| [1] |
Clive AO, Jones HE, Bhatnagar R, et al. Interventions for the ma-nagement of malignant pleural effusions: a network meta-analysis[J]. Cochrane Database Syst Rev, 2016, 2016(5): CD010529. DOI: 10.1002/14651858.CD010529.pub2. doi:10.1002/14651858.CD010529.pub2 |
| [2] |
中国恶性胸腔积液诊断与治疗专家共识组. 恶性胸腔积液诊断与治疗专家共识[J]. 中华内科杂志, 2014, 53(3): 252-256. DOI: 10.3760/cma.j.issn.0578-1426.2014.03.028. doi:10.3760/cma.j.issn.0578-1426.2014.03.028 |
| [3] |
Roberts ME, Neville E, Berrisford RG, et al. Management of a malignant pleural effusion: British Thoracic Society Pleural Disease Guideline 2010[J]. Thorax, 2010, 65 Suppl 2: ii32-ii40. DOI: 10.1136/thx.2010.136994. doi:10.1136/thx.2010.136994 |
| [4] |
科技部传染病防治重大专项课题“病毒性肝炎相关肝癌外科综合治疗的个体化和新策略研究”专家组. 肝内胆管癌外科治疗中国专家共识(2020版)[J]. 中华消化外科杂志, 2021, 20(1): 1-15. DOI: 10.3760/cma.j.cn115610-20201211-00777. doi:10.3760/cma.j.cn115610-20201211-00777 |
| [5] |
Benson AB, D'Angelica MI, Abbott DE, et al. Hepatobiliary Cancers, Version 2.2021, NCCN Clinical Practice Guidelines in Oncology[J]. J Natl Compr Canc Netw, 2021, 19(5): 541-565. DOI: 10.6004/jnccn.2021.0022. doi:10.6004/jnccn.2021.0022 |
| [6] |
中国抗癌协会肝癌专业委员会胆管癌协作组. 原发性肝癌诊疗指南之肝内胆管癌诊疗中国专家共识(2022版)[J]. 中华消化外科杂志, 2022, 21(10): 1269-1301. DOI: 10.3760/cma.j.cn115610-20220829-00476. doi:10.3760/cma.j.cn115610-20220829-00476 |
| [7] |
Esnaola NF, Meyer JE, Karachristos A, et al. Evaluation and ma-nagement of intrahepatic and extrahepatic cholangiocarcinoma[J]. Cancer, 2016, 122(9): 1349-1369. DOI: 10.1002/cncr.29692. doi:10.1002/cncr.29692pmid:26799932 |
| [8] |
姜淑娟, 牟晓燕, 张嵩, 等. 内科胸腔镜术对不明原因胸腔积液的诊断价值[J]. 中华结核和呼吸杂志, 2013, 36(5): 337-340. DOI: 10.3760/cma.j.issn.1001-0939.2013.05.008. doi:10.3760/cma.j.issn.1001-0939.2013.05.008 |
| [9] |
金发光, 李时悦, 李王平, 等. 内科胸腔镜诊疗规范[J]. 中华肺部疾病杂志(电子版), 2018, 11(1): 6-13. DOI: 10.3877/cma.j.issn.1674-6902.2018.01.002. doi:10.3877/cma.j.issn.1674-6902.2018.01.002 |
| [10] |
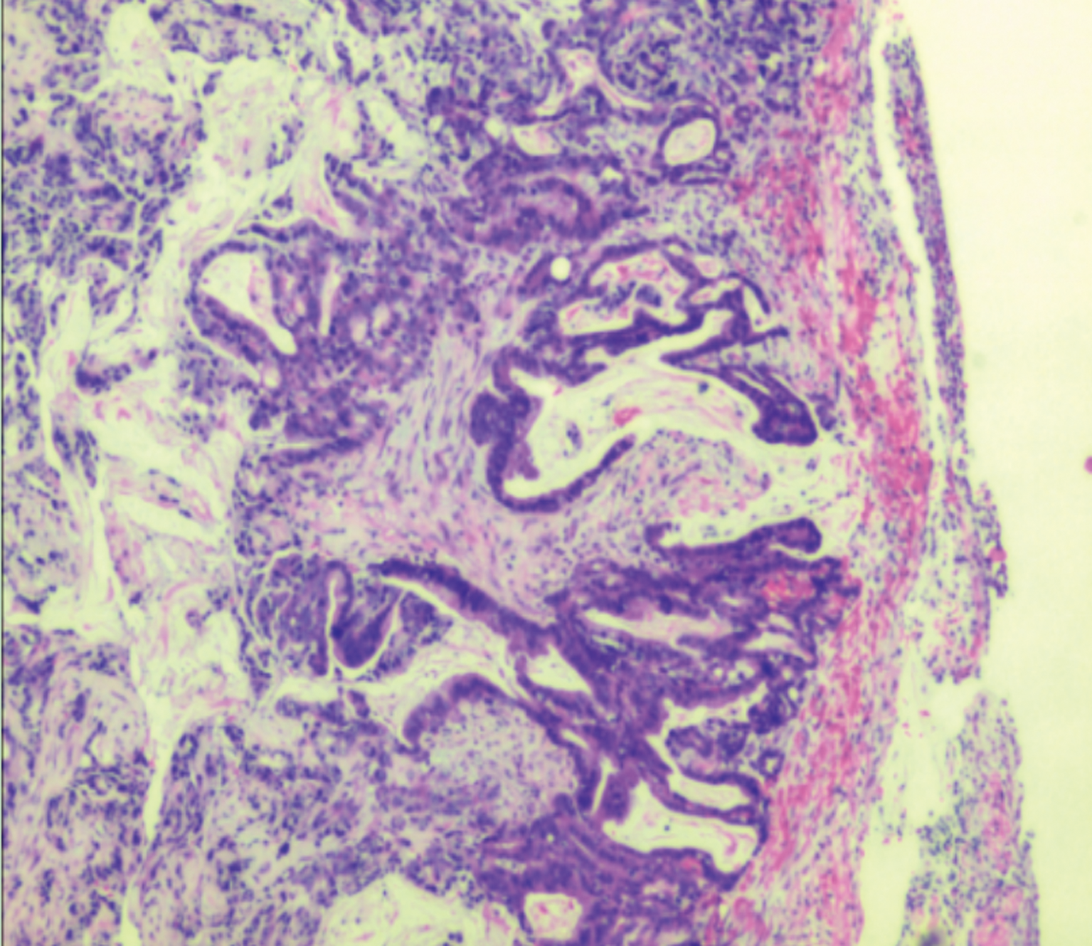
唐福婷, 章宜芬, 徐慧, 等. CK7、CK20、Villin、MOC-31和Ber-Ep4对浆膜腔积液转移性腺癌的鉴别作用[J]. 江苏医药, 2022, 48(1): 68-71, 109. DOI: 10.19460/j.cnki.0253-3685.2022.01.017. doi:10.19460/j.cnki.0253-3685.2022.01.017 |
| [11] |
Oh DY, Chen LT, He AR, et al. 831TiP—A phase Ⅲ, randomized, double-blind, placebo-controlled, international study of durvalu-mab in combination with gemcitabine plus cisplatin for patients with advanced biliary tract cancers: TOPAZ-1[J]. Ann Oncol, 2019, 30(Supplement_5): v319. DOI: 10.1093/annonc/mdz247.157. doi:10.1093/annonc/mdz247.157 |