国际肿瘤学杂志››2024,Vol. 51››Issue (8): 542-544.doi:10.3760/cma.j.cn371439-20240329-00091

• 病例报道 •上一篇

肾透明细胞癌术后以胃部为首发转移1例并文献复习

夏振1, 石会勇2()

  1. 1百度开云体育app第三附属医院病理科,济南 250000
    2百度开云体育app第三附属医院内镜中心,济南 250000
  • 收稿日期:2024-03-29修回日期:2024-05-12出版日期:2024-08-08发布日期:2024-09-24
  • 通讯作者:石会勇,Email:15053133075@163.com

    • Received:2024-03-29Revised:2024-05-12Online:2024-08-08Published:2024-09-24

    摘要:

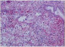
    肾透明细胞癌是成人肾脏最常见的恶性肿瘤。常见转移部位为肺脏、肝脏、骨骼、肾上腺、对侧肾脏等,转移至胃部相对罕见,准确的病理诊断和鉴别诊断对于此病的治疗及预后非常重要。现报道右肾透明细胞癌切除术后,以胃部为首发转移并相继出现肺脏、颅骨、肝脏及脑多发性转移且长期生存的患者1例。

    关键词:癌,肾细胞,胃转移

    Baidu
    map