


国际肿瘤学杂志››2023,Vol. 50››Issue (6): 382-384.doi:10.3760/cma.j.cn371439-20230315-00076
• 病例报道 •上一篇
收稿日期:2023-03-15修回日期:2023-04-17出版日期:2023-06-08发布日期:2023-07-11通讯作者:孙鹏飞,Email:
Received:2023-03-15Revised:2023-04-17Online:2023-06-08Published:2023-07-11摘要:
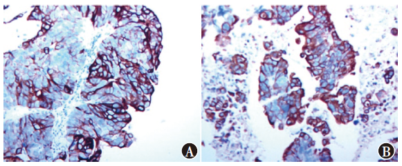
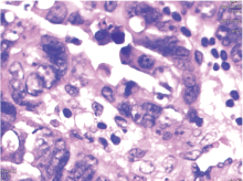
鼻咽低级别乳头状腺癌(LGNPPA)是鼻咽癌的一种罕见病理类型。现报道右侧鼻腔LGNPPA病例1例,患者鼻内镜下肿物摘除术后行同步放化疗,随访3年无复发及远处转移。
崔腾璐, 孙鹏飞. 鼻咽低级别乳头状腺癌综合治疗1例并文献复习[J]. 国际肿瘤学杂志, 2023, 50(6): 382-384.
| [1] | Lai Y, Li W, Zhai C, et al. Low-grade nasopharyngeal papillary adenocarcinoma: a review of 28 patients in a single institution[J]. Cancer Manag Res, 2021, 13: 1271-1278. DOI: 10.2147/CMAR.S288007. doi:10.2147/CMAR.S288007pmid:33603472 |
| [2] | 李冰, 司勇锋, 黄波, 等. 鼻腔高分化乳头状腺癌1例[J]. 中国肿瘤临床, 2005, 32(16): 905. DOI: 10.3969/j.issn.1000-8179.2005.16.017. doi:10.3969/j.issn.1000-8179.2005.16.017 |
| [3] | Takakura H, Hamashima T, Tachino H, et al. Clinicopathological features of thyroid-like low-grade nasopharyngeal papillary adenocarcinoma: a case report and review of the literature[J]. Front Surg, 2020, 7: 596796. DOI: 10.3389/fsurg.2020.596796. doi:10.3389/fsurg.2020.596796 |
| [4] | 金冬梅, 夏琛. 鼻咽部低级别乳头状腺癌临床病理观察[J]. 诊断病理学杂志, 2020, 27(5): 318-321. DOI: 10.3969/j.issn.1007-8096.2020.05.006. doi:10.3969/j.issn.1007-8096.2020.05.006 |
| [5] | 白玉萍, 杨冬梅, 李锐, 等. 鼻咽乳头状腺癌4例临床病理分析[J]. 诊断病理学杂志, 2018, 25(7): 485-488. DOI: 10.3969/j.issn.1007-8096.2018.07.002. doi:10.3969/j.issn.1007-8096.2018.07.002 |
| [6] | Oide T, Kadosono O, Matsushima J, et al. Thyroid-like low-grade nasopharyngeal papillary adenocarcinoma with squamous differentiation: a novel histological finding[J]. Hum Pathol, 2017, 70: 43-48. DOI: 10.1016/j.humpath.2017.05.020. doi:S0046-8177(17)30193-4pmid:28601658 |
| [7] | 吕蓓蓓, 徐嘉雯, 李加美, 等. 鼻咽部低级别乳头状腺癌诊断与治疗的研究进展[J]. 临床与病理杂志, 2018, 38(4): 862-866. DOI: 10.3978/j.issn.2095-6959.2018.04.029. doi:10.3978/j.issn.2095-6959.2018.04.029 |
| [8] | Ozer S, Kayahan B, Cabbarzade C, et al. Thyroid-like papillary adenocarcinoma of the nasopharynx with focal thyroglobulin expre-ssion[J]. Pathology, 2013, 45(6): 622-624. DOI: 10.1097/PAT.0b013e32836536e9. doi:10.1097/PAT.0b013e32836536e9 |
| [9] | Wang J, Chen ZZ, Lian CL, et al. Thyroid-like low-grade nasopharyngeal papillary adenocarcinoma: a case report and literature review[J]. Transl Cancer Res, 2020, 9(7): 4457-4463. DOI: 10.21037/tcr-19-1973. doi:10.21037/tcr-19-1973pmid:35117810 |
| [10] | Yi L, Liu H. Thyroid-like low-grade nasopharyngeal papillary adenocarcinoma with squamous differentiation in the posterior nasal septum: a rare case report[J]. Medicine (Baltimore), 2021, 100(51): e28349. DOI: 10.1097/MD.0000000000028349. doi:10.1097/MD.0000000000028349 |
| [11] | Maocai L, Fuxing L, Lianqing L, et al. Thyroid-like low-grade nasopharyngeal papillary adenocarcinoma: a case report[J]. Medicine (Baltimore), 2020, 99(33): e21599. DOI: 10.1097/MD.0000000000021599. doi:10.1097/MD.0000000000021599 |
| [12] | Huang F, Xiang X, Hong B, et al. Thyroid-like low-grade nasopharyngeal papillary adenocarcinoma[J]. Am J Clin Pathol, 2019, 152(5): 582-589. DOI: 10.1093/ajcp/aqz082. doi:10.1093/ajcp/aqz082pmid:31287861 |
| [13] | 刘杰, 许春伟, 魏建国, 等. 鼻咽低级别甲状腺样乳头状腺癌1例[J]. 肿瘤学杂志, 2019, 25(2): 174-176. DOI: 10.11735/j.issn.1671-170X.2019.02.B019. doi:10.11735/j.issn.1671-170X.2019.02.B019 |
| [1] | 钱晓涛, 石子宜, 胡格, 吴晓维.Ⅲ~ⅣA期食管鳞状细胞癌放化疗后行巩固化疗的疗效:一项真实世界临床研究[J]. 国际肿瘤学杂志, 2024, 51(6): 326-331. |
| [2] | 许凤琳, 吴刚.EBV在鼻咽癌肿瘤免疫微环境和免疫治疗中的研究进展[J]. 国际肿瘤学杂志, 2024, 51(6): 359-363. |
| [3] | 张文馨, 夏泠, 彭晋, 周福祥.甲胎蛋白升高型胃肝样腺癌1例并文献复习[J]. 国际肿瘤学杂志, 2024, 51(5): 312-315. |
| [4] | 钱晓涛, 石子宜, 胡格.Ⅲ~ⅣA期食管鳞状细胞癌根治性放化疗后行免疫检查点抑制剂维持治疗的真实世界临床研究[J]. 国际肿瘤学杂志, 2024, 51(3): 151-156. |
| [5] | 李书月, 马辰莺, 周菊英, 徐晓婷, 秦颂兵.寡转移非小细胞肺癌的放疗进展[J]. 国际肿瘤学杂志, 2024, 51(3): 170-174. |
| [6] | 邵建强, 王鹏, 白杰, 李会欣, 王遵义, 徐志宏.银杏叶提取物诱导乳腺癌MCF-7细胞线粒体自噬的机制研究[J]. 国际肿瘤学杂志, 2024, 51(2): 65-72. |
| [7] | 潘书兰, 刘畅, 贺平.福瑞替尼对三阴性乳腺癌血管生成、肿瘤生长及IRE1-ASK1-JNK通路的影响[J]. 国际肿瘤学杂志, 2023, 50(8): 457-462. |
| [8] | 徐凡, 王婧, 毛宁, 王世雄, 李金茂.戈沙妥珠单抗治疗晚期三阴性乳腺癌1例[J]. 国际肿瘤学杂志, 2023, 50(8): 508-510. |
| [9] | 吕璐, 孙鹏飞.肠道菌群与宫颈癌[J]. 国际肿瘤学杂志, 2023, 50(6): 373-376. |
| [10] | 李彬, 张桂芳, 周林静, 杨小冬, 何秋立, 贾思思, 黄普超, 梁嘉欣.三阴性乳腺癌中PIK3CA基因状态与临床特征及预后的关系[J]. 国际肿瘤学杂志, 2023, 50(5): 263-267. |
| [11] | 顾安琴, 龙金华, 金风.鼻咽癌免疫治疗的临床研究进展[J]. 国际肿瘤学杂志, 2023, 50(5): 299-303. |
| [12] | 中国医师协会放射肿瘤治疗医师分会, 中华医学会放射肿瘤治疗学分会, 中国抗癌协会肿瘤放射治疗专业委员会.同步放化疗期间应用聚乙二醇化重组人粒细胞刺激因子中国专家共识(2023版)[J]. 国际肿瘤学杂志, 2023, 50(4): 193-201. |
| [13] | 杨洪娟, 孙云川, 何新颖, 毕建强, 肖丽.子宫内膜中肾样腺癌1例并文献复习[J]. 国际肿瘤学杂志, 2023, 50(4): 255-256. |
| [14] | 赵永瑞, 高莹, 陈怡东, 徐建堃.基于直线加速器的分次立体定向放疗对小体积脑转移瘤的有效性及安全性[J]. 国际肿瘤学杂志, 2023, 50(3): 138-143. |
| [15] | 邓莉莉, 段星宇, 李保中.HER2靶向药物及其联合治疗方案在胃及食管胃结合部腺癌治疗中的研究进展[J]. 国际肿瘤学杂志, 2023, 50(12): 751-757. |
| 阅读次数 | ||||||
| 全文 |
|
|||||
| 摘要 |
|
|||||
