


国际肿瘤学杂志››2023,Vol. 50››Issue (2): 126-128.doi:10.3760/cma.j.cn371439-20220328-00026
• 病例报道 •上一篇
收稿日期:2022-03-28修回日期:2022-06-20出版日期:2023-02-08发布日期:2023-03-22通讯作者:金风,Email:
Received:2022-03-28Revised:2022-06-20Online:2023-02-08Published:2023-03-22摘要:
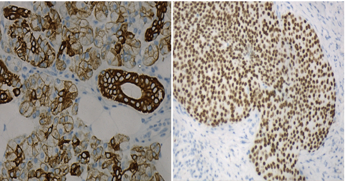
毛母质癌是一种非常罕见的低度恶性肿瘤,具有基质分化的特点,由于临床上极为罕见,极易漏诊、误诊,目前尚缺乏标准的治疗方案。现报道1例头皮毛母质癌并腮腺淋巴结转移患者,在术后进行放疗及顺铂同步增敏治疗后,局部转移病灶取得了完全缓解。
梁鑫, 金风, 李媛媛. 头皮毛母质癌并腮腺淋巴结转移1例[J]. 国际肿瘤学杂志, 2023, 50(2): 126-128.
| [1] | Weng G, Li F, Xu M. Pilomatrix carcinoma of the male breast: a case report[J]. Int J Clin Exp Pathol, 2020, 13(8): 2153-2157. |
| [2] | Lopansri S, Mihm MC Jr. Pilomatrix carcinoma or calcifying epitheliocarcinoma of Malherbe: a case report and review of literature[J]. Cancer, 1980, 45(9): 2368-2373. DOI: 10.1002/1097-0142. doi:10.1002/1097-0142pmid:7379033 |
| [3] | White C, Farsi M, Esguerra D, et al. Not your average skin cancer: a rare case of pilomatrix carcinoma[J]. J Clin Aesthet Dermatol, 2020, 13(6): 40-42. |
| [4] | Melancon JM, Tom WL, Lee RA, et al. Management of pilomatrix carcinoma: a case report of successful treatment with Mohs micrographic surgery and review of the literature[J]. Dermatol Surg, 2011, 37(12): 1798-1805. DOI: 10.1111/j.1524-4725.2011.02170.x. doi:10.1111/j.1524-4725.2011.02170.xpmid:22093235 |
| [5] | Alcántara-González J, Sánchez-Largo ME, Caminoa A, et al. Pilomatrix carcinoma: a rare cause of facial tumor[J]. Dermatol Online J, 2014, 20(7): 13030/qt5ct4m4w1. DOI: 10.5070/D3207023135. doi:10.5070/D3207023135 |
| [6] | Lazar AJ, Calonje E, Grayson W, et al. Pilomatrix carcinomas contain mutations in CTNNB1, the gene encoding beta-catenin[J]. J Cutan Pathol, 2005, 32(2): 148-157. DOI: 10.1111/j.0303-6987.2005.00267.x. doi:10.1111/j.0303-6987.2005.00267.xpmid:15606674 |
| [7] | Aherne NJ, Fitzpatrick DA, Gibbons D, et al. Recurrent malignant pilomatrixoma invading the cranial cavity: improved local control with adjuvant radiation[J]. J Med Imaging Radiat Oncol, 2009, 53(1): 139-141. DOI: 10.1111/j.1754-9485.2009.02049.x. doi:10.1111/j.1754-9485.2009.02049.x |
| [8] | Papadakis M, de Bree E, Floros N, et al. Pilomatrix carcinoma: more malignant biological behavior than was considered in the past[J]. Mol Clin Oncol, 2017, 6(3): 415-418. DOI: 10.3892/mco.2017.1148. doi:10.3892/mco.2017.1148pmid:28451423 |
| [9] | Ng WT, Lee MC, Chang AT, et al. The impact of dosimetric in-adequacy on treatment outcome of nasopharyngeal carcinoma with IMRT[J]. Oral Oncol, 2014, 50(5): 506-512. DOI: 10.1016/j.oraloncology.2014.01.017. doi:10.1016/j.oraloncology.2014.01.017 |
| [10] | Thamlikitkul L, Petsuksiri J, Ithimakin S. Post-operative concurrent chemoradiation for patients with non-squamous cell carcinoma of head and neck: a retrospective cohort of the uncommon cancers[J]. Asian Pac J Cancer Prev, 2019, 20(6): 1727-1734. DOI: 10.31557/APJCP.2019.20.6.1727. doi:10.31557/APJCP.2019.20.6.1727 |
| [11] | Onderdonk BE, Vokes EE, Gwede M, et al. Adjuvant treatment for high-risk salivary gland malignancies and prognostic stratification based on a 20-year single institution experience[J]. Health Sci Rep, 2020, 3(4): e195. DOI: 10.1002/hsr2.195. doi:10.1002/hsr2.195pmid:33043152 |
| [1] | 王盈, 刘楠, 郭兵.抗体药物偶联物在转移性乳腺癌治疗中的研究进展[J]. 国际肿瘤学杂志, 2024, 51(6): 364-369. |
| [2] | 王俊毅, 洪楷彬, 纪荣佳, 陈大朝.癌结节对结直肠癌根治性切除术后肝转移的影响[J]. 国际肿瘤学杂志, 2024, 51(5): 280-285. |
| [3] | 李书月, 马辰莺, 周菊英, 徐晓婷, 秦颂兵.寡转移非小细胞肺癌的放疗进展[J]. 国际肿瘤学杂志, 2024, 51(3): 170-174. |
| [4] | 孙国宝, 杨倩, 庄庆春, 高斌斌, 孙晓刚, 宋伟, 沙丹.结直肠癌肝转移组织病理学生长方式研究进展[J]. 国际肿瘤学杂志, 2024, 51(2): 114-118. |
| [5] | 张露, 蒋华, 林州, 马辰莺, 徐晓婷, 王利利, 周菊英.免疫检查点抑制剂治疗复发转移性宫颈癌的疗效及预后分析[J]. 国际肿瘤学杂志, 2023, 50(8): 475-483. |
| [6] | 张友文, 韩晓, 董有文, 徐芳, 姜波.以双侧胸腔积液为首发表现的肝内胆管癌胸膜转移1例[J]. 国际肿瘤学杂志, 2023, 50(5): 315-317. |
| [7] | 熊敏, 陈翼, 王建波.CT放射组学特征对肺转移瘤的鉴别诊断价值[J]. 国际肿瘤学杂志, 2023, 50(4): 208-213. |
| [8] | 杨丽蓉, 王羽丰.预测浆液性卵巢癌术后复发远处转移风险机器学习模型的构建[J]. 国际肿瘤学杂志, 2023, 50(4): 220-226. |
| [9] | 曾利武, 杜雨强, 张鹏, 陶凯雄.直肠癌侧方淋巴结转移的影像评估进展[J]. 国际肿瘤学杂志, 2023, 50(4): 248-251. |
| [10] | 赵永瑞, 高莹, 陈怡东, 徐建堃.基于直线加速器的分次立体定向放疗对小体积脑转移瘤的有效性及安全性[J]. 国际肿瘤学杂志, 2023, 50(3): 138-143. |
| [11] | 李雄安, 颜艳艳.丙戊酸镁用于治疗继发癫痫的晚期肺癌脑转移患者1例报道[J]. 国际肿瘤学杂志, 2023, 50(3): 191-192. |
| [12] | 马培晗, 张灵敏, 路宁, 张明鑫.麻醉对肝细胞癌复发转移的影响[J]. 国际肿瘤学杂志, 2023, 50(2): 117-121. |
| [13] | 陈群响, 张晓钰, 张妍, 张凯翔, 李捷, 陈曦.伊尼妥单抗联合长春瑞滨治疗HER2阳性转移性乳腺癌1例[J]. 国际肿瘤学杂志, 2023, 50(12): 763-765. |
| [14] | 吕璐, 孙鹏飞, 崔腾璐.子宫内膜癌颈部淋巴结转移综合治疗1例并文献复习[J]. 国际肿瘤学杂志, 2023, 50(11): 701-704. |
| [15] | 赵建昊, 段衍超.多发性骨髓瘤髓外病变发病机制的研究进展[J]. 国际肿瘤学杂志, 2023, 50(1): 55-59. |
| 阅读次数 | ||||||
| 全文 |
|
|||||
| 摘要 |
|
|||||
