


国际肿瘤学杂志››2024,Vol. 51››Issue (2): 126-128.doi:10.3760/cma.j.cn371439-20230722-00020
• 病例报道 •上一篇
收稿日期:2023-07-22修回日期:2023-11-04出版日期:2024-02-08发布日期:2024-04-03通讯作者:付茂勇,Email:
Received:2023-07-22Revised:2023-11-04Online:2024-02-08Published:2024-04-03摘要:
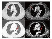
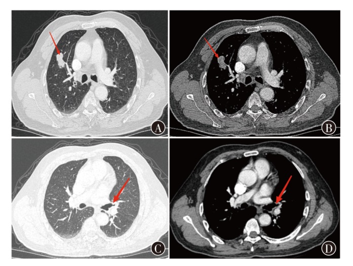
肺癌是我国发病率及死亡率最高的肿瘤性疾病之一,随着低剂量螺旋CT的广泛应用,早期肺癌的检出率逐年升高,双侧同时检出的病例也在逐渐增多,目前对于同期行袖式联合肺叶切除的病例研究较少,现报道1例单孔胸腔镜下左上肺舌段癌袖式切除同期行右肺上叶癌切除术患者的诊疗经过,并复习相关文献,供临床参考。
杨博, 付茂勇. 单孔胸腔镜下左上肺舌段癌袖式切除同期行右肺上叶癌切除术1例[J]. 国际肿瘤学杂志, 2024, 51(2): 126-128.
| [1] | 赵倩雯, 彭丹莉, 秦韬, 等. 1990—2019年全球肿瘤发病死亡分析[J].国际肿瘤学杂志,2023,50(7): 425-431. DOI:10.3760/cma.j.cn371439-20230315-00082. |
| [2] | Siegel RL, Miller KD, Jemal A. Cancer statistics, 2019[J].CA Cancer J Clin,2019,69(1): 7-34. DOI:10.3322/caac.21551. |
| [3] | Aiolfi A, Nosotti M, Micheletto G, et al. Pulmonary lobectomy for cancer: systematic review and network meta-analysis comparing open, video-assisted thoracic surgery, and robotic approach[J].Surgery,2021,169(2): 436-446. DOI:10.1016/j.surg.2020.09.010. |
| [4] | Nakagawa K, Yoshida Y, Yotsukura M, et al. Minimally invasive open surgery (MIOS) for clinical stage Ⅰ lung cancer: diversity in minimally invasive procedures[J].Jpn J Clin Oncol,2021,51(11): 1649-1655. DOI:10.1093/jjco/hyab128. pmid:34373902 |
| [5] | National Comprehensive Cancer Network. The NCCN Clinical Practice Guidlines in Oncology for Non-small Cell Lung Cancer (version 3. 2023)[EB/OL]. (2023-04-13)[2023-05-06]. https://www.nccn.org/guidelines/guidelines-detail?category=1&id=1450https://www.nccn.org/guidelines/guidelines-detail?category=1&id=1450. |
| [6] | Santambrogio L, Cioffi U, De Simone M, et al. Video-assisted sleeve lobectomy for mucoepidermoid carcinoma of the left lower lobar bronchus: a case report[J].Chest,2002,121(2): 635-636. DOI:10.1378/chest.121.2.635. pmid:11834681 |
| [7] | Zhang C, Ma Y, Yu Z, et al. Comparison of efficacy and safety of hybrid video-assisted thoracoscopic surgeryvs.thoracotomy sleeve lobectomy for non-small cell lung cancer: a propensity score ma-tching study[J].J Thorac Dis,2022,14(7): 2635-2644. DOI:10.21037/jtd-22-754. |
| [8] | Balduyck B, Hendriks J, Lauwers P, et al. Quality of life after lung cancer surgery: a prospective pilot study comparing bronchial sleeve lobectomy with pneumonectomy[J].J Thorac Oncol,2008,3(6): 604-608. DOI:10.1097/JTO.0b013e318170fca4. pmid:18520798 |
| [9] | Matsuo T, Imai K, Takashima S, et al. Outcomes and pulmonary function after sleeve lobectomy compared with pneumonectomy in patients with non-small cell lung cancer[J].Thorac Cancer,2023,14(9): 827-833. DOI:10.1111/1759-7714.14813. pmid:36727556 |
| [10] | Gonzalez-Rivas D, Fernandez R, de la Torre M, et al. Thoracoscopic lobectomy through a single incision[J].Multimed Man Cardiothorac Surg,2012,2012: mms007. DOI:10.1093/mmcts/mms007. |
| [11] | Callister ME, Baldwin DR. How should pulmonary nodules be optimally investigated and managed?[J].Lung Cancer,2016,91: 48-55. DOI:10.1016/j.lungcan.2015.10.018. pmid:26711934 |
| [12] | Yang H, Sun Y, Yao F, et al. Surgical therapy for bilateral multiple primary lung cancer[J].Ann Thorac Surg,2016,101(3): 1145-1152. DOI:10.1016/j.athoracsur.2015.09.028. pmid:26602007 |
| [13] | Qu R, Tu D, Ping W, et al. Surgical outcomes of one-stage resection for synchronous multiple primary lung adenocarcinomas with no less than three lesions[J].J Cardiothorac Surg,2021,16(1): 265. DOI:10.1186/s13019-021-01647-z. pmid:34544453 |
| [14] | Chen TF, Xie CY, Rao BY, et al. Surgical treatment to multiple primary lung cancer patients: a systematic review and meta-analysis[J].BMC Surg,2019,19(1): 185. DOI:10.1186/s12893-019-0643-0. |
| [15] | 叶艺旺, 岳巍, 谢远财, 等. 同期双侧胸腔镜肺切除术治疗早期多原发肺癌的可行性分析[J].中国实用医药,2020,15(24): 48-50. DOI:10.14163/j.cnki.11-5547/r.2020.24.019. |
| [16] | 许博, 陈献国, 王叶萍, 等. 同期胸腔镜下双侧肺多发结节切除手术40例病例研究[J].中华全科医学,2020,18(11): 1842-1844, 1965. DOI:10.16766/j.cnki.issn.1674-4152.001633. |
| [17] | Wang Z, Zhang X, Sun X, et al. One-stage VATS surgery for synchronous bilateral lung lesion: a safe and feasible procedure[J].J Cardiothorac Surg,2023,18(1): 126. DOI:10.1186/s13019-023-02215-3. pmid:37041593 |
| [18] | Huang C, Sun Y, Wu Q, et al. Simultaneous bilateral pulmonary resection via single-utility port VATS for multiple pulmonary nodules: a single-center experience of 16 cases[J].Thorac Cancer,2021,12(4): 525-533. DOI:10.1111/1759-7714.13791. pmid:33354921 |
| [19] | Cao C, Louie BE, Melfi F, et al. Impact of pulmonary function on pulmonary complications after robotic-assisted thoracoscopic lobectomy[J].Eur J Cardiothorac Surg,2020,57(2): 338-342. DOI:10.1093/ejcts/ezz205. pmid:31332434 |
| [20] | Ceppa DP, Kosinski AS, Berry MF, et al. Thoracoscopic lobectomy has increasing benefit in patients with poor pulmonary function: a Society of Thoracic Surgeons Database analysis[J].Ann Surg,2012,256(3): 487-493. DOI:10.1097/SLA.0b013e318265819c. pmid:22868367 |
| [21] | Almquist D, Khanal N, Smith L, et al. Preoperative pulmonary function tests (PFTs) and outcomes from resected early stage non-small cell lung cancer (NSCLC)[J].Anticancer Res,2018,38(5): 2903-2907. DOI:10.21873/anticanres.12537. pmid:29715115 |
| [22] | Hanagiri T, Baba T, Ichiki Y, et al. Sleeve lobectomy for patients with non-small cell lung cancer[J].Int J Surg,2010,8(1): 39-43. DOI:10.1016/j.ijsu.2009.10.004. pmid:19850158 |
| [23] | Gould MK, Garcia DA, Wren SM, et al. Prevention of VTE in nonorthopedic surgical patients: antithrombotic therapy and prevention of thrombosis, 9th ed: American College of Chest Physicians evidence-based clinical practice guidelines[J].Chest,2012,141(2 Suppl): e227S-e277S. DOI:10.1378/chest.11-2297. |
| [1] | 左小平, 刘晓川, 吴西强, 李周, 夏天, 刘国凤.老年早期肺癌患者经胸腔镜肺切除术后心律失常发生的危险因素及预测模型构建[J]. 国际肿瘤学杂志, 2023, 50(12): 711-716. |
| [2] | 王波, 王彬, 张连斌, 初向阳.CT引导下穿刺定位联合单操作孔胸腔镜切除肺磨玻璃密度微小结节的临床研究[J]. 国际肿瘤学杂志, 2015, 42(8): 573-575. |
| [3] | 范开杰;刘阳;杨博;戴为民;林吉兴;初向阳.电视胸腔镜肺叶切除术细管辅助胸腔闭式引流疗效分析[J]. 国际肿瘤学杂志, 2015, 42(4): 245-248. |
| 阅读次数 | ||||||
| 全文 |
|
|||||
| 摘要 |
|
|||||
