国际肿瘤学杂志››2025,Vol. 52››Issue (6): 360-365.doi:10.3760/cma.j.cn371439-20241030-00061

• 论著 •上一篇下一篇

血清MMP-9、FABP5联合MRI对原发性肝癌经皮穿刺射频消融术后疗效及复发的预测价值

杨小斌1, 蒋金泉2()

  1. 1空军军医大学第一附属医院介入手术中心,西安 710032
    2咸阳市第一人民医院血管介入科,咸阳 712000
  • 收稿日期:2024-10-30修回日期:2025-04-26出版日期:2025-06-08发布日期:2025-06-26
  • 通讯作者:蒋金泉 E-mail:xwnmx49@163.com

Predictive value of serum MMP-9, FABP5 combined with MRI for the efficacy and recurrence of primary liver cancer after percutaneous radiofrequency ablation

Yang Xiaobin1, Jiang Jinquan2()

  1. 1Interventional Surgery Center, First Affiliated Hospital of Air Force Medical University, Xi'an 710032, China
    2Department of Vascular Interventions, First People's Hospital of Xianyang, Xianyang 712000, China
  • Received:2024-10-30Revised:2025-04-26Online:2025-06-08Published:2025-06-26
  • Contact:Jiang Jinquan E-mail:xwnmx49@163.com

摘要:

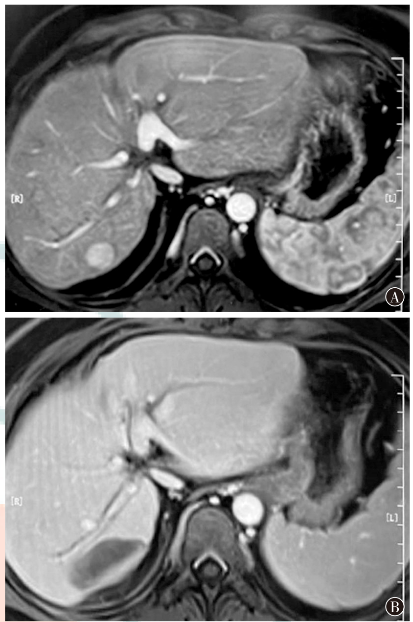
目的探究血清基质金属蛋白酶-9(MMP-9)、脂肪酸结合蛋白质5(FABP5)联合MRI对原发性肝癌经皮穿刺射频消融术后疗效及复发的预测价值。方法选择2022年6月至2023年5月于空军军医大学第一附属医院行经皮穿刺射频消融术治疗的192例原发性肝癌患者作为研究对象。术前一周内行MRI检查并记录表观扩散系数(ADC)值;采用酶联免疫吸附法测定血清MMP-9、FABP5的水平。根据MRI检查判断病灶消融情况,将患者分为完全消融组(n=157)和病灶残留组(n=35);对病灶完全消融患者定期随访1年,记录其复发情况,根据患者复发情况,将患者分为未复发组(n=115)和复发组(n=42)。比较完全消融组与病灶残留组、未复发组与复发组患者MMP-9、FABP5水平以及ADC值。采用受试者操作特征(ROC)曲线评估血清MMP-9、FABP5联合MRI对患者术后疗效和复发的预测价值。结果完全消融组患者血清MMP-9、FABP5水平、ADC值分别为(181.05±29.68)ng/ml、(7.95±1.82)μg/L、(1.32±0.45)×10-3mm2/s,病灶残留组分别为(202.18±35.06)ng/ml、(9.56±2.39)μg/L、(0.75±0.23)×10-3mm2/s,完全消融组MMP-9、FABP5水平均明显低于病灶残留组,ADC值明显高于病灶残留组,差异均有统计学意义(t=3.68,P<0.001;t=4.45,P<0.001;t=7.27,P<0.001)。血清MMP-9、FABP5、ADC值单独预测患者术后疗效的曲线下面积(AUC)分别为0.68(95%CI为0.61~0.75)、0.75(95%CI为0.68~0.81)和0.90(95%CI为0.85~0.94),三者联合预测的AUC为0.94(95%CI为0.89~0.97),三者联合优于MMP-9、FABP5、ADC值各自单独预测(Z=5.72,P<0.001;Z=4.84,P<0.001;Z=2.29,P=0.022)。未复发组患者血清MMP-9、FABP5水平、ADC值分别为(176.52±30.28)ng/ml、(8.69±1.92)μg/L、(1.35±0.29)×10-3mm2/s,复发组分别为(201.85±28.72)ng/ml、(11.05±2.86)μg/L、(1.14±0.12)×10-3mm2/s,未复发组患者血清MMP-9、FABP5水平均明显低于复发组,ADC值明显高于复发组,差异均有统计学意义(t=4.70,P<0.001;t=5.93,P<0.001;t=4.55,P<0.001)。血清MMP-9、FABP5、ADC值单独预测患者术后复发的AUC分别为0.74(95%CI为0.66~0.81)、0.90(95%CI为0.84~0.94)和0.74(95%CI为0.66~0.80),三者联合预测的AUC为0.95(95%CI为0.90~0.98),三者联合优于MMP-9、FABP5、ADC值各自单独预测(Z=5.00,P<0.001;Z=3.03,P=0.002;Z=5.33,P<0.001)。结论完全消融组经皮穿刺射频消融术治疗后原发性肝癌患者血清MMP-9、FABP5水平均明显低于病灶残留组,ADC值明显高于病灶残留组,未复发组患者血清MMP-9、FABP5水平亦明显低于复发组,ADC值亦明显高于复发组。血清MMP-9、FABP5联合MRI检测对肝癌经皮穿刺射频消融术后疗效和复发情况的预测具有较高的临床价值。

关键词:肝肿瘤,射频消融术,基质金属蛋白酶9,脂肪酸结合蛋白质5,磁共振成像

Abstract:

ObjectiveTo investigate the predictive value of serum matrix metalloproteinase-9 (MMP-9), fatty acid-binding protein 5 (FABP5) combined with MRI for the efficacy and recurrence of primary liver cancer after percutaneous radiofrequency ablation.MethodsA total of 192 patients with primary liver cancer who underwent percutaneous radiofrequency ablation treatment at the First Affiliated Hospital of Air Force Medical University from June 2022 to May 2023 were selected as the research subjects. MRI examination was performed within one week before the treatment, and the apparent diffusion coefficient (ADC) value was recorded. The enzyme-linked immunosorbent assay (ELISA) was used to determine the levels of MMP-9 and FABP5 in the serum. According to the results of MRI examination, the ablation status of the lesions was determined, and the patients were divided into a complete ablation group (n=157) and a residual lesion group (n=35). Patients with completely ablated lesions were regularly followed up for one year, and their recurrence status was recorded. According to the recurrence of the patients, the patients were divided into a non-recurrence group (n=115) and a recurrence group (n=42). The levels of MMP-9 and FABP5 and the ADC values of the patients in the complete ablation group and the residual lesion group, as well as those in the non-recurrence group and the recurrence group, were compared. The receiver operator characteristic (ROC) curve was used to evaluate the predictive value of serum MMP-9 and FABP5 combined with MRI for the postoperative efficacy and recurrence of the patients.ResultsThe levels of serum MMP-9 and FABP5, and the ADC value of patients in the complete ablation group were (181.05±29.68) ng/ml, (7.95±1.82) μg/L, and (1.32±0.45)×10-3mm²/s, respectively, while those in the residual lesion group were (202.18±35.06) ng/ml, (9.56±2.39) μg/L, and (0.75±0.23)×10-3mm²/s, respectively. The levels of MMP-9 and FABP5 in the complete ablation group were significantly lower than those in the residual lesion group, and the ADC value was significantly higher than that in the residual lesion group, with statistically significant differences (t=3.68,P<0.001;t=4.45,P<0.001;t=7.27,P<0.001). The areas under the curve (AUC) of serum MMP-9, FABP5, and ADC value alone in predicting the postoperative efficacy of patients were 0.68 (95%CI: 0.61-0.75), 0.75 (95%CI: 0.68-0.81), and 0.90 (95%CI: 0.85-0.94), respectively. The AUC of the combined prediction of these three was 0.94 (95%CI: 0.89-0.97), and the combined prediction of these three was superior to the individual prediction of MMP-9, FABP5, and ADC value (Z=5.72,P<0.001;Z=4.84,P<0.001;Z=2.29,P=0.022). The levels of serum MMP-9 and FABP5, and the ADC value of patients in the non-recurrence group were (176.52±30.28) ng/ml, (8.69±1.92) μg/L, and (1.35±0.29)×10-3mm²/s, respectively, while those in the recurrence group were (201.85±28.72) ng/ml, (11.05±2.86) μg/L, and (1.14±0.12)×10-3mm²/s, respectively. The levels of serum MMP-9 and FABP5 of patients in the non-recurrence group were significantly lower than those in the recurrence group, and the ADC value was significantly higher than that in the recurrence group, with statistically significant differences (t=4.70,P<0.001;t=5.93,P<0.001;t=4.55,P<0.001). The AUCs of serum MMP-9, FABP5, and ADC value alone in predicting the postoperative recurrence of patients were 0.74 (95%CI: 0.66-0.81), 0.90 (95%CI: 0.84-0.94), and 0.74 (95%CI: 0.66-0.80), respectively. The AUC of the combined prediction of these three was 0.95 (95%CI: 0.90-0.98), and the combined prediction of these three was superior to the individual prediction of MMP-9, FABP5, and ADC value (Z=5.00,P<0.001;Z=3.03,P=0.002;Z=5.33,P<0.001).ConclusionsThe levels of serum MMP-9 and FABP5 in patients with primary liver cancer treated by percutaneous radiofrequency ablation in the complete ablation group are significantly lower than those in the residual lesion group, and the ADC value is significantly higher than that in the residual lesion group. The levels of serum MMP-9 and FABP5 of patients in the non-recurrence group are also significantly lower than those in the recurrence group, and the ADC value is also significantly higher than that in the recurrence group. The combined detection of serum MMP-9, FABP5 and MRI has a relatively high clinical value in predicting the efficacy and recurrence of patients after percutaneous radiofrequency ablation for liver cancer.

Key words:Liver neoplasms,Radiofrequency ablation,Matrix metalloproteinase 9,Fatty acid binding protein 5,Magnetic resonance imaging

Baidu
map