国际肿瘤学杂志››2024,Vol. 51››Issue (11): 734-736.doi:10.3760/cma.j.cn371439-20240515-00124

• 病例报道 •上一篇

经腹联合阴式手术治疗宫颈癌合并原发性阴道癌1例

侯晓瑛()

  1. 首都医科大学附属北京妇产医院/北京妇幼保健院妇科微创中心,北京 100000
  • 收稿日期:2024-05-15修回日期:2024-08-30出版日期:2024-11-08发布日期:2024-12-26
  • 通讯作者:侯晓瑛 E-mail:476158443@mail.ccmu.edu.cn

    • Received:2024-05-15Revised:2024-08-30Online:2024-11-08Published:2024-12-26

    摘要:

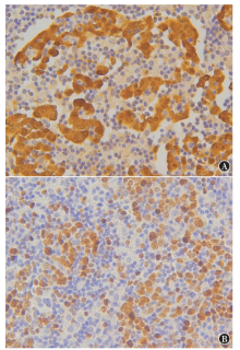
    原发性阴道癌较为罕见,多为其他部位肿瘤转移至阴道所致。而宫颈癌合并原发性阴道癌临床上更为少见,目前其治疗标准尚未统一,多根据病灶大小、位置,肿瘤分期等行个体化治疗,早期以手术及放疗为主。现报道1例宫颈鳞状细胞癌合并原发性阴道鳞状细胞癌患者,并复习相关文献,讨论阴道癌患者的临床及诊治特点,提高对本病的认识。

    关键词:宫颈肿瘤,阴道肿瘤,治疗

    Baidu
    map