国际肿瘤学杂志››2025,Vol. 52››Issue (10): 646-652.doi:10.3760/cma.j.cn371439-20250217-00111

• 质子放疗剂量学特点 •上一篇下一篇

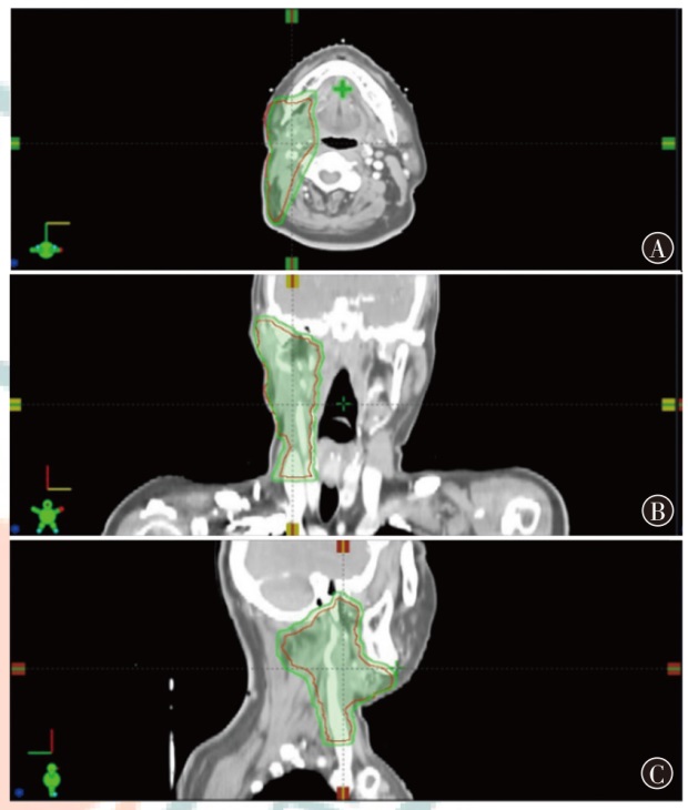
头颈部肿瘤3例质子放疗剂量学特点研究

李伟杰1,2,3, 戴天缘1,3, 胡漫1,4, 吴仕章1,3, 李成强1,3, 陶城1,3, 段敬豪1,3, 陈进琥1,3, 白曈1,3, 魏国辉2, 朱健1,3()

  1. 1山东省肿瘤防治研究院(山东省肿瘤医院)放射物理技术科,百度开云体育app(山东省医学科学院),济南 250117
    2山东中医药大学医学信息工程学院,济南 250355
    3山东省医药卫生儿童肿瘤精确放疗重点实验室(山东省肿瘤医院),济南 250117
    4山东省肿瘤防治研究院(山东省肿瘤医院)头颈放疗一病区,百度开云体育app(山东省医学科学院),济南 250117
  • 收稿日期:2025-02-17修回日期:2025-06-03出版日期:2025-10-08发布日期:2025-11-12
  • 通讯作者:朱健 E-mail:zhujian@sdfmu.edu.cn
  • 基金资助:
    国家科技重大专项(2024ZD0519901);国家自然科学基金(12105160);国家自然科学基金(82172072);山东省重点研发计划(2024CXPT084);山东省自然科学基金(ZR2021QA099);山东省自然科学基金(ZR2022QH188);山东省高等学校青年创新团队发展计划(2024KJJ013);山东省青年科技人才托举工程(SDAST2024QTB034)

Study on dosimetric characteristics of proton radiotherapy in 3 cases of head and neck tumors

Li Weijie1,2,3, Dai Tianyuan1,3, Hu Man1,4, Wu Shizhang1,3, Li Chengqiang1,3, Tao Cheng1,3, Duan Jinghao1,3, Chen Jinhu1,3, Bai Tong1,3, Wei Guohui2, Zhu Jian1,3()

  1. 1Department of Radiation Oncology Physics, Shandong Cancer Hospital and Institute, Shandong First Medical University and Shandong Academy of Medical Sciences, Jinan 250117, China
    2School of Medical Information Engineering, Shandong University of Traditional Chinese Medicine, Jinan 250355, China
    3Shandong Provincial Key Medical and Health Laboratory of Pediatric Cancer Precision Radiotherapy (Shandong Cancer Hospital), Jinan 250117, China
    4Department of Head and Neck Radiotherapy, Unit 1, Shandong Cancer Hospital and Institute, Shandong First Medical University and Shandong Academy of Medical Sciences, Jinan 250117, China
  • Received:2025-02-17Revised:2025-06-03Online:2025-10-08Published:2025-11-12
  • Contact:Zhu Jian E-mail:zhujian@sdfmu.edu.cn
  • Supported by:
    National Science and Technology Major Project of China(2024ZD0519901);National Natural Science Foundation of China(12105160);National Natural Science Foundation of China(82172072);Key R&D Program of Shandong Province, China(2024CXPT084);Natural Science Foundation of Shandong Province of China(ZR2021QA099);Natural Science Foundation of Shandong Province of China(ZR2022QH188);Youth Innovation Team Development Plan of Shandong Universities(2024KJJ013);Shandong Provincial Young Science and Technology Talent Support Project(SDAST2024QTB034)

摘要:

目的探索质子调强放疗(IMPT)和光子容积弧形调强放疗(VMAT)应用于典型头颈部恶性肿瘤的剂量学特点。方法以2023年12月至2024年12月山东省肿瘤防治研究院(山东省肿瘤医院)收治的鼻咽癌、腮腺癌和喉癌患者各1例为研究对象,分别根据靶区和危及器官限值的临床处方要求制定IMPT和VMAT计划。评估3例患者两种计划的靶区适形指数(CI)、均匀性指数(HI)和梯度指数(GI),并评估危及器官的剂量学指标。结果鼻咽癌、腮腺癌和喉癌患者IMPT计划的CI分别为0.70、0.72和0.67,HI分别为0.11、0.08和0.08,GI分别为3.08、2.49和3.75;VMAT计划的CI分别为0.77、0.82和0.91,HI分别为0.12、0.10和0.04,GI分别为3.67、2.63和3.45。IMPT计划的CI略低于VMAT计划,IMPT计划的HI与VMAT计划相当,鼻咽癌和腮腺癌患者IMPT计划的GI低于VMAT计划,喉癌患者IMPT计划的GI高于VMAT计划,且均在临床接受范围。IMPT计划在鼻咽癌、腮腺癌和喉癌治疗中表现出显著的剂量优势:对于鼻咽癌患者,IMPT计划的左、右晶体Dmax比VMAT分别降低了54.1%和50.4%,口腔和喉头的Dmean分别降低了40.5%和49.6%。对于腮腺癌患者,IMPT的脑干和脊髓Dmax比VMAT分别降低了66.2%和40.5%。对于喉癌患者,IMPT的脊髓Dmax比VMAT降低了77.0%,而甲状软骨Dmean比VMAT增加了8.0%。对于患者体内的额外剂量,以患者体内10%、30%和50%的处方剂量区域所占的绝对体积为例,鼻咽癌患者IMPT比VMAT计划分别降低了29.7%、29.6%和34.9%,腮腺癌患者IMPT比VMAT计划分别降低了61.0%、39.7%和17.4%,喉癌患者IMPT比VMAT计划分别降低了63.9%、31.7%和4.1%。结论相比VMAT计划,IMPT计划可有效降低头颈部肿瘤靶区附近大部分危及器官的受照射剂量,但对于紧邻靶区的串型器官,其剂量可能更高,需要引起关注。

关键词:头颈部肿瘤,放射疗法,质子疗法,剂量学

Abstract:

ObjectiveTo investigate the dosimetric characteristics of intensity modulated proton therapy (IMPT) and photon volumetric modulated arc therapy (VMAT) in typical head and neck malignant tumors.MethodsThree types of typical head and neck tumors (nasopharyngeal carcinoma, parotid gland carcinoma, laryngeal carcinoma) treated at Shandong Cancer Hospital and Institute from December 2023 to December 2024 were taken as research subjects. IMPT and VMAT radiotherapy plans were created according to clinical prescription requirements of target and organs at risk limits respectively. The conformity index (CI), homogeneity index (HI) and gradient index (GI) for target coverage of two radiotherapy plans were evaluated for 3 patients, as well as the dosimetric indicators of organs at risk.ResultsThe CI of IMPT for nasopharyngeal carcinoma, parotid gland carcinoma and laryngeal carcinoma were 0.70, 0.72 and 0.67, respectively. The HI were 0.11, 0.08 and 0.08, respectively. The GI were 3.08, 2.49 and 3.75, respectively. The CI of VMAT plans were 0.77, 0.82 and 0.91, respectively. The HI were 0.12, 0.10 and 0.04, respectively. The GI were 3.67, 2.63 and 3.45, respectively. The results showed that CI of IMPT plan was slightly lower than that of VMAT plan, and HI of IMPT plan was comparable to that of VMAT plan, the GI of the IMPT plan for patients with nasopharyngeal carcinoma and parotid gland carcinoma was lower than that of the VMAT plan, and the GI of the IMPT plan for patient with laryngeal carcinoma was higher than that of the VMAT plan, and all were within the clinically acceptable range. The IMPT plan has demonstrated significant dose advantages in the treatment of nasopharyngeal carcinoma, parotid gland carcinoma and laryngeal carcinoma. For patient with nasopharyngeal carcinoma, the IMPT plan reduced the Dmaxof the left and right crystals by 54.1% and 50.4%, respectively, compared to VMAT plan, and reduced the Dmeanof the oral and laryngeal tissues by 40.5% and 49.6%, respectively. For patient with parotid gland carcinoma, IMPT plan reduced the Dmaxof the brainstem and spinal cord by 66.2% and 40.5%, respectively, compared to VMAT plan. For patient with laryngeal carcinoma, IMPT reduced spinal cord Dmaxby 77.0%, while thyroid cartilage Dmeanincreased by 8.0% compared to VMAT plan. For the additional dose in the patients' body, taking the absolute volumes occupied by the prescribed dose areas of 10%, 30%, and 50% in the patients' body as examples, IMPT plan of nasopharyngeal carcinoma patient decreased by 29.7%, 29.6%, and 34.9% compared to VMAT plan, respectively. IMPT plan of parotid gland carcinoma patient decreased by 61.0%, 39.7%, and 17.4% compared to VMAT plan, respectively. IMPT plan of laryngeal carcinoma patient decreased by 63.9%, 31.7%, and 4.1% compared to VMAT plan, respectively.ConclusionsCompared with VMAT plan, IMPT plan can effectively reduce the irradiation dose of most organs at risk near the target of head and neck tumors, but the dose of string organs close to the target area may be higher, which needs attention.

Key words:Head and neck neoplasms,Radiotherapy,Proton therapy,Dosimetry

Baidu
map