国际肿瘤学杂志 ›› 2022, Vol. 49 ›› Issue (9): 575-576.doi: 10.3760/cma.j.cn371439-20220516-00113

• 病例报道 • 上一篇    

以前胸壁聚集性多发蕈状肿物为表现的肺腺鳞状细胞癌皮肤转移1例

王津, 张耀圣, 孙婷婷, 王丹, 胡乃东()   

  1. 北京中医药大学东直门医院通州院区肿瘤科,北京 010000
  • 收稿日期:2022-05-16 修回日期:2022-06-01 出版日期:2022-09-08 发布日期:2022-10-21
  • 通讯作者: 胡乃东 E-mail:727682727@qq.com

  • Received:2022-05-16 Revised:2022-06-01 Online:2022-09-08 Published:2022-10-21

摘要:

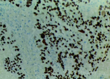
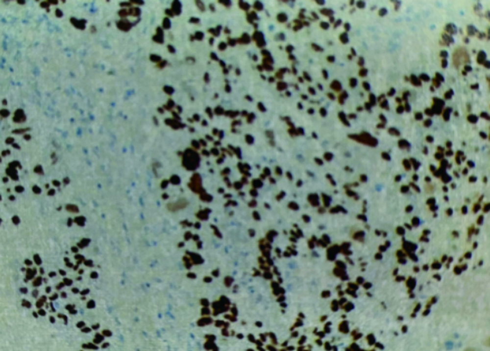
腺鳞状细胞癌是一种少见的肺恶性肿瘤病理类型,以前胸壁区域聚集性、多发性蕈状肿物为表现的皮肤转移癌更为罕见。现报道1例以前胸壁聚集性多发蕈状肿物为表现的肺腺鳞状细胞癌皮肤转移病例的诊疗情况并文献复习,以帮助临床对此类皮肤转移癌的早期诊断及治疗。

关键词: 肺肿瘤, 癌, 鳞状细胞, 蕈状肿物, 皮肤转移

Baidu
map