


国际肿瘤学杂志››2025,Vol. 52››Issue (4): 249-252.doi:10.3760/cma.j.cn371439-20241108-00042
魏毓正1, 温馨格1, 孙诚诚1, 范秉杰2, 丛蕾1,3(
)
收稿日期:2024-11-08修回日期:2024-12-19出版日期:2025-04-08发布日期:2025-04-21通讯作者:丛蕾,Email:wdconglei@163.com基金资助:
Received:2024-11-08Revised:2024-12-19Online:2025-04-08Published:2025-04-21摘要:
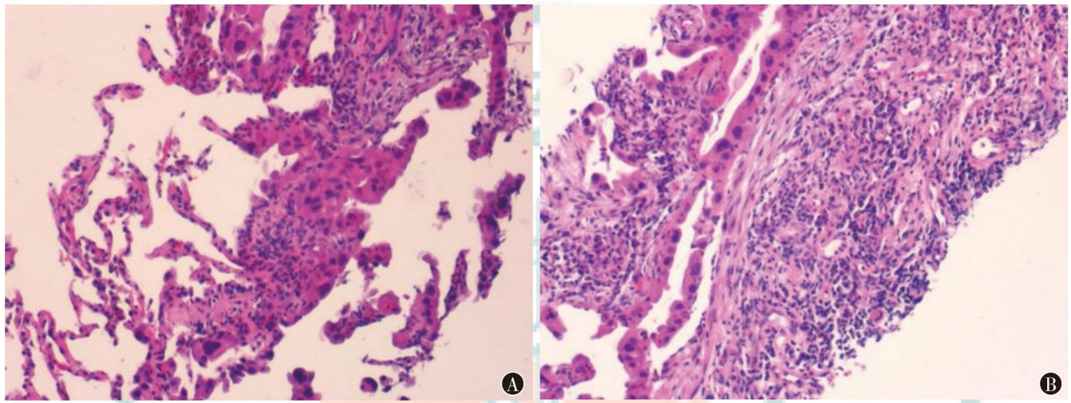
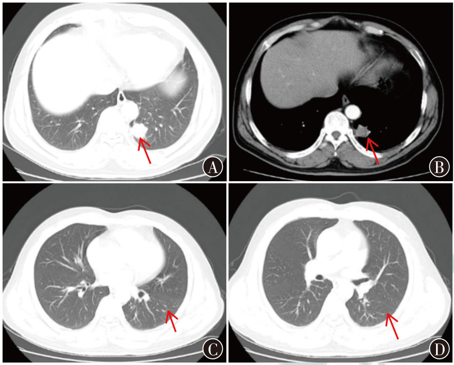
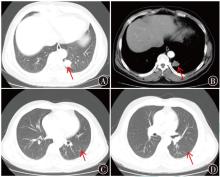
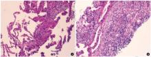
表皮生长因子受体(EGFR)基因L858R突变和棘皮动物微管相关蛋白样4-间变淋巴瘤激酶(ALK)基因融合肺腺癌是一种具有特定分子特征的恶性肿瘤,其恶性程度较高,且对传统治疗手段反应有限。分子靶向治疗是一种精准治疗策略,它通过特定的分子药物针对肿瘤细胞的特定分子靶点发挥作用,从而抑制肿瘤的生长和扩散。现报道1例EGFR基因突变和ALK基因融合肺腺癌的诊疗过程,复习相关文献并讨论,以期为临床提供诊疗思路。
魏毓正, 温馨格, 孙诚诚, 范秉杰, 丛蕾. 分子靶向治疗EGFR基因突变和ALK基因融合肺腺癌1例并文献复习[J]. 国际肿瘤学杂志, 2025, 52(4): 249-252.
| [1] | Remon J, Steuer CE, Ramalingam SS, et al. Osimertinib and other third-generation EGFR TKI in EGFR-mutant NSCLC patients[J].Ann Oncol,2018,29(suppl_1): i20-i27. DOI:10.1093/annonc/mdx704. |
| [2] | Wang Z, Zhang X, Bai H, et al. EML4-ALK rearrangement and its clinical significance in Chinese patients with advanced non-small cell lung cancer[J].Oncology,2012,83(5): 248-256. DOI:10.1159/000341381. pmid:22964709 |
| [3] | Soda M, Choi YL, Enomoto M, et al. Identification of the transforming EML4-ALK fusion gene in non-small-cell lung cancer[J].Nature,2007,448(7153): 561-566. DOI:10.1038/nature05945. |
| [4] | Shaw AT, Yeap BY, Mino-Kenudson M, et al. Clinical features and outcome of patients with non-small-cell lung cancer who harbor EML4-ALK[J].J Clin Oncol,2009,27(26): 4247-4253. DOI:10.1200/JCO.2009.22.6993. pmid:19667264 |
| [5] | Baldi L, Mengoli MC, Bisagni A, et al. Concomitant EGFR mutation and ALK rearrangement in lung adenocarcinoma is more frequent than expected: report of a case and review of the literature with demonstration of genes alteration into the same tumor cells[J].Lung Cancer,2014,86(2): 291-295. DOI:10.1016/j.lungcan.2014.09.011. pmid:25312989 |
| [6] | Popat S, Vieira de Araújo A, Min T, et al. Lung adenocarcinoma with concurrent exon 19 EGFR mutation and ALK rearrangement responding to erlotinib[J].J Thorac Oncol,2011,6(11): 1962-1963. DOI:10.1097/JTO.0b013e31822eec5e. pmid:22005476 |
| [7] | Rossing HH, Grauslund M, Urbanska EM, et al. Concomitant occurrence of EGFR (epidermal growth factor receptor) and KRAS (V-Ki-ras2 Kirsten rat sarcoma viral oncogene homolog) mutations in an ALK (anaplastic lymphoma kinase)-positive lung adenocarcinoma patient with acquired resistance to crizotinib: a case report[J].BMC Res Notes,2013,6: 489. DOI:10.1186/1756-0500-6-489. pmid:24279718 |
| [8] | Santelmo C, Ravaioli A, Barzotti E, et al. Coexistence of EGFR mutation and ALK translocation in NSCLC: literature review and case report of response to gefitinib[J].Lung Cancer,2013,81(2): 294-296. DOI:10.1016/j.lungcan.2013.04.009. pmid:23683537 |
| [9] | Jürgens J, Engel-Riedel W, Prickartz A, et al. Combined point mutation in KRAS or EGFR genes and EML4-ALK translocation in lung cancer patients[J].Future Oncol,2014,10(4): 529-532. DOI:10.2217/fon.13.194. pmid:24754584 |
| [10] | Xu CW, Cai XY, Shao Y, et al. A case of lung adenocarcinoma with a concurrent EGFR mutation and ALK rearrangement: a case report and literature review[J].Mol Med Rep,2015,12(3): 4370-4375. DOI:10.3892/mmr.2015.4001. |
| [11] | 吴菡, 孙苏安, 刘海燕, 等. 非小细胞肺癌EGFR基因突变与EML4-ALK融合基因的表达及其临床病理特征[J].实用医学杂志,2018,34(13): 2119-2122. DOI:10.3969/j.issn.1006-5725.2018.13.007. |
| [12] | Kuo YW, Wu SG, Ho CC, et al. Good response to gefitinib in lung adenocarcinoma harboring coexisting EML4-ALK fusion gene and EGFR mutation[J].J Thorac Oncol,2010,5(12): 2039-2040. DOI:10.1097/JTO.0b013e3181f43274. |
| [13] | Shin HJ, Kho BG, Kim MS, et al. Co-alteration of EGFR mutation and ALK rearrangement in non-small cell lung cancer: case series[J].Medicine (Baltimore),2019,98(9): e14699. DOI:10.1097/MD.0000000000014699. |
| [14] | Yang JJ, Zhang XC, Su J, et al. Lung cancers with concomitant EGFR mutations and ALK rearrangements: diverse responses to EGFR-TKI and crizotinib in relation to diverse receptors phosphorylation[J].Clin Cancer Res,2014,20(5): 1383-1392. DOI:10.1158/1078-0432.CCR-13-0699. |
| [15] | Lee JK, Kim TM, Koh Y, et al. Differential sensitivities to tyrosine kinase inhibitors in NSCLC harboring EGFR mutation and ALK translocation[J].Lung Cancer,2012,77(2): 460-463. DOI:10.1016/j.lungcan.2012.04.012. pmid:22622260 |
| [16] | Miyanaga A, Shimizu K, Noro R, et al. Activity of EGFR-tyrosine kinase and ALK inhibitors for EML4-ALK-rearranged non-small-cell lung cancer harbored coexisting EGFR mutation[J].BMC Cancer,2013,13: 262. DOI:10.1186/1471-2407-13-262. pmid:23714228 |
| [17] | Tanaka H, Hayashi A, Morimoto T, et al. A case of lung adenocarcinoma harboring EGFR mutation and EML4-ALK fusion gene[J].BMC Cancer,2012,12: 558. DOI:10.1186/1471-2407-12-558. pmid:23181703 |
| [18] | Rosell R, Moran T, Queralt C, et al. Screening for epidermal growth factor receptor mutations in lung cancer[J].N Engl J Med,2009,361(10): 958-967. DOI:10.1056/NEJMoa0904554. |
| [19] | Paz-Ares L, Moecks J, Klughammer B. Reply to watkins and rukazenkov (J Cell Mol Med 2010), re-letter of response to manuscript entitled ‘clinical outcomes in NSCLC patients with EGFR mutations: pooled analysis’ (Paz-Ares et al., J Cell Mol Med, 2010, 14(1-2): 51-69)[J].J Cell Mol Med,2011,15(5): 1225. DOI:10.1111/j.1582-4934.2011.01295.x. |
| [20] | Solomon BJ, Mok T, Kim DW, et al. First-line crizotinib versus chemotherapy in ALK-positive lung cancer[J].N Engl J Med,2014,371(23): 2167-2177. DOI:10.1056/NEJMoa1408440. |
| [21] | 孔晓艳, 王明娟, 汤巧云, 等. EGFR和ALK基因异时性突变非小细胞肺癌1例报告并文献复习[J].中国肺癌杂志,2024,27(7): 559-564. DOI:10.3779/j.issn.1009-3419.2024.106.15. |
| [22] | Hu Y, Xiao L, Yang N, et al. Tyrosine kinase inhibitor acquired resistance mechanism alternates between EGFR and ALK in a lung adenocarcinoma patient[J].Thorac Cancer,2019,10(5): 1252-1255. DOI:10.1111/1759-7714.13015. pmid:30788907 |
| [23] | 宁婷婷, 胡钦勇, 李倩, 等. 奥希替尼与埃克替尼一线治疗EGFR阳性转移性NSCLC临床疗效观察[J].国际肿瘤学杂志,2023,50(2): 65-70. DOI:10.3760/cma.j.cn371439-20221028-00014. |
| [24] | He H, Yang W, Huang Y, et al. Successful management of lung adenocarcinoma with ALK/EGFR co-alterations and PD-L1 over-expression by bevacizumab combined with chemotherapy[J].Angiogenesis,2022,25(1): 5-8. DOI:10.1007/s10456-021-09811-8. |
| [1] | 刘毅勇, 霍凤芝.基于能谱CT特征的无或少实性成分磨玻璃结节样肺腺癌浸润程度鉴别诊断模型构建[J]. 国际肿瘤学杂志, 2025, 52(4): 197-201. |
| [2] | 唐磊, 蔡宗佑, 常建华.RET原癌基因与非小细胞肺癌的研究现状[J]. 国际肿瘤学杂志, 2025, 52(4): 237-241. |
| [3] | 韩双.外周实性结节Ⅰ期肺腺癌脏层胸膜侵犯的CT特征分析及预测价值[J]. 国际肿瘤学杂志, 2025, 52(3): 136-143. |
| [4] | 叶永英, 邹艳, 陈天明, 吴伟莉.时钟基因Period家族在头颈鳞状细胞癌中的研究进展[J]. 国际肿瘤学杂志, 2025, 52(2): 113-118. |
| [5] | 黄镇, 晏菲, 马燕凌, 孙建海.食管癌靶向及免疫治疗研究进展[J]. 国际肿瘤学杂志, 2025, 52(1): 53-59. |
| [6] | 詹海峰, 谭子煊, 王文学, 耿嘉蔚.节律基因在结直肠癌发生发展和时辰疗法中的研究进展[J]. 国际肿瘤学杂志, 2025, 52(1): 60-64. |
| [7] | 袁胜芳, 任婕, 林卫佳, 姬泽萱, 张长洪, 王布.EGFR共突变状态对晚期肺腺癌患者预后的价值研究[J]. 国际肿瘤学杂志, 2024, 51(9): 556-562. |
| [8] | 伍杨, 李甜, 张润兵, 史婷婷, 高春, 郑晓凤, 张久聪.胃癌及食管胃结合部癌免疫及靶向治疗研究进展[J]. 国际肿瘤学杂志, 2024, 51(9): 595-600. |
| [9] | 詹海峰, 王文学, 耿嘉蔚.晚期结直肠癌精准分子靶向治疗研究进展[J]. 国际肿瘤学杂志, 2024, 51(9): 601-605. |
| [10] | 刘晶, 张俊.放射性碘难治性分化型甲状腺癌再分化治疗研究进展[J]. 国际肿瘤学杂志, 2024, 51(7): 464-467. |
| [11] | 吴市委, 裴康佳, 张东星, 秦占雨, 郭树霞.EVI1在急性髓系白血病中的研究进展[J]. 国际肿瘤学杂志, 2024, 51(7): 474-477. |
| [12] | 王盈, 刘楠, 郭兵.抗体药物偶联物在转移性乳腺癌治疗中的研究进展[J]. 国际肿瘤学杂志, 2024, 51(6): 364-369. |
| [13] | 王培鑫, 赵军, 徐世红, 姜朝阳, 王小强, 杨红娟.铁死亡相关机制在骨肉瘤中的应用进展[J]. 国际肿瘤学杂志, 2024, 51(5): 308-311. |
| [14] | 杨智, 陆以乔, 顾花艳, 丁佳玲, 郭贵龙.肿瘤微环境介导乳腺癌靶向治疗耐药的研究进展[J]. 国际肿瘤学杂志, 2024, 51(4): 235-238. |
| [15] | 张栋岩, 王品, 魏秋亚, 邓成伍, 魏相相, 高远飞, 王琛.索凡替尼靶向联合卡培他滨和奥沙利铂治疗肝内胆管癌术后患者1例及文献复习[J]. 国际肿瘤学杂志, 2024, 51(4): 249-253. |
| 阅读次数 | ||||||
| 全文 |
|
|||||
| 摘要 |
|
|||||