


Journal of International Oncology››2021,Vol. 48››Issue (7): 415-419.doi:10.3760/cma.j.cn371439-20200608-00079
• Original Articles •Previous ArticlesNext Articles
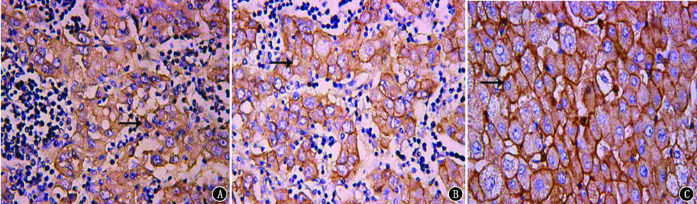
Received:2020-06-08Revised:2020-11-19Online:2021-07-08Published:2021-07-26Contact:Han Baojun E-mail:1974361174@qq.comHan Baojun. Expression of histone acetyltransferase P300 in hepatocellular carcinoma tissue and its clinical significance[J]. Journal of International Oncology, 2021, 48(7): 415-419.
"
| 临床病理特征 | P300阴性 (n=43) |
P300阳性 (n=57) |
χ2值 | P值 | 临床病理特征 | P300阴性 (n=43) |
P300阳性 (n=57) |
χ2值 | P值 |
|---|---|---|---|---|---|---|---|---|---|
| 性别 | TNM分期 | ||||||||
| 男 | 28 | 35 | 0.145 | 0.703 | Ⅰ | 25 | 19 | 6.121 | 0.013 |
| 女 | 15 | 22 | Ⅱ~Ⅳ | 18 | 38 | ||||
| 肿瘤病理分级 | AFP | ||||||||
| 1 | 5 | 2 | 阴性 | 31 | 22 | 11.040 | 0.001 | ||
| 2 | 29 | 27 | 9.337 | 0.009 | 阳性 | 12 | 35 | ||
| 3 | 9 | 28 | CD90 | ||||||
| 肿瘤直径(cm) | 阴性 | 22 | 12 | 9.903 | 0.002 | ||||
| <10 | 34 | 35 | 3.576 | 0.059 | 阳性 | 21 | 45 | ||
| ≥10 | 9 | 22 | CD34 | ||||||
| T分期 | 阴性 | 17 | 12 | 4.066 | 0.044 | ||||
| T1 | 12 | 5 | 阳性 | 26 | 45 | ||||
| T2 | 13 | 19 | 8.794 | 0.032 | Ki-67 | ||||
| T3 | 18 | 29 | 阴性 | 28 | 27 | 3.119 | 0.077 | ||
| T4 | 0 | 4 | 阳性 | 15 | 30 | ||||
| N分期 | |||||||||
| N0 | 42 | 54 | 0.551 | 0.458 | |||||
| N1 | 1 | 3 |
"
| 指标 | β值 | SE值 | Wald值 | RR值 | 95%CI | P值 |
|---|---|---|---|---|---|---|
| P300表达(阳性/阴性) | 0.869 | 0.326 | 7.133 | 2.554 | 1.261~4.502 | 0.009 |
| CD90表达(阳性/阴性) | 1.273 | 0.586 | 4.745 | 3.574 | 1.021~11.980 | 0.030 |
| AFP表达(阳性/阴性) | 0.260 | 0.268 | 1.112 | 1.310 | 0.769~1.898 | 0.300 |
| Ki-67表达(阳性/阴性) | 0.176 | 0.317 | 0.290 | 1.180 | 0.645~2.179 | 0.633 |
| 肿瘤分级(1~2级/3级) | -0.599 | 0.350 | 2.939 | 0.549 | 0.277~1.090 | 0.086 |
| TNM分期(Ⅰ期/Ⅱ~Ⅳ期) | -1.570 | 0.188 | 77.635 | 0.332 | 0.105~0.596 | 0.002 |
| T分期(T1-2期/T3-4期) | -0.454 | 0.282 | 2.597 | 0.639 | 0.368~1.125 | 0.107 |
| [1] | Qiu WQ, Shi JF, Guo LW, et al. Medical expenditure for liver can-cer in urban China: a 10-year multicenter retrospective survey (2002-2011)[J]. J Cancer Res Ther, 2018, 14(9):163-170. DOI: 10.4103/jcrt.JCRT_709_16. doi:10.4103/jcrt.JCRT_709_16 |
| [2] | Zuo MX, Huang JH. The history of interventional therapy for liver cancer in China[J]. Journal of Interventional Medicine, 2018, 1(2):70-76. DOI: 10.19779/j.cnki.2096-3602.2018.02.02. |
| [3] | Zhang Q, Lou Y, Bai XL, et al. Immunometabolism: a novel perspective of liver cancer microenvironment and its influence on tumor progression[J]. World J Gastroenterol, 2018, 24(31):3500-3512. DOI: 10.3748/wjg.v24.i31.3500. doi:10.3748/wjg.v24.i31.3500 |
| [4] | 梁宗英, 侯继申, 张乐, 等. 调亡抑制基因Survivin和乙酰基转移酶p300在食管癌组织中的表达以及临床意义[J]. 中国当代医药, 2019, 26(23):43-46. DOI: 10.3969/j.issn.1674-4721.2019.23.014. |
| [5] | Yamashita T, Honda M, Nakamoto Y, et al. Discrete nature of EpCAM+and CD90+cancer stem cells in human hepatocellular carcinoma[J]. Hepatology, 2013, 57(4):1484-1497. DOI: 10.1002/hep.26168. doi:10.1002/hep.26168pmid:23174907 |
| [6] | Vinogradov S, Wei X. Cancer stem cells and drug resistance: the potential of nanomedicine[J]. Nanomedicine (Lond), 2012, 7(4):597-615. DOI: 10.2217/nnm.12.22. doi:10.2217/nnm.12.22 |
| [7] | Li HM. Microcirculation of liver cancer, microenvironment of liver regeneration, and the strategy of Chinese medicine[J]. Chin J Integr Med, 2016, 22(3):163-167. DOI: 10.1007/s11655-016-2460-y. doi:10.1007/s11655-016-2460-y |
| [8] | 杨宇石, 石玉, 郑美娟, 等. 乳腺癌中乙酰化转移酶P300和H3K56乙酰化蛋白表达与新辅助化疗及临床病理特征的相关性[J]. 临床与实验病理学杂志, 2018, 34(7):747-751. DOI: 10.13315/j.cnki.cjcep.2018.07.009. |
| [9] | Liu Y, Mayo MW, Nagji AS, et al. BRMS1 suppresses lung cancer metastases through an E3 ligase function on histone acetyltransferase p300[J]. Cancer Res, 2013, 73(4):1308-1317. DOI: 10.1158/0008-5472.CAN-12-2489. doi:10.1158/0008-5472.CAN-12-2489 |
| [10] | Yokomizo C, Yamaguchi K, Itoh Y, et al. High expression of p300 in HCC predicts shortened overall survival in association with enhanced epithelial mesenchymal transition of HCC cells[J]. Cancer Lett, 2011, 310(2):140-147. DOI: 10.1016/j.canlet.2011.06.030. doi:10.1016/j.canlet.2011.06.030pmid:21764211 |
| [11] | Yamashita T, Ji J, Budhu A, et al. EpCAM-positive hepatocellular carcinoma cells are tumor-initiating cells with stem/progenitor cell features[J]. Gastroenterology, 2009, 136(3):1012-1024. DOI: 10.1053/j.gastro.2008.12.004. doi:10.1053/j.gastro.2008.12.004pmid:19150350 |
| [12] | Chen Z, Li W, Qiu F, et al. Aspirin cooperates with p300 to activate the acetylation of H3K9 and promote FasL-mediated apoptosis of cancer stem-like cells in colorectal cancer[J]. Theranostics, 2018, 8(16):4447-4461. DOI: 10.7150/thno.24284. doi:10.7150/thno.24284 |
| [13] | Yang ZF, Ngai P, Ho DW, et al. Identification of local and circula-ting cancer stem cells in human liver cancer[J]. Hepatology, 2008, 47(3):919-928. DOI: 10.1002/hep.22082. doi:10.1002/hep.22082 |
| [14] | Nielsen JS, Mcnagny KM. Novel functions of the CD34 family[J]. J Cell Sci, 2008, 121(Pt22):3683-3692. DOI: 10.1242/jcs.037507. doi:10.1242/jcs.037507 |
| [1] | Qian Xiaotao, Shi Ziyi, Hu Ge, Wu Xiaowei.Efficacy of consolidation chemotherapy after radical radiotherapy and chemotherapy for stage Ⅲ-ⅣA esophageal squamous cell carcinoma: a real-world clinical study[J]. Journal of International Oncology, 2024, 51(6): 326-331. |
| [2] | Yang Mi, Bie Jun, Zhang Jiayong, Deng Jiaxiu, Tang Zuge, Lu Jun.Analysis of the efficacy and prognosis of neoadjuvant therapy for locally advanced resectable esophageal cancer[J]. Journal of International Oncology, 2024, 51(6): 332-337. |
| [3] | Chen Hongjian, Zhang Suqing.Study on the relationship between serum miR-24-3p, H2AFX and clinical pathological features and postoperative recurrence in liver cancer patients[J]. Journal of International Oncology, 2024, 51(6): 344-349. |
| [4] | Fan Zhipeng, Yu Jing, Hu Jing, Liao Zhengkai, Xu Yu, Ouyang Wen, Xie Conghua.Predictive value of changes in inflammatory markers for prognosis in patients with advanced non-small cell lung cancer treated with the first-line immunotherapy plus chemotherapy[J]. Journal of International Oncology, 2024, 51(5): 257-266. |
| [5] | Yang Lin, Lu Ning, Wen Hua, Zhang Mingxin, Zhu Lin.Study on the clinical relationship between inflammatory burden index and gastric cancer[J]. Journal of International Oncology, 2024, 51(5): 274-279. |
| [6] | Liu Pingping, He Xuefang, Zhang Yi, Yang Xu, Zhang Shanshan, Ji Yifei.Risk factors of postoperative recurrence in patients with primary brain glioma and prediction model construction[J]. Journal of International Oncology, 2024, 51(4): 193-197. |
| [7] | Wan Fang, Yang Gang, Li Rui, Wan Qijing.Expression levels and clinical significance of serum miR-497 and miR-383 in patients with esophageal cancer[J]. Journal of International Oncology, 2024, 51(4): 204-209. |
| [8] | Yao Yixin, Shen Yulin.Predictive value of serum SOCS3 and TXNIP levels for the prognosis of patients with hepatocellular carcinoma treated with TACE[J]. Journal of International Oncology, 2024, 51(4): 217-222. |
| [9] | Sun Weiwei, Yao Xuemin, Wang Pengjian, Wang Jing, Jia Jinghao.Exploration of prognostic factors and nomogram construction for advanced non-small cell lung cancer treated with immunotherapy based on hematologic indexes[J]. Journal of International Oncology, 2024, 51(3): 143-150. |
| [10] | Liu Yulan, Jing Haiyan, Sun Jing, Song Wei, Sha Dan.Advances in predicting efficacy and prognostic markers of immunotherapy for gastric cancer[J]. Journal of International Oncology, 2024, 51(3): 175-180. |
| [11] | Peng Qin, Cai Yuting, Wang Wei.Advances on KPNA2 in liver cancer[J]. Journal of International Oncology, 2024, 51(3): 181-185. |
| [12] | Sun Guobao, Yang Qian, Zhuang Qingchun, Gao Binbin, Sun Xiaogang, Song Wei, Sha Dan.Research progress on the histopathological growth patterns of colorectal liver metastasis[J]. Journal of International Oncology, 2024, 51(2): 114-118. |
| [13] | Chen Boguang, Wang Sugui, Zhang Yongjie.Role of serum cholinesterase and inflammatory markers in the prognosis of stage ⅠA -ⅢA breast cancer[J]. Journal of International Oncology, 2024, 51(2): 73-82. |
| [14] | Jin Xudong, Chen Zhongjian, Mao Weimin.Research progress on the role of MTAP in malignant mesothelioma[J]. Journal of International Oncology, 2024, 51(2): 99-104. |
| [15] | Huang Zhen, Chen Yongshun.Research progress of circulating tumor DNA in the diagnosis and treatment of hepatocellular carcinoma[J]. Journal of International Oncology, 2024, 51(1): 59-64. |
| Viewed | ||||||
| Full text |
|
|||||
| Abstract |
|
|||||
