国际肿瘤学杂志››2025,Vol. 52››Issue (5): 282-287.doi:10.3760/cma.j.cn371439-20240618-00048

• 论著 •上一篇下一篇

趋化因子CX3CL1/CX3CR1在裸鼠卵巢癌腹腔转移中的作用

曾倩倩, 向红(), 付丽君

  1. 新疆医科大学第一附属医院妇产科,乌鲁木齐 830054
  • 收稿日期:2024-06-18修回日期:2024-09-20出版日期:2025-05-08发布日期:2025-06-24
  • 通讯作者:向红 E-mail:xianghong1965@163.com
  • 基金资助:
    新疆维吾尔自治区自然科学基金(81660288)

Role of chemokine CX3CL1/CX3CR1 in intraperitoneal metastasis of ovarian cancer in nude mice

Zeng Qianqian, Xiang Hong(), Fu Lijun

  1. Department of Obstetrics and Gynecology, First Affiliated Hospital of Xinjiang Medical University, Urumqi 830054, China
  • Received:2024-06-18Revised:2024-09-20Online:2025-05-08Published:2025-06-24
  • Contact:Xiang Hong E-mail:xianghong1965@163.com
  • Supported by:
    Natural Science Foundation of Xinjiang Uygur Autonomous Region of China(81660288)

摘要:

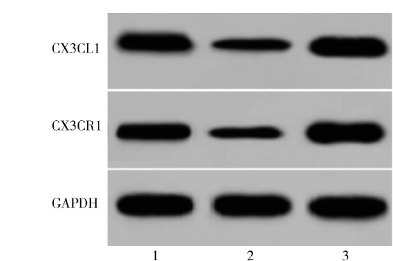
目的探究趋化因子CX3CL1/CX3CR1在裸鼠卵巢癌腹腔转移中的作用。方法选取50只SPF级SD雌性裸鼠,采用随机数字表法随机分为正常组10只、卵巢癌模型组20只、CX3CL1组20只,正常组不建立卵巢癌模型,卵巢癌模型组、CX3CL1组均建立卵巢癌模型,CX3CL1组给予腹腔注射20 μl浓度为10 ng/μl的CX3CL1,观察裸鼠生存状态,记录肿瘤质量、肿瘤体积、抑瘤率、腹腔积液发生率及腹腔转移率,HE染色观察卵巢组织病理形态,蛋白质印迹法检测卵巢组织CX3CL1/CX3CR1表达,采用点二列相关分析CX3CL1/CX3CR1表达与腹腔转移率的相关性。结果给药期间,正常组裸鼠精神状况、活动、进食、进水良好,反应灵敏,卵巢癌模型组裸鼠精神萎靡,活动量、进食、进水明显变少,反应迟钝,腹部出现硬质包块且逐渐变大,CX3CL1组裸鼠精神状况、活动、进食、进水情况均较卵巢癌模型组好,腹部硬质包块体积较卵巢癌模型组小。正常组、卵巢癌模型组、CX3CL1组小鼠生存时间分别为(14.00±0.00)、(9.24±0.67)、(12.05±0.82)d,差异有统计学意义(F=22.27,P<0.001),进一步两两比较发现,生存时间正常组>CX3CL1组>卵巢癌模型组(均P<0.05)。卵巢癌模型组、CX3CL1组肿瘤质量分别为(1.31±0.21)、(0.62±0.13)g,差异有统计学意义(t=12.49,P<0.001);肿瘤体积分别为(130.47±13.45)、(70.02±7.52)mm3,差异有统计学意义(t=17.54,P<0.001);抑瘤率分别为(0.00±0.00)%、(48.96±4.74)%,差异有统计学意义(t=46.19,P<0.001);腹腔积液发生率分别为60.00%(12/20)、25.00%(5/20),差异有统计学意义(χ2=5.01,P=0.025);腹腔转移率分别为80.00%(16/20)、50.00%(10/20),差异有统计学意义(χ2=3.96,P=0.047)。各组卵巢组织HE染色结果显示,正常组卵巢组织结构完整,卵泡及卵母细胞发育正常,形态良好,未见肿瘤细胞;卵巢癌模型组卵巢结构明显遭到破坏,可见大量肿瘤细胞,核仁深染且数量较多;与卵巢癌模型组比较,CX3CL1组病理结构明显改善,肿瘤细胞数量明显较少。正常组、卵巢癌模型组、CX3CL1组CX3CL1蛋白相对表达量分别为2.05±0.22、1.33±0.11、2.41±0.24,差异有统计学意义(F=9.26,P<0.001),CX3CR1蛋白相对表达量分别为1.99±0.21、1.34±0.14、2.73±0.31,差异有统计学意义(F=8.14,P<0.001)。进一步两两比较发现,与正常组比较,卵巢癌模型组卵巢组织CX3CL1、CX3CR1蛋白相对表达量均低,CX3CL1组卵巢组织CX3CL1、CX3CR1蛋白相对表达量均高(均P<0.05);与卵巢癌模型组比较,CX3CL1组卵巢组织CX3CL1、CX3CR1蛋白相对表达量均高(均P<0.05)。相关性分析显示,CX3CL1、CX3CR1表达与腹腔转移率均呈负相关(r=-0.50,P=0.024;r=-0.58,P=0.012)。结论趋化因子CX3CL1/CX3CR1在裸鼠卵巢癌中表达下调,CX3CL1/CX3CR1表达与卵巢癌腹腔转移呈负相关,激活CX3CL1/CX3CR1可显著抑制裸鼠卵巢癌腹腔转移。

关键词:趋化因子CX3CL1,CX3C趋化因子受体1,卵巢肿瘤,肿瘤转移

Abstract:

ObjectiveTo explore the role of chemokine CX3CL1/CX3CR1 in intraperitoneal metastasis of ovarian cancer in nude mice.MethodsFifty SPF SD female nude mice were selected and randomly divided into normal group (n=10), ovarian cancer model group (n=20) and CX3CL1 group (n=20) by random number table method. Ovarian cancer model was not established in normal group, and ovarian cancer model was established in both ovarian cancer model group and CX3CL1 group. CX3CL1 group was given intraperitoneal injection of 20 μl CX3CL1 with a concentration of 10 ng/μl to observe the survival status of nude mice. Tumor mass, tumor volume, tumor inhibition rate, ascites rate and peritoneal metastasis rate were recorded. The pathological morphology of ovarian tissue was examined by HE staining, the expression of CX3CL1/CX3CR1 in ovarian tissue was detected by Western blotting, and the correlation between the expression of CX3CL1/CX3CR1 and peritoneal metastasis rate was analyzed by point two-column correlation.ResultsDuring the administration, the mental state, activity, food and water intake of nude mice in the normal group were good with sensitive responses. The nude mice in the ovarian cancer model group showed signs of mental fatigue, reduced activity, less food and water intake, delayed response, as well as and a hard and gradually enlarged abdomen. The mental state, activity, food and water intake of nude mice in CX3CL1 group were better than those in ovarian cancer model group, and the abdominal hardness volume was smaller compared with that in ovarian cancer model group. The survival time of normal group, ovarian cancer model group and CX3CL1 group were (14.00±0.00), (9.24±0.67) and (12.05±0.82) d, respectively, with a statistically significant difference (F=22.27,P<0.001). Further pair-to-pair comparisons showed that the normal group had the longest survival time, followed by the CX3CL1 group and the ovarian cancer model group (allP<0.05). The tumor mass of ovarian cancer model group and CX3CL1 group was (1.31±0.21) and (0.62±0.13) g, respectively, with a statistically significant difference (t=12.49,P<0.001). The tumor volumes were (130.47±13.45) and (70.02±7.52) mm3, respectively, with a statistically significant difference (t=17.54,P<0.001). The tumor suppression rates were (0.00±0.00)% and (48.96±4.74)%, respectively, with a statistically significant difference (t=46.19,P<0.001), the ascites rates were 60.00% (12/20) and 25.00% (5/20), respectively, with a statistically significant difference (χ2=5.01,P=0.025). The abdominal metastasis rates were 80.00% (16/20) and 50.00% (10/20), respectively, with a statistically significant difference (χ2=3.96,P=0.047). The results of HE staining showed that in the normal group, the ovarian tissue structure was complete, the follicles and oocytes developed normally with good shape, and no cancerous cells were found. The ovarian structure of the ovarian cancer model group was obviously destroyed, and a large number of cancerous cells could be seen. The nucleolus were deeply stained and the number increased. Compared with the ovarian cancer model group, the pathological structure was significantly improved, and the number of cancer cells was significantly decreased in the CX3CL1 group. The CX3CL1 protein relative expression levels in normal group, ovarian cancer model group and CX3CL1 group were 2.05±0.22, 1.33±0.11 and 2.41±0.24, respectively, with a statistically significant difference (F=9.26,P<0.001). The CX3CR1 protein relative expression levels were 1.99±0.21, 1.34±0.14, 2.73±0.31, respectively, with a statistically significant difference (F=8.14,P<0.001). Further pair-to-pair comparisons showed that compared with the normal group, the relative expression levels of CX3CL1 and CX3CR1 protein in ovarian cancer model group were significantly decreased, and the relative expression levels of CX3CL1 and CX3CR1 protein were higher in CX3CL1 group (allP<0.05). Compared with ovarian cancer model group, the relative expression levels of CX3CL1 and CX3CR1 protein in ovarian tissue of CX3CL1 group were significantly increased (bothP<0.05). Correlation analysis showed that CX3CL1 and CX3CR1 expressions were negatively correlated with peritoneal metastasis rate (r=-0.50,P=0.024;r=-0.58,P=0.012).ConclusionsThe expression of chemokine CX3CL1/CX3CR1 is down-regulated in ovarian cancer, and CX3CL1/CX3CR1 expression is negatively correlated with peritoneal metastasis of ovarian cancer. Activation of CX3CL1/CX3CR1 can significantly inhibit peritoneal metastasis of ovarian cancer.

Key words:Chemokine CX3CL1,CX3C chemokine receptor 1,Ovarian neoplasms,Neoplasm metastasis

Baidu
map