


国际肿瘤学杂志››2020,Vol. 47››Issue (10): 598-605.doi:10.3760/cma.j.cn371439-20200113-00085
收稿日期:2020-01-13修回日期:2020-04-15出版日期:2020-10-08发布日期:2020-11-20通讯作者:柳惠斌 E-mail:1047893820@qq.com基金资助:
Han Jing1, Yuan Shuai2, Pu Yan1, Liu Huibin1(
)
Received:2020-01-13Revised:2020-04-15Online:2020-10-08Published:2020-11-20Contact:Liu Huibin E-mail:1047893820@qq.comSupported by:
摘要:
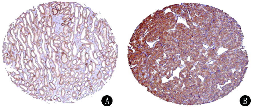
目的探讨纺锤体和动粒相关蛋白复合体亚基1(SKA1)在肾透明细胞癌中的表达及临床意义。方法收集2018年1月至2018年12月在新疆医科大学附属肿瘤医院就诊的76例肾透明细胞癌患者术前和24例健康体检者的静脉血液标本,利用实时荧光定量PCR检测患者全血中SKA1的水平,分析SKA1的水平与临床病理特征的关系。挖掘Oncomine(v4.5)、The Human Protein Atlas(THPA)基因数据库、The Cancer Genome Atlas(TCGA)门户网站(cBioportal)和Gene Expression Omnibus(GEO)中关于SKA1的信息,基于cBioportal数据库中的肾透明细胞癌数据采用Kaplan-Meier法进行生存分析,log-rank检验进行生存率的比较,χ2检验分析SKA1水平与临床病理特征的关系。采用ROC曲线评价SKA1 mRNA在肾透明细胞癌中的诊断价值,并采用KOBAS 3.0版在线工具对SKA1基因进行富集分析。结果Oncomine(v4.5)数据库中检索到2项关于SKA1 mRNA在人肾透明细胞癌组织中表达水平的研究,共38个样本,分析结果显示人SKA1 mRNA在肾透明细胞癌组织中呈高表达,进一步检测发现,与正常肾组织相比,SKA1 mRNA在肾透明细胞癌组织中的表达水平显著升高[-2.21(-3.56,-1.59)vs.-3.41(-4.55,-1.65)],差异具有统计学意义(Z=2.282,P=0.022)。利用THPA在线网站分析表明,SKA1蛋白在肾癌组织中呈明显中等强度染色,而在正常肾组织中极少部分弱阳性表达或不表达,SKA1主要定位于细胞质膜,这一检测结果与mRNA分析结果一致。cBioportal数据库分析结果表明,SKA1表达水平与AJCC分期(χ2=21.352,P<0.001)、T分期(χ2=19.967,P<0.001)、N分期(χ2=11.323,P=0.003)及M分期(χ2=27.248,P<0.001)显著相关。76例肾透明细胞癌患者外周血SKA1的水平为0.301±0.147,健康体检者为0.162 ± 0.052,差异具有统计学意义(t=7.360,P<0.001),其水平与AJCC分期(t=2.445,P=0.017)和淋巴结转移(t=2.242,P=0.028)相关,该结果与cBioportal数据库中组织分析结果相符。生存分析显示,cBioportal数据库中,肾透明细胞癌患者SKA1 mRNA的表达水平与总生存率和无瘤生存率相关(χ2=22.440,P<0.001;χ2=23.830,P<0.001)。GEO数据库中,肾透明细胞癌患者的SKA1 mRNA的表达水平与总生存率无关(χ2=0.241,P=0.632)。cBioportal数据库中ROC分析结果显示,选取诊断界值为-0.944时,SKA1 mRNA诊断肾透明细胞癌的敏感性为100%,特异性为98.7%,ROC曲线下面积(AUC)为0.991,95%CI为0.972~1.000。对76例肾透明细胞癌患者进行ROC分析结果显示,当诊断界值为0.235时,外周血中SKA1水平诊断肾透明细胞癌的敏感性为75.0%,特异性为95.8%,AUC为0.837,95%CI为0.761~0.914。KOBAS富集分析结果显示,SKA1高表达样本主要富集在染色体着丝粒、微管聚合与解聚调节、有丝分裂纺锤体检查点等基因集。结论SKA1高表达于肾透明细胞癌组织中,并与患者预后显著相关,可作为肾透明细胞癌的诊断指标及潜在的治疗靶点。
韩静, 袁帅, 蒲艳, 柳惠斌. 基于生物信息学数据库分析肾透明细胞癌SKA1表达及临床意义[J]. 国际肿瘤学杂志, 2020, 47(10): 598-605.
Han Jing, Yuan Shuai, Pu Yan, Liu Huibin. Analysis of SKA1 gene expression in clear cell renal cell carcinoma and its clinical significance based on bioinformatics database[J]. Journal of International Oncology, 2020, 47(10): 598-605.
表1
cBioportal数据库中432例肾透明细胞癌组织SKA1表达水平与患者临床病理特征的关系[例(%)]"
| 临床病理特征 | 例数 | SKA1基因表达 | χ2值 | P值 | |
|---|---|---|---|---|---|
| 高表达 (n=216) |
低表达 (n=216) |
||||
| 性别 | |||||
| 男 | 286 | 152(70.4) | 134(62.0) | 3.352 | 0.067 |
| 女 | 146 | 64(29.6) | 82(38.0) | ||
| 年龄(岁) | |||||
| <59 | 205 | 108(50.0) | 97(44.9) | 1.123 | 0.289 |
| ≥59 | 227 | 108(50.0) | 119(55.1) | ||
| Fuhrman分级 | |||||
| G1+G2 | 211 | 107(49.5) | 104(48.1) | ||
| G3+G4 | 217 | 109(50.5) | 108(50.0) | 3.758 | 0.184 |
| Gx | 4 | 0(0.0) | 4(1.9) | ||
| AJCC分期 | |||||
| Ⅰ~Ⅱ | 278 | 116(53.7) | 162(75.0) | 21.352 | <0.001 |
| Ⅲ~Ⅳ | 154 | 100(46.3) | 54(25.0) | ||
| T分期 | |||||
| T1 | 231 | 96(44.4) | 135(62.5) | ||
| T2 | 60 | 28(13.0) | 32(14.8) | 19.967 | <0.001 |
| T3 | 138 | 90(41.7) | 48(22.2) | ||
| T4 | 3 | 2(0.9) | 1(0.5) | ||
| N分期 | |||||
| N0 | 193 | 107(49.5) | 86(39.8) | ||
| N1 | 12 | 10(4.6) | 2(1.0) | 11.323 | 0.003 |
| Nx | 227 | 99(45.9) | 128(59.2) | ||
| M分期 | |||||
| M0 | 353 | 174(80.6) | 179(82.9) | ||
| M1 | 53 | 39(18.1) | 14(6.5) | 27.248 | <0.001 |
| Mx | 26 | 3(1.3) | 23(10.6) | ||
表2
76例肾透明细胞癌患者外周血中SKA1水平与临床病理特征的关系($\overline{x}±s$)"
| 临床病理特征 | 例数 | SKA1相对表达量 | t值 | P值 |
|---|---|---|---|---|
| 性别 | ||||
| 男 | 62 | 0.309±0.145 | 0.129 | 0.898 |
| 女 | 14 | 0.266±0.154 | ||
| 年龄(岁) | ||||
| >60 | 26 | 0.306±0.145 | 0.311 | 0.757 |
| ≤60 | 50 | 0.296±0.150 | ||
| 肿瘤直径(cm) | ||||
| ≥5.9 | 23 | 0.310±0.148 | 0.598 | 0.552 |
| <5.9 | 53 | 0.293±0.147 | ||
| AJCC分期 | ||||
| Ⅰ~Ⅱ | 52 | 0.276±0.151 | 2.445 | 0.017 |
| Ⅲ~Ⅳ | 24 | 0.354±0.124 | ||
| Fuhrman分级 | ||||
| G1+G2 | 50 | 0.288±0.137 | 1.159 | 0.250 |
| G3+G4 | 26 | 0.329±0.164 | ||
| 淋巴结转移 | ||||
| 有 | 11 | 0.286±0.141 | 2.242 | 0.028 |
| 无 | 65 | 0.391±0.151 | ||
| 远端转移 | ||||
| 有 | 70 | 0.295±0.153 | 0.988 | 0.326 |
| 无 | 6 | 0.358±0.060 |
表3
KOBAS在线富集分析SKA1生物学功能"
| 数据库 | ID | 注释 | P值 |
|---|---|---|---|
| Gene Ontology | GO:0000779 | 浓缩染色体,着丝粒区域 | <0.001 |
| GO:0031110 | 微管聚合或解聚的调控 | 0.001 | |
| GO:0099080 | 多分子复合物 | 0.003 | |
| GO:0005856 | 细胞骨架 | 0.006 | |
| GO:0031109 | 微管聚合或解聚 | 0.006 | |
| GO:0032886 | 微管生物学过程的调控 | 0.007 | |
| GO:0043228 | 非质膜结合细胞器 | 0.011 | |
| GO:0070507 | 微管细胞骨架组织的调控 | 0.011 | |
| GO:0033043 | 细胞器组织的调控 | 0.019 | |
| GO:0007010 | 细胞骨架组织 | 0.024 | |
| GO:0022402 | 细胞周期过程 | 0.035 | |
| Reactome | R-HSA-141444 | 通过MAD2抑制因子增强非着丝粒信号通路 | 0.002 |
| R-HSA-141424 | 着丝粒信号增强 | 0.002 | |
| R-HSA-69618 | 有丝分裂纺锤体检查点 | 0.002 | |
| R-HSA-2500257 | 姐妹染色单体凝聚力的分解 | 0.002 | |
| R-HSA-5663220 | 激活肌动蛋白 | 0.002 | |
| R-HSA-2467813 | 姐妹染色单体的分离 | 0.003 | |
| R-HSA-68882 | 有丝分裂后期 | 0.003 | |
| R-HSA-2555396 | 有丝分裂中期和后期 | 0.003 | |
| R-HSA-68877 | 有丝分裂前中期 | 0.003 | |
| R-HSA-69620 | 细胞周期检查点 | 0.005 | |
| R-HSA-195258 | 效应器 | 0.006 | |
| R-HSA-68886 | M相 | 0.007 | |
| R-HSA-194315 | Rho GTPase 介导的信号通路 | 0.008 | |
| R-HSA-69278 | 细胞周期,有丝分裂 | 0.009 | |
| R-HSA-1640170 | 细胞周期 | 0.011 |
| [1] | Capitanio U, Montorsi F. Renal cancer[J]. Lancet, 2016,387(10021):894-906. DOI: 10.1016/S0140-6736(15)00046-X. pmid:26318520 |
| [2] | Ferlay J, Soerjomataram I, Dikshit R, et al. Cancer incidence and mortality worldwide: sources, methods and major patterns in GLOBOCAN 2012[J]. Int J Cancer, 2015,136(5):E359-E386. DOI: 10.1002/ijc.29210. pmid:25220842 |
| [3] | Rini BI, Campbell SC, Escudier B. Renal cell carcinoma[J]. Lancet, 2009,373(9669):1119-1132. DOI: 10.1016/S0140-6736(09)60229-4. doi:10.1016/S0140-6736(09)60229-4pmid:19269025 |
| [4] | Ljungberg B, Bensalah K, Canfield S, et al. EAU guidelines on renal cell carcinoma: 2014 update[J]. Eur Urol, 2015,67(5):913-924. DOI: 10.1016/j.eururo.2015.01.005. doi:10.1016/j.eururo.2015.01.005pmid:25616710 |
| [5] | Joglekar AP, DeLuca JG. Chromosome segregation: Ndc80 can carry the load[J]. Curr Biol, 2009,19(10):R404-R407. DOI: 10.1016/j.cub.2009.04.014. doi:10.1016/j.cub.2009.04.014pmid:19467206 |
| [6] | Zhang B, Li KY, Chen HY, et al. Spindle and kinetochore associated complex subunit 1 regulates the proliferation of oral adenosquamous carcinoma CAL-27 cells in vitro[J]. Cancer Cell Int, 2013,13(1):83. DOI: 10.1186/1475-2867-13-83. doi:10.1186/1475-2867-13-83pmid:23962337 |
| [7] | Qin X, Yuan B, Xu X, et al. Effects of short interfering RNA-mediated gene silencing of SKA1 on proliferation of hepatocellular carcinoma cells[J]. Scand J Gastroenterol, 2013,48(11):1324-1332. DOI: 10.3109/00365521.2013.828774. doi:10.3109/00365521.2013.828774pmid:24010405 |
| [8] | Sun W, Yao L, Jiang B, et al. Spindle and kinetochore-associated protein 1 is overexpressed in gastric cancer and modulates cell growth[J]. Mol Cell Biochem, 2014,391(1-2):167-174. DOI: 10.1007/s11010-014-1999-1. |
| [9] | Shi X, Chen X, Peng H, et al. Lentivirus-mediated silencing of spindle and kinetochore-associated protein 1 inhibits the proliferation and invasion of neuronal glioblastoma cells[J]. Mol Med Rep, 2015,11(5):3533-3538. DOI: 10.3892/mmr.2015.3175. doi:10.3892/mmr.2015.3175pmid:25573192 |
| [10] | Thul PJ, Lindskog C. The human protein atlas: a spatial map of the human proteome[J]. Protein Sci, 2018,27(1):233-244. DOI: 10.1002/pro.3307. doi:10.1002/pro.3307pmid:28940711 |
| [11] | Hanisch A, Silljé HH, Nigg EA. Timely anaphase onset requires a novel spindle and kinetochore complex comprising Ska1 and Ska2[J]. EMBO J, 2006,25(23):5504-5515. DOI: 10.1038/sj.emboj.7601426. |
| [12] | Dong C, Wang XL, Ma BL. Expression of spindle and kinetochore-associated protein 1 is associated with poor prognosis in papillary thyroid carcinoma[J]. Dis Markers, 2015,2015:616541. DOI: 10.1155/2015/616541. doi:10.1155/2015/616541pmid:26063960 |
| [13] | Ma Q, Zhang Y, Liu T, et al. Hypoxia promotes chemotherapy resistance by down-regulating SKA1 gene expression in human osteosarcoma[J]. Cancer Biol Ther, 2017,18(3):177-185. DOI: 10.1080/15384047.2017.1294285. doi:10.1080/15384047.2017.1294285pmid:28278080 |
| [14] | Arai T, Okato A, Kojima S, et al. Regulation of spindle and kinetochore-associated protein 1 by antitumor miR-10a-5p in renal cell carcinoma[J]. Cancer Sci, 2017,108(10):2088-2101. DOI: 10.1111/cas.13331. doi:10.1111/cas.13331pmid:28746769 |
| [15] | Yamada Y, Arai T, Kojima S, et al. Anti-tumor roles of both strands of the miR-455 duplex: their targets SKA1 and SKA3 are involved in the pathogenesis of renal cell carcinoma[J]. Oncotarget, 2018,9(42):26638-26658. DOI: 10.18632/oncotarget.25410. doi:10.18632/oncotarget.25410pmid:29928475 |
| [1] | 钱晓涛, 石子宜, 胡格, 吴晓维.Ⅲ~ⅣA期食管鳞状细胞癌放化疗后行巩固化疗的疗效:一项真实世界临床研究[J]. 国际肿瘤学杂志, 2024, 51(6): 326-331. |
| [2] | 杨蜜, 别俊, 张加勇, 邓佳秀, 唐组阁, 卢俊.局部晚期可切除食管癌新辅助治疗疗效及预后分析[J]. 国际肿瘤学杂志, 2024, 51(6): 332-337. |
| [3] | 范志鹏, 余静, 胡静, 廖正凯, 徐禹, 欧阳雯, 谢丛华.炎症标志物的变化趋势对一线接受免疫联合化疗的晚期非小细胞肺癌患者预后的预测价值[J]. 国际肿瘤学杂志, 2024, 51(5): 257-266. |
| [4] | 杨琳, 路宁, 温华, 张明鑫, 朱琳.炎症负荷指数与胃癌临床关系研究[J]. 国际肿瘤学杂志, 2024, 51(5): 274-279. |
| [5] | 刘萍萍, 何学芳, 张翼, 杨旭, 张珊珊, 季一飞.原发性脑胶质瘤患者术后复发危险因素及预测模型构建[J]. 国际肿瘤学杂志, 2024, 51(4): 193-197. |
| [6] | 万芳, 杨钢, 李睿, 万启晶.食管癌患者血清miR-497、miR-383水平及临床意义[J]. 国际肿瘤学杂志, 2024, 51(4): 204-209. |
| [7] | 姚益新, 沈煜霖.血清SOCS3、TXNIP水平对肝细胞癌TACE治疗预后的预测价值[J]. 国际肿瘤学杂志, 2024, 51(4): 217-222. |
| [8] | 孙维蔚, 姚学敏, 王鹏健, 王静, 贾敬好.基于血液学指标探讨免疫治疗晚期非小细胞肺癌预后因素及列线图构建[J]. 国际肿瘤学杂志, 2024, 51(3): 143-150. |
| [9] | 刘玉兰, 井海燕, 孙静, 宋伟, 沙丹.胃癌免疫治疗疗效预测及预后标志物的研究进展[J]. 国际肿瘤学杂志, 2024, 51(3): 175-180. |
| [10] | 彭琴, 蔡玉婷, 王伟.KPNA2在肝癌中的研究进展[J]. 国际肿瘤学杂志, 2024, 51(3): 181-185. |
| [11] | 陈波光, 王苏贵, 张永杰.血清胆碱酯酶与炎症标志物在ⅠA~ⅢA期乳腺癌预后中的作用[J]. 国际肿瘤学杂志, 2024, 51(2): 73-82. |
| [12] | 金旭东, 陈忠坚, 毛伟敏.MTAP基因在恶性间皮瘤中的研究进展[J]. 国际肿瘤学杂志, 2024, 51(2): 99-104. |
| [13] | 黄镇, 陈永顺.循环肿瘤DNA在肝细胞癌诊疗中的研究进展[J]. 国际肿瘤学杂志, 2024, 51(1): 59-64. |
| [14] | 王潇, 李盈, 罗玉杰, 晋舒.基于列线图模型探讨血清学指标对鼻咽癌预后的判断价值[J]. 国际肿瘤学杂志, 2023, 50(8): 463-469. |
| [15] | 刘德宝, 孙子雯, 鲁守堂, 徐海东.ASB6在结直肠癌组织中的表达及临床意义[J]. 国际肿瘤学杂志, 2023, 50(8): 470-474. |
| 阅读次数 | ||||||
| 全文 |
|
|||||
| 摘要 |
|
|||||