


国际肿瘤学杂志››2025,Vol. 52››Issue (3): 190-192.doi:10.3760/cma.j.cn371439-20240914-00030
• 病例报道 •上一篇
王菲菲, 赵守香, 李颖, 王涛, 郭琴, 田胜南, 蔡晓珊(
)
收稿日期:2024-09-14修回日期:2024-11-22出版日期:2025-03-08发布日期:2025-04-02通讯作者:蔡晓珊,Email:caixiaoshan9025@126.com基金资助:
Received:2024-09-14Revised:2024-11-22Online:2025-03-08Published:2025-04-02摘要:
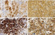
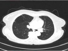
气球状细胞黑色素瘤(BCM)是原发性皮肤黑色素瘤中罕见的组织学类型,文献报道极少,现报道BCM肝转移患者1例,通过介绍该患者的临床病理资料,并观察其组织学形态及免疫表型特征,提升临床医师和病理科医师对此类皮肤转移癌的早期诊断及治疗水平,减少误诊和漏诊。
王菲菲, 赵守香, 李颖, 王涛, 郭琴, 田胜南, 蔡晓珊. 气球状细胞黑色素瘤肝转移1例[J]. 国际肿瘤学杂志, 2025, 52(3): 190-192.
| [1] | Gardner WA Jr, Vazquez MD. Balloon cell melanoma[J].Arch Pathol,1970,89(5): 470-472. |
| [2] | Messmer E, Bornfeld N, Foerster M, et al. Histopathologic findings in eyes treated with a ruthenium plaque for uveal melanoma[J].Graefes Arch Clin Exp Ophthalmol,1992,230(4): 391-396. DOI:10.1007/BF00165952. |
| [3] | Bal MM, Ramadwar M, Deodhar K. Balloon cell melanoma of the anal canal: a wolf in sheep's clothing?[J].J Cancer Res Ther,2013,9(4): 706-708. DOI:10.4103/0973-1482.126457. pmid:24518721 |
| [4] | McComiskey M, Iavazzo C, Datta M, et al. Balloon cell urethral melanoma: differential diagnosis and management[J].Case Rep Obstet Gynecol,2015,2015: 919584. DOI:10.1155/2015/919584. |
| [5] | Chaudhry H, Green V, Lin J, et al. An unusual case of primary gastric balloon cell melanoma[J].ACG Case Rep J,2023,10(2): e00976. DOI:10.14309/crj.0000000000000976. |
| [6] | Adamek D, Kaluza J, Stachura K. Primary balloon cell malignant melanoma of the right temporo-parietal region arising from meningeal naevus[J].Clin Neuropathol,1995,14(1): 29-32. pmid:7729077 |
| [7] | Iliadis A, Zaraboukas T, Selviaridis P, et al. Balloon cell melanoma metastasis to the temporal lobe[J].Indian J Pathol Microbiol,2017,60(4): 622-623. DOI:10.4103/IJPM.IJPM_741_16. |
| [8] | Kerper AL, Larsen BT, Folpe AL, et al. Primary pulmonary myxoid sarcoma and thoracic angiomatoid fibrous histiocytoma: two sides of the same coin?[J].Am J Surg Pathol,2024,48(5): 562-569. DOI:10.1097/PAS.0000000000002189. |
| [9] | Shaker N, Li Z, Bamporiki J, et al. Cutaneous balloon-cell melanoma metastases to the axillary lymph node: exploring cytomorphologic features and differential diagnoses on fine needle aspiration biopsy[J].Cytopathology,2024,35(3): 427-431. DOI:10.1111/cyt.13354. |
| [10] | Goto H, Shimauchi T, Fukuchi K, et al. Therapeutic effectiveness of immunoradiotherapy on brain-metastatic BRAF/MEK inhibitor-resistant melanoma with balloon cell change[J].Acta Derm Venereol,2019,99(6): 612-613. DOI:10.2340/00015555-3134. |
| [11] | Bures N, Monaco SE, Palekar A, et al. Cytomorphology of metastatic balloon cell melanoma[J].Diagn Cytopathol,2015,43(6): 485-487. DOI:10.1002/dc.23211. pmid:25346106 |
| [12] | Martinez F, Merenda G, Bedrossian CW. Lipid-rich metastatic balloon-cell melanoma: diagnosis by a multimodal approach to aspiration biopsy cytology[J].Diagn Cytopathol,1990,6(6): 427-433. DOI:10.1002/dc.2840060608. pmid:1705502 |
| [13] | Friedman BJ, Stoner R, Sahu J, et al. Association of clinical, dermoscopic, and histopathologic findings with gene expression in patients with balloon cell melanoma[J].JAMA Dermatol,2018,154(1): 77-81. DOI:10.1001/jamadermatol.2017.4700. pmid:29238799 |
| [14] | Ranchod M. Metastatic melanoma with balloon cell changes[J].Cancer,1972,30(4): 1006-1013. DOI:10.1002/1097-0142(197210)30:4<1006::aid-cncr2820300423>3.0.co;2-c. pmid:5079427 |
| [15] | Søndergaard K, Henschel A, Hou-Jensen K. Metastatic melanoma with balloon cell changes: an electron microscopic study[J].Ultrastruct Pathol,1980,1(3): 357-360. DOI:10.3109/01913128009141437. pmid:7233589 |
| [16] | Kokubo R, Saito K, Shirota N, et al. A case of primary clear cell hepatocellular carcinoma comprised mostly of clear cells[J].Radiol Case Rep,2019,14(11): 1377-1381. DOI:10.1016/j.radcr.2019.08.021. |
| [17] | Tahiri Elousrouti L, Hammas N, Elmernissi FZ, et al. Clear-cell sarcoma with an nnusual presentation mimicking metastatic melanoma[J].Cureus,2022,14(11): e32010. DOI:10.7759/cureus.32010. |
| [18] | Di Cosola M, Spirito F, Ambrosino M, et al. Sebaceous carcinoma of the lip: a case report and review of the literature[J].J Med Case Rep,2022,16(1): 241. DOI:10.1186/s13256-022-03435-2. |
| [19] | Demyashkin GA, Zibirov RF, Anurova OA, et al. Angiomyolipoma of the liver[J].Arkh Patol,2023,85(1): 70-73. DOI:10.17116/patol20238501170. pmid:36785965 |
| [20] | Chen YY, Lan CE, Yen MC, et al. Balloon cell melanoma possessed the ability to develop BRAFV600Emutation in cancer cells[J].Kaohsiung J Med Sci,2021,37(2): 154-155. DOI:10.1002/kjm2.12314. |
| [21] | Kao GF, Helwig EB, Graham JH. Balloon cell malignant melanoma of the skin: a clinicopathologic study of 34 cases with histochemical, immunohistochemical, and ultrastructural observations[J].Cancer,1992,69(12): 2942-2952. DOI:10.1002/1097-0142(19920615)69:12. pmid:1591688 |
| [22] | Abbas O, Miller DD, Bhawan J. Cutaneous malignant melanoma: update on diagnostic and prognostic biomarkers[J].Am J Dermatopathol,2014,36(5): 363-379. DOI:10.1097/DAD.0b013e31828a2ec5. pmid:24803061 |
| [23] | Sameer P, Srivastava P, Shukla S, et al. Anorectal balloon cell melanoma: a rare variant[J].Autops Case Rep,2023,13: e2023459. DOI:10.4322/acr.2023.459. |
| [1] | 王逸, 王强力, 张甲, 杨懿瑾, 王盛.结直肠癌肝转移患者组织中SUCNR1和YBX1的表达与临床病理特征及预后的关系[J]. 国际肿瘤学杂志, 2025, 52(3): 152-157. |
| [2] | 邢辉, 谭莹, 王秀珍, 李瑞, 刘霞.NLR、TNF-α水平对巨块型肝癌患者TACE联合微波消融治疗效果的预测分析[J]. 国际肿瘤学杂志, 2025, 52(2): 101-106. |
| [3] | 王智宝, 李广现, 张昕昕, 崔伟, 张微.MRI联合血清lncRNA KCNQ1OT1、miR-204-5p对乳腺癌腋窝淋巴结转移的预测价值[J]. 国际肿瘤学杂志, 2025, 52(2): 89-93. |
| [4] | 孟繁明.伊尼妥单抗联合卡培他滨治疗曲妥珠单抗经治的HER2阳性晚期乳腺癌1例[J]. 国际肿瘤学杂志, 2024, 51(8): 538-541. |
| [5] | 刘琴, 张强强, 杨继元, 胡艳.晚期前列腺癌双侧乳腺和腋窝淋巴结转移1例[J]. 国际肿瘤学杂志, 2024, 51(7): 478-480. |
| [6] | 陈红健, 张素青.血清miR-24-3p、H2AFX与肝癌患者临床病理特征及术后复发的关系研究[J]. 国际肿瘤学杂志, 2024, 51(6): 344-349. |
| [7] | 王盈, 刘楠, 郭兵.抗体药物偶联物在转移性乳腺癌治疗中的研究进展[J]. 国际肿瘤学杂志, 2024, 51(6): 364-369. |
| [8] | 李书月, 马辰莺, 周菊英, 徐晓婷, 秦颂兵.寡转移非小细胞肺癌的放疗进展[J]. 国际肿瘤学杂志, 2024, 51(3): 170-174. |
| [9] | 彭琴, 蔡玉婷, 王伟.KPNA2在肝癌中的研究进展[J]. 国际肿瘤学杂志, 2024, 51(3): 181-185. |
| [10] | 孙国宝, 杨倩, 庄庆春, 高斌斌, 孙晓刚, 宋伟, 沙丹.结直肠癌肝转移组织病理学生长方式研究进展[J]. 国际肿瘤学杂志, 2024, 51(2): 114-118. |
| [11] | 孙浩淼, 孙海波, 孙建岭.血清MAGEA3、HE4在肺癌患者辅助诊断中的应用价值[J]. 国际肿瘤学杂志, 2024, 51(12): 749-754. |
| [12] | 于德刚, 贾军梅.肺癌骨转移治疗的研究进展[J]. 国际肿瘤学杂志, 2024, 51(12): 789-793. |
| [13] | 罗毅君, 姚伟荣, 王晓莉.EGFR突变非小细胞肺癌脑转移靶向治疗进展[J]. 国际肿瘤学杂志, 2024, 51(11): 717-722. |
| [14] | 蒋琼, 余进洪.超声靶向微泡破坏技术在肝癌治疗中的应用研究进展[J]. 国际肿瘤学杂志, 2024, 51(11): 723-727. |
| [15] | 张冬茜, 张海光, 张晓茹, 郑璇, 韩素桂, 李颖, 郝春海.miR-9和miR-195-3p在原发性肝癌诊断中的应用及其在介入治疗前后的变化[J]. 国际肿瘤学杂志, 2024, 51(10): 627-631. |
| 阅读次数 | ||||||
| 全文 |
|
|||||
| 摘要 |
|
|||||