


国际肿瘤学杂志››2024,Vol. 51››Issue (5): 316-320.doi:10.3760/cma.j.cn371439-20231026-00054
• 病例报道 •上一篇
张洁1,2, 范玲2, 李杰2, 温华1, 苏媛媛1, 路宁1, 张明鑫1(
)
收稿日期:2023-10-26修回日期:2024-02-22出版日期:2024-05-08发布日期:2024-06-26通讯作者:张明鑫, Email:zmx3115@163.com
Received:2023-10-26Revised:2024-02-22Online:2024-05-08Published:2024-06-26摘要:
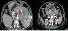
原发性胰腺淋巴瘤(PPL)是临床上较为罕见的胰腺肿瘤,其临床表现和实验室检查无明显特异性,影像学表现极易与胰腺导管腺癌等其他胰腺恶性肿瘤混淆。最终诊断可依靠超声或CT引导下穿刺取组织病理检查明确,避免不必要的剖腹探查手术。现报道1例接受2次胰腺组织活检得以确诊,应用miniCHOP、R-miniCHOP、R-CEOP、R+来那度胺方案治疗效果不佳的PPL病例,并文献复习,以期为该类患者的诊治提供帮助。
张洁, 范玲, 李杰, 温华, 苏媛媛, 路宁, 张明鑫. 原发性胰腺淋巴瘤1例并文献复习[J]. 国际肿瘤学杂志, 2024, 51(5): 316-320.
| [1] | Armitage JO, Gascoyne RD, Lunning MA, et al. Non-Hodgkin lymphoma[J].Lancet,2017,390(10091):298-310.DOI: 10. 1016/S0140-6736(16)32407-2. |
| [2] | Siegel RL, Miller KD, Fuchs HE, et al. Cancer statistics, 2021[J].CA Cancer J Clin,2021,71(1): 7-33. DOI:10.3322/caac.21654. |
| [3] | Paes FM, Kalkanis DG, Sideras PA, et al. FDG PET/CT of extranodal involvement in non-Hodgkin lymphoma and Hodgkin disease[J].Radiographics,2010,30(1): 269-291. DOI:10.1148/rg. 301095088. pmid:20083598 |
| [4] | Baylor SM, Berg JW. Cross-classification and survival characteristics of 5,000 cases of cancer of the pancreas[J].J Surg Oncol,1973,5(4): 335-358. DOI:10.1002/jso.2930050410. pmid:4355621 |
| [5] | Zucca E, Roggero E, Bertoni F, et al. Primary extranodal non-Hodgkin's lymphomas. Part 1: gastrointestinal, cutaneous and genitourinary lymphomas[J].Ann Oncol,1997,8(8): 727-737. DOI:10.1023/a:1008282818705. pmid:9332679 |
| [6] | Fléjou JF. Classification OMS 2010 des tumeurs digestives: la quatrième édition [WHO classification of digestive tumors: the fourth edition][J].Ann Pathol,2011,31(5 Suppl): S27-S31. DOI:10.1016/j.annpat.2011.08.001. |
| [7] | Alexander RE, Nakeeb A, Sandrasegaran K, et al. Primary pancreatic follicle center-derived lymphoma masquerading as carcinoma[J].Gastroenterol Hepatol (N Y),2011,7(12): 834-838. pmid:22347825 |
| [8] | Facchinelli D, Sina S, Boninsegna E, et al. Primary pancreatic lymphoma: clinical presentation, diagnosis, treatment, and outcome[J].Eur J Haematol,2020,105(4): 468-475. DOI:10.1111/ejh. 13468. |
| [9] | Khashab M, Mokadem M, DeWitt J, et al. Endoscopic ultrasound-guided fine-needle aspiration with or without flow cytometry for the diagnosis of primary pancreatic lymphoma—a case series[J].Endoscopy,2010,42(3): 228-231. DOI:10.1055/s-0029-1243859. pmid:20101569 |
| [10] | Rad N, Khafaf A, Mohammad Alizadeh AH. Primary pancreatic lymphoma: what we need to know[J].J Gastrointest Oncol,2017,8(4): 749-757. DOI:10.21037/jgo.2017.06.03. pmid:28890827 |
| [11] | 文明, 张超彦, 邹晓平. 胰腺占位性疾病行超声内镜细针穿刺术结果分析[J].北京医学,2017,39(1): 36-40. DOI:10.15932/j.0253-9713.2017.01.010. |
| [12] | Soltani AK, Krishnan K. Current status of newer generation endoscopic ultrasound core needles in the diagnostic evaluation of gastrointestinal lesions[J].J Am Soc Cytopathol,2020,9(5): 389-395. DOI:10.1016/j.jasc.2020.05.006. pmid:32680792 |
| [13] | 何玲, 刘丽萍, 杨楠兰. 不同活检方式对淋巴瘤诊断价值的研究进展[J].现代肿瘤医学,2022,30(9): 1702-1706. DOI:10.3969/j.issn.1672-4992.2022.09.037. |
| [14] | Planz V, Galgano SJ. Percutaneous biopsy and drainage of the pancreas[J].Abdom Radiol (NY),2022,47(8): 2584-2603. DOI:10.1007/s00261-021-03244-z. |
| [15] | Coiffier B, Lepage E, Briere J, et al. CHOP chemotherapy plus rituximab compared with CHOP alone in elderly patients with diffuse large-B-cell lymphoma[J].N Engl J Med,2002,346(4): 235-242. DOI:10.1056/NEJMoa011795. |
| [16] | Feugier P, Van Hoof A, Sebban C, et al. Long-term results of the R-CHOP study in the treatment of elderly patients with diffuse large B-cell lymphoma: a study by the Groupe d'Etude des Lymphomes de l'Adulte[J].J Clin Oncol,2005,23(18): 4117-4126. DOI:10.1200/JCO.2005.09.131. pmid:15867204 |
| [17] | Liakakos T, Misiakos EP, Tsapralis D, et al. A role for surgery in primary pancreatic B-cell lymphoma: a case report[J].J Med Case Rep,2008,2: 167. DOI:10.1186/1752-1947-2-167. |
| [18] | 胡小玲, 潘敏强, 黄品同. 超声造影联合超声引导下胰腺肿块粗针穿刺活检术确诊原发性胰腺Burkitt淋巴瘤一例[J].实用肿瘤杂志,2021,36(1): 73-75. DOI:10.13267/j.cnki.syzlzz. 2021.016. |
| [19] | Wirth A. The rationale and role of radiation therapy in the treatment of patients with diffuse large B-cell lymphoma in the rituxi-mab era[J].Leuk Lymphoma,2007,48(11): 2121-2136. DOI:10.1080/10428190701636468. |
| [20] | Serin KR, Güven K, Ozden I, et al. Curative chemoradiotherapy of primary pancreatic lymphoma with vertebral metastasis: palliation of persistent biliary stricture by Roux-en-Y hepaticojejunostomy[J].Case Rep Gastroenterol,2011,5(3): 642-647. DOI:10.1159/000334725. pmid:22171216 |
| [21] | 中国抗癌协会淋巴瘤专业委员会, 中国医师协会肿瘤医师分会, 中国医疗保健国际交流促进会肿瘤内科分会. 中国淋巴瘤治疗指南(2021年版)[J].中华肿瘤杂志,2021,43(7): 707-735. DOI:10.3760/cma.j.cn112152-20210516-00382. |
| [1] | 魁国菊, 黄江宾, 张文华, 杨立民.区域淋巴结大小对胰头腺癌术后复发的影响[J]. 国际肿瘤学杂志, 2023, 50(10): 608-613. |
| [2] | 殷运燕, 李慧, 李雨晨, 惠慧, 许景艳.组蛋白去乙酰化酶抑制剂在非霍奇金淋巴瘤中的临床应用[J]. 国际肿瘤学杂志, 2022, 49(8): 499-504. |
| [3] | 王柳雪, 席晓平, 刘静静, 沈国民, 杨海平.二甲双胍在非霍奇金淋巴瘤中的研究进展[J]. 国际肿瘤学杂志, 2022, 49(7): 436-440. |
| [4] | 孙淑琴, 钱秋红, 张友忠.盆腔原发弥漫性大B细胞淋巴瘤1例[J]. 国际肿瘤学杂志, 2022, 49(5): 319-320. |
| [5] | 郭奕维, 刘爱春.EB病毒阳性弥漫大B细胞淋巴瘤的治疗[J]. 国际肿瘤学杂志, 2021, 48(7): 385-388. |
| [6] | 严志颖, 毛逸锋, 朱颖蔚, 徐克群.癌相关成纤维细胞的异质性在靶向胰腺癌治疗中的角色[J]. 国际肿瘤学杂志, 2021, 48(5): 308-312. |
| [7] | 李巧佴, 邹立群.老年弥漫大B细胞淋巴瘤的分层治疗策略[J]. 国际肿瘤学杂志, 2021, 48(5): 317-320. |
| [8] | 乔薇, 宋腾, 陈馨蕊, 王华庆.PI3K信号通路过度激活对非霍奇金淋巴瘤患者预后的影响及其靶向药物疗效[J]. 国际肿瘤学杂志, 2021, 48(2): 121-124. |
| [9] | 中国医师协会放射肿瘤治疗医师分会.胰腺癌立体定向放疗(放射外科)指南[J]. 国际肿瘤学杂志, 2021, 48(11): 643-648. |
| [10] | 陈丽娜, 郭智, 刘玄勇, 陈晓, 张弋慧智, 李旭绵, 韦丽娅, 王月乔, 谢晶.EAC动员方案在淋巴瘤自体造血干细胞移植中的应用研究[J]. 国际肿瘤学杂志, 2021, 48(11): 666-672. |
| [11] | 钟扬, 何苗, 刘志, 陈建宇, 张光年, 秦龙, 李婷, 李建水.麦冬皂苷D联合沉默环氧合酶-2基因对人胰腺癌BxPC-3细胞增殖、迁移和侵袭的影响[J]. 国际肿瘤学杂志, 2021, 48(10): 583-590. |
| [12] | 李珂珂, 孔盼盼, 易超, 王喜艳, 晏冬.淋巴样增强因子-1在胰腺导管腺癌中的表达及对预后的影响[J]. 国际肿瘤学杂志, 2021, 48(10): 608-613. |
| [13] | 许蕾, 戴婧, 张倩, 张文丽, 李晋萌, 张红宇.93例成人急性淋巴细胞白血病的临床分析[J]. 国际肿瘤学杂志, 2020, 47(9): 535-541. |
| [14] | 杨蕾, 张传玉, 张在先, 刘欢.非小细胞肺癌影像基因组学[J]. 国际肿瘤学杂志, 2020, 47(9): 555-559. |
| [15] | 陈晓旭, 于洋, 张天雪.基于免疫相关lncRNA建立胰腺癌预后风险评估模型[J]. 国际肿瘤学杂志, 2020, 47(8): 472-479. |
| 阅读次数 | ||||||
| 全文 |
|
|||||
| 摘要 |
|
|||||