0.42 | 0.520 |
| 直肠 | 25(32.05) | 5(18.52) | 27(30.34) | 3(18.75) | ||||
| 原发肿瘤类型 | ||||||||
| 腺癌 | 74(94.87) | 25(92.59) | <0.01 | >0.999 | 84(94.38) | 15(93.75) | 0.24 | 0.628 |
| 非腺癌 | 4(5.13) | 2(7.41) | 5(5.62) | 1(6.25) | ||||
| 组织学分级 | ||||||||
| Ⅰ~Ⅱ级 | 51(65.38) | 25(92.59) | 7.43 | 0.006 | 61(68.54) | 15(93.75) | 3.14 | 0.076 |
| Ⅲ~Ⅳ级 | 27(34.62) | 2(7.41) | 28(31.46) | 1(6.25) | ||||
| T分期 | ||||||||
| T1-2 | 14(19.95) | 9(33.33) | 2.78 | 0.096 | 17(19.10) | 6(37.50) | 1.72 | 0.190 |
| T3-4 | 64(82.05) | 18(66.67) | 72(80.90) | 10(62.50) | ||||
| N分期 | ||||||||
| N0 | 19(24.36) | 10(37.04) | 2.78 | 0.249 | 23(25.84) | 6(37.50) | 1.14 | 0.564 |
| N1 | 29(37.18) | 11(40.74) | 34(38.20) | 6(37.50) | ||||
| N2 | 30(38.46) | 6(22.22) | 32(35.96) | 4(25.00) | ||||
| 肝转移部位 | ||||||||
| 左或右半肝 | 51(65.38) | 23(85.19) | 3.78 | 0.052 | 61(68.54) | 13(81.25) | 0.53 | 0.466 |
| 双侧肝 | 27(34.62) | 4(14.81) | 28(31.46) | 3(18.75) | ||||
| 肝转移距结直肠癌确诊时间(年) | ||||||||
| ≤3 | 57(73.08) | 11(40.74) | 9.19 | 0.002 | 64(71.91) | 4(25.00) | 13.08 | <0.001 |
| >3 | 21(26.92) | 16(59.26) | 25(28.09) | 12(75.00) | ||||
| 转移病灶数目(个) | ||||||||
| 1~3 | 63(80.77) | 25(92.59) | 1.29 | 0.257 | 72(80.90) | 16(100) | 2.38 | 0.123 |
| >3 | 15(19.23) | 2(7.41) | 17(19.10) | 0(0) | ||||
| 转移灶最大直径(cm) | ||||||||
| >3 | 56(71.79) | 16(59.26) | 1.46 | 0.227 | 63(70.79) | 9(56.25) | 1.33 | 0.249 |
| ≤3 | 22(28.21) | 11(40.74) | 26(29.21) | 7(43.75) | ||||
| 同时性肝转移 | ||||||||
| 是 | 29(37.18) | 5(18.52) | 3.19 | 0.074 | 32(35.96) | 2(12.50) | 3.41 | 0.065 |
| 否 | 49(62.82) | 22(81.48) | 57(64.04) | 14(87.50) | ||||
| 手术切缘(cm) | ||||||||
| ≤1 | 23(29.49) | 9(33.33) | 0.14 | 0.708 | 27(30.34) | 5(31.25) | 0.24 | 0.628 |
| >1 | 55(70.51) | 18(66.67) | 62(69.66) | 11(68.75) | ||||
| 肝外转移 | ||||||||
| 有 | 16(20.51) | 2(7.41) | 1.59 | 0.207 | 18(20.22) | 0(0) | 2.61 | 0.106 |
| 无 | 62(79.49) | 25(92.59) | 71(79.78) | 16(100) | ||||
| [1] | Li J, Ma X, Chakravarti D, et al. Genetic and biological hallmarks of colorectal cancer[J].Genes Dev,2021,35(11-12): 787-820. DOI:10.1101/gad.348226.120. |
| [2] | Aykut B, Lidsky ME. Colorectal cancer liver metastases: multimodal therapy[J].Surg Oncol Clin N Am,2023,32(1): 119-141. DOI:10.1016/j.soc.2022.07.009. pmid:36410912 |
| [3] | Wu JY, Huang TW, Hsieh YT, et al. Cancer-derived succinate promotes macrophage polarization and cancer metastasis via succinate receptor[J].Mol Cell,2020,77(2): 213-227.e5. DOI:10.1016/j.molcel.2019.10.023. |
| [4] | Chen J, Li Z, Yue C, et al. Human umbilical cord mesenchymal stem cell-derived exosomes carrying miR-1827 downregulate SUCNR1 to inhibit macrophage M2 polarization and prevent colorectal liver metastasis[J].Apoptosis,2023,28(3-4): 549-565. DOI:10.1007/s10495-022-01798-x. pmid:36652132 |
| [5] | 裴正浩, 张虎, 王钧, 等. YBX1和FOXA1在胃癌中的表达及其临床病理学意义[J].肿瘤防治研究,2022,49(11): 1159-1164. DOI:10.3971/j.issn.1000-8578.2022.22.0189. |
| [6] | Zhao Y, Yang S, Nie H, et al. Promotion of colorectal cancer progression by immune-related lnc-SOX9-4 via suppression of YBX1 poly-ubiquitination and degradation[J].Cell Signal,2023,111: 110854. DOI:10.1016/j.cellsig.2023.110854. |
| [7] | Monteiro LS, Diniz-Freitas M, Warnakulasuriya S, et al. An immunohistochemical score to predict the outcome for oral squamous cell carcinoma[J].J Oral Pathol Med,2018,47(4): 375-381. DOI:10.1111/jop.12682. pmid:29344992 |
| [8] | Wang Y, Zhong X, He X, et al. Liver metastasis from colorectal cancer: pathogenetic development, immune landscape of the tumour microenvironment and therapeutic approaches[J].J Exp Clin Cancer Res,2023,42(1): 177-205. DOI:10.1186/s13046-023-02729-7. pmid:37480104 |
| [9] | Atallah R, Olschewski A, Heinemann A. Succinate at the crossroad of metabolism and angiogenesis: roles of SDH, HIF1α and SUCNR1[J].Biomedicines,2022,10(12): 3089. DOI:10.3390/biomedicines10123089. |
| [10] | Chen J, Cao L, Ma J, et al. HDAC8 promotes liver metastasis of colorectal cancer via inhibition of IRF1 and upregulation of SUCNR1[J].Oxid Med Cell Longev,2022,2022: 2815187. DOI:10.1155/2022/2815187. |
| [11] | 谷春杰.琥珀酸脱氢酶B在子宫内膜癌中表达和作用机制研究[D]. 无锡: 江南大学,2018. |
| [12] | Chen S, Li K, Guo J, et al. circNEIL3 inhibits tumor metastasis through recruiting the E3 ubiquitin ligase Nedd4L to degrade YBX1[J].Proc Natl Acad Sci U S A,2023,120(13): e2215132120. DOI:10.1073/pnas.2215132120. |
| [13] | 窦娟, 李恒宇, 陈静, 等. CK2α在甲状腺肿瘤中的表达及其在癌转移中的作用机制研究[J].肿瘤代谢与营养电子杂志,2021,8(3): 261-266. |
| [14] | 苏靖.YBX1与G3BP1相互作用调控SPP1促进肾癌转移的机制研究[D]. 天津: 天津医科大学,2019. |
| [15] | Cui G, Zhao H, Li L. Long noncoding RNA PRKCQ-AS1 promotes CRC cell proliferation and migration via modulating miR-1287-5p/YBX1 axis[J].J Cell Biochem,2020,121(10): 4166-4175. DOI:10.1002/jcb.29712. pmid:32619070 |
| [1] | 杨胜军, 任江, 杨丹, 龙宇, 商群献.非小细胞肺癌组织中miR-4262、NRG1的表达水平及临床意义[J]. 国际肿瘤学杂志, 2025, 52(3): 129-135. |
| [2] | 韩涛, 贾沛沛, 鲁静.iRhom1、iRhom2、TNF-α水平对宫颈癌患者预后的预测价值[J]. 国际肿瘤学杂志, 2025, 52(3): 158-162. |
| [3] | 王菲菲, 赵守香, 李颖, 王涛, 郭琴, 田胜南, 蔡晓珊.气球状细胞黑色素瘤肝转移1例[J]. 国际肿瘤学杂志, 2025, 52(3): 190-192. |
| [4] | 叶永英, 邹艳, 陈天明, 吴伟莉.时钟基因Period家族在头颈鳞状细胞癌中的研究进展[J]. 国际肿瘤学杂志, 2025, 52(2): 113-118. |
| [5] | 陈丹蕾, 邓隽军, 李淼.循环肿瘤细胞在肺癌中的临床应用进展[J]. 国际肿瘤学杂志, 2025, 52(2): 119-123. |
| [6] | 王智宝, 李广现, 张昕昕, 崔伟, 张微.MRI联合血清lncRNA KCNQ1OT1、miR-204-5p对乳腺癌腋窝淋巴结转移的预测价值[J]. 国际肿瘤学杂志, 2025, 52(2): 89-93. |
| [7] | 姬海涛, 王延峰, 刘永成, 郝楠.基于生物信息学分析DHCR7在胃癌中的表达及临床意义[J]. 国际肿瘤学杂志, 2025, 52(2): 94-100. |
| [8] | 余洋, 唐仕敏, 杨露, 李娜.pT2-3N0M0期胸段食管鳞状细胞癌治疗策略及预后影响因素研究进展[J]. 国际肿瘤学杂志, 2025, 52(1): 43-47. |
| [9] | 詹海峰, 谭子煊, 王文学, 耿嘉蔚.节律基因在结直肠癌发生发展和时辰疗法中的研究进展[J]. 国际肿瘤学杂志, 2025, 52(1): 60-64. |
| [10] | 韦伟, 蔡曌颖, 钱亚云.通关藤联合XELOX方案促进人结直肠癌HCT116细胞双硫死亡的作用[J]. 国际肿瘤学杂志, 2024, 51(9): 545-555. |
| [11] | 袁胜芳, 任婕, 林卫佳, 姬泽萱, 张长洪, 王布.EGFR共突变状态对晚期肺腺癌患者预后的价值研究[J]. 国际肿瘤学杂志, 2024, 51(9): 556-562. |
| [12] | 詹海峰, 王文学, 耿嘉蔚.晚期结直肠癌精准分子靶向治疗研究进展[J]. 国际肿瘤学杂志, 2024, 51(9): 601-605. |
| [13] | 倪国英, 黄骞, 梁洪享, 杨志勇, 丁颖丽.晚期非小细胞肺癌患者血清miR-499、miR-362水平变化及与预后的关系分析[J]. 国际肿瘤学杂志, 2024, 51(8): 487-492. |
| [14] | 孟珂心, 陆海军.口腔菌群:口腔鳞状细胞癌诊断和预后的生物标志物[J]. 国际肿瘤学杂志, 2024, 51(8): 515-519. |
| [15] | 李志伟, 翟春宝.中药多酚类成分抗结直肠癌作用研究进展[J]. 国际肿瘤学杂志, 2024, 51(8): 526-531. |
| 阅读次数 | ||||||
| 全文 |
|
|||||
| 摘要 |
|
|||||