国际肿瘤学杂志››2024,Vol. 51››Issue (11): 696-705.doi:10.3760/cma.j.cn371439-20240618-00118

• 论著 •上一篇下一篇

长非编码RNA AL445524.1相关肝细胞癌预后模型的构建及其对肝癌细胞恶性表型的影响

薛小芳1, 钟玉全1(), 李欣阳2

  1. 1四川省内江市第一人民医院消化内科,内江 641000
    2成都医学院临床医学院,成都 610500
  • 收稿日期:2024-06-18修回日期:2024-09-27出版日期:2024-11-08发布日期:2024-12-26
  • 通讯作者:钟玉全 E-mail:349550501@qq.com

Construction of a prognostic model of hepatocellular carcinoma associated with lncRNA AL445524.1 and its effect on the malignant phenotype of hepatocellular carcinoma cells

Xue Xiaofang1, Zhong Yuquan1(), Li Xinyang2

  1. 1Department of Gastroenterology, First People's Hospital of Neijiang, Sichuan Province, Neijiang 641000, China
    2School of Clinical Medicine, Chengdu Medical College, Chengdu 610500, China
  • Received:2024-06-18Revised:2024-09-27Online:2024-11-08Published:2024-12-26
  • Contact:Zhong Yuquan E-mail:349550501@qq.com

摘要:

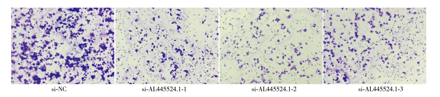
目的探讨长非编码RNA(lncRNA)AL445524.1在肝细胞癌(HCC)中的预后评估价值及对肝癌细胞的调控作用。方法基于TCGA数据库利用生物信息学分析AL445524.1在HCC中的表达水平,以AL445524.1表达水平的中位数作为临界值,将343例HCC患者分为高表达组和低表达组,采用Kaplan-Meier曲线进行生存分析;采用单因素和多因素Cox比例风险回归模型分析AL445524.1表达和其他临床特征与患者预后的关系,筛选HCC患者预后的独立危险因素,基于多因素分析结果,将数据完整的患者以7∶3的比例按照随机数字表法分为测试集(n=215)和训练集(n=92),并以此构建HCC的列线图预后预测模型,绘制受试者操作特征(ROC)曲线,计算曲线下面积(AUC),分析和验证预测模型的预测性能;对AL445524.1调控的差异基因进行功能富集分析;采用RT-PCR法检测肝癌细胞中AL445524.1表达水平。将人肝癌细胞株HCCLM3分为si-AL445524.1-1、si-AL445524.1-2、si-AL445524.1-3、si-NC组。通过CCK-8实验检测细胞增殖能力;细胞划痕及Transwell实验检测细胞迁移和侵袭能力;流式细胞术检测细胞凋亡情况。结果AL445524.1在肝癌组织中的表达显著高于癌旁组织(4.38±1.26比2.08±0.45,t=24.58,P<0.001)。Kaplan-Meier生存分析显示,AL445524.1高表达组(n=170)HCC患者的5年总生存(OS)率为37.37%,低表达组(n=173)患者为58.38%,差异有统计学意义(χ2=8.83,P=0.003)。多因素分析显示,肿瘤复发(HR=2.58, 95%CI为1.64~4.07,P<0.001)、临床分期(HR=2.49, 95%CI为1.63~3.81,P<0.001)及AL445524.1表达(HR=1.23, 95%CI为1.06~1.41,P=0.010)均是HCC患者预后的独立影响因素。基于肿瘤复发、临床分期、AL445524.1表达构建列线图预后预测模型,模型风险评分=0.774×肿瘤复发+0.753×临床分期+0.231×AL445524.1。预测模型C-index在训练集、测试集及全集中分别为0.726、0.660及0.678。ROC曲线分析显示,预测模型预测训练集、测试集及全集患者的1年OS率的AUC值分别为0.746、0.630、0.684;3年OS率的AUC值分别为0.778、0.736、0.743,5年OS率的AUC值分别为0.794、0.760、0.774。训练集、测试集、全集中,模型评分预测患者5年OS率预测效能均优于AL445524.1表达、临床分期及肿瘤复发单独预测(均P<0.05)。高风险组(n=154)、低风险组(n=153)患者5年OS率分别为33.54%、77.73%,差异有统计学意义(χ2=28.97,P<0.001)。GO、KEGG富集分析提示,AL445524.1高、低表达组差异表达基因主要与脂质代谢和氧化反应相关。GSEA分析表明,氧化磷酸化通路在AL445524.1高表达组HCC患者中显著富集。体外实验结果显示,AL445524.1在肝癌细胞(1.97±0.14)中的表达较正常肝细胞(1.00±0.10)高,差异有统计学意义(t=11.62,P=0.007)。沉默AL445524.1可显著抑制肝癌细胞增殖、迁移和侵袭,并促进肝癌细胞凋亡。CCK-8实验结果显示,si-NC、si-AL445524.1-1、si-AL445524.1-2、si-AL445524.1-3组细胞24 h的A450值分别为0.433±0.012、0.377±0.020、0.383±0.020、0.423±0.005,差异有统计学意义(F=20.51,P<0.001),且si-AL445524.1-1、si-AL445524.1-2、si-AL445524.1-3组细胞增殖均低于si-NC组(均P<0.001)。细胞划痕实验显示,上述4组细胞划痕愈合率分别为33.60%±6.15%、21.60%± 4.30%、26.40%± 4.60%、27.30%±2.60%,差异有统计学意义(F=42.71,P<0.001),且si-AL445524.1-1、si-AL445524.1-2、si-AL445524.1-3组细胞愈合面积均显著低于si-NC组(均P<0.001)。Transwell迁移和侵袭实验显示,上述4组迁移细胞数分别为293.50±14.80、110.50±10.28、132.44±5.57、115.25±8.66,差异有统计学意义(F=374.16,P<0.001),且si-AL445524.1-1、si-AL445524.1-2、si-AL445524.1-3组迁移细胞数均显著低于si-NC组(均P<0.001);上述4组侵袭细胞数分别为247.00±9.49、119.00±5.57、153.25±5.85、163.67±5.51,差异有统计学意义(F=218.14,P<0.001),且si-AL445524.1-1、si-AL445524.1-2、si-AL445524.1-3组侵袭细胞数均显著低于si-NC组(均P<0.001)。流式细胞术结果显示,上述4组细胞凋亡率分别为1.70%±0.08%、2.17%±0.11%、2.38%±0.08%、2.02%±0.27%,差异有统计学意义(F=29.36,P<0.001),且si-AL445524.1-1、si-AL445524.1-2、si-AL445524.1-3组细胞凋亡率显著高于si-NC组(均P<0.001)。结论AL445524.1可作为HCC的预后标志物;AL445524.1相关预后预测模型对预测HCC患者5年OS率具有较高准确性;高表达AL445524.1的HCC患者生存预后较差;沉默AL445524.1可抑制肝癌细胞增殖、迁移和侵袭,促进肝癌细胞凋亡,可能与细胞脂质代谢或氧化磷酸化相关。

关键词:癌,肝细胞,lncRNA AL445524.1,生物信息学分析,细胞增殖,细胞运动,肿瘤浸润,细胞凋亡

Abstract:

ObjectiveTo explore the prognostic value of long non-coding RNA (lncRNA) AL445524.1 in hepatocellular carcinoma (HCC) and its regulatory effect on liver cancer cells.MethodsBased on the TCGA database, bioinformatics analysis was conducted to assess the expression levels of AL445524.1 in HCC. Using the median expression level of AL445524.1 as the cut-off value, 343 HCC patients were divided into high expression group and low expression group. Survival analysis was performed using Kaplan-Meier curves. Univariate and multivariate Cox proportional hazards regression models were employed to analyze the relationship between AL445524.1 expression, other clinical characteristics, and patients' prognosis, identifying independent risk factors for the prognosis of HCC patients. Based on the results of the multivariate analysis, patients with complete data were randomly divided into a testing set (n=215) and a training set (n=92) in a 7∶3 ratio using a random number table method, and a nomogram prognostic prediction model for HCC was constructed. Receiver operator characteristic (ROC) curves were plotted to calculate the area under the curve (AUC) to analyze and validate the predictive performance of the model. Functional enrichment analysis was conducted on the differentially expressed genes regulated by AL445524.1. The expression level of AL445524.1 in liver cancer cells was detected using RT-PCR. Human hepatoma cell lines HCCLM3 were divided into si-AL445524.1-1, si-AL445524.1-2, si-AL445524.1-3 and si-NC groups. The CCK-8 assay was used to assess cell proliferation capability; cell scratch and Transwell assays were performed to evaluate cell migration and invasion abilities; and flow cytometry was utilized to detect cell apoptosis.ResultsThe expression of AL445524.1 in liver cancer tissues was significantly higher than that in para-carcinoma tissues (4.38±1.26vs.2.08±0.45,t=24.58,P<0.001). Kaplan-Meier survival analysis showed that the 5-year overall survival (OS) rate for HCC patients in high AL445524.1 expression group (n=170) was 37.37%, and that of patients in low AL445524.1 expression group (n=173) was 58.38%, with a statistically significant difference (χ²=8.83,P=0.003). Multivariate analysis showed that tumor recurrence (HR=2.58, 95%CI: 1.64-4.07,P<0.001), clinical stage (HR=2.49, 95%CI: 1.63-3.81,P<0.001), and AL445524.1 expression (HR=1.23, 95%CI: 1.06-1.41,P=0.010) were independent factors affecting the prognosis of HCC patients. A nomogram prognostic prediction model was constructed based on tumor recurrence, clinical stage, and AL445524.1 expression, with the model risk score calculated as: risk score=0.774×tumor recurrence+0.753×clinical stage+0.231×AL445524.1. The prediction model C-index values of 0.726, 0.660, and 0.678 in the training set, testing set, and overall set, respectively. ROC curve analysis showed that the AUC values for the 1-year OS rates in the training set, testing set, and overall set were 0.746, 0.630, and 0.684, respectively; the AUC values for the 3-year OS rates were 0.778, 0.736, and 0.743; and the AUC values for the 5-year OS rates were 0.794, 0.760, and 0.774. In the training set, the test set and the overall set, the predictive performance of the model score in predicting the 5-year OS rate of patients was superior to the individual predictions of AL445524.1 expression, clinical stage and tumor recurrence alone (allP<0.05). The 5-year overall survival (OS) rates of high-risk group (n=154) and low-risk group (n=153) were 33.54% and 77.73%, respectively, with a statistically significant difference (χ²=28.97,P<0.001). GO and KEGG enrichment analysis suggested that the differential expression of AL445524.1 genes in high and low expression groups was mainly related to lipid metabolism and oxidation. GSEA analysis showed that the oxidative phosphorylation pathway was significantly enriched in HCC patients with high expression of AL445524.1.In vitroexperiments showed that AL445524.1 expression was higher in liver cancer cells (1.97±0.14) compared to normal liver cells (1.00±0.10), with a statistically significant difference (t=11.62,P=0.007). Silencing AL445524.1 could significantly inhibit the proliferation, migration, and invasion of liver cancer cells and promote apoptosis. In the CCK-8 proliferation experiment, theA450values of the si-NC, si-AL445524.1-1, si-AL445524.1-2, and si-AL445524.1-3 groups after 24 hours were 0.433±0.012, 0.377±0.020, 0.383±0.020, and 0.423±0.005, respectively, with a statistically significant difference (F=20.51,P<0.001). Additionally, the cell proliferation in the si-AL445524.1-1, si-AL445524.1-2, and si-AL445524.1-3 groups was lower than that in the si-NC group (allP<0.001). The cell scratch assay showed that the scratch healing rates of the above 4 groups were 33.60%±6.15%, 21.60%±4.30%, 26.40%± 4.60%, and 27.30%±2.60%, respectively, with a statistically significant difference (F=42.71,P<0.001). The scratch healing rates of the si-AL445524.1-1, si-AL445524.1-2, and si-AL445524.1-3 groups were also significantly lower than that of the si-NC group (allP<0.001). Transwell migration and invasion experiments revealed that the number of migrated cells in the above 4 groups were 293.50±14.80, 110.50±10.28, 132.44±5.57, and 115.25±8.66, respectively, with a statistically significant difference (F=374.16,P<0.001). The number of migrated cells in the si-AL445524.1-1, si-AL445524.1-2, and si-AL445524.1-3 groups were significantly lower than that in the si-NC group (allP<0.001). For the invasion assay, the number of invaded cells in the above 4 groups were 247.00±9.49, 119.00±5.57, 153.25±5.85, and 163.67±5.51, respectively, with a statistically significant difference (F=218.14,P<0.001). The number of invaded cells in the si-AL445524.1-1, si-AL445524.1-2, and si-AL445524.1-3 groups were also significantly lower than that in the si-NC group (allP<0.001). Flow cytometry showed that the apoptosis rates of the above 4 groups were 1.70%±0.08%, 2.17%±0.11%, 2.38%±0.08%, and 2.02%±0.27%, respectively, with a statistically significant difference (F=29.36,P<0.001). The apoptosis rate in the si-AL445524.1-1, si-AL445524.1-2, and si-AL445524.1-3 groups were significantly higher than that in the si-NC group (allP<0.001).ConclusionAL445524.1 can serve as a prognostic marker for HCC. The AL445524.1-related prognostic prediction model demonstrates high accuracy in predicting the 5-year OS rate of HCC patients. Patients with high AL445524.1 expression have poorer survival prognosis. Silencing AL445524.1 can inhibit liver cancer cell proliferation, migration, and invasion while promoting apoptosis, which may be related to cellular lipid metabolism or oxidative phosphorylation.

Key words:Carcinoma, hepatocellular,lncRNA AL445524.1,Bioinformatics analysis,Cell prolifera-tion,Cell movement,Neoplasm invasiveness,Apoptosis

Baidu
map