国际肿瘤学杂志››2025,Vol. 52››Issue (2): 94-100.doi:10.3760/cma.j.cn371439-20240727-00014

• 论著 •上一篇下一篇

基于生物信息学分析DHCR7在胃癌中的表达及临床意义

姬海涛1, 王延峰1,2, 刘永成3(), 郝楠4

  1. 1延安大学附属医院检验科,延安 716000
    2陕西省人民医院肿瘤外科,西安 710000
    3延安大学附属医院病理科,延安 716000
    4西安交通大学第一附属医院肿瘤外科,西安 710000
  • 收稿日期:2024-07-27修回日期:2024-12-20出版日期:2025-02-08发布日期:2025-03-17
  • 通讯作者:刘永成 E-mail:109679168@qq.com
  • 基金资助:
    陕西省自然科学基础研究计划(2024JC-YBQN-0983);陕西省自然科学基础研究计划(2021JM-270);中国高校产学研创新基金-华通国康医学科研资助项目(2023HT056)

Expression and clinical significance of DHCR7 in gastric cancer based on bioinformatics analysis

Ji Haitao1, Wang Yanfeng1,2, Liu Yongcheng3(), Hao Nan4

  1. 1Department of Clinical Laboratory, Yan'an University Affiliated Hospital, Yan'an 716000, China
    2Department of Surgical Oncology, Shaanxi Provincial People's Hospital, Xi'an 710000, China
    3Department of Pathology, Yan'an University Affiliated Hospital, Yan'an 716000, China
    4Department of Surgical Oncology, First Affiliated Hospital of Xi'an Jiaotong University, Xi'an 710000, China
  • Received:2024-07-27Revised:2024-12-20Online:2025-02-08Published:2025-03-17
  • Contact:Liu Yongcheng E-mail:109679168@qq.com
  • Supported by:
    Shaanxi Provincial Natural Science Basic Research Program(2024JC-YBQN-0983);Shaanxi Provincial Natural Science Basic Research Program(2021JM-270);China University Industry-University-Research Innovation Foundation-Huatong Guokang Medical Research Funding Project(2023HT056)

摘要:

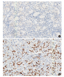
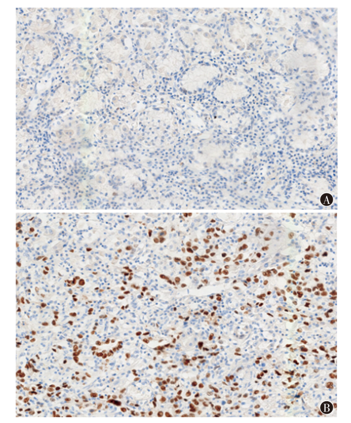
目的利用生物信息学方法探究7-脱氢胆固醇还原酶(DHCR7)在胃癌中的表达及其与患者临床病理特征和预后的关系。方法利用UALCAN数据库分析DHCR7在胃癌中的表达情况;采用Kaplan-Meier plotter数据库分析DHCR7 mRNA 表达及其与胃癌患者预后的关系;采用Sangerbox 3.0和TIMER数据库分析DHCR7的表达及其与肿瘤免疫浸润水平的相关性;利用实时荧光定量PCR检测DHCR7 mRNA在胃癌组织和癌旁组织中的表达;免疫组织化学染色检测胃癌组织和癌旁组织中DHCR7的表达及其与临床病理特征的相关性;采用受试者操作特征(ROC)曲线评估DHCR7表达对胃癌的诊断效能。结果UALCAN数据库分析结果显示,不同性别(χ2=18.15,P<0.001)、Grade分级(χ2=16.32,P<0.001)及TP53突变状态(χ2=20.12,P<0.001)的胃癌患者DHCR7 mRNA表达差异有统计学意义。生存分析显示,DHCR7高表达组胃癌患者的10年总生存(OS)率(HR=1.55,95%CI为1.31~1.84,P<0.001)、10年无进展生存(PFS)率(HR=1.67,95%CI为1.36~2.05,P<0.001)及10年进展后生存(PPS)率(HR=1.81,95%CI为1.43~2.28,P<0.001)显著低于DHCR7低表达组。免疫浸润分析显示,DHCR7表达与胃癌的综合评分(r=-0.51,P<0.001)、基质细胞评分(r=-0.48,P<0.001)、免疫细胞评分(r=-0.45,P<0.001)、CD4+T细胞(r=-3.01,P<0.001)、巨噬细胞(r=-0.40,P<0.001)、中性粒细胞(r=-0.32,P<0.001)及树突状细胞(r=-0.37,P<0.001)浸润水平均呈负相关,与胃癌细胞纯度呈正相关(r=0.15,P<0.001)。qRT-PCR结果显示,与癌旁组织(1.86±0.51)比较,DHCR7在胃癌组织中的表达(3.43±0.13)显著上调,差异有统计学意义(t=42.89,P<0.001)。DHCR7在正常胃黏膜细胞GES-1中的相对表达量为1.06±0.19,在4种胃癌细胞(HGC-27、AGS、SNU-1与SGC-7901)中的相对表达量分别为2.40±0.26、1.88±0.11、1.51±0.04和2.63±0.20,DHCR7在上述5种细胞中的表达差异有统计学意义(F=38.34,P<0.001),正常胃黏膜细胞的DHCR7相对表达量分别与上述4种胃癌细胞相比,差异均有统计学意义(P=0.002;P=0.003;P=0.017;P<0.001)。免疫组织化学结果显示,DHCR7在胃癌组织中的高表达率为80.0%(96/120),显著高于癌旁组织的68.3%(82/120)(χ2=56.84,P<0.001)。DHCR7高表达与低表达患者的肿瘤最大径(χ2=40.17,P<0.001)、组织学分级(χ2=16.20,P<0.001)及pTNM分期(χ2=16.99,P<0.001)差异均有统计学意义。ROC曲线分析结果显示,DHCR7表达水平诊断胃癌的曲线下面积(AUC)分别为0.76(基于TCGA数据库,95%CI为0.68~0.83,P<0.001)、0.97(120例胃癌临床样本,95%CI为0.95~0.99,P<0.001)。结论DHCR7在胃癌组织中高表达,并与患者不良预后密切相关,可能是胃癌诊断和预后的新型标志物。

关键词:胃肿瘤,DHCR7,计算信息学,预后,诊断

Abstract:

ObjectiveTo explore the expression of 7-dehydrocholesterol reductase (DHCR7) in gastric cancer using bioinformatics methods and its relationship with clinical pathological characteristics and prognosis of gastric cancer patients.MethodsDHCR7 expression in gastric cancer was analyzed using the UALCAN database; DHCR7 mRNA expression and its relationship with the prognosis of gastric cancer patients were analyzed using the Kaplan-Meier plotter database; The expression of DHCR7 and its correlation with tumor immune infiltration level were analyzed using Sangerbox 3.0 and TIMER database; Real-time fluorescence quantitative PCR was used to detect the expression of DHCR7 mRNA in gastric cancer tissues and adjacent tissues; immunohistochemical staining was conducted to detect the DHCR7 expression in gastric cancer tissues and adjacent tissues and its correlation with clinical pathological parameters; Receiver operator characteristic (ROC) curve was used to evaluate the efficacy of DHCR7 expression in the diagnosis of gastric cancer.ResultsThe analysis results of the UALCAN database showed that there were statistically significant differences in DHCR7 mRNA expression among gastric cancer patients of different genders (χ2=18.15,P<0.001), grades (χ2=16.32,P<0.001), and TP53 mutation status (χ2=20.12,P<0.001). Survival analysis showed that the 10-year overall survival (OS) rate (HR=1.55, 95%CI: 1.31-1.84,P<0.001), 10-year progression free survival (PFS) rate (HR=1.67, 95%CI: 1.36-2.05,P<0.001), and 10-year post progression survival (PPS) rate (HR=1.81, 95%CI: 1.43-2.28,P<0.001) of gastric cancer patients with high DHCR7 expression were significantly lower than those with low DHCR7 expression. Immune infiltration analysis showed the expression of DHCR7 was negatively correlated with the comprehensive score (r=-0.51,P<0.001), stromal cell score (r=-0.48,P<0.001), immune cell score (r=-0.45,P<0.001), CD4+T cells (r=-3.01,P<0.001), macrophages (r=-0.40,P<0.001), neutrophils (r=-0.32,P<0.001), and dendritic cells (r=-0.37,P<0.001) infiltration levels in gastric cancer, and positively correlated with the purity of gastric cancer cells (r=0.15,P<0.001). The qRT-PCR results showed that compared with adjacent tissues (1.86±0.51), the expression of DHCR7 in gastric cancer tissues (3.43±0.13) was significantly upregulated, with a statistically significant difference (t=42.89,P<0.001). The relative expression level of DHCR7 in normal gastric mucosal cells GES-1 was 1.06±0.19, and the relative expression levels in four types of gastric cancer cells (HGC-27, AGS, SNU-1, and SGC-7901) were 2.40±0.26, 1.88±0.11, 1.51±0.04, and 2.63±0.20, respectively,there were statistically significant differences in the expression of DHCR7 among the five types of cells (F=38.34,P<0.001), and the relative expression level of DHCR7 in normal gastric mucosal cells was statistically significant different compared to the four types of gastric cancer cells mentioned above (P=0.002;P=0.003;P=0.017;P<0.001);The immunohistochemical results showed that the high expression rate of DHCR7 in gastric cancer tissues was 80.0% (96/120), which was significantly higher than that in adjacent tissues (68.3%) (82/120) (χ2=56.84,P<0.001). There were statistically significant differences in tumor maximum diameter (χ2=40.17,P<0.001), histological grade (χ2=16.20,P<0.001) and pTNM stage (χ2=16.99,P<0.001) between patients with high and low DHCR7 expression. The ROC curve results showed that the area under the curve (AUC) of DHCR7 expression level for diagnosing gastric cancer were 0.76 (based on TCGA database, 95%CI: 0.68-0.83,P<0.001) and 0.97 (120 clinical samples of gastric cancer, 95%CI: 0.95-0.99,P<0.001), respectively.ConclusionsDHCR7 is highly expressed in gastric cancer and closely associated with poor prognosis in patients, which may be a novel biomarker for the diagnosis and prognosis of gastric cancer.

Key words:Stomach neoplasms,DHCR7,Computational informatics,Prognosis,Diagnosis

Baidu
map