Journal of International Oncology ›› 2021, Vol. 48 ›› Issue (12): 705-710.doi: 10.3760/cma.j.cn371439-20210813-00140

• Original Articles •     Next Articles

Effects of silencing PD-L1 expression on biological behaviors of gastric cancer cells

Zhao Lili1, Zhao Wenwen2, Feng Qingqing2, Zhao Wenfei2, Zhang Xue1, Jing Wenjun2, Wei Hongmei2   

  1. 1Medical College of Qingdao University, Qingdao 266042, China
    2Second Department of General Oncology, Affiliated Qingdao Central Hospital, Qingdao University, Qingdao 266042, China
  • Received:2021-08-13 Revised:2021-10-03 Online:2021-12-08 Published:2022-01-12

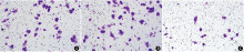
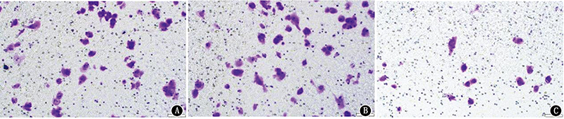
Abstract: Objective To investigate the effects of programmed death-ligand 1 (PD-L1) expression on the biological behaviors of gastric cancer cell line MKN45. Methods The PD-L1 gene of gastric cancer cell line MKN45 was silenced by RNA interference technique. MKN45 cells were divided into blank control group, si-NC group (transfected with siRNA-NC) and si-PD-L1 group (transfected with siRNA-PD-L1). Quantitative real-time PCR was used to detect the mRNA expressions of PD-L1 and epithelial-mesenchymal transformation (EMT)-related proteins E-cadherin, Vimentin and Snail in MKN45 cells, and Western blotting was used to detect the expression levels of PD-L1 protein in MKN45 cells of each group. Transwell migration test, Transwell invasion test and MTT test were used to detect the migration, invasion and adhesion abilities of MKN45 cells. Results The relative expression levels of PD-L1 mRNA in the blank control group, si-NC group and si-PD-L1 group were 1.002±0.092, 1.005±0.121 and 0.237±0.017, respectively, with a statistically significant difference (F=75.61, P<0.001). The protein expression levels of PD-L1 in the three groups were 0.944±0.028, 1.008±0.088 and 0.269±0.015, respectively, with a statistically significant difference (F=172.99, P<0.001). The mRNA and protein expression levels of PD-L1 in the si-PD-L1 group were lower than those in the other two groups (all P<0.001), but there were no statistically significant differences between the blank control group and si-NC group (all P>0.05). The cell migration rates of the blank control group, si-NC group and si-PD-L1 group were (1.000±0.020)%, (1.012±0.084)% and (0.488±0.050)%, respectively, with a statistically significant difference (F=80.73, P<0.001). The cell invasion rates of the three groups were (0.929±0.087)%, (0.924±0.208)% and (0.300±0.100)%, respectively, with a statistically significant difference (F=19.37, P<0.001), and the cell adhesion rates of the three groups were (100.000±5.407)%, (99.280±4.845)% and (59.723±2.674)%, respectively, with a statistically significant difference (F=79.87, P<0.001). Compared with the blank control group and si-NC group, the migration, invasion and adhesion abilities of MKN45 cells in the si-PD-L1 group decreased significantly (all P<0.001). The expression levels of E-cadherin mRNA of the three groups were 1.000±0.023, 0.981±0.051, 3.618±0.201, the expression levels of Vimentin mRNA were 1.000±0.043, 1.108±0.150, 0.328±0.011, the expression levels of Snail mRNA were 1.061±0.103, 1.090±0.110, 0.304±0.043, respectively, with statistically significant differences (F=477.17, P<0.001; F=65.97, P<0.001; F=72.70, P<0.001). Compared with the blank control group and si-NC group, the mRNA expression levels of Vimentin and Snail of MKN45 cells in the si-PD-L1 group decreased, while the expression level of E-cadherin mRNA increased, with statistically significant differences (all P<0.001). Conclusion Silencing the expression of PD-L1 can reduce the migration, invasion and adhesion abilities of MKN45 cells, and the mechanism may be related to the effect of PD-L1 on the EMT pathway of gastric cancer.

Key words: Stomach neoplasms, Cell movement, Epithelial-mesenchymal transition, PD-L1

Baidu
map