国际肿瘤学杂志››2025,Vol. 52››Issue (7): 462-464.doi:10.3760/cma.j.cn371439-20250110-00080

• 病例报道 •上一篇

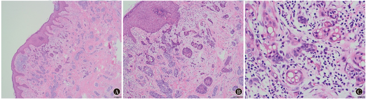
乳头小汗腺汗孔癌1例

袁宝平1, 王亚文2, 赵松2, 朱江2, 马榕2()

  1. 1山东大学第一临床学院,济南 250012
    2山东大学齐鲁医院乳腺外科,济南 250012
  • 收稿日期:2025-01-10修回日期:2025-04-24出版日期:2025-07-08发布日期:2025-07-23
  • 通讯作者:马榕 E-mail:marongw2000@163.com
  • 基金资助:
    山东省博士后创新项目(202103004)

    • Received:2025-01-10Revised:2025-04-24Online:2025-07-08Published:2025-07-23

    摘要:

    小汗腺汗孔癌(EPC)又称外泌汗腺汗孔癌,是一种少见的皮肤附属器恶性肿瘤,通常起源于小汗腺的导管,好发于头颈部和四肢皮肤,发生在乳头部位的较为罕见。现报道1例左乳头EPC患者的诊疗过程,复习相关文献并讨论,以期为临床提供诊疗思路。

    关键词:小汗腺汗孔癌,乳头,诊断,外科手术

    Baidu
    map