


国际肿瘤学杂志››2023,Vol. 50››Issue (4): 252-254.doi:10.3760/cma.j.cn371439-20221230-00050
收稿日期:2022-12-30修回日期:2023-03-07出版日期:2023-04-08发布日期:2023-06-12通讯作者:周福祥,Email:
Received:2022-12-30Revised:2023-03-07Online:2023-04-08Published:2023-06-12摘要:
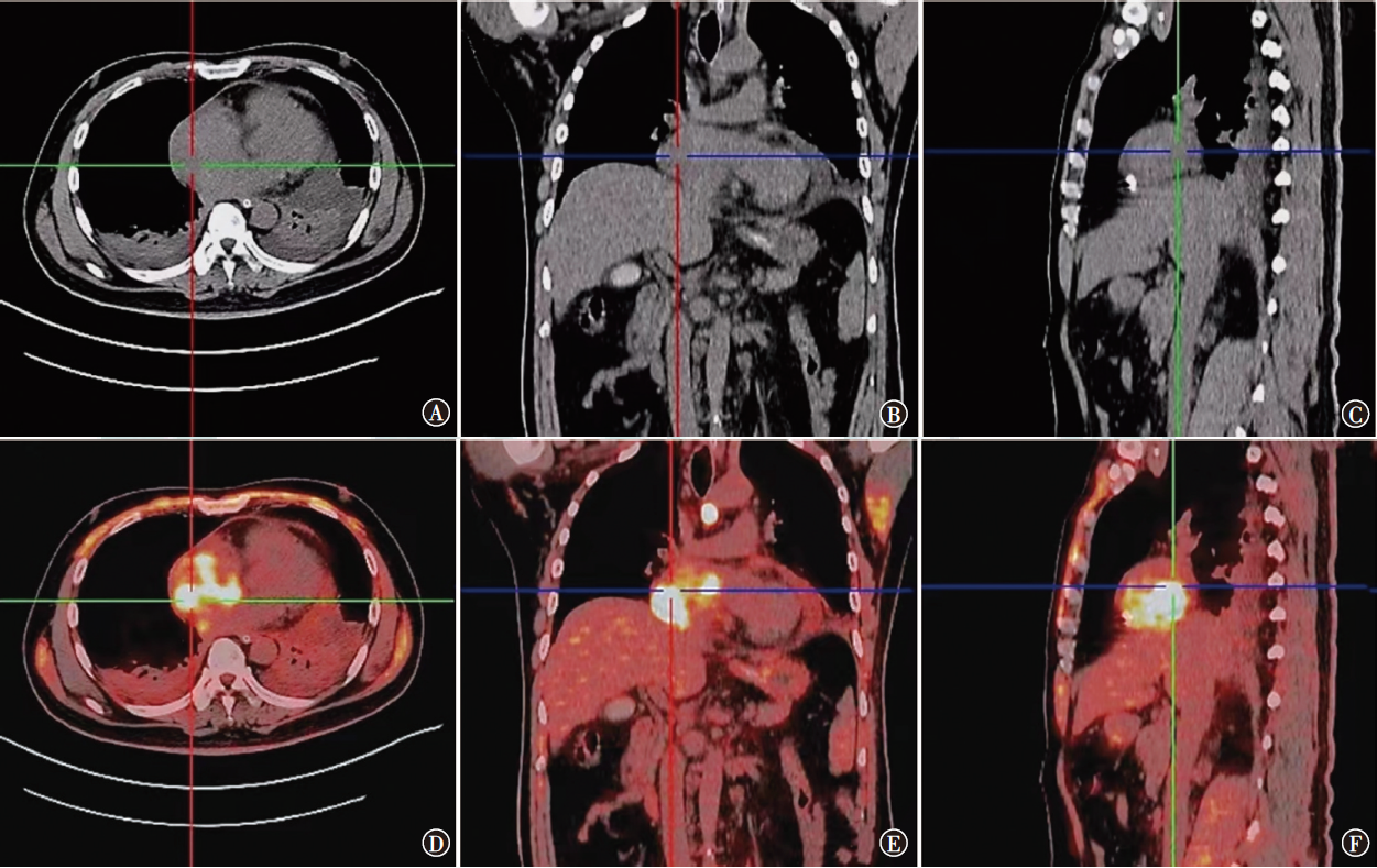
原发性心脏血管肉瘤是一种来源于血管内皮的恶性肿瘤,极为罕见且预后极差,病理诊断特异性及敏感性较高的标志物是CD31和CD34,手术不能根治性切除,姑息放疗、系统化疗和抗血管生成靶向治疗可延长患者生存期。现报道1例心脏原发血管肉瘤患者的诊疗经过,并就相关文献进行复习,以提高对该类疾病的认识。
魏雪, 张万芳, 王尤, 刘苗苗, 周福祥. 心脏血管肉瘤1例并文献复习[J]. 国际肿瘤学杂志, 2023, 50(4): 252-254.
| [1] | Butany J, Nair V, Naseemuddin A, et al. Cardiac tumours: diagnosis and management[J]. Lancet Oncol, 2005, 6(4): 219-228. DOI: 10.1016/S1470-2045(05)70093-0. doi:10.1016/S1470-2045(05)70093-0pmid:15811617 |
| [2] | Chen Y, Li Y, Zhang N, et al. Clinical and imaging features of primary cardiac angiosarcoma[J]. Diagnostics (Basel), 2020, 10(10): 776. DOI: 10.3390/diagnostics10100776. doi:10.3390/diagnostics10100776 |
| [3] | Fields EC, Squires B, Lomas H. Treating the critically ill with radiotherapy: lessons learned from a young woman with cardiac angiosarcoma[J]. Front Oncol, 2017, 7: 29. DOI: 10.3389/fonc.2017.00029. doi:10.3389/fonc.2017.00029pmid:28303236 |
| [4] | Chan EY, Ali A, Zubair MM, et al. Primary cardiac sarcomas: treatment strategies[J/OL]. J Thorac Cardiovasc Surg, 2022: S0022- 5223(22)00100-3. DOI: 10.1016/j.jtcvs.2021.10.070. doi:10.1016/j.jtcvs.2021.10.070 |
| [5] | 黄文鹏, 侯佳蒙, 刘娜娜, 等. 原发性心脏血管肉瘤的临床影像分析[J]. 临床放射学杂志, 2021, 40(11): 2105-2110. DOI: 10.13437/j.cnki.jcr.2021.11.013. doi:10.13437/j.cnki.jcr.2021.11.013 |
| [6] | Goncalves I, Nunes C, Vieira C, et al. Primary cardiac angiosarcoma: a rare and fatal diagnosis[J]. Cureus, 2021, 13(12): e20816. DOI: 10.7759/cureus.20816. doi:10.7759/cureus.20816 |
| [7] | Kumar P, Singh A, Deshmukh A, et al. Cardiac MRI for the evaluation of cardiac neoplasms[J]. Clin Radiol, 2020, 75(4): 241-253. DOI: 10.1016/j.crad.2019.11.014. doi:S0009-9260(19)30659-2pmid:31902480 |
| [8] | Kupsky DF, Newman DB, Kumar G, et al. Echocardiographic features of cardiac angiosarcomas: the Mayo Clinic experience (1976-2013)[J]. Echocardiography, 2016, 33(2): 186-192. DOI: 10.1111/echo.13060. doi:10.1111/echo.13060pmid:26460068 |
| [9] | Young RJ, Brown NJ, Reed MW, et al. Angiosarcoma[J]. Lancet Oncol, 2010, 11(10): 983-991. DOI: 10.1016/S1470-2045(10)70023-1. doi:10.1016/S1470-2045(10)70023-1pmid:20537949 |
| [10] | 刘秋雨, 胡庆, 缑向楠, 等. 原发性心脏血管肉瘤临床病理及遗传学特征[J]. 中华病理学杂志, 2022, 51(1): 47-49. DOI: 10.3760/cma.j.cn112151-20210622-00451. doi:10.3760/cma.j.cn112151-20210622-00451 |
| [11] | 赵昕, 钱坤, 张毅. 原发性心脏血管肉瘤化疗联合免疫治疗1例并文献复习[J]. 中国药物应用与监测, 2021, 18(6): 413-416. DOI: 10.3969/j.issn.1672-8157.2021.06.016. doi:10.3969/j.issn.1672-8157.2021.06.016 |
| [12] | Matthaei H, Krieg A, Schmelzle M, et al. Long-term survival after surgery for primary hepatic sarcoma in adults[J]. Arch Surg, 2009, 144(4): 339-344. DOI: 10.1001/archsurg.2009.30. doi:10.1001/archsurg.2009.30pmid:19380647 |
| [13] | 王湛博, 韦立新. 肝原发血管肉瘤临床及病理学特点分析[J]. 中华病理学杂志, 2013, 42(6): 376-380. DOI: 10.3760/cma.j.issn.0529-5807.2013.06.005. doi:10.3760/cma.j.issn.0529-5807.2013.06.005 |
| [14] | Yi LL, Zhang JX, Zhou SG, et al. CT and MRI studies of hepatic angiosarcoma[J]. Clin Radiol, 2019, 74(5): 406. e1-406.e8. DOI: 10.1016/j.crad.2018.12.013. doi:10.1016/j.crad.2018.12.013 |
| [15] | 王丹丹, 赖沛宝, 王继宇, 等. 首诊伴心脏转移的食管鳞状细胞癌一例[J]. 国际肿瘤学杂志, 2021, 48(4): 254-256. DOI: 10.3760/cma.j.cn371439-20200831-00051. doi:10.3760/cma.j.cn371439-20200831-00051 |
| [16] | Hur CJ, Min BR, Lee YJ, et al. Clinical courses of primary hepatic angiosarcoma: retrospective analysis of eight cases[J]. Korean J Gastroenterol, 2015, 65(4): 229-235. DOI: 10.4166/kjg.2015.65.4.229. doi:10.4166/kjg.2015.65.4.229pmid:25896157 |
| [17] | Torabi S, Arjomandi Rad A, Vardanyan R, et al. Surgical and multimodality treatment of cardiac sarcomas: a systematic review and meta-analysis[J]. J Card Surg, 2021, 36(7): 2476-2485. DOI: 10.1111/jocs.15538. doi:10.1111/jocs.15538pmid:33797789 |
| [18] | Fang X, Zheng S. Primary cardiac angiosarcoma: a case report[J]. J Int Med Res, 2021, 49(8): 3000605211033261. DOI: 10.1177/03000605211033261. doi:10.1177/03000605211033261 |
| [19] | Suzuki T, Yamamoto Y, Sakamoto N, et al. Dramatic recovery from cardiovascular collapse: paclitaxel as an urgent treatment for primary cardiac angiosarcoma[J]. Intern Med, 2021, 60(1): 67-71. DOI: 10.2169/internalmedicine.5420-20. doi:10.2169/internalmedicine.5420-20 |
| [20] | Fiste O, Dimos A, Kardara VE, et al. Propranolol and weekly paclitaxel in the treatment of metastatic heart angiosarcoma[J]. Cureus, 2020, 12(12): e12262. DOI: 10.7759/cureus.12262. doi:10.7759/cureus.12262 |
| [21] | 祝冰晶, 罗虎, 唐春兰. 安罗替尼治疗原发性胸膜及心包血管肉瘤1例[J]. 肿瘤预防与治疗, 2020, 33(9): 813-816. DOI: 10.3969/j.issn.1674-0904.2020.09.014. doi:10.3969/j.issn.1674-0904.2020.09.014 |
| [1] | 刘娜, 寇介丽, 杨枫, 刘桃桃, 李丹萍, 韩君蕊, 杨立洲.血清miR-106b-5p、miR-760联合低剂量螺旋CT诊断早期肺癌的临床价值[J]. 国际肿瘤学杂志, 2024, 51(6): 321-325. |
| [2] | 钱晓涛, 石子宜, 胡格, 吴晓维.Ⅲ~ⅣA期食管鳞状细胞癌放化疗后行巩固化疗的疗效:一项真实世界临床研究[J]. 国际肿瘤学杂志, 2024, 51(6): 326-331. |
| [3] | 杨蜜, 别俊, 张加勇, 邓佳秀, 唐组阁, 卢俊.局部晚期可切除食管癌新辅助治疗疗效及预后分析[J]. 国际肿瘤学杂志, 2024, 51(6): 332-337. |
| [4] | 袁健, 黄燕华.Hp-IgG抗体联合血清DKK1、sB7-H3对早期胃癌的诊断价值[J]. 国际肿瘤学杂志, 2024, 51(6): 338-343. |
| [5] | 张百红, 岳红云.新作用机制的抗肿瘤药物进展[J]. 国际肿瘤学杂志, 2024, 51(6): 354-358. |
| [6] | 许凤琳, 吴刚.EBV在鼻咽癌肿瘤免疫微环境和免疫治疗中的研究进展[J]. 国际肿瘤学杂志, 2024, 51(6): 359-363. |
| [7] | 王盈, 刘楠, 郭兵.抗体药物偶联物在转移性乳腺癌治疗中的研究进展[J]. 国际肿瘤学杂志, 2024, 51(6): 364-369. |
| [8] | 张宁宁, 杨哲, 檀丽梅, 李振宁, 王迪, 魏永志.宫颈细胞DNA倍体分析联合B7-H4和PKCδ对宫颈癌的诊断价值[J]. 国际肿瘤学杂志, 2024, 51(5): 286-291. |
| [9] | 陈琦, 徐晨阳, 王寅, 雷大鹏.高光谱成像在头颈部肿瘤诊疗中的应用现状[J]. 国际肿瘤学杂志, 2024, 51(5): 298-302. |
| [10] | 王培鑫, 赵军, 徐世红, 姜朝阳, 王小强, 杨红娟.铁死亡相关机制在骨肉瘤中的应用进展[J]. 国际肿瘤学杂志, 2024, 51(5): 308-311. |
| [11] | 王昆, 周中新, 臧其威.血清TGF-β1、VEGF水平对非小细胞肺癌患者单孔胸腔镜根治术后复发的预测价值[J]. 国际肿瘤学杂志, 2024, 51(4): 198-203. |
| [12] | 萨蔷, 徐航程, 王佳玉.乳腺癌免疫治疗研究进展[J]. 国际肿瘤学杂志, 2024, 51(4): 227-234. |
| [13] | 杨智, 陆以乔, 顾花艳, 丁佳玲, 郭贵龙.肿瘤微环境介导乳腺癌靶向治疗耐药的研究进展[J]. 国际肿瘤学杂志, 2024, 51(4): 235-238. |
| [14] | 王子豪, 王宇, 杨鑫, 何艺, 莫兴奎, 袁涛.铁死亡在骨肉瘤中的分子机制及相关治疗的研究进展[J]. 国际肿瘤学杂志, 2024, 51(4): 239-244. |
| [15] | 张栋岩, 王品, 魏秋亚, 邓成伍, 魏相相, 高远飞, 王琛.索凡替尼靶向联合卡培他滨和奥沙利铂治疗肝内胆管癌术后患者1例及文献复习[J]. 国际肿瘤学杂志, 2024, 51(4): 249-253. |
| 阅读次数 | ||||||
| 全文 |
|
|||||
| 摘要 |
|
|||||
