
Journal of International Oncology ›› 2023, Vol. 50 ›› Issue (4): 202-207.doi: 10.3760/cma.j.cn371439-20220429-00040
• Original Articles • Previous Articles Next Articles
Quan Zhenhao, Xu Feipeng, Huang Zhe, Huang Xianjin, Chen Rihong, Sun Kaiyu, Hu Xu, Lin Lin(
)
Received:2022-04-29
Revised:2022-07-23
Online:2023-04-08
Published:2023-06-12
Contact:
Lin Lin, Email: Supported by:Quan Zhenhao, Xu Feipeng, Huang Zhe, Huang Xianjin, Chen Rihong, Sun Kaiyu, Hu Xu, Lin Lin. lncRNA FTX silencing inhibits gastric cancer cell proliferation through the miR-22-3p/NLRP3 inflammasome pathway[J]. Journal of International Oncology, 2023, 50(4): 202-207.
"
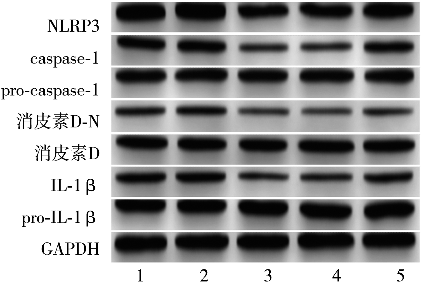
| 组别 | NLRP3 | caspase-1/pro-caspase-1 | 消皮素D-N/消皮素D | IL-1β/pro-IL-1β |
|---|---|---|---|---|
| 空白对照组 | 1.84±0.17 | 0.73±0.05 | 0.49±0.04 | 0.65±0.09 |
| si-FTX-NC组 | 1.86±0.12 | 0.72±0.08 | 0.51±0.06 | 0.63±0.08 |
| si-FTX组 | 0.95±0.09abc | 0.41±0.04abc | 0.26±0.03abc | 0.34±0.05abc |
| si-FTX+miR-22-3p inhibitor-NC组 | 0.97±0.11abc | 0.43±0.06abc | 0.24±0.05abc | 0.31±0.04abc |
| si-FTX+miR-22-3p inhibitor组 | 1.28±0.19ab | 0.67±0.05 | 0.39±0.06ab | 0.55±0.07 |
| F值 | 60.62 | 45.58 | 54.78 | 33.04 |
| P值 | <0.001 | <0.001 | <0.001 | <0.001 |
| [1] |
Joshi SS, Badgwell BD. Current treatment and recent progress in gastric cancer[J]. CA Cancer J Clin, 2021, 71(3): 264-279. DOI: 10.3322/caac.21657.
doi: 10.3322/caac.21657 |
| [2] |
Ajani JA, D'Amico TA, Bentrem DJ, et al. Gastric Cancer, Version 2.2022, NCCN Clinical Practice Guidelines in Oncology[J]. J Natl Compr Canc Netw, 2022, 20(2): 167-192. DOI: 10.6004/jnccn.2022.0008.
doi: 10.6004/jnccn.2022.0008 |
| [3] |
Thunen A, La Placa D, Zhang Z, et al. Role of lncRNA LIPE-AS1 in adipogenesis[J]. Adipocyte, 2022, 11(1): 11-27. DOI: 10.1080/21623945.2021.2013415.
doi: 10.1080/21623945.2021.2013415 pmid: 34957921 |
| [4] |
李醒, 黄俊星. lncRNA MEG3作为miR-21的ceRNA在恶性肿瘤中的作用[J]. 国际肿瘤学杂志, 2020, 47(1): 35-38. DOI: 10.3760/cma.j.issn.1673-422X.2020.01.006.
doi: 10.3760/cma.j.issn.1673-422X.2020.01.006 |
| [5] |
Zhu L, Jia R, Zhang J, et al. Quantitative proteomics analysis revealed the potential role of lncRNA FTX in promoting gastric cancer progression[J]. Proteomics Clin Appl, 2020, 14(1): e1900053. DOI: 10.1002/prca.201900053.
doi: 10.1002/prca.201900053 |
| [6] |
Wang W, Li F, Zhang Y, et al. Reduced expression of miR-22 in gastric cancer is related to clinicopathologic characteristics or patient prognosis[J]. Diagn Pathol, 2013, 8: 102. DOI: 10.1186/1746-1596-8-102.
doi: 10.1186/1746-1596-8-102 pmid: 23786758 |
| [7] |
Jafarzadeh-Samani Z, Sohrabi S, Shirmohammadi K, et al. Evaluation of miR-22 and miR-20a as diagnostic biomarkers for gastric cancer[J]. Chin Clin Oncol, 2017, 6(2): 16. DOI: 10.21037/cco.2017.03.01.
doi: 10.21037/cco.2017.03.01 pmid: 28482669 |
| [8] |
Li S, Liang X, Ma L, et al. MiR-22 sustains NLRP3 expression and attenuates H. pylori-induced gastric carcinogenesis[J]. Oncogene, 2018, 37(7): 884-896. DOI: 10.1038/onc.2017.381.
doi: 10.1038/onc.2017.381 pmid: 29059152 |
| [9] |
Chen Y, Li Z, Chen X, et al. Long non-coding RNAs: from disease code to drug role[J]. Acta Pharm Sin B, 2021, 11(2): 340-354. DOI: 10.1016/j.apsb.2020.10.001.
doi: 10.1016/j.apsb.2020.10.001 pmid: 33643816 |
| [10] |
Chen W, Li Y, Guo L, et al. Long non-coding RNA FTX predicts a poor prognosis of human cancers: a meta-analysis[J]. Biosci Rep, 2021, 41(1): BSR20203995. DOI: 10.1042/BSR20203995.
doi: 10.1042/BSR20203995 |
| [11] |
Huang S, Zhu X, Ke Y, et al. LncRNA FTX inhibition restrains osteosarcoma proliferation and migration via modulating miR-320a/TXNRD1[J]. Cancer Biol Ther, 2020, 21(4): 379-387. DOI: 10.1080/15384047.2019.1702405.
doi: 10.1080/15384047.2019.1702405 pmid: 31920141 |
| [12] |
Sharma BR, Kanneganti TD. NLRP3 inflammasome in cancer and metabolic diseases[J]. Nat Immunol, 2021, 22(5): 550-559. DOI: 10.1038/s41590-021-00886-5.
doi: 10.1038/s41590-021-00886-5 pmid: 33707781 |
| [13] |
Moossavi M, Parsamanesh N, Bahrami A, et al. Role of the NLRP3 inflammasome in cancer[J]. Mol Cancer, 2018, 17(1): 158. DOI: 10.1186/s12943-018-0900-3.
doi: 10.1186/s12943-018-0900-3 pmid: 30447690 |
| [14] |
Hai ping P, Feng bo T, Li L, et al. IL-1β/NF-kb signaling promotes colorectal cancer cell growth through miR-181a/PTEN axis[J]. Arch Biochem Biophys, 2016, 604: 20-26. DOI: 10.1016/j.abb.2016.06.001.
doi: 10.1016/j.abb.2016.06.001 pmid: 27264420 |
| [1] | Liu Na, Kou Jieli, Yang Feng, Liu Taotao, Li Danping, Han Junrui, Yang Lizhou. Clinical value of serum miR-106b-5p and miR-760 combined with low-dose spiral CT in the diagnosis of early lung cancer [J]. Journal of International Oncology, 2024, 51(6): 321-325. |
| [2] | Yuan Jian, Huang Yanhua. Diagnostic value of Hp-IgG antibody combined with serum DKK1 and sB7-H3 in early gastric cancer [J]. Journal of International Oncology, 2024, 51(6): 338-343. |
| [3] | Chen Hongjian, Zhang Suqing. Study on the relationship between serum miR-24-3p, H2AFX and clinical pathological features and postoperative recurrence in liver cancer patients [J]. Journal of International Oncology, 2024, 51(6): 344-349. |
| [4] | Yang Lin, Lu Ning, Wen Hua, Zhang Mingxin, Zhu Lin. Study on the clinical relationship between inflammatory burden index and gastric cancer [J]. Journal of International Oncology, 2024, 51(5): 274-279. |
| [5] | Ren Lu, Xie Xiaoli, Zhang Kun, Wang Lijuan. Effects and mechanisms of dihydroartemisinin combined with carfilzomib on the activity, proliferation, and apoptosis of multiple myeloma cells [J]. Journal of International Oncology, 2024, 51(3): 129-136. |
| [6] | Xie Shuping, Sun Yahong, Wang Chao. Prediction of efficacy of early-stage tumor markers combined with NLR and PLR for immunotherapy in gastric cancer [J]. Journal of International Oncology, 2024, 51(3): 157-165. |
| [7] | Liu Yulan, Jing Haiyan, Sun Jing, Song Wei, Sha Dan. Advances in predicting efficacy and prognostic markers of immunotherapy for gastric cancer [J]. Journal of International Oncology, 2024, 51(3): 175-180. |
| [8] | Gong Yan, Chen Honglei. Research progress on the mechanism of microRNA regulation of cisplatin resistance in ovarian cancer [J]. Journal of International Oncology, 2024, 51(3): 186-190. |
| [9] | Liu Bohan, Huang Junxing. Research progress of liquid biopsy technology in esophageal squamous cell carcinoma [J]. Journal of International Oncology, 2024, 51(2): 105-108. |
| [10] | Xiang Yuling, Tan Jiajie, Xiong Yuanguo, Zhao Lirong, Li Chen, Zhang Hong. Effects of Anhydroicaritin on the proliferation, migration and apoptosis of hepatocellular carcinoma cells [J]. Journal of International Oncology, 2023, 50(9): 513-519. |
| [11] | Liu Yang, Jiang Lulu, Guan Kaiwen, Zhou Yueyang, Kang Xiaohong. Role of linc01410 in the occurrence and development of malignant tumors [J]. Journal of International Oncology, 2023, 50(9): 540-543. |
| [12] | Shao Huifang, Wang Xuehong, Lu Yongfu. Mechanism of action and clinical significance of CST1 in the progression of gastric cancer [J]. Journal of International Oncology, 2023, 50(8): 489-492. |
| [13] | Cui Manli, Lu Ning, Zhu Lin, Li Qian, Zhang Mingxin. Analysis of circRNA in esophageal squamous cell carcinoma based on high-throughput sequencing data [J]. Journal of International Oncology, 2023, 50(6): 328-335. |
| [14] | Zhu Siyu, Wang Xuehong, Li Wenqian, Liu Shu. Level of serum FABP1 and its relationship with Helicobacter pylori infection in patients with gastric cancer [J]. Journal of International Oncology, 2023, 50(6): 336-341. |
| [15] | Bai Ying, Li Qi, Li Yaqin, Zhao Weihong. Role of E2F1 and lncRNAs in the development of malignant tumors [J]. Journal of International Oncology, 2023, 50(3): 164-168. |
| Viewed | ||||||
|
Full text |
|
|||||
|
Abstract |
|
|||||