


国际肿瘤学杂志››2025,Vol. 52››Issue (7): 448-454.doi:10.3760/cma.j.cn371439-20250217-00078
李成强1,2, 王云刚1,2, 余以珊3, 吴仕章1,2, 陶城1,2, 马星民1,2, 戴天缘1,2, 段敬豪1,2, 陈进琥1,2, 白曈1,2, 朱健1,2(
)
收稿日期:2025-02-17修回日期:2025-05-19出版日期:2025-07-08发布日期:2025-07-23通讯作者:朱健 E-mail:zhujian@sdfmu.edu.cn基金资助:
Li Chengqiang1,2, Wang Yungang1,2, Yu Yishan3, Wu Shizhang1,2, Tao Cheng1,2, Ma Xingmin1,2, Dai Tianyuan1,2, Duan Jinghao1,2, Chen Jinhu1,2, Bai Tong1,2, Zhu Jian1,2(
)
Received:2025-02-17Revised:2025-05-19Online:2025-07-08Published:2025-07-23Contact:Zhu Jian E-mail:zhujian@sdfmu.edu.cnSupported by:
摘要:
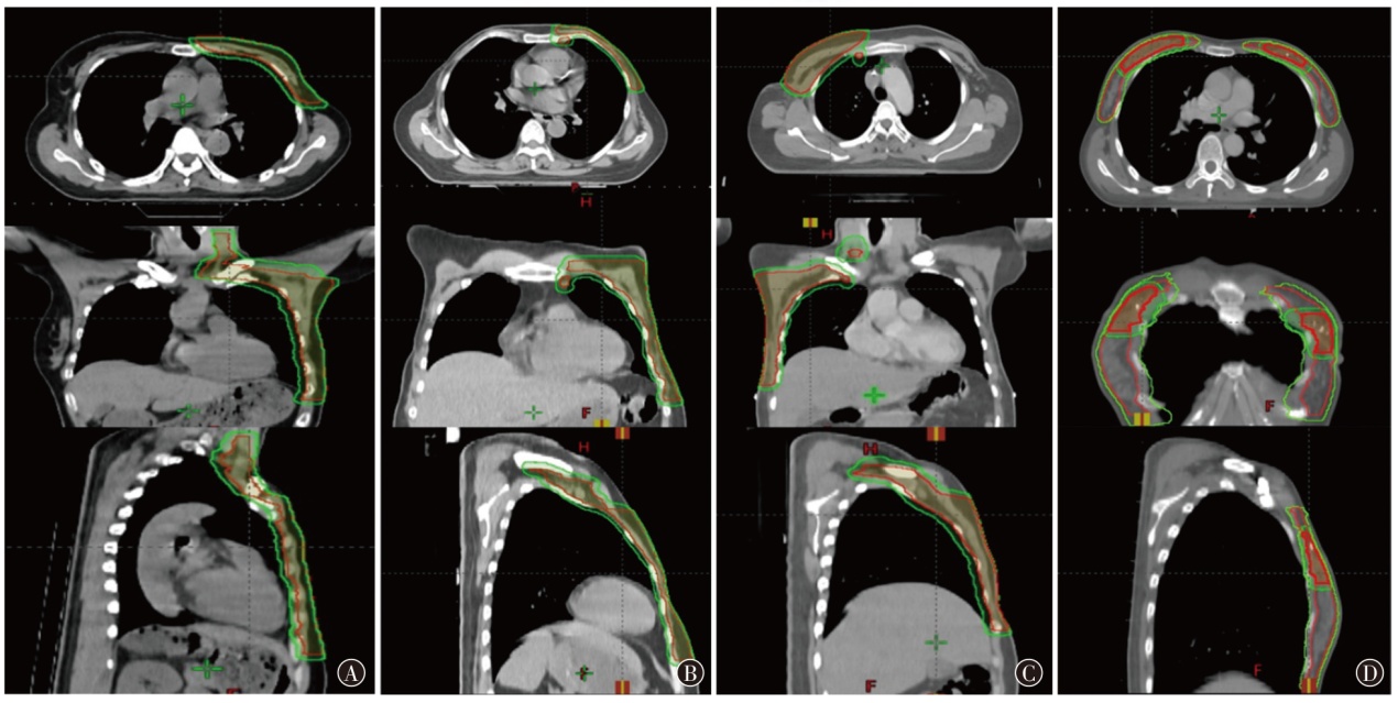
目的探索质子放疗和光子放疗应用于乳腺癌治疗的剂量学特点。方法选取2024年1月至2024年5月在山东省肿瘤防治研究院(山东省肿瘤医院)需行放疗的4例女性乳腺癌患者为研究对象,靶区范围分别为左侧胸壁加左侧锁骨上下淋巴引流区、左侧胸壁加左侧内乳、锁骨上下淋巴引流区、右侧胸壁加右侧内乳、锁骨上下淋巴引流区和双乳腺并瘤床加量。根据靶区处方剂量和危及器官限量要求,分别设计质子调强放疗(IMPT)、光子固定野调强放疗(IMRT)(双侧乳腺为螺旋断层放疗)计划。评估各计划靶区的适形指数(CI)、均匀性指数(HI)、梯度指数(GI)及危及器官受量,对比IMPT和光子放疗的剂量学特点。结果4例乳腺癌患者的IMPT和光子放疗计划均能满足临床要求,其中IMPT计划HI值(0.10~0.14)与光子放疗计划(0.10~0.12)相当,光子放疗计划的平均CI较IMPT计划高0.10,平均GI较IMPT计划低0.55。IMPT计划的患侧肺和心脏的Dmean更低,特别在低剂量区域(V0-3)显著少于光子放疗计划;患侧肺的Dmean分别降低了12.2%、6.1%、16.1%和34.8%,心脏的Dmean分别降低了47.2%、57.0%、72.4%和83.0%。IMPT计划的患侧肺V20并不比光子放疗计划更低(单侧乳腺:IMPT为30.0%~34.0%,IMRT为29.0%~35.9%)。结论IMPT在保证乳腺癌靶区覆盖的情况下显著降低了患侧肺和心脏的Dmean,使更多区域不受照射、保护周边更多的正常组织。但是在患侧肺的V20方面,IMPT并未表现出比光子放疗计划更有优势。
李成强, 王云刚, 余以珊, 吴仕章, 陶城, 马星民, 戴天缘, 段敬豪, 陈进琥, 白曈, 朱健. 乳腺癌4例质子放疗剂量学特点分析[J]. 国际肿瘤学杂志, 2025, 52(7): 448-454.
Li Chengqiang, Wang Yungang, Yu Yishan, Wu Shizhang, Tao Cheng, Ma Xingmin, Dai Tianyuan, Duan Jinghao, Chen Jinhu, Bai Tong, Zhu Jian. Analysis of dosimetric characteristics of proton radiotherapy in 4 cases of breast cancer[J]. Journal of International Oncology, 2025, 52(7): 448-454.
表1
4例乳腺癌患者基本信息"
| 序号 | 靶区位置 | 年龄(岁) | 靶区范围 | 放疗计划及处方剂量 |
|---|---|---|---|---|
| 1 | 左侧 | 53 | 左侧胸壁加左侧锁骨上下淋巴引流区 | IMRT:50 Gy/25 f;IMPT:50 Gy(RBE)/25 f |
| 2 | 左侧 | 60 | 左侧胸壁加左侧内乳、锁骨上下淋巴引流区 | IMRT:50 Gy/25 f;IMPT:50 Gy(RBE)/25 f |
| 3 | 右侧 | 48 | 右侧胸壁加右侧内乳、锁骨上下淋巴引流区 | IMRT:50 Gy/25 f;IMPT:50 Gy(RBE)/25 f |
| 4 | 双侧 | 44 | 双侧乳腺并瘤床加量 |
TOMO:乳腺50.4 Gy/28 f、瘤床64.4 Gy/28 f;IMPT: 乳腺50.4 Gy(RBE)/28 f、瘤床64.4 Gy(RBE)/28 f |
表2
4例乳腺癌患者光子计划和IMPT计划中靶区和危及器官剂量学指标统计表"
| 剂量学 指标 |
病例1(左侧乳腺) | 病例2(左侧乳腺) | 病例3(右侧乳腺) | 病例4(双侧乳腺) | |||||||
|---|---|---|---|---|---|---|---|---|---|---|---|
| IMRT | IMPT | IMRT | IMPT | IMRT | IMPT | TOMO | IMPT | ||||
| 靶区 | |||||||||||
| CI | 0.74 | 0.71 | 0.81 | 0.58 | 0.84 | 0.68 | 0.64(瘤床)/0.57(乳腺) | 0.53(瘤床)/0.55(乳腺) | |||
| HI | 0.12 | 0.14 | 0.13 | 0.13 | 0.10 | 0.10 | 0.10(瘤床) | 0.10(瘤床) | |||
| GI | 2.18 | 2.72 | 2.87 | 3.73 | 2.54 | 3.04 | 2.5(乳腺) | 2.8(乳腺) | |||
| 肺(左) | |||||||||||
| V5(%) | 53.9 | 58.7 | 49.6 | 52.8 | 1.8 | 0.0 | 29.6 | 28.5 | |||
| V20(%) | 29.0 | 30.0 | 32.4 | 32.5 | 0.0 | 0.0 | 15.8 | 12.4 | |||
| V30(%) | 23.3 | 17.2 | 22.2 | 21.0 | 0.0 | 0.0 | 11.1 | 6.1 | |||
| Dmean[Gy/Gy(RBE)] | 15.6 | 13.7 | 14.7 | 13.8 | 1.2 | 0.1 | 8.9 | 6.0 | |||
| 肺(右) | |||||||||||
| V5(%) | 0.2 | 4.1 | 0.8 | 0.3 | 58.1 | 57.1 | 37.6 | 31.8 | |||
| V20(%) | 0.0 | 0.0 | 0.0 | 0.0 | 35.9 | 34.0 | 16.1 | 10.7 | |||
| V30(%) | 0.0 | 0.0 | 0.0 | 0.0 | 26.6 | 21.0 | 10.8 | 3.9 | |||
| Dmean[Gy/Gy(RBE)] | 0.6 | 0.9 | 1.0 | 0.1 | 17.4 | 14.6 | 9.3 | 5.9 | |||
| 心脏 | |||||||||||
| V5(%) | 13.7 | 15.3 | 40.1 | 16.5 | 26.9 | 4.6 | 19.7 | 4.9 | |||
| V10(%) | 9.4 | 10.6 | 19.5 | 12.1 | 3.7 | 2.5 | 7.3 | 2.8 | |||
| V20(%) | 7.5 | 4.6 | 11.0 | 6.6 | 0.0 | 0.7 | 3.5 | 0.8 | |||
| Dmean[Gy/Gy(RBE)] | 5.3 | 2.8 | 7.9 | 3.4 | 2.9 | 0.8 | 4.7 | 0.8 | |||
| 脊髓 | |||||||||||
| Dmax[Gy/Gy(RBE)] | 31.4 | 19.1 | 29.2 | 24.8 | 26.5 | 26.2 | 1.1 | 0.0 | |||
| body(cm3) | |||||||||||
| 5%D处方剂量 | 3 560 | 2 870 | 4 629 | 2 942 | 4 689 | 2 777 | 4 773 | 2 963 | |||
| 15%D处方剂量 | 2 476 | 2 007 | 2 903 | 2 121 | 2 992 | 2 010 | 3 418 | 2 105 | |||
| 25%D处方剂量 | 1 872 | 1 534 | 1 967 | 1 629 | 1 989 | 1 567 | 2 575 | 1 611 | |||
| [1] | Bray F, Laversanne M, Sung H, et al. Global cancer statistics 2022: GLOBOCAN estimates of incidence and mortality worldwide for 36 cancers in 185 countries[J].CA Cancer J Clin,2024,74(3): 229-263. DOI:10.3322/caac.21834. |
| [2] | Kirby AM, Haviland JS, Mackenzie M, et al. Proton beam therapy in breast cancer patients: the UK PARABLE trial is recruiting[J].Clin Oncol (R Coll Radiol),2023,35(6): 347-350. DOI:10.1016/j.clon.2023.02.015. pmid:36933970 |
| [3] | Wilson F, Gupta P, Halvorsen H, et al. A systematic review of deep inspiration breath hold and free breathing in proton beam therapy plans for breast cancer radiotherapy[J].Clin Oncol,2025,40: 103782. DOI:10.1016/j.clon.2025.103782. |
| [4] | Taylor CW, Wang Z, Macaulay E, et al. Exposure of the heart in breast cancer radiation therapy: a systematic review of heart doses published during 2003 to 2013[J].Int J Radiat Oncol Biol Phys,2015,93(4): 845-853. DOI:10.1016/j.ijrobp.2015.07.2292. |
| [5] | 朱琪伟, 崔娟娟, 张紫寒, 等. 左侧乳腺癌术后内乳区域淋巴结照射的心脏剂量学分析和生命质量评估[J].国际肿瘤学杂志,2023,50(1): 17-21. DOI:10.3760/cma.j.cn371439-20221123-00003. |
| [6] | Darby SC, Ewertz M, McGale P, et al. Risk of ischemic heart disease in women after radiotherapy for breast cancer[J].N Engl J Med,2013,368(11): 987-998. DOI:10.1056/NEJMoa1209825. |
| [7] | Whelan TJ, Olivotto IA, Parulekar WR, et al. Regional nodal irradiation in early-stage breast cancer[J].N Engl J Med,2015,373(4): 307-316. DOI:10.1056/NEJMoa1415340. |
| [8] | Jeulink M, Dahele M, Meijnen P, et al. Is there a preferred IMRT technique for left-breast irradiation?[J].J Appl Clin Med Phys,2015,16(3): 5266. DOI:10.1120/jacmp.v16i3.5266. |
| [9] | Ma C, Zhang W, Lu J, et al. Dosimetric comparison and evaluation of three radiotherapy techniques for use after modified radical mastectomy for locally advanced left-sided breast cancer[J].Sci Rep,2015,5: 12274. DOI:10.1038/srep12274. pmid:26194593 |
| [10] | Botnariuc D, Court S, Lourenço A, et al. Evaluation of Monte Carlo to support commissioning of the treatment planning system of new pencil beam scanning proton therapy facilities[J].Phys Med Biol,2024,69(4): 045027. DOI:10.1088/1361-6560/ad1272. |
| [11] | Yu J, Park SS, Herman MG, et al. Free breathing versus breath-hold scanning beam proton therapy and cardiac sparing in breast cancer[J].Int J Part Ther,2017,3(3): 407-413. DOI:10.14338/IJPT-16-00021.1. pmid:31772990 |
| [12] | Cunningham L, Penfold S, Giles E, et al. Impact of breast size on dosimetric indices in proton versus X-ray radiotherapy for breast cancer[J].J Pers Med,2021,11(4): 282. DOI:10.3390/jpm11040282. |
| [13] | Wu XY, Chen M, Cao L, et al. Proton therapy in breast cancer: a review of potential approaches for patient selection[J].Technol Cancer Res Treat,2024,23: 15330338241234788. DOI:10.1177/15330338241234788. |
| [14] | Liu G, Zhao L, Liu P, et al. Development of a standalone delivery sequence model for proton arc therapy[J].Med Phys,2024,51(4): 3067-3075. DOI:10.1002/mp.16879. |
| [1] | 郭俊龙, 邹睿琪, 陈少强, 梁雨欣, 李菁, 雍苏南, 何玉婷, 谢小兵, 李萍.RNA m6A修饰在乳腺癌中的研究进展[J]. 国际肿瘤学杂志, 2025, 52(8): 532-537. |
| [2] | 刘琦, 曲国斌, 朱健, 吴凡.双能CT虚拟平扫图像代替真实平扫图像在光子与质子放疗剂量计算中的可行性研究[J]. 国际肿瘤学杂志, 2025, 52(7): 401-408. |
| [3] | 朱健.肿瘤质子放疗剂量学特点序言[J]. 国际肿瘤学杂志, 2025, 52(7): 432-433. |
| [4] | 吴仕章, 胡漫, 戴天缘, 李成强, 陶城, 段敬豪, 陈进琥, 白曈, 孔甜, 朱健.全中枢神经系统肿瘤1例质子放疗剂量学特点分析[J]. 国际肿瘤学杂志, 2025, 52(7): 434-440. |
| [5] | 徐渐, 段敬豪, 刘庆增, 朱健.脊索瘤质子放疗中能谱CT参数与MRI ADC变化的相关性研究[J]. 国际肿瘤学杂志, 2025, 52(7): 441-447. |
| [6] | 段敬豪, 岳金波, 陶城, 吴仕章, 李成强, 戴天缘, 陈进琥, 白曈, 朱健.腹盆部肿瘤3例质子放疗剂量学特点分析[J]. 国际肿瘤学杂志, 2025, 52(7): 455-461. |
| [7] | 钟啸, 李步托, 王琳琳.ALK阳性NSCLC脑转移放疗的研究进展[J]. 国际肿瘤学杂志, 2025, 52(6): 374-378. |
| [8] | 黎立喜, 段博识, 钱海利, 马飞.乳腺癌类器官在临床及转化应用中的进展[J]. 国际肿瘤学杂志, 2025, 52(6): 379-381. |
| [9] | 吕晓岩, 王媛, 王军.精准医学背景下的食管鳞状细胞癌放疗研究进展[J]. 国际肿瘤学杂志, 2025, 52(5): 268-272. |
| [10] | 周文考, 黄何森, 潘艺梅, 黄灵炎, 王明山, 赵方俐, 王娅, 唐慧敏.基于2型糖尿病的乳腺癌患者无复发生存预测模型构建与效能比较[J]. 国际肿瘤学杂志, 2025, 52(5): 295-303. |
| [11] | 文英美, 夏锦雄, 王园园, 姚颐.放疗对抗肿瘤免疫的影响:从基础到临床[J]. 国际肿瘤学杂志, 2025, 52(4): 231-236. |
| [12] | 王智宝, 李广现, 张昕昕, 崔伟, 张微.MRI联合血清lncRNA KCNQ1OT1、miR-204-5p对乳腺癌腋窝淋巴结转移的预测价值[J]. 国际肿瘤学杂志, 2025, 52(2): 89-93. |
| [13] | 中华医学会放射肿瘤治疗学分会, 中国医师协会放射肿瘤治疗医师分会, 中国抗癌协会肿瘤放射治疗专业委员会.中国食管癌放射治疗指南(2024年版)[J]. 国际肿瘤学杂志, 2025, 52(1): 3-22. |
| [14] | 吴晓维, 胡格, 陈莉, 钱晓涛, 崔相利, 朱凤琴.放疗前肿瘤最大径、外周血NLR对食管鳞状细胞癌患者放疗后发生食管瘘的预测价值[J]. 国际肿瘤学杂志, 2025, 52(1): 38-42. |
| [15] | 付成瑞, 李宝生, 黄伟.食管癌质子放疗研究进展[J]. 国际肿瘤学杂志, 2025, 52(1): 48-52. |
| 阅读次数 | ||||||
| 全文 |
|
|||||
| 摘要 |
|
|||||