


国际肿瘤学杂志››2024,Vol. 51››Issue (6): 382-384.doi:10.3760/cma.j.cn371439-20240215-00066
• 病例报道 •上一篇
王丽1, 刘志华2, 杨伟洪3, 蒋凤莲1, 李全泳1, 宋浩杰1, 鞠文东1(
)
收稿日期:2024-02-15修回日期:2024-05-19出版日期:2024-06-08发布日期:2024-06-28通讯作者:鞠文东,Email:
Received:2024-02-15Revised:2024-05-19Online:2024-06-08Published:2024-06-28摘要:
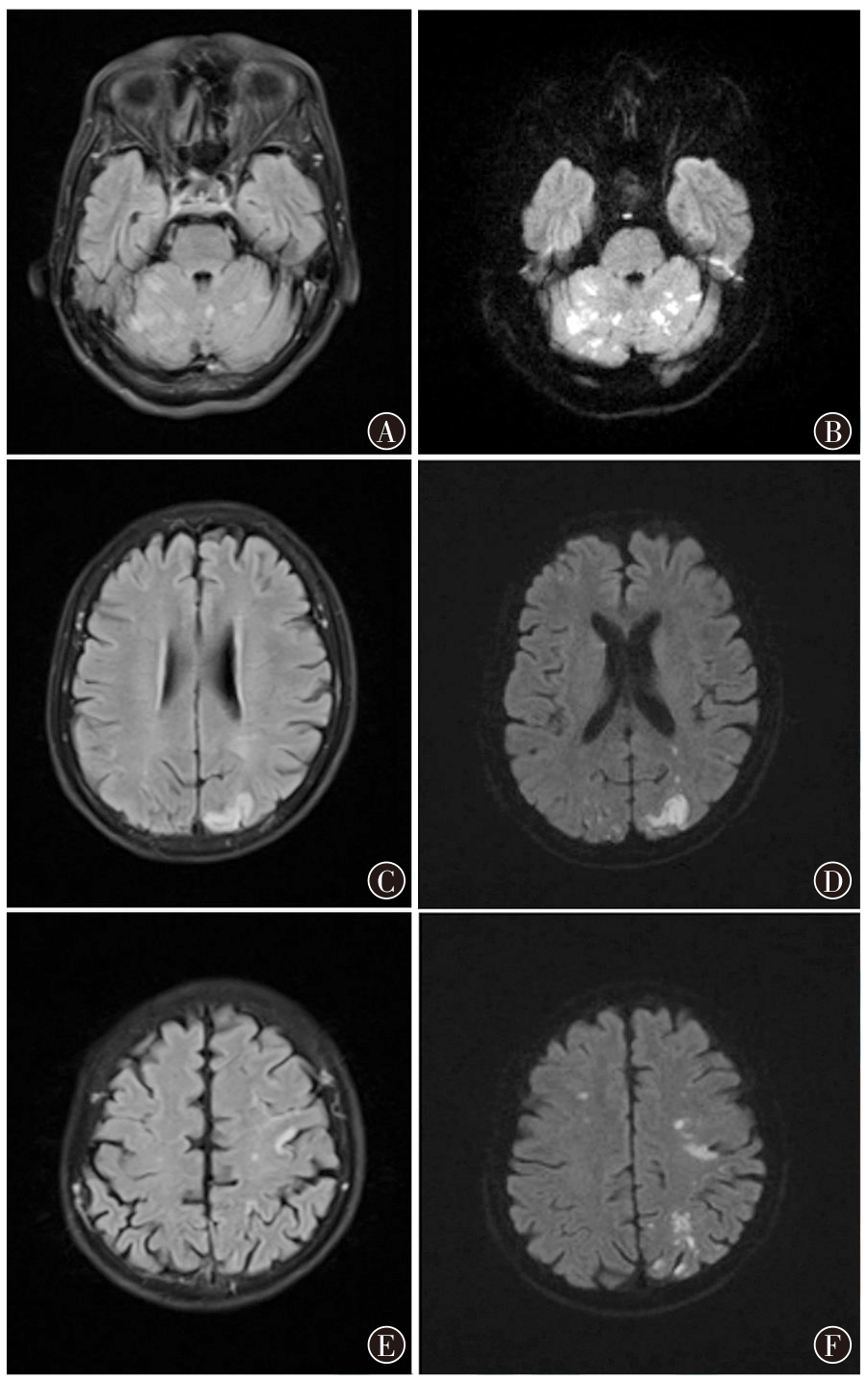
ROS1突变肺腺鳞癌合并脑梗死为主要表现的Trousseau综合征易合并血液高凝状态及多发血栓,预后不佳。现报道1例先后采用塞瑞替尼、洛拉替尼靶向治疗的ROS1突变肺腺鳞癌合并脑梗死为主要表现的Trousseau综合征,针对ROS1突变的靶向抗肿瘤治疗后获得8个月的短暂缓解,针对脑梗死采取单纯抗凝及动脉抽吸术治疗疗效不佳,靶向抗肿瘤治疗耐药后病情进展迅速,整体预后差。
王丽, 刘志华, 杨伟洪, 蒋凤莲, 李全泳, 宋浩杰, 鞠文东. ROS1突变肺腺鳞癌合并脑梗死为主要表现的Trousseau综合征1例[J]. 国际肿瘤学杂志, 2024, 51(6): 382-384.
| [1] | Beninato T, Lo Russo G, Garassino MC, et al. Recurrent thrombosis followed by Lazarus response in ROS1 rearranged NSCLC treated with crizotinib: a case report[J].Tumori,2020,106(6): NP41-NP45. DOI:10.1177/0300891620905665. |
| [2] | Ng TL, Smith DE, Mushtaq R, et al. ROS1 gene rearrangements are associated with an elevated risk of peridiagnosis thromboembolic events[J].J Thorac Oncol,2019,14(4): 596-605. DOI:10.1016/j.jtho.2018.12.001. pmid:30543838 |
| [3] | Yang G, Wang J, Yao Y, et al. Peripheral lung squamous carcinoma with ROS1 rearrangement sensitive to crizotinib: a case report[J].Front Oncol,2021,11: 703318. DOI:10.3389/fonc.2021.703318. |
| [4] | Ju L, Han M, Su J, et al. A lung squamous carcinoma patient with ROS1 rearrangement sensitive to crizotinib[J].Cancer Chemother Pharmacol,2018,82(3): 561-564. DOI:10.1007/s00280-018-3660-2. |
| [5] | 梁茂丽, 周亮, 朱蕾, 等. ROS1阳性肺鳞癌1例并文献复习[J].医药前沿,2018,8(26): 17-18. DOI:10.3969/j.issn.2095-1752.2018.26.011. |
| [6] | Kato M, Shukuya T, Mori K, et al. Cerebral infarction in advanced non-small cell lung cancer: a case control study[J].BMC Cancer,2016,16: 203. DOI:10.1186/s12885-016-2233-1. pmid:26964872 |
| [7] | Cestari DM, Weine DM, Panageas KS, et al. Stroke in patients with cancer: incidence and etiology[J].Neurology,2004,62(11): 2025-2030. DOI:10.1212/01.wnl.0000129912.56486.2b. pmid:15184609 |
| [8] | Ichinokawa H, Nagasaki Y, Koike Y, et al. Left pneumonectomy for primary lung cancer with Trousseau's syndrome[J].BMJ Case Rep,2021,14(3): e240927. DOI:10.1136/bcr-2020-240927. |
| [9] | 程雪娇, 伊然, 董齐, 等. Trousseau综合征的研究进展[J].中国临床神经科学,2019,27(1): 90-97, 112. |
| [10] | Itchins M, Alexander M, John T, et al. Thromboembolism in ROS1 rearranged non-small cell lung cancer[J].J Thorac Oncol,2018,13(10): S684. DOI:10.1016/j.jtho.2018.08.1104. |
| [11] | Chiari R, Ricciuti B, Landi L, et al. ROS1-rearranged non-small-cell lung cancer is associated with a high rate of venous thromboembolism: analysis from a phase Ⅱ, prospective, multicenter, two-arms trial (METROS)[J].Clin Lung Cancer,2020,21(1): 15-20. DOI:10.1016/j.cllc.2019.06.012. pmid:31607443 |
| [12] | Guo YJ, Chang MH, Chen PL, et al. Predictive value of plasma (D)-dimer levels for cancer-related stroke: a 3-year retrospective study[J].J Stroke Cerebrovasc Dis,2014,23(4): e249-254. DOI:10.1016/j.jstrokecerebrovasdis.2013.10.022. |
| [13] | Kim JM, Jung KH, Park KH, et al. Clinical manifestation of cancer related stroke: retrospective case-control study[J].J Neurooncol,2013,111(3): 295-301. DOI:10.1007/s11060-012-1011-4. |
| [14] | Schwarzbach CJ, Fatar M, Eisele P, et al. DWI lesion patterns in cancer-related stroke—specifying the phenotype[J].Cerebrovasc Dis Extra,2015,5(3): 139-145. DOI:10.1159/000439549. |
| [15] | Zhao J, Zheng J, Kong M, et al. Advanced lung adenocarcinomas with ROS1-rearrangement frequently show hepatoid cell[J].Oncotarget,2016,7(45): 74162-74170. DOI:10.18632/oncotarget.12364. pmid:27708233 |
| [16] | Lee SE, Lee B, Hong M, et al. Comprehensive analysis of RET and ROS1 rearrangement in lung adenocarcinoma[J].Mod Pathol,2015,28(4): 468-479. DOI:10.1038/modpathol.2014.107. |
| [17] | Pan Y, Zhang Y, Li Y, et al. ALK, ROS1 and RET fusions in 1139 lung adenocarcinomas: a comprehensive study of common and fusion pattern-specific clinicopathologic, histologic and cytologic features[J].Lung Cancer,2014,84(2): 121-126. DOI:10.1016/j.lungcan.2014.02.007. pmid:24629636 |
| [18] | Rikova K, Guo A, Zeng Q, et al. Global survey of phosphotyrosine signaling identifies oncogenic kinases in lung cancer[J].Cell,2007,131(6): 1190-1203. DOI:10.1016/j.cell.2007.11.025. pmid:18083107 |
| [1] | 刘娜, 寇介丽, 杨枫, 刘桃桃, 李丹萍, 韩君蕊, 杨立洲.血清miR-106b-5p、miR-760联合低剂量螺旋CT诊断早期肺癌的临床价值[J]. 国际肿瘤学杂志, 2024, 51(6): 321-325. |
| [2] | 钱晓涛, 石子宜, 胡格, 吴晓维.Ⅲ~ⅣA期食管鳞状细胞癌放化疗后行巩固化疗的疗效:一项真实世界临床研究[J]. 国际肿瘤学杂志, 2024, 51(6): 326-331. |
| [3] | 郭泽浩, 张俊旺.PFDN及其亚基在肿瘤发生发展中的作用[J]. 国际肿瘤学杂志, 2024, 51(6): 350-353. |
| [4] | 范志鹏, 余静, 胡静, 廖正凯, 徐禹, 欧阳雯, 谢丛华.炎症标志物的变化趋势对一线接受免疫联合化疗的晚期非小细胞肺癌患者预后的预测价值[J]. 国际肿瘤学杂志, 2024, 51(5): 257-266. |
| [5] | 王俊毅, 洪楷彬, 纪荣佳, 陈大朝.癌结节对结直肠癌根治性切除术后肝转移的影响[J]. 国际肿瘤学杂志, 2024, 51(5): 280-285. |
| [6] | 顾芳萌, 徐晨阳, 雷大鹏.人工智能辅助电子喉镜检查在喉癌及喉癌前病变诊治中的研究进展[J]. 国际肿瘤学杂志, 2024, 51(5): 303-307. |
| [7] | 张文馨, 夏泠, 彭晋, 周福祥.甲胎蛋白升高型胃肝样腺癌1例并文献复习[J]. 国际肿瘤学杂志, 2024, 51(5): 312-315. |
| [8] | 王昆, 周中新, 臧其威.血清TGF-β1、VEGF水平对非小细胞肺癌患者单孔胸腔镜根治术后复发的预测价值[J]. 国际肿瘤学杂志, 2024, 51(4): 198-203. |
| [9] | 杨毫, 施贵冬, 张程城, 张跃, 张力文, 付茂勇.信迪利单抗与替雷利珠单抗在进展期食管鳞状细胞癌新辅助治疗中的疗效及安全性对比[J]. 国际肿瘤学杂志, 2024, 51(4): 210-216. |
| [10] | 姚益新, 沈煜霖.血清SOCS3、TXNIP水平对肝细胞癌TACE治疗预后的预测价值[J]. 国际肿瘤学杂志, 2024, 51(4): 217-222. |
| [11] | 胡婷婷, 王越华.电子鼻与线虫鼻——新型早期癌症筛查工具[J]. 国际肿瘤学杂志, 2024, 51(4): 223-226. |
| [12] | 张栋岩, 王品, 魏秋亚, 邓成伍, 魏相相, 高远飞, 王琛.索凡替尼靶向联合卡培他滨和奥沙利铂治疗肝内胆管癌术后患者1例及文献复习[J]. 国际肿瘤学杂志, 2024, 51(4): 249-253. |
| [13] | 严爱婷, 王翠竹, 刘春桂, 鲁小敏.卡瑞利珠单抗与信迪利单抗治疗晚期非小细胞肺癌的临床疗效及安全性分析[J]. 国际肿瘤学杂志, 2024, 51(3): 137-142. |
| [14] | 孙维蔚, 姚学敏, 王鹏健, 王静, 贾敬好.基于血液学指标探讨免疫治疗晚期非小细胞肺癌预后因素及列线图构建[J]. 国际肿瘤学杂志, 2024, 51(3): 143-150. |
| [15] | 钱晓涛, 石子宜, 胡格.Ⅲ~ⅣA期食管鳞状细胞癌根治性放化疗后行免疫检查点抑制剂维持治疗的真实世界临床研究[J]. 国际肿瘤学杂志, 2024, 51(3): 151-156. |
| 阅读次数 | ||||||
| 全文 |
|
|||||
| 摘要 |
|
|||||