


国际肿瘤学杂志››2024,Vol. 51››Issue (9): 606-608.doi:10.3760/cma.j.cn371439-20240422-00101
• 病例报道 •上一篇
邢明泉1, 孙晓星1, 张言荣1, 张司琪1, 吴维霞2, 葛洪峰1(
)
收稿日期:2024-04-22修回日期:2024-07-30出版日期:2024-09-08发布日期:2024-10-12通讯作者:葛洪峰 E-mail:ghfzz@163.com基金资助:
Received:2024-04-22Revised:2024-07-30Online:2024-09-08Published:2024-10-12摘要:
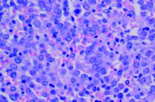
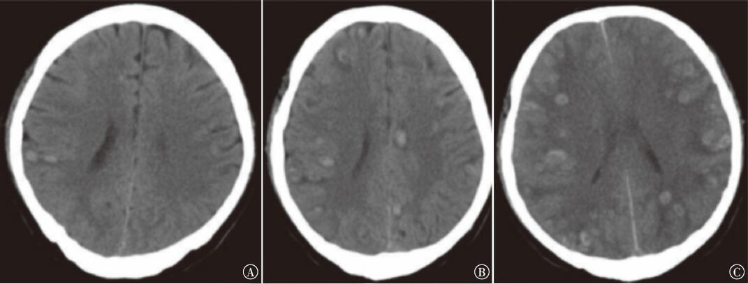
慢性中性粒细胞白血病(CNL)是一种罕见的侵袭性BCR-ABL融合基因阴性的骨髓增殖性肿瘤,起病隐匿,临床表现缺乏特异性,易与其他中性粒细胞增多的疾病混淆,易误诊。CNL增生的白血病细胞浸润大脑导致急性广泛脑出血属急危重症,较罕见。现报道1例CNL急性脑出血病例,以警示临床。
邢明泉, 孙晓星, 张言荣, 张司琪, 吴维霞, 葛洪峰. “颅内开花”——慢性中性粒细胞白血病罕见急性脑出血1例[J]. 国际肿瘤学杂志, 2024, 51(9): 606-608.
| [1] | Baba Y, Nakamaki T, Sakai H, et al. Chronic neutrophilic leukemia preceded by myelodysplastic syndromes[J].Int J Hematol,2023,118(5): 636-641. DOI:10.1007/s12185-023-03636-5. pmid:37439996 |
| [2] | Szuber N, Elliott M, Tefferi A. Chronic neutrophilic leukemia: 2022 update on diagnosis, genomic landscape, prognosis, and mana-gement[J].Am J Hematol,2022,97(4): 491-505. DOI:10.1002/ajh.26481. |
| [3] | Thomopoulos TP, Symeonidis A, Kourakli A, et al. Chronic neutrophilic leukemia: a comprehensive review of clinical characteristics, genetic landscape and management[J].Front Oncol,2022,12: 891961. DOI:10.3389/fonc.2022.891961. |
| [4] | Kawashima I, Kirito K. Chronic neutrophilic leukemia/chronic eosinophilic leukemia[J].Rinsho Ketsueki,2023,64(10): 1326-1334. DOI:10.11406/rinketsu.64.1326. pmid:37914248 |
| [5] | Gao J, Han S, Deng B, et al. Research progress of additional pathogenic mutations in chronic neutrophilic leukemia[J].Ann Hematol,2024,103(8): 2591-2600. DOI:10.1007/s00277-023-05550-6. |
| [6] | Schmied L, Olofsen PA, Lundberg P, et al. Secondary CNL after SAA reveals insights in leukemic transformation of bone marrow failure syndromes[J].Blood Adv,2020,4(21): 5540-5546. DOI:10.1182/bloodadvances.2020001541. pmid:33166403 |
| [7] | Yan Z, Zeng M, Liu Y. Extremely rare chronic neutrophilic leukemia characterized by unrelieved abdominal distention and swollen painful limbs: new clinical insight[J].Am J Transl Res,2023,15(6): 4270-4278. pmid:37434824 |
| [8] | Harada N, Mukai D, Izuta Y, et al. CSF3R-, ASXL1-, and SETBP1-mutated chronic neutrophilic leukemia with monoclonal gammopathy of undetermined significance in a patient who developed severe ascites due to sinusoidal neutrophilic infiltration[J].Pathol Int,2024,74(2): 93-95. DOI:10.1111/pin.13394. pmid:38050833 |
| [9] | Cheon M, Yoo J, Kim HS, et al. A case of chronic neutrophilic leukemia incidentally detected by18F-FDG PET/CT[J].Diagnostics (Basel),2021,11(4): 654. DOI:10.3390/diagnostics11040654. |
| [10] | Magid-Bernstein J, Girard R, Polster S, et al. Cerebral hemorrhage: pathophysiology, treatment, and future directions[J].Circ Res,2022,130(8): 1204-1229. DOI:10.1161/CIRCRESAHA.121.319949. pmid:35420918 |
| [11] | Tirandi A, Schiavetta E, Maioli E, et al. Inflammation as a cause of acute myocardial infarction in patients with myeloproliferative neoplasm[J].World J Cardiol,2024,16(2): 58-63. DOI:10.4330/wjc.v16.i2.58. pmid:38456066 |
| [12] | Schrag M, Kirshner H. Management of intracerebral hemorrhage: JACC focus seminar[J].J Am Coll Cardiol,2020,75(15): 1819-1831. DOI:10.1016/j.jacc.2019.10.066. pmid:32299594 |
| [13] | Szuber N, Tefferi A. Current management of chronic neutrophilic leukemia[J].Curr Treat Options Oncol,2021,22(7): 59. DOI:10.1007/s11864-021-00856-x. |
| [14] | Talon L, de Renzis B, Fiore M, et al. Fatal intracerebral hemorrhage in a patient with chronic neutrophilic leukemia: about one case and literature review[J].Rev Med Interne,2020,41(8): 552-558. DOI:10.1016/j.revmed.2020.03.012. pmid:32362366 |
| [1] | 杜启联, 胡钦勇.单细胞视角下的肿瘤浸润免疫细胞[J]. 国际肿瘤学杂志, 2024, 51(7): 458-463. |
| [2] | 吴市委, 裴康佳, 张东星, 秦占雨, 郭树霞.EVI1在急性髓系白血病中的研究进展[J]. 国际肿瘤学杂志, 2024, 51(7): 474-477. |
| [3] | 滕远, 李莉娟, 张连生.MCL-1及其抑制剂在血液恶性肿瘤中的研究进展[J]. 国际肿瘤学杂志, 2024, 51(2): 119-122. |
| [4] | 王军, 贾秀红.TGF-β/Smad信号通路与急性白血病[J]. 国际肿瘤学杂志, 2023, 50(8): 498-502. |
| [5] | 王婷, 李文倩, 解友邦.低氧与急性髓系白血病细胞氧感受通路的相关性[J]. 国际肿瘤学杂志, 2023, 50(8): 503-507. |
| [6] | 邢明泉, 葛洪峰, 张丽侠, 韩浩, 吴维霞.疑似免疫性血小板减少症的侵袭性自然杀伤细胞白血病1例[J]. 国际肿瘤学杂志, 2023, 50(5): 318-320. |
| [7] | 张婷, 贾秀红.细胞焦亡在白血病中的研究进展[J]. 国际肿瘤学杂志, 2023, 50(11): 696-700. |
| [8] | 陆佳玲, 黄慧娟, 刘丹, 陈妍心, 马骁, 吴德沛.博纳吐单抗治疗急性B淋巴细胞白血病的疗效和安全性[J]. 国际肿瘤学杂志, 2022, 49(8): 494-498. |
| [9] | 周欣宇, 贾秀红.铁死亡在白血病治疗中的研究进展[J]. 国际肿瘤学杂志, 2022, 49(12): 759-762. |
| [10] | 陈曦, 母丹, 严钦, 刘文君.骨髓微环境与白血病细胞分化[J]. 国际肿瘤学杂志, 2021, 48(3): 189-192. |
| [11] | 李伟强, 吴洋, 万崇华, 谭健烽, 何争春, 孟琼.基于分布法的癌症患者生命质量测定量表体系之白血病量表的最小临床重要性差值制定[J]. 国际肿瘤学杂志, 2021, 48(10): 577-582. |
| [12] | 李转丽, 张君玲, 石亚军, 白海.伴DDX41体细胞突变及TP53双突变急性髓系白血病一例[J]. 国际肿瘤学杂志, 2021, 48(10): 638-640. |
| [13] | 许蕾, 戴婧, 张倩, 张文丽, 李晋萌, 张红宇.93例成人急性淋巴细胞白血病的临床分析[J]. 国际肿瘤学杂志, 2020, 47(9): 535-541. |
| [14] | 孙王男, 都鹏超, 齐福, 王文凤, 姜国胜.miR-5581-5p/TRIM22在急性早幼粒细胞白血病细胞分化中的作用[J]. 国际肿瘤学杂志, 2020, 47(3): 129-134. |
| [15] | 洪梨, 王玉, 张琦, 吕成芳.尼洛替尼一线治疗慢性髓系白血病的进展[J]. 国际肿瘤学杂志, 2020, 47(1): 56-59. |
| 阅读次数 | ||||||
| 全文 |
|
|||||
| 摘要 |
|
|||||