


国际肿瘤学杂志››2022,Vol. 49››Issue (8): 505-508.doi:10.3760/cma.j.cn371439-20220121-00097
收稿日期:2022-01-21修回日期:2022-03-15出版日期:2022-08-08发布日期:2022-09-21通讯作者:朱巍 E-mail:18686111667@163.com
Received:2022-01-21Revised:2022-03-15Online:2022-08-08Published:2022-09-21摘要:
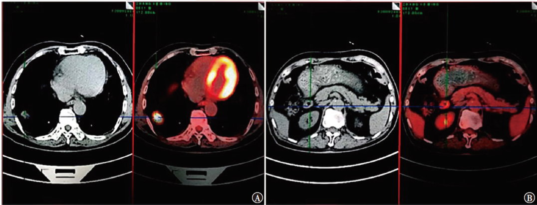
在非小细胞肺癌(NSCLC)的诸多驱动基因中,转染重排(RET)融合基因是一种新型突变基因,存在于1%~2%的NSCLC患者中。普拉替尼是一种RET抑制剂,用于靶向治疗RET融合阳性的NSCLC成人患者。现报道包头市中心医院收治的1例RET融合阳性NSCLC小肠转移老年患者的诊断过程、治疗方案及出现的不良反应,供临床参考。
李荔枝, 郝志强, 朱巍. 普拉替尼治疗RET融合阳性非小细胞肺癌小肠转移老年患者1例及文献复习[J]. 国际肿瘤学杂志, 2022, 49(8): 505-508.
| [1] | 杨晨光, 徐志巧. 驱动基因阳性晚期非小细胞肺癌靶向治疗[J]. 国际肿瘤学杂志, 2021, 48(4): 235-240. DOI: 10.3760/cma.j.cn371439-20200911-00047. doi:10.3760/cma.j.cn371439-20200911-00047 |
| [2] | Subbiah V, Yang D, Velcheti V, et al. State-of-the-art strategies for targeting RET-dependent cancers[J]. J Clin Oncol, 2020, 38(11): 1209-1221. DOI: 10.1200/JCO.19.02551. doi:10.1200/JCO.19.02551pmid:32083997 |
| [3] | Li AY, McCusker MG, Russo A, et al. RET fusions in solid tumors[J]. Cancer Treat Rev, 2019, 81: 101911. DOI: 10.1016/j.ctrv.2019.101911. doi:10.1016/j.ctrv.2019.101911 |
| [4] | Tan AC, Seet AOL, Lai GGY, et al. Molecular characterization and clinical outcomes in RET-rearranged NSCLC[J]. J Thorac Oncol, 2020, 15(12): 1928-1934. DOI: 10.1016/j.jtho.2020.08.011. doi:10.1016/j.jtho.2020.08.011 |
| [5] | 郑玉军, 姜巍, 陈东妍, 等. RET融合型非小细胞肺癌的研究进展[J]. 中国肺癌杂志, 2021, 24(8): 591-597. DOI: 10.3779/j.issn.1009-3419.2021.102.22. doi:10.3779/j.issn.1009-3419.2021.102.22 |
| [6] | Gainor JF, Curigliano G, Kim DW, et al. Pralsetinib for RET fusion-positive non-small-cell lung cancer (ARROW): a multi-cohort, open-label, phase 1/2 study[J]. Lancet Oncol, 2021, 22(7): 959-969. DOI: 10.1016/S1470-2045(21)00247-3. doi:10.1016/S1470-2045(21)00247-3 |
| [7] | Piotrowska Z, Isozaki H, Lennerz JK, et al. Landscape of acquired resistance to osimertinib in EGFR-mutant NSCLC and clinical validation of combined EGFR and RET inhibition with osimertinib and BLU-667 for acquired RET fusion[J]. Cancer Discov, 2018, 8(12): 1529-1539. DOI: 10.1158/2159-8290.CD-18-1022. doi:10.1158/2159-8290.CD-18-1022pmid:30257958 |
| [8] | Parker NA, McBride C, Forge J, et al. Bowel obstruction caused by colonic metastasis of lung adenocarcinoma: a case report and literature review[J]. World J Surg Oncol, 2019, 17(1): 63. DOI: 10.1186/s12957-019-1611-y. doi:10.1186/s12957-019-1611-ypmid:30961608 |
| [9] | Antler AS, Ough Y, Pitchumoni CS, et al. Gastrointestinal metastases from malignant tumors of the lung[J]. Cancer, 1982, 49(1): 170-172.DOI: 10.1002/1097-0142(19820101)49:1<170::aid-cncr2820490134>3.0.co;2-a. pmid:6274500 |
| [10] | Stenbygaard LE, Sørensen JB. Small bowel metastases in non-small cell lung cancer[J]. Lung Cancer, 1999, 26(2): 95-101. DOI: 10.1016/s0169-5002(99)00075-6. doi:10.1016/s0169-5002(99)00075-6pmid:10568680 |
| [11] | McNeill PM, Wagman LD, Neifeld JP. Small bowel metastases from primary carcinoma of the lung[J]. Cancer, 1987, 59(8): 1486-1489.DOI: 10.1002/1097-0142(19870415)59:8<1486::aid-cncr2820590815>3.0.co;2-w. pmid:3028602 |
| [12] | Rossi G, Marchioni A, Romagnani E, et al. Primary lung cancer presenting with gastrointestinal tract involvement: clinicopathologic and immunohistochemical features in a series of 18 consecutive cases[J]. J Thorac Oncol, 2007, 2(2): 115-120. DOI: 10.1016/S1556-0864(15)30037-X. doi:10.1016/S1556-0864(15)30037-X |
| [13] | Gitt SM, Flint P, Fredell CH, et al. Bowel perforation due to metastatic lung cancer[J]. J Surg Oncol, 1992, 51(4): 287-291. DOI: 10.1002/jso.2930510417. doi:10.1002/jso.2930510417pmid:1434663 |
| [14] | Salemis NS, Nikou E, Liatsos C, et al. Small bowel perforation secondary to metastatic non-small cell lung cancer. A rare entity with a dismal prognosis[J]. J Gastrointest Cancer, 2012, 43(3): 391-395. DOI: 10.1007/s12029-011-9329-2. doi:10.1007/s12029-011-9329-2 |
| [15] | Taira N, Kawabata T, Gabe A, et al. Analysis of gastrointestinal metastasis of primary lung cancer: clinical characteristics and prognosis[J]. Oncol Lett, 2017, 14(2): 2399-2404. DOI: 10.3892/ol.2017.6382. doi:10.3892/ol.2017.6382 |
| [16] | Hu Y, Feit N, Huang Y, et al. Gastrointestinal metastasis of primary lung cancer: an analysis of 366 cases[J]. Oncol Lett, 2018, 15(6): 9766-9776. DOI: 10.3892/ol.2018.8575. doi:10.3892/ol.2018.8575 |
| [17] | Di JZ, Peng JY, Wang ZG. Prevalence, clinicopathological cha-racteristics, treatment, and prognosis of intestinal metastasis of primary lung cancer: a comprehensive review[J]. Surg Oncol, 2014, 23(2): 72-80. DOI: 10.1016/j.suronc.2014.02.004. doi:10.1016/j.suronc.2014.02.004 |
| [18] | Moreno-Aguilera E, Galeana-Nogueda FI, Vera-Aguilera J, et al. Jejunal perforation secondary to pulmonary mucoepidermoid carcinoma metastasis. Case report and review[J]. Cir Cir, 2017, 85(3): 254-259. DOI: 10.1016/j.circir.2016.03.006. doi:S0009-7411(16)30018-4pmid:27260218 |
| [1] | 王盈, 刘楠, 郭兵.抗体药物偶联物在转移性乳腺癌治疗中的研究进展[J]. 国际肿瘤学杂志, 2024, 51(6): 364-369. |
| [2] | 王培鑫, 赵军, 徐世红, 姜朝阳, 王小强, 杨红娟.铁死亡相关机制在骨肉瘤中的应用进展[J]. 国际肿瘤学杂志, 2024, 51(5): 308-311. |
| [3] | 杨毫, 施贵冬, 张程城, 张跃, 张力文, 付茂勇.信迪利单抗与替雷利珠单抗在进展期食管鳞状细胞癌新辅助治疗中的疗效及安全性对比[J]. 国际肿瘤学杂志, 2024, 51(4): 210-216. |
| [4] | 杨智, 陆以乔, 顾花艳, 丁佳玲, 郭贵龙.肿瘤微环境介导乳腺癌靶向治疗耐药的研究进展[J]. 国际肿瘤学杂志, 2024, 51(4): 235-238. |
| [5] | 张栋岩, 王品, 魏秋亚, 邓成伍, 魏相相, 高远飞, 王琛.索凡替尼靶向联合卡培他滨和奥沙利铂治疗肝内胆管癌术后患者1例及文献复习[J]. 国际肿瘤学杂志, 2024, 51(4): 249-253. |
| [6] | 严爱婷, 王翠竹, 刘春桂, 鲁小敏.卡瑞利珠单抗与信迪利单抗治疗晚期非小细胞肺癌的临床疗效及安全性分析[J]. 国际肿瘤学杂志, 2024, 51(3): 137-142. |
| [7] | 马正红, 姜超.非小细胞肺癌KRASG12C突变的研究进展[J]. 国际肿瘤学杂志, 2024, 51(2): 95-98. |
| [8] | 邓隽军, 赵大勇, 李淼.免疫检查点抑制剂在非小细胞肺癌治疗中的不良反应及危险因素[J]. 国际肿瘤学杂志, 2023, 50(9): 564-568. |
| [9] | 黄辉, 丁江华.靶向FGFR2治疗晚期胆管癌的研究进展[J]. 国际肿瘤学杂志, 2023, 50(9): 569-573. |
| [10] | 王婷, 李文倩, 解友邦.低氧与急性髓系白血病细胞氧感受通路的相关性[J]. 国际肿瘤学杂志, 2023, 50(8): 503-507. |
| [11] | 李开春, 丁昌利, 于文艳.安罗替尼联合特瑞普利单抗治疗晚期肺肉瘤样癌1例[J]. 国际肿瘤学杂志, 2023, 50(8): 511-512. |
| [12] | 陈秋, 王雷, 王明琦, 张梅.恩沃利单抗联合阿昔替尼治疗肾癌肺转移1例并文献复习[J]. 国际肿瘤学杂志, 2023, 50(7): 445-448. |
| [13] | 李青珊, 谢鑫, 张楠, 刘帅.放疗联合系统治疗在乳腺癌中的应用进展[J]. 国际肿瘤学杂志, 2023, 50(6): 362-367. |
| [14] | 刘利, 朱思齐, 孙梦颖, 何敬东.PARP抑制剂在小细胞肺癌靶向治疗中的进展[J]. 国际肿瘤学杂志, 2023, 50(6): 368-372. |
| [15] | 刘博翰, 黄俊星.溶质载体SLC7A5及SLC7A11基因在恶性肿瘤中的研究进展[J]. 国际肿瘤学杂志, 2023, 50(5): 280-284. |
| 阅读次数 | ||||||
| 全文 |
|
|||||
| 摘要 |
|
|||||
