


国际肿瘤学杂志››2020,Vol. 47››Issue (4): 199-204.doi:10.3760/cma.j.cn371439-20200116-00002
田翎含1, 朱玲2, 刘馨1, 叶静雯1, 何嘉慧1, 王熙才1(
)
收稿日期:2020-01-16修回日期:2020-03-11出版日期:2020-04-08发布日期:2020-05-26通讯作者:王熙才 E-mail:wangxc2005323@126.com基金资助:
Tian Linghan1, Zhu Ling2, Liu Xin1, Ye Jingwen1, He Jiahui1, Wang Xicai1(
)
Received:2020-01-16Revised:2020-03-11Online:2020-04-08Published:2020-05-26Contact:Wang Xicai E-mail:wangxc2005323@126.comSupported by:
摘要:
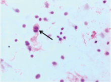
目的应用CI-101细胞搜寻免疫磁珠富集技术结合荧光细胞化学染色方法,探讨肺癌患者外周静脉血中循环肿瘤细胞(CTC)水平与肺癌患者临床病理特征及生物标志物之间的相关性。方法采集2014年3月至2014年9月云南省肿瘤医院胸外科和胸心外科收治的100例首诊肺癌患者、40例肺部良性肿瘤患者(均经过病理活检确诊)及体检中心30例健康志愿者的血样。应用CI-101细胞搜寻免疫磁珠富集外周血中的CTC,应用免疫细胞荧光技术对CTC行形态学分析,并用HE细胞染色方法鉴定肿瘤细胞。检测CI-101细胞搜寻仪对CTC的回收率、灵敏度、特异度;比较肺癌患者、肺部良性肿瘤患者及健康志愿者外周血CTC阳性率的区别;分析肺癌患者CTC阳性率与患者临床病理特征之间的关系;采用列联系数分析肺癌患者及肺部良性肿瘤患者CTC与血清肿瘤标志物之间的相关性。结果用CI-101细胞搜寻仪检测CTC回收率为72.0%~89.0%,且回收的细胞数与掺入细胞数有显著线性相关性,相关系数r=0.998(P<0.001),线性回归方程为:y=0.781x+11.307,灵敏度为85.0%,特异度为71.4%。肺癌患者组CTC阳性率(85.0%,85/100)高于肺部良性肿瘤患者组(15.0%,6/40)及健康志愿者组(46.7%,14/30)(χ2=62.798,P<0.001);CTC阳性率与肺癌患者TNM分期(χ2=19.059,P<0.001)、肿瘤大小(χ2=13.830,P<0.001)、有无远处转移(χ2=6.005,P=0.014)均相关。肺癌患者及肺部良性肿瘤患者CTC阳性与血清肿瘤标志物CEA(φ=0.217,P=0.011)、CA125(φ=0.198,P=0.020)、CA199(φ=0.169,P=0.049)、CA742(φ=0.186,P=0.037)、细胞角蛋白19片段(φ=0.461,P<0.001)呈正相关。结论应用CI-101细胞搜寻仪联合免疫磁珠法可成功富集肺癌患者外周静脉血中的CTC,肺癌患者的CTC阳性率与患者的肿瘤大小、TNM分期、有无远处转移、血清肿瘤标志物有明显相关性,可作为肺癌患者病情监测的辅助指标。
田翎含, 朱玲, 刘馨, 叶静雯, 何嘉慧, 王熙才. CI-101检测肺癌患者外周血循环肿瘤细胞水平及其临床意义[J]. 国际肿瘤学杂志, 2020, 47(4): 199-204.
Tian Linghan, Zhu Ling, Liu Xin, Ye Jingwen, He Jiahui, Wang Xicai. Level of peripheral blood circulating tumor cells in lung cancer patients detected by CI-101 and its clinical significance[J]. Journal of International Oncology, 2020, 47(4): 199-204.
表3
100例肺癌患者外周血中CTC阳性率与临床病理特征的关系"
| 临床病理 特征 |
CTC阳性 (n=85) |
CTC阴性 (n=15) |
阳性率 (%) |
χ2值 | P值 |
|---|---|---|---|---|---|
| 年龄(岁) | |||||
| <50 | 17 | 1 | 94.4 | 0.765 | 0.382 |
| ≥50 | 68 | 14 | 82.9 | ||
| 性别 | |||||
| 男性 | 59 | 11 | 84.2 | 0.093 | 0.760 |
| 女性 | 26 | 4 | 86.7 | ||
| TNM分期 | |||||
| Ⅰ~Ⅱ期 | 14 | 11 | 50.0 | 19.059 | <0.001 |
| Ⅲ~Ⅳ期 | 71 | 4 | 94.4 | ||
| 肿瘤大小(cm) | |||||
| <3 | 15 | 10 | 57.7 | 13.830 | <0.001 |
| ≥3 | 70 | 5 | 86.5 | ||
| 病理类型 | |||||
| 鳞状细胞癌 | 14 | 3 | 82.3 | 2.152 | 0.348 |
| 腺癌 | 44 | 10 | 81.5 | ||
| 其他 | 27 | 2 | 93.1 | ||
| 远处转移 | |||||
| 有 | 72 | 8 | 77.5 | 6.005 | 0.014 |
| 无 | 13 | 7 | 45.0 |
表4
140例肺癌患者及肺部良性肿瘤患者CTC阳性与血清肿瘤标志物的关系(例)"
| 肿瘤标志物a | CTC阳性 | CTC阴性 | φ值 | P值 |
|---|---|---|---|---|
| CEA | ||||
| 阳性 | 40 | 49 | 0.217 | 0.011 |
| 阴性 | 11 | 37 | ||
| CA125 | ||||
| 阳性 | 36 | 53 | 0.198 | 0.020 |
| 阴性 | 10 | 38 | ||
| CA153 | ||||
| 阳性 | 2 | 64 | -0.117 | 0.211 |
| 阴性 | 4 | 44 | ||
| CA199 | ||||
| 阳性 | 19 | 69 | 0.169 | 0.049 |
| 阴性 | 4 | 44 | ||
| CA242 | ||||
| 阳性 | 16 | 72 | 0.164 | 0.055 |
| 阴性 | 3 | 45 | ||
| CA742 | ||||
| 阳性 | 20 | 62 | 0.186 | 0.037 |
| 阴性 | 4 | 40 | ||
| 细胞角蛋白19片段 | ||||
| 阳性 | 55 | 27 | 0.461 | <0.001 |
| 阴性 | 8 | 35 | ||
| 铁蛋白 | ||||
| 阳性 | 38 | 45 | 0.060 | 0.503 |
| 阴性 | 17 | 26 |
| [1] | Balata H, Fong KM, Hendriks LE , et al. Prevention and early detection for non-small cell lung cancer: advances in thoracic oncology 2018[J]. J Thorac Oncol, 2019,14(9):1513-1527. DOI: 10.1016/j.jtho.2019.06.011. doi:10.1016/j.jtho.2019.06.011 |
| [2] | Siegel RL, Miller KD, Jemal A . Cancer statistics, 2018[J]. CA Cancer J Clin, 2018,68(1):7-30. DOI: 10.3322/caac.21442. doi:10.3322/caac.21442 |
| [3] | Bray F, Ferlay J, Soerjomataram I , et al. Global cancer statistics 2018: GLOBOCAN estimates of incidence and mortality worldwide for 36 cancers in 185 countries[J]. CA Cancer J Clin, 2018,68(6):394-424. DOI: 10.3322/caac.21492. doi:10.3322/caac.v68.6 |
| [4] | Perumal V, Corica T, Dharmarajan AM , et al. Circulating tumour cells (CTC), head and neck cancer and radiotherapy; future perspectives[J]. Cancers (Basel), 2019,11(3):367. DOI: 10.3390/cancers11030367. doi:10.3390/cancers11030367 |
| [5] | Lozar T, Gersak K, Cemazar M , et al. The biology and clinical potential of circulating tumor cells[J]. Radiol Oncol, 2019,53(2):131-147. DOI: 10.2478/raon-2019-0024. doi:10.2478/raon-2019-0024 |
| [6] | Bailey PC, Martin SS . Insights on CTC biology and clinical impact emerging from advances in capture technology[J]. Cells, 2019,8(6):553. DOI: 10.3390/cells8060553. doi:10.3390/cells8060553 |
| [7] | Truini A, Alama A, Dal Bello MG , et al. Clinical applications of circulating tumor cells in lung cancer patients by CellSearch system[J]. Front Oncol, 2014,4:242. DOI: 10.3389/fonc.2014.00242. |
| [8] | Adams DL, Stefansson S, Haudenschild C , et al. Cytometric characterization of circulating tumor cells captured by microfiltration and their correlation to the CellSearch(®) CTC test[J]. Cytometry A, 2015,87(2):137-144. DOI: 10.1002/cyto.a.22613. doi:10.1002/cyto.a.22613 |
| [9] | 秦子敏, 杨丁, 何山宏 , 等. 循环肿瘤细胞在肺癌诊断中的应用及临床意义[J]. 基因组学与应用生物学, 2019,38(7):3228-3232. DOI: 10.13417/j.gab.038.003228. |
| [10] | Myung JH, Park SJ, Wang AZ , et al. Integration of biomimicry and nanotechnology for significantly improved detection of circulating tumor cells (CTCs)[J]. Adv Drug Deliv Rev, 2018,125:36-47. DOI: 10.1016/j.addr.2017.12.005. doi:10.1016/j.addr.2017.12.005 |
| [11] | Huo J, Chung TH, Kim B , et al. Provider-patient discussions about smoking and the impact of lung cancer screening guidelines: NHIS 2011-2015[J]. J Gen Intern Med, 2020,35(1):43-50. DOI: 10.1007/s11606-019-05111-6. doi:10.1007/s11606-019-05111-6 |
| [12] | Li Y, Tian X, Gao L , et al. Clinical significance of circulating tumor cells and tumor markers in the diagnosis of lung cancer[J]. Cancer Med, 2019,8(8):3782-3792. DOI: 10.1002/cam4.2286. |
| [13] | Sharma P, Mehta M, Dhanjal DS , et al. Emerging trends in the novel drug delivery approaches for the treatment of lung cancer[J]. Chem Biol Interact, 2019,309:108720. DOI: 10.1016/j.cbi.2019.06.033. doi:10.1016/j.cbi.2019.06.033 |
| [14] | 吴方, 赵京, 张侠 , 等. 循环肿瘤细胞与肿瘤标志物在肺癌诊断中的价值比较[J]. 国际检验医学杂志, 2020,41(5):527-531. DOI: 10.3969/j.issn.1673-4130.2020.05.004. |
| [15] | Maly V, Maly O, Kolostova K , et al. Circulating tumor cells in diagnosis and treatment of lung cancer[J]. In Vivo, 2019,33(4):1027-1037. DOI: 10.21873/invivo.11571. doi:10.21873/invivo.11571 |
| [16] | Hanssen A, Wagner J, Gorges TM , et al. Characterization of different CTC subpopulations in non-small cell lung cancer[J]. Sci Rep, 2016,6:28010. DOI: 10.1038/srep28010. doi:10.1038/srep28010 |
| [17] | Tong B, Xu Y, Zhao J , et al. Prognostic significance of circulating tumor cells in non-small cell lung cancer patients undergoing chemotherapy[J]. Oncotarget, 2017,8(49):86615-86624. DOI: 10.18632/oncotarget.21255. doi:10.18632/oncotarget.v8i49 |
| [1] | 刘娜, 寇介丽, 杨枫, 刘桃桃, 李丹萍, 韩君蕊, 杨立洲.血清miR-106b-5p、miR-760联合低剂量螺旋CT诊断早期肺癌的临床价值[J]. 国际肿瘤学杂志, 2024, 51(6): 321-325. |
| [2] | 王丽, 刘志华, 杨伟洪, 蒋凤莲, 李全泳, 宋浩杰, 鞠文东.ROS1突变肺腺鳞癌合并脑梗死为主要表现的Trousseau综合征1例[J]. 国际肿瘤学杂志, 2024, 51(6): 382-384. |
| [3] | 贺嘉慧, 胡钦勇.基于GBD数据的中国和美国肺癌发病和死亡趋势及危险因素对比分析[J]. 国际肿瘤学杂志, 2024, 51(1): 29-36. |
| [4] | 李雄安, 颜艳艳.丙戊酸镁用于治疗继发癫痫的晚期肺癌脑转移患者1例报道[J]. 国际肿瘤学杂志, 2023, 50(3): 191-192. |
| [5] | 左小平, 刘晓川, 吴西强, 李周, 夏天, 刘国凤.老年早期肺癌患者经胸腔镜肺切除术后心律失常发生的危险因素及预测模型构建[J]. 国际肿瘤学杂志, 2023, 50(12): 711-716. |
| [6] | 陈郁, 许华, 刘海, 陈士新.基于CT影像学特征的恶性肺纯磨玻璃结节患者病理分型预测模型构建[J]. 国际肿瘤学杂志, 2023, 50(11): 655-660. |
| [7] | 张万芳, 王尤, 苏晶, 陈刚, 周福祥.肺原发尤文肉瘤/原始神经外胚层瘤1例[J]. 国际肿瘤学杂志, 2023, 50(1): 62-64. |
| [8] | 杨莎, 杨晓华, 王苏华, 薛晓燕, 徐俊.老年肺癌胸腔镜手术后下肢深静脉血栓的危险因素分析及预测模型的建立和验证[J]. 国际肿瘤学杂志, 2022, 49(9): 532-536. |
| [9] | 王津, 张耀圣, 孙婷婷, 王丹, 胡乃东.以前胸壁聚集性多发蕈状肿物为表现的肺腺鳞状细胞癌皮肤转移1例[J]. 国际肿瘤学杂志, 2022, 49(9): 575-576. |
| [10] | 陈煌婧, 朱鹏飞, 张晴, 陈桂芳, 杨春林, 何英.超声造影和CT引导下经皮穿刺活检在周围型肺肿块诊断中临床价值的比较[J]. 国际肿瘤学杂志, 2022, 49(8): 459-463. |
| [11] | 蔡刚祥, 李境, 许斌.肺癌新辅助免疫治疗研究进展[J]. 国际肿瘤学杂志, 2022, 49(6): 366-370. |
| [12] | 韩丛丛, 付帅, 谢超, 张建军, 张秋景, 祝情情, 刘杰.吉非替尼、培美曲塞和贝伐珠单抗一线治疗EGFR突变晚期肺腺癌的有效性和安全性[J]. 国际肿瘤学杂志, 2022, 49(6): 376-379. |
| [13] | 王永洪, 何弢, 李星, 罗启余, 王乔羽.信迪利单抗致晚期鳞状细胞肺癌患者致死性中毒性表皮坏死松解症1例[J]. 国际肿瘤学杂志, 2022, 49(6): 380-382. |
| [14] | 张静娴, 易丹, 李小江.抗体偶联药物在非小细胞肺癌中的应用[J]. 国际肿瘤学杂志, 2022, 49(5): 296-301. |
| [15] | 高敏, 冯静, 王丽, 钟海, 文昱婷, 万兵, 张秀伟.微生物群与肺癌的早期诊断及辅助治疗[J]. 国际肿瘤学杂志, 2022, 49(4): 247-251. |
| 阅读次数 | ||||||
| 全文 |
|
|||||
| 摘要 |
|
|||||