


国际肿瘤学杂志››2024,Vol. 51››Issue (2): 123-125.doi:10.3760/cma.j.cn371439-20230828-00019
李济时1, 陆钊群2, 刘俊茹3, 吕建勋4, 陈霜3, 沈琳1, 徐志渊1, 吴平安2(
)
收稿日期:2023-08-28修回日期:2023-11-15出版日期:2024-02-08发布日期:2024-04-03通讯作者:吴平安,Email:
基金资助:
Received:2023-08-28Revised:2023-11-15Online:2024-02-08Published:2024-04-03摘要:
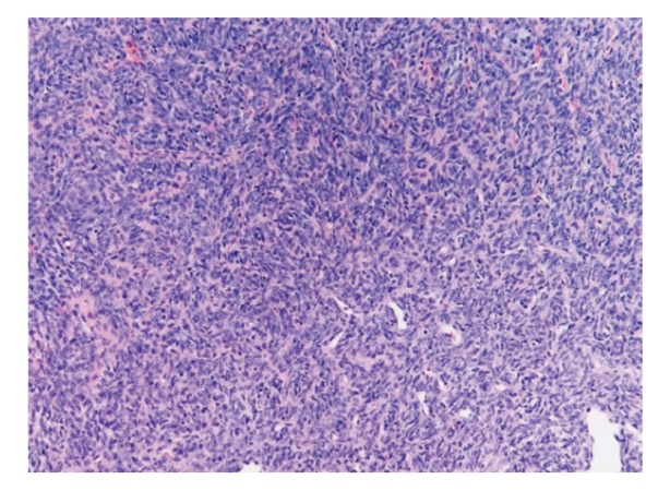
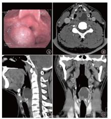
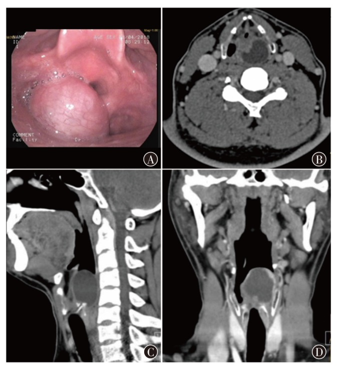
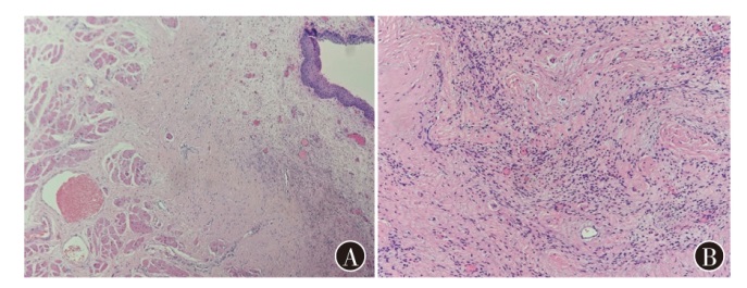
治疗头颈部软组织肉瘤对于完整切除和功能保护有较高的挑战。现报道1例声门上区喉滑膜肉瘤患者的诊疗经过,并就相关文献进行复习,以提高对该类疾病的认识。
李济时, 陆钊群, 刘俊茹, 吕建勋, 陈霜, 沈琳, 徐志渊, 吴平安. 新辅助放疗联合部分喉切除术治疗喉滑膜肉瘤1例并文献复习[J]. 国际肿瘤学杂志, 2024, 51(2): 123-125.
| [1] | Mastrangelo G, Coindre JM, Ducimetière F, et al. Incidence of soft tissue sarcoma and beyond: a population-based prospective study in 3 European regions[J].Cancer,2012,118(21): 5339-5348. DOI:10.1002/cncr.27555. pmid:22517534 |
| [2] | Stacchiotti S, Van Tine BA. Synovial sarcoma: current concepts and future perspectives[J].J Clin Oncol,2018,36(2): 180-187. DOI:10.1200/JCO.2017.75.1941. pmid:29220290 |
| [3] | Choong P, Pritchard D, Sim F, et al. Long-term survival in high-grade soft-tissue sarcoma-prognostic factors in synovial sarcoma[J].Int J Oncol,1995,7(1): 161-169. DOI:10.3892/ijo.7.1.161. pmid:21552822 |
| [4] | Jacobs AJ, Morris CD, Levin AS. Synovial sarcoma is not associated with a higher risk of lymph node metastasis compared with other soft tissue sarcomas[J].Clin Orthop Relat Res,2018,476(3): 589-598. DOI:10.1007/s11999.0000000000000057. |
| [5] | Nacev BA, Jones KB, Intlekofer AM, et al. The epigenomics of sarcoma[J].Nat Rev Cancer,2020,20(10): 608-623. DOI:10.1038/s41568-020-0288-4. pmid:32782366 |
| [6] | Salcedo-Hernández RA, Lino-Silva LS, Luna-Ortiz K. Synovial sarcomas of the head and neck: comparative analysis with synovial sarcoma of the extremities[J].Auris Nasus Larynx,2013,40(5): 476-480. DOI:10.1016/j.anl.2012.11.015. pmid:23260343 |
| [7] | Aytekin MN, Öztürk R, Amer K, et al. Epidemiology, incidence, and survival of synovial sarcoma subtypes: SEER database analysis[J].J Orthop Surg (Hong Kong),2020,28(2): 2309499020936009. DOI:10.1177/2309499020936009. |
| [8] | Seo SW, Kim J, Son J, et al. Evaluation of conditional treatment effects of adjuvant treatments on patients with synovial sarcoma using Bayesian subgroup analysis[J].BMC Med Inform Decis Mak,2020,20(1): 320. DOI:10.1186/s12911-020-01305-9. |
| [9] | Andrä C, Rauch J, Li M, et al. Excellent local control and survival after postoperative or definitive radiation therapy for sarcomas of the head and neck[J].Radiat Oncol,2015,10: 140. DOI:10.1186/s13014-015-0449-x. pmid:26156022 |
| [10] | Shein G, Sandhu G, Potter A, et al. Laryngeal synovial sarcoma: a systematic review of the last 40 years of reported cases[J].Ear Nose Throat J,2021,100(2): NP93-NP104. DOI:10.1177/0145561319850697. |
| [11] | Stanbouly D, Litman E, Lee KC, et al. Synovial sarcoma of the head & neck: a review of reported cases in the literature[J].J Stomatol Oral Maxillofac Surg,2020,122(5): 505-510. DOI:10.1016/j.jormas.2020.12.001. |
| [12] | Khan Y, Carey-Smith R, Taylor M, et al. Treatment and outcomes for synovial sarcoma patients in Western Australia: the role of neoadjuvant chemoradiotherapy[J].Cancer Rep (Hoboken),2020,3(6): e1268. DOI:10.1002/cnr2.1268. |
| [13] | 曹纯, 曾琴, 张天围. 头颈部滑膜肉瘤1例[J].国际肿瘤学杂志,2023,50(1): 60-61. DOI:10.3760/cma.j.cn371439-20221123-00012. |
| [14] | Guinchard AC, Monnier P, Jaquet Y, et al. Modified technique of functional vertical hemilaryngectomy for cancer invading 1 hemicricoid[J].Head Neck,2016,38(11): 1722-1727. DOI:10.1002/hed.24476. |
| [15] | Ng CT, Wong EHC, Prepageran N. Monophasic synovial sarcoma of the pyriform fossa[J].BMJ Case Rep,2020,13(11): e236204. DOI:10.1136/bcr-2020-236204. |
| [16] | O'Sullivan B, Davis AM, Turcotte R, et al. Preoperative versus postoperative radiotherapy in soft-tissue sarcoma of the limbs: a randomised trial[J].Lancet,2002,359(9325): 2235-2241. DOI:10.1016/S0140-6736(02)09292-9. pmid:12103287 |
| [1] | 高凡, 王萍, 杜超, 褚衍六.肠道菌群与结直肠癌非手术治疗的相关研究进展[J]. 国际肿瘤学杂志, 2024, 51(6): 376-381. |
| [2] | 王培鑫, 赵军, 徐世红, 姜朝阳, 王小强, 杨红娟.铁死亡相关机制在骨肉瘤中的应用进展[J]. 国际肿瘤学杂志, 2024, 51(5): 308-311. |
| [3] | 王子豪, 王宇, 杨鑫, 何艺, 莫兴奎, 袁涛.铁死亡在骨肉瘤中的分子机制及相关治疗的研究进展[J]. 国际肿瘤学杂志, 2024, 51(4): 239-244. |
| [4] | 姚昌菊, 朱治法, 张梅.晚期腹膜后去分化脂肪肉瘤1例并文献复习[J]. 国际肿瘤学杂志, 2024, 51(4): 254-256. |
| [5] | 李书月, 马辰莺, 周菊英, 徐晓婷, 秦颂兵.寡转移非小细胞肺癌的放疗进展[J]. 国际肿瘤学杂志, 2024, 51(3): 170-174. |
| [6] | 中国医师协会放射肿瘤治疗医师分会, 中华医学会放射肿瘤治疗学分会, 中国抗癌协会肿瘤放射治疗专业委员会.中国食管癌放射治疗指南(2023年版)[J]. 国际肿瘤学杂志, 2024, 51(1): 1-20. |
| [7] | 高新雨, 李振江, 孙洪福, 韩丹, 赵倩, 刘成新, 黄伟.基于MR加速器的MR引导放疗在食管癌患者中的临床应用[J]. 国际肿瘤学杂志, 2024, 51(1): 37-42. |
| [8] | 崔腾璐, 吕璐, 孙鹏飞.放疗联合免疫治疗在头颈部鳞状细胞癌治疗中的应用[J]. 国际肿瘤学杂志, 2023, 50(9): 548-552. |
| [9] | 刘金立, 徐建利, 徐腾飞, 张玉杰, 辛晓文.以凝血功能异常为首发表现的朗格汉斯细胞肉瘤1例[J]. 国际肿瘤学杂志, 2023, 50(9): 574-576. |
| [10] | 李开春, 丁昌利, 于文艳.安罗替尼联合特瑞普利单抗治疗晚期肺肉瘤样癌1例[J]. 国际肿瘤学杂志, 2023, 50(8): 511-512. |
| [11] | 李青珊, 谢鑫, 张楠, 刘帅.放疗联合系统治疗在乳腺癌中的应用进展[J]. 国际肿瘤学杂志, 2023, 50(6): 362-367. |
| [12] | 徐放, 朱文钿.肝细胞癌合并微血管侵犯术后辅助治疗现状[J]. 国际肿瘤学杂志, 2023, 50(5): 304-309. |
| [13] | 许萌, 姜伟, 朱海涛, 曹雄锋.癌相关成纤维细胞在肿瘤放疗抵抗中的研究进展[J]. 国际肿瘤学杂志, 2023, 50(4): 227-230. |
| [14] | 石小琪, 汪红艳.肠道菌群与放射性肠炎的相互作用及研究进展[J]. 国际肿瘤学杂志, 2023, 50(4): 244-247. |
| [15] | 魏雪, 张万芳, 王尤, 刘苗苗, 周福祥.心脏血管肉瘤1例并文献复习[J]. 国际肿瘤学杂志, 2023, 50(4): 252-254. |
| 阅读次数 | ||||||
| 全文 |
|
|||||
| 摘要 |
|
|||||