


国际肿瘤学杂志››2022,Vol. 49››Issue (6): 383-384.doi:10.3760/cma.j.cn371439-20220221-00074
• 病例报道 •上一篇
收稿日期:2022-02-21修回日期:2022-04-14出版日期:2022-06-08发布日期:2022-06-30通讯作者:单锦露 E-mail:lulu7476@sina.com
Received:2022-02-21Revised:2022-04-14Online:2022-06-08Published:2022-06-30摘要:
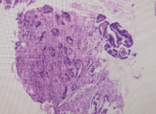
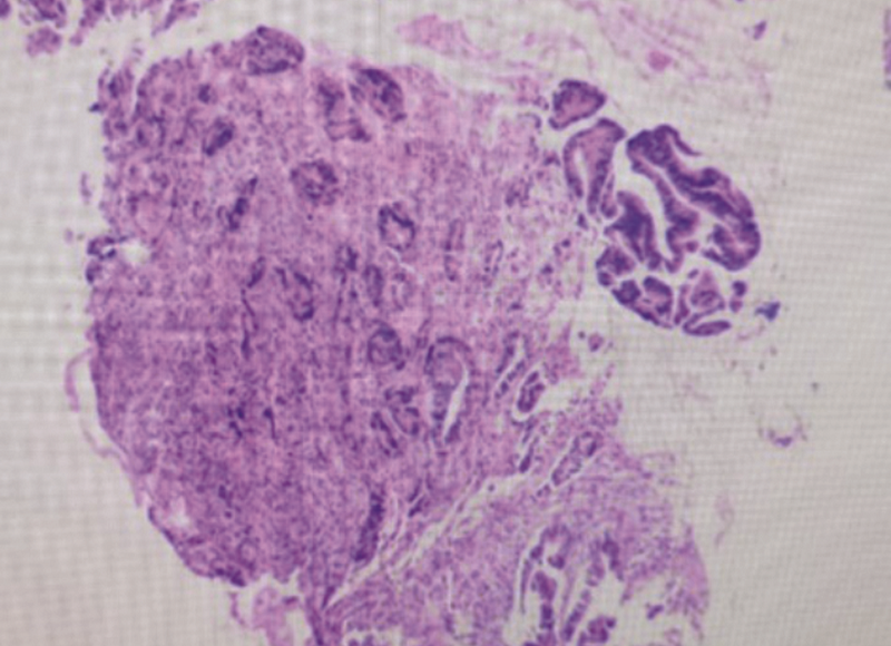
新辅助放化疗对局部晚期直肠癌(LARC)的肿瘤退缩、R0切除、局部控制率、器官保存率等方面均明显优于传统治疗模式,现已成为LARC的新标准治疗方案,但目前仍存在一些具有争议及未解决的问题。现报道1例LARC患者接受新辅助放化疗联合动脉栓塞灌注治疗后再行手术治疗并取得良好效果,这种新辅助治疗模式可供临床参考。
杜佳, 李娟, 李钱, 陈姝, 单锦露. 新辅助放化疗联合动脉栓塞灌注治疗局部晚期直肠癌1例[J]. 国际肿瘤学杂志, 2022, 49(6): 383-384.
| [1] | Cao W, Chen HD, Yu YW, et al. Changing profiles of cancer burden worldwide and in China: a secondary analysis of the global cancer statistics 2020[J]. Chin Med J (Engl), 2021, 134(7): 783-791. DOI: 10.1097/CM9.0000000000001474. doi:10.1097/CM9.0000000000001474 |
| [2] | Xia C, Dong X, Li H, et al. Cancer statistics in China and United States, 2022: profiles, trends, and determinants[J]. Chin Med J (Engl), 2022, 135(5): 584-590. DOI: 10.1097/CM9.000000000-0002108. doi:10.1097/CM9.000000000-0002108 |
| [3] | Saklani A, Pandey D, Patel S. RAPIDO protocol: a promising approach for high-risk locally advanced rectal cancers[J]. Lancet Oncol, 2021, 22(1): 2-3. DOI: 10.1016/S1470-2045(20)30643-4. doi:10.1016/S1470-2045(20)30643-4 |
| [4] | Bahadoer RR, Dijkstra EA, van Etten B, et al. Short-course radio-therapy followed by chemotherapy before total mesorectal excision (TME) versus preoperative chemoradiotherapy, TME, and optional adjuvant chemotherapy in locally advanced rectal cancer (RAPIDO): a randomised, open-label, phase 3 trial[J]. Lancet Oncol, 2021, 22(1): 29-42. DOI: 10.1016/S1470-2045(20)30555-6. doi:10.1016/S1470-2045(20)30555-6pmid:33301740 |
| [5] | Tanaka T, Terai Y, Fujiwara S, et al. Neoadjuvant intra-arterial chemotherapy using an original four-lumen double-balloon catheter for locally advanced uterine cervical cancer[J]. Oncotarget, 2018, 9(102): 37766-37776. DOI: 10.18632/oncotarget.26518. doi:10.18632/oncotarget.26518 |
| [6] | Liu X, Lin H, Wang Q, et al. Drug-eluting beads bronchial arterial chemoembolization plus intercostals arterial infusion chemotherapy is effective and well-tolerated in treating non-small cell lung cancer patients with refractory malignant pleural effusion[J]. J Thorac Dis, 2021, 13(4): 2339-2350. DOI: 10.21037/jtd-20-1603. doi:10.21037/jtd-20-1603 |
| [7] | Qiu B, Zhang X, Tsauo J, et al. Transcatheter arterial infusion for pancreatic cancer: a 10-year National Cancer Center experience in 115 patients and literature review[J]. Abdom Radiol (NY), 2019, 44(8): 2801-2808. DOI: 10.1007/s00261-019-02022-2. doi:10.1007/s00261-019-02022-2 |
| [8] | Llovet JM, De Baere T, Kulik L, et al. Locoregional therapies in the era of molecular and immune treatments for hepatocellular carcinoma[J]. Nat Rev Gastroenterol Hepatol, 2021, 18(5): 293-313. DOI: 10.1038/s41575-020-00395-0. doi:10.1038/s41575-020-00395-0pmid:33510460 |
| [9] | 张景岚. 结直肠癌肝转移瘤局部介入治疗应用进展[J]. 实用肿瘤学杂志, 2020, 34(1): 79-82. DOI: 10.11904/j.issn.1002-3070.2020.01.015. doi:10.11904/j.issn.1002-3070.2020.01.015 |
| [10] | Yothers G, O'Connell MJ, Allegra CJ, et al. Oxaliplatin as adjuvant therapy for colon cancer: updated results of NSABP C-07 trial, including survival and subset analyses[J]. J Clin Oncol, 2011, 29(28): 3768-3774. DOI: 10.1200/JCO.2011.36.4539. doi:10.1200/JCO.2011.36.4539pmid:21859995 |
| [11] | De Felice F, Benevento I, Magnante AL, et al. Clinical benefit of adding oxaliplatin to standard neoadjuvant chemoradiotherapy in locally advanced rectal cancer: a meta-analysis: oxaliplatin in neoadjuvant treatment for rectal cancer[J]. BMC Cancer, 2017, 17(1): 325. DOI: 10.1186/s12885-017-3323-4. doi:10.1186/s12885-017-3323-4 |
| [1] | 张蕊, 褚衍六.基于FIT与肠道菌群的结直肠癌风险评估模型的研究进展[J]. 国际肿瘤学杂志, 2024, 51(6): 370-375. |
| [2] | 高凡, 王萍, 杜超, 褚衍六.肠道菌群与结直肠癌非手术治疗的相关研究进展[J]. 国际肿瘤学杂志, 2024, 51(6): 376-381. |
| [3] | 王俊毅, 洪楷彬, 纪荣佳, 陈大朝.癌结节对结直肠癌根治性切除术后肝转移的影响[J]. 国际肿瘤学杂志, 2024, 51(5): 280-285. |
| [4] | 孙国宝, 杨倩, 庄庆春, 高斌斌, 孙晓刚, 宋伟, 沙丹.结直肠癌肝转移组织病理学生长方式研究进展[J]. 国际肿瘤学杂志, 2024, 51(2): 114-118. |
| [5] | 刘德宝, 孙子雯, 鲁守堂, 徐海东.ASB6在结直肠癌组织中的表达及临床意义[J]. 国际肿瘤学杂志, 2023, 50(8): 470-474. |
| [6] | 陈卓, 陶俊, 陈琳, 柯晶.外周血miR-194联合粪便miR-143检测对结直肠癌临床筛查的价值[J]. 国际肿瘤学杂志, 2023, 50(5): 268-273. |
| [7] | 曾利武, 杜雨强, 张鹏, 陶凯雄.直肠癌侧方淋巴结转移的影像评估进展[J]. 国际肿瘤学杂志, 2023, 50(4): 248-251. |
| [8] | 黄镇, 张蔡羽天, 柯少波, 石薇, 赵文思, 陈永顺.结直肠癌患者术后预后模型的构建[J]. 国际肿瘤学杂志, 2023, 50(3): 157-163. |
| [9] | 徐良富, 李袁飞.MSS型结直肠癌肿瘤微环境及免疫联合治疗研究进展[J]. 国际肿瘤学杂志, 2023, 50(3): 186-190. |
| [10] | 刘玉杰, 赵志强, 王子琤.早期结直肠癌患者外周血单个核细胞中TOP2A、ERBB2的水平及其诊断价值[J]. 国际肿瘤学杂志, 2023, 50(12): 717-722. |
| [11] | 陶红, 殷红, 罗宏, 陶佳瑜.靶向肿瘤相关巨噬细胞增强结直肠癌免疫检查点抑制剂疗效的潜在策略[J]. 国际肿瘤学杂志, 2023, 50(11): 683-687. |
| [12] | 王熙, 吴川清.结直肠癌多药耐药逆转的研究进展[J]. 国际肿瘤学杂志, 2023, 50(1): 42-46. |
| [13] | 高一钊, 刘洋, 刘秋龙, 邢金良.循环游离核酸在结直肠癌临床诊疗中的应用[J]. 国际肿瘤学杂志, 2022, 49(9): 555-559. |
| [14] | 何哲锋, 吴燚阳, 李振军, 应晓江.炎性相关标志物对结直肠癌的预测价值[J]. 国际肿瘤学杂志, 2022, 49(9): 560-563. |
| [15] | 李志磊, 罗加林.预测局部晚期直肠癌术前同步放化疗敏感性的生物学指标[J]. 国际肿瘤学杂志, 2022, 49(9): 564-567. |
| 阅读次数 | ||||||
| 全文 |
|
|||||
| 摘要 |
|
|||||
