国际肿瘤学杂志 ›› 2022, Vol. 49 ›› Issue (10): 592-596.doi: 10.3760/cma.j.cn371439-20220429-00117

• 论著 • 上一篇    下一篇

超声造影联合血清CXCL8、CXCR2在原发性肝癌经导管动脉化疗栓塞术后疗效评估中的价值分析

张玉敏1, 赵现伟1, 何前进2, 陈杰能1()   

  1. 1湖北省黄冈市中心医院超声医学科,黄冈 438000
    2湖北省黄冈市中心医院肝胆外科,黄冈 438000
  • 收稿日期:2022-04-29 修回日期:2022-09-09 出版日期:2022-10-08 发布日期:2022-12-01
  • 通讯作者: 陈杰能 E-mail:17156329758@163.com
  • 基金资助:
    湖北省卫生健康委卫生健康科研项目(WJ2021M086)

Value of contrast-enhanced ultrasound combined with serum CXCL8 and CXCR2 in the evaluation of postoperative efficacy of transcatheter arterial chemoembolization for primary liver cancer

Zhang Yumin1, Zhao Xianwei1, He Qianjin2, Chen Jieneng1()   

  1. 1Department of Ultrasound Medicine, Huanggang Central Hospital of Hubei Province, Huanggang 438000, China
    2Department of Hepatobiliary Surgery, Huanggang Central Hospital of Hubei Province, Huanggang 438000, China
  • Received:2022-04-29 Revised:2022-09-09 Online:2022-10-08 Published:2022-12-01
  • Contact: Chen Jieneng E-mail:17156329758@163.com
  • Supported by:
    Health Research Project of Hubei Provincial Health Commission(WJ2021M086)

摘要:

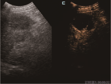
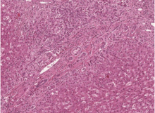
目的 探讨超声造影联合血清CXC趋化因子配体8(CXCL8)、CXC趋化因子受体2(CXCR2)水平检测在原发性肝癌患者经导管动脉化疗栓塞术(TACE)治疗后疗效评估中的应用价值。方法 选取2019年6月至2022年1月湖北省黄冈市中心医院诊治的80例原发性肝癌患者为研究对象,TACE治疗2个月后评估治疗疗效,根据病理诊断结果分为完全灭活组(n=30)和病灶残留组(n=50)。采用酶联免疫吸附双抗体夹心法检测患者血清CXCL8、CXCR2水平,并对患者进行超声造影检查;采用受试者工作特征(ROC)曲线分析血清CXCL8、CXCR2评估原发性肝癌患者TACE治疗后疗效的价值;超声造影及超声造影联合血清CXCL8、CXCR2评估原发性肝癌患者TACE治疗后疗效与病理诊断结果的一致性采用Kappa检验。结果 与完全灭活组比较,病灶残留组血清CXCL8[(7.12±1.68)ng/ml vs. (5.07±1.25)ng/ml]、CXCR2[(3.62±0.79)ng/ml vs. (2.43±0.67)ng/ml]水平均较高(t=5.79,P<0.001;t=6.89,P<0.001)。CXCL8、CXCR2评估原发性肝癌患者TACE治疗后疗效的曲线下面积分别为0.827、0.801,特异性分别为73.3%、76.7%,敏感性分别为70.0%、72.0%。超声造影评估原发性肝癌患者TACE治疗后疗效与病理诊断结果一致性为中度,Kappa值为0.49(P<0.001)。超声造影联合血清CXCL8、CXCR2评估原发性肝癌患者TACE治疗后疗效与病理诊断结果一致性为较高,Kappa值为0.62(P<0.001)。超声造影联合血清CXCL8、CXCR2评估原发性肝癌患者TACE治疗后疗效的敏感性为90.0%,高于超声造影(72.0%,χ2=5.26,P=0.022)、CXCL8(70.0%,χ2=6.25,P=0.012)和CXCR2(72.0%,χ2=5.26,P=0.022)单独评估。结论 超声造影可一定程度检出原发性肝癌患者TACE治疗后的病灶残留,且其联合血清CXCL8、CXCR2可有效提高原发性肝癌患者TACE治疗后疗效的评估效能。

关键词: 肝肿瘤, 超声检查, 造影剂, 经导管动脉化疗栓塞术

Abstract:

Objective To investigate the application value of contrast-enhanced ultrasound combined with serum CXC chemokine ligand 8 (CXCL8) and CXC chemokine receptor 2 (CXCR2) levels detection in the efficacy evaluation of patients with primary liver cancer after transcatheter arterial chemoembolization (TACE). Methods A total of 80 patients with primary liver cancer who were diagnosed and treated in Huanggang Central Hospital of Hubei Province from June 2019 to January 2022 were selected as the research objects. The therapeutic efficacy was evaluated 2 months after TACE treatment. According to the pathological diagnosis, the patients were divided into complete inactivation group (n=30) and residual lesion group (n=50). The levels of serum CXCL8 and CXCR2 were measured by enzyme linked immunosorbent assay (ELISA) double antibody sandwich method, and contrast-enhanced ultrasonography was performed on the patients. Receiver operating characteristic (ROC) curve was applied to analyze the value of serum CXCL8 and CXCR2 in evaluating the efficacy of TACE in patients with primary liver cancer. Kappa test was applied to test the consistency of contrast-enhanced ultrasound and contrast-enhanced ultrasound combined with serum CXCL8 and CXCR2 in evaluating the efficacy of TACE in patients with primary liver cancer and the results of pathological diagnosis. Results Compared with the complete inactivation group, the levels of serum CXCL8 [(7.12±1.68) ng/ml vs. (5.07±1.25) ng/ml] and CXCR2 [(3.62±0.79) ng/ml vs. (2.43±0.67) ng/ml] in the residual lesion group were obviously higher (t=5.79, P<0.001; t=6.89, P<0.001). The areas under the curve of CXCL8 and CXCR2 in evaluating the efficacy of TACE in patients with primary liver cancer were 0.827 and 0.801 respectively, the specificities were 73.3% and 76.7%, and the sensitivities were 70.0% and 72.0% respectively. The concordance between contrast-enhanced ultrasound and pathological diagnosis was moderate, and the Kappa value was 0.49 (P<0.001). The concordance between contrast-enhanced ultrasound combined with serum CXCL8 and CXCR2 and pathological diagnosis was high, and the Kappa value was 0.62 (P<0.001). The sensitivity of contrast-enhanced ultrasound combined with serum CXCL8 and CXCR2 in evaluating the efficacy of TACE in patients with primary liver cancer was 90.0%, which was higher than the sensitivity of contrast-enhanced ultrasound (72.0%, χ2=5.26, P=0.022), CXCL8 (70.0%, χ2=6.25, P=0.012) and CXCR2 (72.0%, χ2=5.26, P=0.022). Conclusion Contrast-enhanced ultrasound can detect residual lesions after TACE in patients with primary liver cancer to a certain extent, and its combination with serum CXCL8 and CXCR2 can effectively improve the evaluation efficiency of the efficacy of TACE treatment in patients with primary liver cancer.

Key words: Liver neoplasms, Ultrasonography, Contrast media, Transcatheter arterial chemoembolization

Baidu
map