


国际肿瘤学杂志››2024,Vol. 51››Issue (4): 249-253.doi:10.3760/cma.j.cn371439-20230908-00042
张栋岩1, 王品2, 魏秋亚2, 邓成伍1, 魏相相1, 高远飞1, 王琛2(
)
收稿日期:2023-09-08修回日期:2023-10-24出版日期:2024-04-08发布日期:2024-05-10通讯作者:王琛,Email:
Received:2023-09-08Revised:2023-10-24Online:2024-04-08Published:2024-05-10摘要:
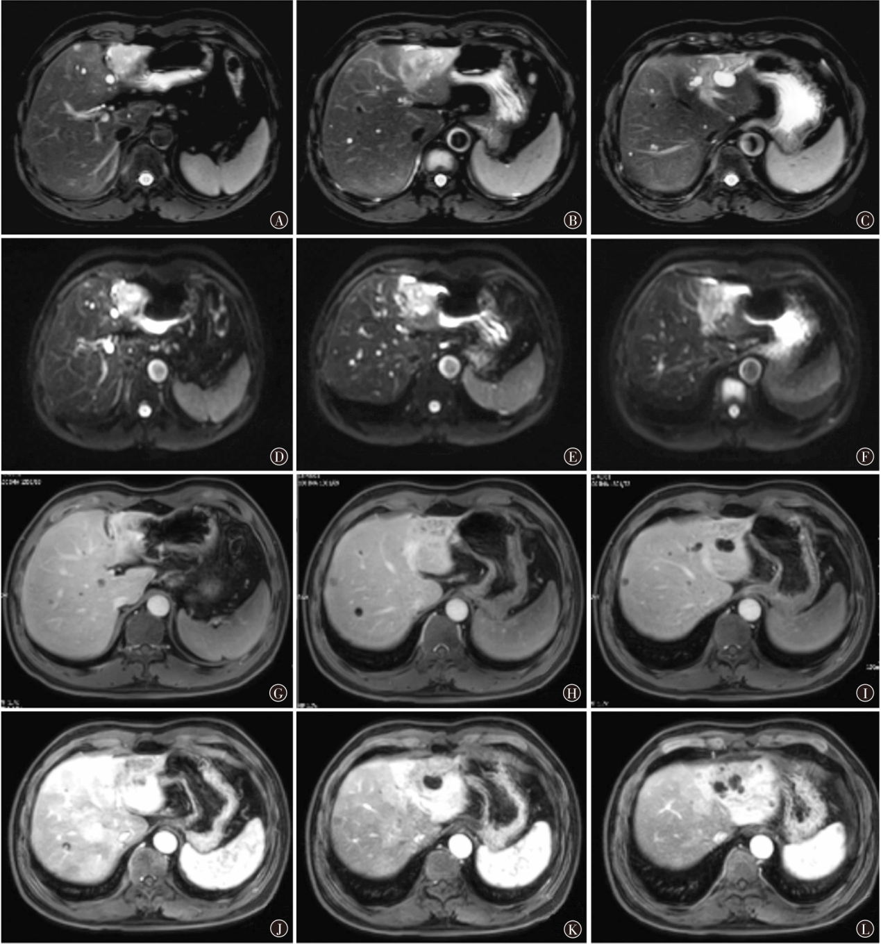
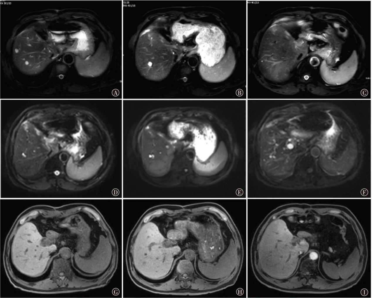
肝内胆管癌(ICC)是消化系统常见肿瘤,起源于肝内胆管上皮细胞,其发病隐匿,早期诊断困难,恶性程度高,预后极差。索凡替尼为我国自主研发的血管内皮生长因子受体酪氨酸激酶抑制剂,此前主要用于非胰腺神经内分泌瘤患者的治疗,最近研究发现其在胆道肿瘤中疗效确切,现报道1例索凡替尼靶向联合卡培他滨+奥沙利铂治疗ICC术后患者,以期为ICC的临床治疗提供参考。
张栋岩, 王品, 魏秋亚, 邓成伍, 魏相相, 高远飞, 王琛. 索凡替尼靶向联合卡培他滨和奥沙利铂治疗肝内胆管癌术后患者1例及文献复习[J]. 国际肿瘤学杂志, 2024, 51(4): 249-253.
| [1] | Banales JM, Marin JJG, Lamarca A, et al. Cholangiocarcinoma 2020: the next horizon in mechanisms and management[J].Nat Rev Gastroenterol Hepatol,2020,17(9): 557-588. DOI:10.1038/s41575-020-0310-z. pmid:32606456 |
| [2] | Khan SA, Tavolari S, Brandi G. Cholangiocarcinoma: epidemiology and risk factors[J].Liver Int,2019,39 Suppl 1: 19-31. DOI:10.1111/liv.14095. pmid:30851228 |
| [3] | Torre LA, Siegel RL, Islami F, et al. Worldwide burden of and trends in mortality from gallbladder and other biliary tract cancers[J].Clin Gastroenterol Hepatol,2018,16(3): 427-437. DOI:10.1016/j.cgh.2017.08.017. |
| [4] | Razumilava N, Gores GJ. Cholangiocarcinoma[J].Lancet,2014,383(9935): 2168-2179. DOI:10.1016/s0140-6736(13)61903-0. pmid:24581682 |
| [5] | Rizvi S, Khan SA, Hallemeier CL, et al. Cholangiocarcinoma—evolving concepts and therapeutic strategies[J].Nat Rev Clin Oncol,2018,15(2): 95-111. DOI:10.1038/nrclinonc.2017.157. |
| [6] | El-diwany R, Pawlik TM, Ejaz A. Intrahepatic cholangiocarcinoma[J].Surg Oncol Clin N Am,2019,28(4): 587-599. DOI:10.1016/j.soc.2019.06.002. pmid:31472907 |
| [7] | Valle J, Wasan H, Palmer DH, et al. Cisplatin plus gemcitabine versus gemcitabine for biliary tract cancer[J].N Engl J Med,2010,362(14): 1273-1281. DOI:10.1056/NEJMoa0908721. |
| [8] | Lowery MA, Ptashkin R, Jordan E, et al. Comprehensive molecular profiling of intrahepatic and extrahepatic cholangiocarcinomas: potential targets for intervention[J].Clin Cancer Res,2018,24(17): 4154-4161. DOI:10.1158/1078-0432.CCR-18-0078. pmid:29848569 |
| [9] | Yoshikawa D, Ojima H, Iwasaki M, et al. Clinicopathological and prognostic significance of EGFR, VEGF, and HER2 expression in cholangiocarcinoma[J].Br J Cancer,2008,98(2): 418-425. DOI:10.1038/sj.bjc.6604129. |
| [10] | Sha M, Jeong S, Chen XS, et al. Expression of VEGFR-3 in intrahepatic cholangiocarcinoma correlates with unfavorable prognosis through lymphangiogenesis[J].Int J Biol Sci,2018,14(10): 1333-1342. DOI:10.7150/ijbs.26045. pmid:30123080 |
| [11] | Sang H, Li T, Li H, et al. Gab1 regulates proliferation and migration through the PI3K/Akt signaling pathway in intrahepatic cholangiocarcinoma[J].Tumour Biol,2015,36(11): 8367-8377. DOI:10.1007/s13277-015-3590-0. |
| [12] | Perez-Moreno P, Brambilla E, Thomas R, et al. Squamous cell carcinoma of the lung: molecular subtypes and therapeutic opportunities[J].Clin Cancer Res,2012,18(9): 2443-2451. DOI:10. 1158/1078-0432.CCR-11-2370. pmid:22407829 |
| [13] | Brooks AN, Kilgour E, Smith PD. Molecular pathways: fibroblast growth factor signaling: a new therapeutic opportunity in cancer[J].Clin Cancer Res,2012,18(7): 1855-1862. DOI:10.1158/1078-0432.CCR-11-0699. pmid:22388515 |
| [14] | Peng H, Zhang Q, Li J, et al. Apatinib inhibits VEGF signaling and promotes apoptosis in intrahepatic cholangiocarcinoma[J].Oncotarget,2016,7(13): 17220-17229. DOI:10.18632/oncotarget.7948. pmid:26967384 |
| [15] | Peng M, Li H, Cao H, et al. Dual FGFR and VEGFR inhibition synergistically restrain hexokinase 2-dependent lymphangiogenesis and immune escape in intrahepatic cholangiocarcinoma[J].J Gastroenterol,2023,58(9): 908-924. DOI:10.1007/s00535-023-02012-8. pmid:37433897 |
| [16] | Sia D, Losic B, Moeini A, et al. Massive parallel sequencing uncovers actionable FGFR2-PPHLN1 fusion and ARAF mutations in intrahepatic cholangiocarcinoma[J].Nat Commun,2015,6: 6087. DOI:10.1038/ncomms7087. pmid:25608663 |
| [17] | Arai Y, Totoki Y, Hosoda F, et al. Fibroblast growth factor receptor 2 tyrosine kinase fusions define a unique molecular subtype of cholangiocarcinoma[J].Hepatology,2014,59(4): 1427-1434. DOI:10.1002/hep.26890. pmid:24122810 |
| [18] | Xu J, Bai Y, Sun H, et al. A single-arm, multicenter, open-label phase 2 trial of surufatinib in patients with unresectable or metastatic biliary tract cancer[J].Cancer,2021,127(21): 3975-3984. DOI:10.1002/cncr.33803. pmid:34355801 |
| [19] | Demols A, Borbath I, Van den Eynde M, et al. Regorafenib after failure of gemcitabine and platinum-based chemotherapy for locally advanced/metastatic biliary tumors: REACHIN, a randomized, double-blind, phase Ⅱ trial[J].Ann Oncol,2020,31(9): 1169-1177. DOI:10.1016/j.annonc.2020.05.018. pmid:32464280 |
| [20] | Bengala C, Bertolini F, Malavasi N, et al. Sorafenib in patients with advanced biliary tract carcinoma: a phase Ⅱ trial[J].Br J Cancer,2010,102(1): 68-72. DOI:10.1038/sj.bjc.6605458. |
| [21] | Yi JH, Thongprasert S, Lee J, et al. A phase Ⅱ study of sunitinib as a second-line treatment in advanced biliary tract carcinoma: a multicentre, multinational study[J].Eur J Cancer,2011,48(2): 196-201. DOI:10.1016/j.ejca.2011.11.017. |
| [22] | Goyal L, Meric-Bernstam F, Hollebecque A, et al. Futibatinib for FGFR2-rearranged intrahepatic cholangiocarcinoma[J].N Engl J Med,2023,388(3): 228-239. DOI:10.1056/NEJMoa2206834. |
| [23] | Abou-Alfa GK, Sahai V, Hollebecque A, et al. Pemigatinib for previously treated, locally advanced or metastatic cholangiocarcinoma: a multicentre, open-label, phase 2 study[J].Lancet Oncol,2020,21(5): 671-684. DOI:10.1016/S1470-2045(20)30109-1. pmid:32203698 |
| [24] | Mazzaferro V, El-Rayes BF, Droz Dit Busset M, et al. Derazantinib (ARQ 087) in advanced or inoperable FGFR2 gene fusion-positive intrahepatic cholangiocarcinoma[J].Br J Cancer,2019,120(2): 165-171. DOI:10.1038/s41416-018-0334-0. |
| [25] | Pant S, Schuler MH, Iyer G, et al. Efficacy and safety of erdafitinib in adults with cholangiocarcinoma (CCA) with prespecified fibroblast growth factor receptor alterations (FGFRalt) in the phase 2 open-label, single-arm RAGNAR trial: expansion cohort results[J].J Clin Oncol,2023,41(4_suppl): 610. DOI:10.1200/JCO.2023.41.4_suppl.610. |
| [26] | Javle M, Roychowdhury S, Kelley RK, et al. Infigratinib (BGJ398) in previously treated patients with advanced or metastatic cholangiocarcinoma with FGFR2 fusions or rearrangements: mature results from a multicentre, open-label, single-arm, phase 2 study[J].Lancet Gastroenterol Hepatol,2021,6(10): 803-815. DOI:10.1016/S2468-1253(21)00196-5. |
| [1] | 王盈, 刘楠, 郭兵.抗体药物偶联物在转移性乳腺癌治疗中的研究进展[J]. 国际肿瘤学杂志, 2024, 51(6): 364-369. |
| [2] | 高凡, 王萍, 杜超, 褚衍六.肠道菌群与结直肠癌非手术治疗的相关研究进展[J]. 国际肿瘤学杂志, 2024, 51(6): 376-381. |
| [3] | 范志鹏, 余静, 胡静, 廖正凯, 徐禹, 欧阳雯, 谢丛华.炎症标志物的变化趋势对一线接受免疫联合化疗的晚期非小细胞肺癌患者预后的预测价值[J]. 国际肿瘤学杂志, 2024, 51(5): 257-266. |
| [4] | 王培鑫, 赵军, 徐世红, 姜朝阳, 王小强, 杨红娟.铁死亡相关机制在骨肉瘤中的应用进展[J]. 国际肿瘤学杂志, 2024, 51(5): 308-311. |
| [5] | 张文馨, 夏泠, 彭晋, 周福祥.甲胎蛋白升高型胃肝样腺癌1例并文献复习[J]. 国际肿瘤学杂志, 2024, 51(5): 312-315. |
| [6] | 杨毫, 施贵冬, 张程城, 张跃, 张力文, 付茂勇.信迪利单抗与替雷利珠单抗在进展期食管鳞状细胞癌新辅助治疗中的疗效及安全性对比[J]. 国际肿瘤学杂志, 2024, 51(4): 210-216. |
| [7] | 萨蔷, 徐航程, 王佳玉.乳腺癌免疫治疗研究进展[J]. 国际肿瘤学杂志, 2024, 51(4): 227-234. |
| [8] | 杨智, 陆以乔, 顾花艳, 丁佳玲, 郭贵龙.肿瘤微环境介导乳腺癌靶向治疗耐药的研究进展[J]. 国际肿瘤学杂志, 2024, 51(4): 235-238. |
| [9] | 孙维蔚, 姚学敏, 王鹏健, 王静, 贾敬好.基于血液学指标探讨免疫治疗晚期非小细胞肺癌预后因素及列线图构建[J]. 国际肿瘤学杂志, 2024, 51(3): 143-150. |
| [10] | 刘玉兰, 井海燕, 孙静, 宋伟, 沙丹.胃癌免疫治疗疗效预测及预后标志物的研究进展[J]. 国际肿瘤学杂志, 2024, 51(3): 175-180. |
| [11] | 马正红, 姜超.非小细胞肺癌KRASG12C突变的研究进展[J]. 国际肿瘤学杂志, 2024, 51(2): 95-98. |
| [12] | 崔腾璐, 吕璐, 孙鹏飞.放疗联合免疫治疗在头颈部鳞状细胞癌治疗中的应用[J]. 国际肿瘤学杂志, 2023, 50(9): 548-552. |
| [13] | 黄辉, 丁江华.靶向FGFR2治疗晚期胆管癌的研究进展[J]. 国际肿瘤学杂志, 2023, 50(9): 569-573. |
| [14] | 李开春, 丁昌利, 于文艳.安罗替尼联合特瑞普利单抗治疗晚期肺肉瘤样癌1例[J]. 国际肿瘤学杂志, 2023, 50(8): 511-512. |
| [15] | 过慈良, 江春平, 吴俊华.肠道菌群与肿瘤免疫治疗[J]. 国际肿瘤学杂志, 2023, 50(7): 432-436. |
| 阅读次数 | ||||||
| 全文 |
|
|||||
| 摘要 |
|
|||||