


国际肿瘤学杂志››2020,Vol. 47››Issue (4): 252-253.doi:10.3760/cma.j.cn371439-20200113-00013
收稿日期:2020-01-13修回日期:2020-02-27出版日期:2020-04-08发布日期:2020-05-26通讯作者:辛超 E-mail:xinchao351351@163.com
Received:2020-01-13Revised:2020-02-27Online:2020-04-08Published:2020-05-26摘要:
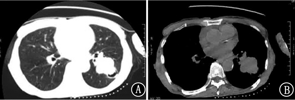
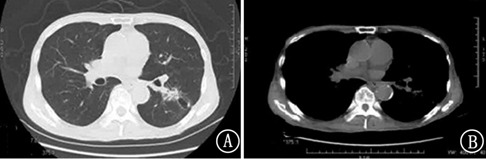
纳武单抗在肺鳞状细胞癌治疗中已广泛应用,但目前对药物引起的不良反应和处理了解有限。现报道1例纳武单抗治疗老年肺鳞状细胞癌的临床诊治经过,以此提高对该疾病治疗的相关认识。
崔玉忠, 辛超, 赵莹莹, 赵汝明. 纳武单抗治疗老年肺鳞状细胞癌一例[J]. 国际肿瘤学杂志, 2020, 47(4): 252-253.
| [1] | Siegel RL, Miller KD, Jemal A . Cancer statistics, 2018[J]. CA Cancer J Clin, 2018,68(1):7-30. DOI: 10.3322/caac.21442. doi:10.3322/caac.21442 |
| [2] | Chen W, Zheng R, Baade PD , et al. Cancer statistics in China, 2015[J]. CA Cancer J Clin, 2016,66(2):115-132. DOI: 10.3322/caac.21338. doi:10.3322/caac.21338 |
| [3] | Migali C, Milano M, Trapani D , et al. Strategies to modulate the immune system in breast cancer: checkpoint inhibitors and beyond[J]. Ther Adv Med Oncol, 2016,8(5):360-374. DOI: 10.1177/1758834016658423. doi:10.1177/1758834016658423 |
| [4] | Keir ME, Butte MJ, Freeman GJ , et al. PD-1 and its ligands in tolerance and immunity[J]. Annu Rev Immunol, 2008,26:677-704. DOI: 10.1146/annurev.immunol.26.021607.090331. doi:10.1146/annurev.immunol.26.021607.090331 |
| [5] | Hodi FS, Mihm MC, Soiffer RJ , et al. Biologic activity of cytotoxic T lymphocyte-associated antigen 4 antibody blockade in previously vaccinated metastatic melanoma and ovarian carcinoma patients[J]. Proc Natl Acad Sci U S A, 2003,100(8):4712-4717. DOI: 10.1073/pnas.0830997100. doi:10.1073/pnas.0830997100 |
| [6] | Fehrenbacher L, Spira A, Ballinger M , et al. Atezolizumab versus docetaxel for patients with previously treated non-small-cell lung cancer (POPLA R): a multicentre, open-label, phase 2 randomised controlled trial[J]. Lancet, 2016,387(10030):1837-1846. DOI: 10.1016/S0140-6736(16)00587-0. doi:10.1016/S0140-6736(16)00587-0 |
| [7] | Champiat S, Lambotte O, Barreau E , et al. Management of immune checkpoint blockade dysimmune toxicities: a collaborative position paper[J]. Ann Oncol, 2016,27(4):559-574. DOI: 10.1093/annonc/mdv623. doi:10.1093/annonc/mdv623 |
| [8] | Eigentler TK, Hassel JC, Berking C , et al. Diagnosis, monitoring and management of immune-related adverse drug reactions of anti-PD-1 antibody therapy[J]. Cancer Treat Rev, 2016,45:7-18. DOI: 10.1016/j.ctrv.2016.02.003. doi:10.1016/j.ctrv.2016.02.003 |
| [9] | Haanen JBAG, Carbonnel F, Robert C, et al. Management of toxicities from immunotherapy: ESMO Clinical Practice Guidelines for diagnosis, treatment and follow-up[J]. Ann Oncol, 2017, 28(suppl_4): iv119-iv142. DOI: 10.1093/annonc/mdx225. doi:10.1093/annonc/mdx225 |
| [1] | 刘娜, 寇介丽, 杨枫, 刘桃桃, 李丹萍, 韩君蕊, 杨立洲.血清miR-106b-5p、miR-760联合低剂量螺旋CT诊断早期肺癌的临床价值[J]. 国际肿瘤学杂志, 2024, 51(6): 321-325. |
| [2] | 王丽, 刘志华, 杨伟洪, 蒋凤莲, 李全泳, 宋浩杰, 鞠文东.ROS1突变肺腺鳞癌合并脑梗死为主要表现的Trousseau综合征1例[J]. 国际肿瘤学杂志, 2024, 51(6): 382-384. |
| [3] | 贺嘉慧, 胡钦勇.基于GBD数据的中国和美国肺癌发病和死亡趋势及危险因素对比分析[J]. 国际肿瘤学杂志, 2024, 51(1): 29-36. |
| [4] | 李雄安, 颜艳艳.丙戊酸镁用于治疗继发癫痫的晚期肺癌脑转移患者1例报道[J]. 国际肿瘤学杂志, 2023, 50(3): 191-192. |
| [5] | 左小平, 刘晓川, 吴西强, 李周, 夏天, 刘国凤.老年早期肺癌患者经胸腔镜肺切除术后心律失常发生的危险因素及预测模型构建[J]. 国际肿瘤学杂志, 2023, 50(12): 711-716. |
| [6] | 陈郁, 许华, 刘海, 陈士新.基于CT影像学特征的恶性肺纯磨玻璃结节患者病理分型预测模型构建[J]. 国际肿瘤学杂志, 2023, 50(11): 655-660. |
| [7] | 张万芳, 王尤, 苏晶, 陈刚, 周福祥.肺原发尤文肉瘤/原始神经外胚层瘤1例[J]. 国际肿瘤学杂志, 2023, 50(1): 62-64. |
| [8] | 杨莎, 杨晓华, 王苏华, 薛晓燕, 徐俊.老年肺癌胸腔镜手术后下肢深静脉血栓的危险因素分析及预测模型的建立和验证[J]. 国际肿瘤学杂志, 2022, 49(9): 532-536. |
| [9] | 王津, 张耀圣, 孙婷婷, 王丹, 胡乃东.以前胸壁聚集性多发蕈状肿物为表现的肺腺鳞状细胞癌皮肤转移1例[J]. 国际肿瘤学杂志, 2022, 49(9): 575-576. |
| [10] | 陈煌婧, 朱鹏飞, 张晴, 陈桂芳, 杨春林, 何英.超声造影和CT引导下经皮穿刺活检在周围型肺肿块诊断中临床价值的比较[J]. 国际肿瘤学杂志, 2022, 49(8): 459-463. |
| [11] | 蔡刚祥, 李境, 许斌.肺癌新辅助免疫治疗研究进展[J]. 国际肿瘤学杂志, 2022, 49(6): 366-370. |
| [12] | 韩丛丛, 付帅, 谢超, 张建军, 张秋景, 祝情情, 刘杰.吉非替尼、培美曲塞和贝伐珠单抗一线治疗EGFR突变晚期肺腺癌的有效性和安全性[J]. 国际肿瘤学杂志, 2022, 49(6): 376-379. |
| [13] | 王永洪, 何弢, 李星, 罗启余, 王乔羽.信迪利单抗致晚期鳞状细胞肺癌患者致死性中毒性表皮坏死松解症1例[J]. 国际肿瘤学杂志, 2022, 49(6): 380-382. |
| [14] | 张静娴, 易丹, 李小江.抗体偶联药物在非小细胞肺癌中的应用[J]. 国际肿瘤学杂志, 2022, 49(5): 296-301. |
| [15] | 高敏, 冯静, 王丽, 钟海, 文昱婷, 万兵, 张秀伟.微生物群与肺癌的早期诊断及辅助治疗[J]. 国际肿瘤学杂志, 2022, 49(4): 247-251. |
| 阅读次数 | ||||||
| 全文 |
|
|||||
| 摘要 |
|
|||||
