国际肿瘤学杂志››2023,Vol. 50››Issue (8): 470-474.doi:10.3760/cma.j.cn371439-20230523-00090

• 论著 •上一篇下一篇

ASB6在结直肠癌组织中的表达及临床意义

刘德宝1, 孙子雯2,3, 鲁守堂3,4(), 徐海东5()

  1. 1百度开云体育app第一附属医院(山东省千佛山医院)肝病科,济南 250014
    2百度开云体育app第三附属医院(山东省医学科学院附属医院)教育部,济南 250031
    3百度开云体育app(山东省医学科学院)胃肠病研究所(临床中心),济南 250031
    4百度开云体育app第三附属医院(山东省医学科学院附属医院)胃肠外科,济南 250031
    5百度开云体育app第三附属医院(山东省医学科学院附属医院)人力资源部,济南 250031
  • 收稿日期:2023-05-23修回日期:2023-07-02出版日期:2023-08-08发布日期:2023-10-24
  • 通讯作者:鲁守堂,徐海东 E-mail:lustsydsfy@126.com;xhd819@126.com
  • 基金资助:
    山东省医药卫生科技发展计划(202103100314);山东省医学科学院医药卫生科技创新工程

Expression and clinical significance of ASB6 in colorectal cancer tissues

Liu Debao1, Sun Ziwen2,3, Lu Shoutang3,4(), Xu Haidong5()

  1. 1Department of Liver Disease, First Affiliated Hospital of Shandong First Medical University & Shandong Provincial Qianfoshan Hospital, Jinan 250014, China
    2Department of Education, Third Affiliated Hospital of Shandong First Medical University (Affiliated Hospital of Shandong Academy of Medical Sciences), Jinan 250031, China
    3Gastroenterology Research Institute and Clinical Center, Shandong First Medical University (Shandong Academy of Medical Sciences), Jinan 250031, China
    4Department of Gastrointestinal Surgery, Third Affiliated Hospital of Shandong First Medical University (Affiliated Hospital of Shandong Academy of Medical Sciences), Jinan 250031, China
    5Department of Human Resources, Third Affiliated Hospital of Shandong First Medical University (Affiliated Hospital of Shandong Academy of Medical Sciences), Jinan 250031, China
  • Received:2023-05-23Revised:2023-07-02Online:2023-08-08Published:2023-10-24
  • Contact:Lu Shoutang, Xu Haidong E-mail:lustsydsfy@126.com;xhd819@126.com
  • Supported by:
    Shandong Province Medical and Health Technology Development Plan Project(202103100314);Medical and Health Science and Technology Innovation Project of Shandong Academy of Medical Sciences

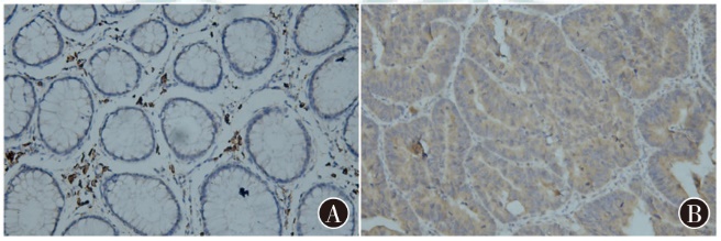
摘要:目的探讨ASB6在结直肠癌组织中的表达及临床意义。方法收集百度开云体育app第三附属医院胃肠外科2015年1月至2018年1月收治的106例结直肠癌患者术后的癌组织以及癌旁组织,通过免疫组织化学染色法检测组织中ASB6的表达情况,并分析其表达与临床病理特征之间的关系。应用实时荧光定量PCR检测组织中ASB6 mRNA的表达情况。应用Kaplan-Meier法分析ASB6的表达与患者预后之间的关系。应用Cox回归模型分析结直肠癌患者预后的影响因素。结果ASB6在结直肠癌组织中的高表达率(67.9%,72/106)明显高于癌旁组织(10.4%,11/106,χ2=73.67,P<0.001)。ASB6的表达与淋巴结转移(χ2=7.34,P=0.007)及TNM分期(χ2=16.85,P<0.001)相关,而与患者的年龄(χ2=0.42,P=0.516)、性别(χ2=0.76,P=0.385)、肿块大小(χ2=0.91,P=0.341)、肿瘤位置(χ2=2.29,P=0.130)、组织学类型(χ2<0.01,P>0.999)、分化程度(χ2=2.54,P=0.111)、远处转移(χ2=3.38,P=0.066)无关。实时荧光定量PCR结果显示,ASB6在结直肠癌组织中的表达水平明显高于癌旁组织(5.37±0.13比3.39±0.09,t=-12.48,P<0.001)。Kaplan-Meier生存分析显示,ASB6高表达组(72例)与ASB6低表达组(34例)患者的5年总生存率分别为45.8%和73.5%(χ2=6.82,P=0.009)。单因素分析显示,ASB6表达(HR=3.09,95%CI为1.25~7.65,P=0.015)、淋巴结转移(HR=0.41,95%CI为0.21~0.82,P=0.011)、远处转移(HR=0.20,95%CI为0.10~0.42,P<0.001)以及TNM分期(HR=0.10,95%CI为0.03~0.32,P<0.001)是预后的影响因素,多因素分析发现,远处转移(HR=0.22,95%CI为0.09~0.50,P<0.001)及TNM分期(HR=0.25,95%CI为0.11~0.58,P<0.001)是影响预后的独立因素。结论ASB6在结直肠癌组织中的表达水平明显高于癌旁组织,且ASB6高表达的患者其预后明显差于低表达者,可将ASB6作为未来结直肠癌患者早期监测及术后生存评估的重要指标。

关键词:结直肠肿瘤,ASB6,预后

Abstract:ObjectiveTo explore the expression and clinical significance of ASB6 in colorectal cancer tissue.MethodsThe cancer tissues and para-carcinoma tissues were selected from 106 patients with colorectal cancer admitted to the Department of Gastrointestinal Surgery, Third Affiliated Hospital of Shandong First Medical University from January 2015 to January 2018. Immunohistochemical method was used to detect the expression level of ASB6 protein in tissues, and the correlation between its expression and clinical pathological characteristics of patients was analyzed. At the same time, the expression of ASB6 mRNA in colorectal cancer tissues and para-carcinoma tissues was detected by quantitative real-time PCR (qRT-PCR). The Kaplan-Meier survival analysis method was used to explore the relationship between the expression of ASB6 and prognosis in colorectal cancer patients. The Cox regression model was used to analyze the independent prognostic factors of colorectal cancer patients.ResultsThe high expression rate of ASB6 in colorectal cancer tissues (67.9%, 72/106) was significantly higher than that in para-carcinoma tissues (10.4%,11/106,χ2=73.67,P<0.001). Further analysis showed that the expression of ASB6 protein was significantly correlated with lymph node metastasis (χ2=7.34,P=0.007) and TNM stage (χ2=16.85,P<0.001). There was no significant correlation between the expression of ASB6 protein and age (χ2=0.42,P=0.516), sex (χ2=0.76,P=0.385), tumor size (χ2=0.91,P=0.341), tumor location (χ2=2.29,P=0.130), histological classification (χ2<0.01,P>0.999), differentiation degree (χ2=2.54,P=0.111) and distant metastasis (χ2=3.38,P=0.066). qRT-PCR results showed that the expression level of ASB6 mRNA in colorectal cancer tissues was significantly higher than that in para-carcinoma tissues (5.37±0.13vs.3.39±0.09,t=-12.48,P<0.001). Kaplan-Meier survival analysis showed that the overall 5-year survival rates of patients in the ASB6 high expression group (72 cases) and the ASB6 low expression group (34 cases) were 45.8% and 73.5%, respectively (χ2=6.82,P=0.009). Univariate survival analysis found that ASB6 protein expression (HR=3.09, 95%CI: 1.25-7.65,P=0.015), lymph node metastasis (HR=0.41, 95%CI: 0.21-0.82,P=0.011), distant metastasis (HR=0.20, 95%CI: 0.10-0.42,P<0.001), and TNM stage (HR=0.10, 95%CI: 0.03-0.32,P<0.001) were prognostic factors, while multivariate Cox survival analysis found that distant metastasis (HR=0.22, 95%CI: 0.09-0.50,P<0.001) and TNM stage (HR=0.25, 95%CI: 0.11-0.58,P<0.001) were independent prognostic factors.ConclusionThe expression of ASB6 in colorectal cancer tissues is significantly higher than that in para-carcinoma tissues, and the prognosis of patients with high expression of ASB6 is significantly worse than that of patients with low expression of ASB6. ASB6 can be used as an important indicator for early monitoring and postoperative survival assessment of colorectal cancer patients in the future.

Key words:Colorectal neoplasms,ASB6,Prognosis

Baidu
map