国际肿瘤学杂志››2025,Vol. 52››Issue (6): 353-359.doi:10.3760/cma.j.cn371439-20241009-00060

• 论著 •上一篇下一篇

雷帕霉素动脉灌注联合负载131I-FAP的葡聚糖微球介入栓塞治疗兔肝移植瘤的效果

郝春海

  1. 唐山市人民医院肝胆外科,唐山 063000
  • 收稿日期:2024-10-09修回日期:2024-11-19出版日期:2025-06-08发布日期:2025-06-26

Efficacy of rapamycin arterial perfusion combined with131I-FAP loaded dextran microspheres for interventional embolization in the treatment of rabbits with liver transplantation tumor

Hao Chunhai

  1. Department of Hepatobiliary Surgery, Tangshan People's Hospital, Tangshan 063000, China
  • Received:2024-10-09Revised:2024-11-19Online:2025-06-08Published:2025-06-26

摘要:

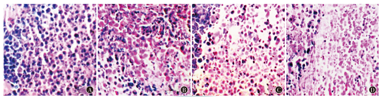
目的探究雷帕霉素动脉灌注联合负载131I-成纤维细胞活化蛋白(FAP)的葡聚糖微球介入栓塞治疗兔肝移植瘤的效果。方法选取50只雄性新西兰白兔,采用随机数字表法将40只白兔用于建模肝移植瘤,随机分为阴性对照组(基于动脉灌注同体积生理盐水,MO)组,雷帕霉素动脉灌注(RA)组,负载131I-FAP的葡聚糖微球介入栓塞治疗(IF)组,雷帕霉素动脉灌注联合负载131I-FAP的葡聚糖微球介入栓塞治疗(RI)组,每组10只;余10只未建模白兔为正常(基于动脉灌注同体积生理盐水,NO)组。采用HE染色检测肿瘤细胞病理形态,全自动生化分析仪检测肝功能,TUNEL法检测肿瘤细胞凋亡情况,蛋白质印迹法检测肝组织血管内皮生长因子(VEGF)、血管内皮生长因子受体(VEGFR)蛋白表达情况。结果MO组、RA组、IF组、RI组肿瘤质量分别为(20.33±2.39)、(14.62±1.23)、(14.34±1.22)、(8.28±0.84)g,肿瘤体积分别为(0.87±0.13)、(0.51±0.09)、(0.53±0.08)、(0.32±0.02)cm3,肿瘤坏死率分别为(21.11±2.14)%、(32.18±3.25)%、(32.29±3.28)%、(48.53±4.37)%,抑瘤率分别为(0.00±0.00)%、(24.66±2.47)%、(24.13±2.46)%、(45.55±4.51)%,差异均有统计学意义(F=316.40,P<0.001;F=159.50,P<0.001;F=356.10,P<0.001;F=571.30,P<0.001);与MO组比较,RA组、IF组、RI组差异均有统计学意义(均P<0.05);IF组与RI组比较,差异均有统计学意义(均P<0.05)。MO组肿瘤细胞呈浸润生长,核分裂像多见,未见明显坏死,可见大量炎性细胞浸润,RA组、IF组、RI组癌巢明显变小,肿瘤细胞出现肿胀、核固缩及大量坏死,炎性细胞浸润明显减轻,其中RI组改善最为明显。NO组、MO组、RA组、IF组、RI组白蛋白(ALB)水平分别为(40.55±4.38)、(17.34±1.02)、(22.65±2.18)、(22.37±2.17)、(29.01±2.83)g/L,丙氨酸氨基转移酶(ALT)水平分别为(19.68±1.34)、(92.17±9.24)、(78.71±7.39)、(78.35±7.40)、(50.30±5.12)U/L,天冬氨酸氨基转移酶(AST)水平分别为(74.27±7.48)、(182.21±20.23)、(165.78±16.05)、(165.26±16.09)、(102.33±11.11)U/L,总胆红素(TBIL)水平分别为(22.42±2.58)、(82.24±8.35)、(61.86±6.17)、(61.53±6.16)、(46.45±4.53)μmoL/L,差异均有统计学意义(F=105.90,P<0.001;F=189.00,P<0.001;F=99.57,P<0.001;F=142.10,P<0.001);与NO组比较,MO组、RA组、IF组、RI组差异均有统计学意义(均P<0.05);与MO组比较,RA组、IF组、RI组差异均有统计学意义(均P<0.05);IF组与RI组比较,差异均有统计学意义(均P<0.05)。MO组、RA组、IF组、RI组肿瘤细胞凋亡率分别为(9.01±1.23)%、(15.65±1.68)%、(15.72±1.69)%、(24.34±2.12)%,差异有统计学意义(F=135.30,P<0.001);与MO组比较,RA组、IF组、RI组差异均有统计学意义(均P<0.05);IF组与RI组比较,差异有统计学意义(P<0.05)。NO组、MO组、RA组、IF组、RI组VEGF表达水平分别为1.33±0.13、2.28±0.21、1.88±0.19、1.86±0.18、1.50±0.14,VEGFR表达水平分别为1.32±0.09、2.14±0.28、1.91±0.18、1.89±0.17、1.62±0.15,差异均有统计学意义(F=45.84,P<0.001;F=29.05,P<0.001);与NO组比较,MO组、RA组、IF组、RI组差异均有统计学意义(均P<0.05);与MO组比较,RA组、IF组、RI组差异均有统计学意义(均P<0.05);IF组与RI组比较,差异均有统计学意义(均P<0.05)。结论雷帕霉素动脉灌注联合负载131I-FAP的葡聚糖微球介入栓塞治疗兔肝移植瘤,可有效抑制肿瘤生长,提高肿瘤坏死率、抑瘤率以及凋亡能力,改善肝功能指标,对兔肝移植瘤有显著疗效。

关键词:肝肿瘤,兔,西罗莫司,栓塞,治疗性

Abstract:

ObjectiveTo investigate the efficacy of rapamycin arterial perfusion combined with131I-fibroblast activation protein (FAP) loaded dextran microspheres in the treatment of rabbits with liver transplantation tumor.MethodsFifty male New Zealand white rabbits were selected. Forty white rabbits were used to establish liver transplantation tumor models and were randomly divided into a negative control (based on arterial perfusion with the same volume of normal saline, MO) group, rapamycin arterial perfusion (RA) group,131I-FAP loaded dextran microspheres for interventional embolization therapy (IF) group, and rapamycin arterial perfusion combined with131I-FAP-loaded dextran microspheres interventional embolization therapy (RI) group by the random number table method, with 10 rabbits in each group. The remaining 10 unmodeled white rabbits were classified as the normal (based on arterial perfusion with the same volume of normal saline, NO) group. The pathological morphology of tumor tissues was detected by HE staining, liver function was detected by automatic biochemical analyzer, apoptosis of tumor cells was detected by TUNEL method, and the protein expression of vascular endothelial growth factor (VEGF) and vascular endothelial growth factor receptor (VEGFR) in liver tissues was detected by Western blotting.ResultsThe tumor mass of MO group, RA group, IF group and RI group was (20.33±2.39), (14.62±1.23), (14.34±1.22), (8.28±0.84) g, respectively. Tumor volumes were (0.87±0.13), (0.51±0.09), (0.53±0.08), (0.32±0.02) cm3, respectively. Tumor necrosis rates were (21.11±2.14)%, (32.18±3.25)%, (32.29±3.28)%, (48.53±4.37)%, respectively. Tumor suppression rates were (0.00±0.00)%, (24.66±2.47)%, (24.13±2.46)%, (45.55±4.51)%, respectively. There were statistically significant differences (F=316.40,P<0.001;F=159.50,P<0.001;F=356.10,P<0.001;F=571.30,P<0.001); there were statistically significant differences in RA, IF and RI groups compared with the MO group (allP<0.05); there were statistically significant differences between RI group and IF group (allP<0.05). Tumor cells of MO group showed infiltrating growth, with more mitotic images, no obvious necrosis, and a large number of inflammatory cell infiltration. Cancer nests in RA group, IF group and RI group became significantly smaller, tumor cells showed swelling, nuclear contraction and a large number of necrosis, and inflammatory cell infiltration was significantly reduced, among which the improvement was most obvious in RI group. The albumin (ALB) level of NO group, MO group, RA group, IF group and RI group was (40.55±4.38), (17.34±1.02), (22.65±2.18), (22.37±2.17), (29.01±2.83) g/L, respectively. The alanine aminotransferase (ALT) level was (19.68±1.34), (92.17±9.24), (78.71±7.39), (78.35±7.40), (50.30±5.12) U/L, respectively. The aspartate aminotransferase (AST) level was (74.27±7.48), (182.21±20.23), (165.78±16.05), (165.26±16.09), (102.33±11.11) U/L, respectively. The total bilirubin (TBIL) level was (22.42±2.58), (82.24±8.35), (61.86±6.17), (61.53±6.16), (46.45±4.53) μmoL/L, respectively. There were statistically significant differences (F=105.90,P<0.001;F=189.00,P<0.001;F=99.57,P<0.001;F=142.10,P<0.001); there were statistically significant differences in MO, RA, IF, RI groups compared with the NO group (allP<0.05); there were statistically significant differences in RA, IF, RI groups compared with the MO group (allP<0.05); there were statistically significant differences between IF group and RI group (allP<0.05). The apoptosis rates in MO group, RA group, IF group and RI group were (9.01±1.23)%, (15.65±1.68)%, (15.72±1.69)% and (24.34±2.12)%, respectively, and there was a statistically significant difference (F=135.30,P<0.001); there were statistically significant differences in RA, IF and RI groups compared with the MO group (allP<0.05); there was a statistically significant difference between RI group and IF group (P<0.05). VEGF expression level in NO group, MO group, RA group, IF group and RI group was 1.33±0.13, 2.28±0.21, 1.88±0.19, 1.86±0.18 and 1.50±0.14, respectively. VEGFR expression level was 1.32±0.09, 2.14±0.28, 1.91±0.18, 1.89±0.17, 1.62±0.15, respectively. There were statistically significant differences (F=45.84,P<0.001;F=29.05,P<0.001); there were statistically significant differences in MO, RA, IF, RI groups compared with the NO group (allP<0.05); there were statistically significant differences in RA, IF, RI groups compared with the MO group (allP<0.05); there were statistically significant differences between IF group and RI group (bothP<0.05).ConclusionsRapamycin arterial perfusion combined with131I-FAP-loaded dextran microspheres interventional embolization therapy in the treatment of rabbits with liver transplantation tumor can effectively inhibit tumor growth, enhance the tumor necrosis rate, tumor inhibition rate and apoptotic ability, improve liver function indicators, and has a significant therapeutic effect on rabbits with liver transplantation tumor.

Key words:Liver neoplasms,Rabbits,Sirolimus,Embolization, therapeutic

Baidu
map