


国际肿瘤学杂志››2025,Vol. 52››Issue (4): 253-256.doi:10.3760/cma.j.cn371439-20240830-00043
• 病例报道 •上一篇
任志鹏, 张根, 王欢, 戴自强, 何东升, 杜保罗, 李欣, 李巅远(
)
收稿日期:2024-08-30修回日期:2024-12-04出版日期:2025-04-08发布日期:2025-04-21通讯作者:李巅远,Email:drdianyuanli@163.com基金资助:
Received:2024-08-30Revised:2024-12-04Online:2025-04-08Published:2025-04-21摘要:
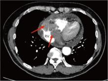
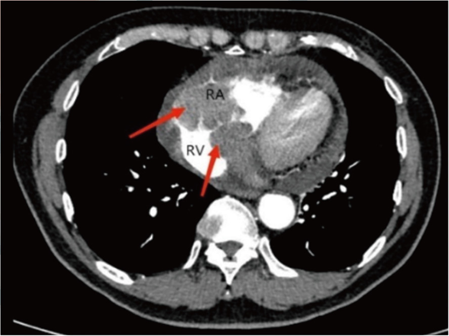
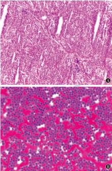
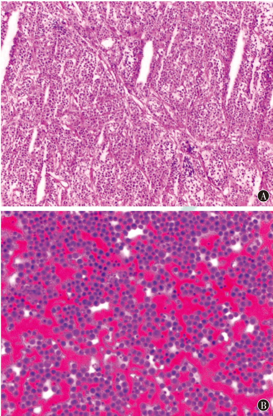
原发性心脏淋巴瘤(PCL)是极其罕见的一类心脏肿瘤,因其病情进展迅速、侵袭性强,症状、体征不明显,极易延误治疗。现报道1例应用3D打印技术辅助诊断和治疗PCL患者的诊疗经过,为临床PCL患者的诊疗提供参考。
任志鹏, 张根, 王欢, 戴自强, 何东升, 杜保罗, 李欣, 李巅远. 3D打印技术辅助诊断和治疗原发性心脏弥漫大B淋巴瘤1例[J]. 国际肿瘤学杂志, 2025, 52(4): 253-256.
| [1] | Antoniades L, Eftychiou C, Petrou PM, et al. Primary cardiac lymphoma: case report and brief review of the literature[J].Echocardiography,2009,26(2): 214-219. DOI:10.1111/j.1540-8175.2008.00757.x. |
| [2] | Gordon MJ, Danilova O, Spurgeon S, et al. Cardiac non-hodgkin's lymphoma: clinical characteristics and trends in survival[J].Eur J Haematol,2016,97(5): 445-452. DOI:10.1111/ejh.12751. pmid:26935129 |
| [3] | Palella FJ Jr, Baker RK, Moorman AC, et al. Mortality in the highly active antiretroviral therapy era: changing causes of death and disease in the HIV outpatient study[J].J Acquir Immune Defic Syndr,2006,43(1): 27-34. DOI:10.1097/01.qai.0000233310.90484.16. |
| [4] | Deepti AN, Noone ML, Mahadevan A, et al. Primary cardiac cytotoxic T-cell lymphoma presenting with neurological deficits: a case report[J].Cardiovasc Pathol,2008,17(5): 334-338. DOI:10.1016/j.carpath.2007.08.004. pmid:18402804 |
| [5] | Petrich A, Cho SI, Billett H. Primary cardiac lymphoma: an analysis of presentation, treatment, and outcome patterns[J].Cancer,2011,117(3): 581-589. DOI:10.1002/cncr.25444. pmid:20922788 |
| [6] | Pérez Baztarrica G, Nieva N, Gariglio L, et al. Images in cardiovascular medicine. Primary cardiac lymphoma: a rare case of pulmonary tumor embolism[J].Circulation,2010,121(20): 2249-2250. DOI:10.1161/CIRCULATIONAHA.109.863126. pmid:20497988 |
| [7] | Habertheuer A, Ehrlich M, Wiedemann D, et al. A rare case of primary cardiac B cell lymphoma[J].J Cardiothorac Surg,2014,9: 14. DOI:10.1186/1749-8090-9-14. pmid:24422789 |
| [8] | Sultan I, Aranda-Michel E, Habertheuer A, et al. Long-term outcomes of primary cardiac lymphoma[J].Circulation,2020,142(22): 2194-2195. DOI:10.1161/CIRCULATIONAHA.120.047215. pmid:33253006 |
| [9] | Agudo-Quílez P, Martín-Moro F, Antoñana Ugalde S, et al. Primary cardiac aggressive B-cell lymphoma affecting right ventricle and acute cardiovascular events: multidisciplinary approach[J].JACC Case Rep,2024,29(19): 102562. DOI:10.1016/j.jaccas.2024.102562. |
| [10] | Grantomo J, Pratita J, Rachmat J, et al. A rare case of primary cardiac lymphoma and the role of early surgical debulking: a case report[J].Eur Heart J Case Rep,2018,2(4): yty116. DOI:10.1093/ehjcr/yty116. |
| [11] | Gyoten T, Doi T, Nagura S, et al. Primary cardiac malignant lymphoma: survival for 13 years after surgical resection and adjuvant chemotherapy[J].Ann Thorac Surg,2015,99(3): 1060-1062. DOI:10.1016/j.athoracsur.2014.05.074. |
| [12] | Lyon AR, López-Fernández T, Couch LS, et al.2022ESC guidelines on cardio-oncology developed in collaboration with the European Hematology Association (EHA), the European Society for Therapeutic Radiology and Oncology (ESTRO) and the International Cardio-Oncology Society (IC-OS)[J].Eur Heart J, 2022,43(41): 4229-4361. DOI:10.1093/eurheartj/ehac244. |
| [13] | 李巧佴, 邹立群. 老年弥漫大B细胞淋巴瘤的分层治疗策略[J].国际肿瘤学杂志,2021,48(5): 317-320. DOI:10.3760/cma.j.cn371439-20200814-00061. |
| [14] | Cherukuri SV, Sureen A, Infante T, et al. Treatment of primary mediastinal B-cell lymphoma with R-CEOP (rituximab, cyclophosphamide, etoposide, vincristine, and prednisone)[J].Cureus,2021,13(7): e16128. DOI:10.7759/cureus.16128. |
| [15] | 中华医学会骨科学分会, 中国医师协会骨科医师分会, 中国中西医结合医师协会骨伤科医师分会. 骨科3D打印技术临床应用指南[J].中华骨科杂志,2024,44(12): 787-795. DOI:10.3760/cma.j.cn121113-20240130-00074. |
| [16] | Kim GB, Lee S, Kim H, et al. Three-dimensional printing: basic principles and applications in medicine and radiology[J].Korean J Radiol,2016,17(2): 182-197. DOI:10.3348/kjr.2016.17.2.182. pmid:26957903 |
| [17] | Aimar A, Palermo A, Innocenti B. The role of 3D printing in medical applications: a state of the art[J].J Healthc Eng,2019,2019: 5340616. DOI:10.1155/2019/5340616. |
| [18] | Qiu H, Huang M, Cen J, et al. VR and 3D printing for preop planning of left ventricular myxoma in a child[J].Ann Thorac Surg,2022,113(6): e457-e460. DOI:10.1016/j.athoracsur.2021.07.094. |
| [19] | Jacobs S, Grunert R, Mohr FW, et al. 3D-Imaging of cardiac structures using 3D heart models for planning in heart surgery: a preliminary study[J].Interact Cardiovasc Thorac Surg,2008,7(1): 6-9. DOI:10.1510/icvts.2007.156588. |
| [20] | Kim E, Pyo WK, Yang DH, et al. Large primary cardiac tumor penetrating the right ventricle: 3-dimensional printing-based surgical planning[J].JTCVS Techniques,2022,11: 37-40. DOI:10.1016/j.xjtc.2021.10.061. pmid:35169731 |
| [21] | Hermsen JL, Roldan-Alzate A, Anagnostopoulos PV. Three-dimensional printing in congenital heart disease[J].J Thorac Dis,2020,12(3): 1194-1203. DOI:10.21037/jtd.2019.10.38. pmid:32274200 |
| [22] | Liu Y, Wang N, Wen P, et al. Resection of a large primary left ventricle tumour by cardiac autotransplantation in a 2-month-old infant: a case report[J].Eur Heart J Case Rep,2019,3(4): 1-4. DOI:10.1093/ehjcr/ytz205. pmid:32123797 |
| [23] | Son KH, Kim KW, Ahn CB, et al. Surgical planning by 3D printing for primary cardiac schwannoma resection[J].Yonsei Med J,2015,56(6): 1735-1737. DOI:10.3349/ymj.2015.56.6.1735. pmid:26446661 |
| [1] | .肺癌筛查与早诊早治方案(2024年版)[J]. 国际肿瘤学杂志, 2025, 52(4): 193-194. |
| [2] | .结直肠癌筛查与早诊早治方案(2024年版)[J]. 国际肿瘤学杂志, 2025, 52(4): 195-196. |
| [3] | 刘毅勇, 霍凤芝.基于能谱CT特征的无或少实性成分磨玻璃结节样肺腺癌浸润程度鉴别诊断模型构建[J]. 国际肿瘤学杂志, 2025, 52(4): 197-201. |
| [4] | 唐磊, 蔡宗佑, 常建华.RET原癌基因与非小细胞肺癌的研究现状[J]. 国际肿瘤学杂志, 2025, 52(4): 237-241. |
| [5] | 魏毓正, 温馨格, 孙诚诚, 范秉杰, 丛蕾.分子靶向治疗EGFR基因突变和ALK基因融合肺腺癌1例并文献复习[J]. 国际肿瘤学杂志, 2025, 52(4): 249-252. |
| [6] | 欧阳苏瑞, 孙梦颖, 唐桩, 李进, 何敬东.瘤内免疫注射药物及药物递送载体的研究进展[J]. 国际肿瘤学杂志, 2025, 52(3): 169-175. |
| [7] | 张百红, 岳红云.抗肿瘤药物递送系统研究进展[J]. 国际肿瘤学杂志, 2025, 52(3): 176-179. |
| [8] | 叶永英, 邹艳, 陈天明, 吴伟莉.时钟基因Period家族在头颈鳞状细胞癌中的研究进展[J]. 国际肿瘤学杂志, 2025, 52(2): 113-118. |
| [9] | 陈丹蕾, 邓隽军, 李淼.循环肿瘤细胞在肺癌中的临床应用进展[J]. 国际肿瘤学杂志, 2025, 52(2): 119-123. |
| [10] | .胃癌筛查与早诊早治方案(2024年版)[J]. 国际肿瘤学杂志, 2025, 52(2): 65-66. |
| [11] | 中国临床肿瘤学会肿瘤支持与康复治疗专家委员会, 癌因性厌食诊疗中国专家共识工作组.癌因性厌食诊疗中国专家共识[J]. 国际肿瘤学杂志, 2025, 52(2): 67-78. |
| [12] | 姬海涛, 王延峰, 刘永成, 郝楠.基于生物信息学分析DHCR7在胃癌中的表达及临床意义[J]. 国际肿瘤学杂志, 2025, 52(2): 94-100. |
| [13] | .食管癌筛查与早诊早治方案(2024年版)[J]. 国际肿瘤学杂志, 2025, 52(1): 1-2. |
| [14] | 余洋, 唐仕敏, 杨露, 李娜.pT2-3N0M0期胸段食管鳞状细胞癌治疗策略及预后影响因素研究进展[J]. 国际肿瘤学杂志, 2025, 52(1): 43-47. |
| [15] | 黄镇, 晏菲, 马燕凌, 孙建海.食管癌靶向及免疫治疗研究进展[J]. 国际肿瘤学杂志, 2025, 52(1): 53-59. |
| 阅读次数 | ||||||
| 全文 |
|
|||||
| 摘要 |
|
|||||