国际肿瘤学杂志››2022,Vol. 49››Issue (5): 263-269.doi:10.3760/cma.j.cn371439-20220214-00049

• 论著 •上一篇下一篇

辐射诱导的多倍体宫颈癌HeLa细胞生物学特性研究

熊婵1, 阎英2, 谢晓冬3, 孟繁杰1, 于卉影1()

  1. 1北部战区总医院基础医学实验室,沈阳 110016
    2北部战区总医院放射治疗科,沈阳 110016
    3北部战区总医院肿瘤科,沈阳 110016
  • 收稿日期:2022-02-14修回日期:2022-04-18出版日期:2022-05-08发布日期:2022-05-31
  • 通讯作者:于卉影,孙娜 E-mail:hyingy@sina.com
  • 基金资助:
    辽宁省科学技术计划(2020JH2/10300160)

Study on the biological characteristics of polyploid cervical cancer HeLa cells induced by radiation

Xiong Chan1, Yan Ying2, Xie Xiaodong3, Meng Fanjie1, Yu Huiying1()

  1. 1Department of Basic Medical Laboratory, General Hospital of Northern Theater Command, Shenyang 110016, China
    2Department of Radiation Oncology, General Hospital of Northern Theater Command, Shenyang 110016, China
    3Deparment of Oncology, General Hospital of Northern Theater Command, Shenyang 110016, China
  • Received:2022-02-14Revised:2022-04-18Online:2022-05-08Published:2022-05-31
  • Contact:Yu Huiying E-mail:hyingy@sina.com
  • Supported by:
    Science and Technology Plan of Liaoning Province of China(2020JH2/10300160)

摘要:

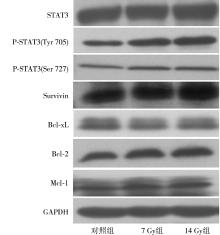
目的研究辐射诱导的多倍体宫颈癌HeLa细胞增殖、凋亡、迁移及侵袭的生物学特性,以探讨多倍体HeLa细胞利于宫颈癌放疗后复发的潜在作用。方法使用6 MV-X射线分别以7 Gy、14 Gy的剂量照射HeLa细胞,继续孵育3 d后收集细胞并标记为7 Gy组和14 Gy组,将未经辐射的细胞作为对照组。光镜下观察细胞形态,流式细胞术检测细胞DNA倍性,MTT法检测细胞增殖,Annexin Ⅴ-FITC/PI双染流式细胞术检测细胞凋亡,Transwell实验检测细胞迁移及侵袭的能力,蛋白质印迹法检测细胞STAT3信号通路相关蛋白表达。结果与对照组相比,7 Gy组和14 Gy组HeLa细胞体积明显增大。对照组、7 Gy组、14 Gy组多倍体HeLa细胞亚群比例分别为(6.33±1.26)%、(21.13±0.50)%、(46.07±1.68)%,3组间差异具有统计学意义(F=780.47,P<0.001)。对照组、7 Gy组和14 Gy组多倍体HeLa细胞培养24 h后吸光度值分别为0.21±0.01、0.23±0.02、0.16±0.01;48 h后分别为0.37±0.03、0.38±0.06、0.21±0.00;72 h后分别为0.66±0.02、0.55±0.01、0.28±0.01,3组间增殖情况差异有统计学意义(F=31.62,P=0.001;F=20.10,P=0.002;F=708.52,P<0.001)。进一步两两比较,培养24、48、72 h后14 Gy组多倍体HeLa细胞增殖活力均较对照组细胞和7 Gy组多倍体HeLa细胞显著下降(均P<0.05)。对照组、7 Gy组和14 Gy组多倍体HeLa细胞的凋亡亚群比例分别为(3.67±1.16)%、(3.07±0.81)%、(3.83±0.91)%,其中早期凋亡细胞亚群比例分别为(2.33±0.35)%、(2.13±0.61)%、(2.23±0.32)%,晚期凋亡细胞亚群比例分别为(1.33±0.81)%、(0.93±0.31)%、(1.60±0.60)%,差异均无统计学意义(F=0.52,P=0.620;F=0.15,P=0.864;F=0.92,P=0.450)。对照组、7 Gy组和14 Gy组的多倍体HeLa细胞迁移数目分别为297.40±26.53、121.33±15.16、18.40±4.79,侵袭细胞数目分别为195.67±20.26、63.60±6.91、9.47±3.23,差异具有统计学意义(F=647.28,P<0.001;F=213.94,P<0.001)。7 Gy和14 Gy组多倍体HeLa细胞的迁移与侵袭能力与对照组相比显著下降,14 Gy组多倍体HeLa细胞的迁移与侵袭能力显著低于7 Gy组(均P<0.001)。辐射诱导的多倍体HeLa细胞P-STAT3(Tyr 705)、Bcl-2的表达水平均高于对照组,且随着辐射剂量的增加表达水平进一步增高;与对照组相比,14 Gy组多倍体HeLa细胞Survivin、Mcl-1表达水平均上调(均P<0.05)。3组间Bcl-xL表达差异无统计学意义(F=0.52,P=0.618)。结论辐射诱导的多倍体HeLa细胞增殖、迁移及侵袭能力降低,凋亡率无显著变化,但STAT3信号通路激活伴随下游抗凋亡相关蛋白表达上调,有利于多倍体肿瘤细胞成为宫颈癌放疗后复发的潜在危险因素。

关键词:宫颈肿瘤,多倍体肿瘤细胞,辐射,STAT3

Abstract:

ObjectiveTo investigate the biological characteristics of proliferation, apoptosis, migration and invasion of radiation-induced polyploid cervical cancer HeLa cells, and to analyze the potential facilitation of polyploid HeLa cells in cervical cancer recurrence after radiotherapy.MethodsHeLa cells were irradiated by 6 MV-X ray with 7 Gy and 14 Gy, the cells were cultured until the third day, and then they were recorded as 7 Gy group and 14 Gy group respectively. The unirradiated HeLa cells were recognized as the control group. The cell morphology was checked under optical microscope. Flow cytometry was used to determine cell ploidy. MTT assay was applied to detect cell proliferation. Flow cytometry by AnnexinⅤ-FITC/PI double labeling was used to detect apoptosis. The ability of migration and invasion was detected by Transwell assay. The expression levels of STAT3 signal pathway-related proteins were analyzed by Western blotting.ResultsCompared with the control group, the volume of HeLa cells in 7 Gy group and 14 Gy group increased significantly. The percentages of polyploid HeLa cell subsets in the control group, 7 Gy group and 14 Gy group were (6.33±1.26)%, (21.13±0.50)% and (46.07±1.68)% respectively, with a statistically significant difference (F=780.47,P<0.001). The absorbance values in the control group, 7 Gy group and 14 Gy group of polyploidy HeLa cells were 0.21±0.01, 0.23±0.02, 0.16±0.01 at 24 h, 0.37±0.03, 0.38±0.06, 0.21±0.00 at 48 h, 0.66±0.02, 0.55±0.01, 0.28±0.01 at 72 h, and there were statistically significant differences (F=31.62,P=0.001;F=20.10,P=0.002;F=708.52,P<0.001). Further pairwise comparison showed that the proliferation abilities of polyploidy HeLa cells of the 14 Gy group at 24, 48 and 72 h were significantly lower than those of the control group and the 7 Gy group (allP<0.05). The proportions of apoptotic cell subset in the control group, 7 Gy group and 14 Gy group were (3.67±1.16)%, (3.07±0.81)%, (3.83±0.91)%, the proportions of early apoptotic subset were (2.33±0.35)%, (2.13±0.61)%, (2.23±0.32)%, and the proportions of late apoptotic subset were (1.33±0.81)%, (0.93±0.31)%, (1.60±0.60)% respectively. There were no statistically significant differences (F=0.52,P=0.620;F=0.15,P=0.864;F=0.92,P=0.450). The migrated numbers of cells in the control group, 7 Gy group and 14 Gy group were 297.40±26.53, 121.33±15.16, 18.40±4.79, and the invaded numbers were 195.67±20.26, 63.60±6.91, 9.47±3.23 respectively, with statistically significant differences (F=647.28,P<0.001;F=213.94,P<0.001). Compared with the control group, the migration and invasion abilities of polyploid HeLa cells in the 7 Gy and the 14 Gy groups were significantly decreased, and the migration and invasion abilities of polyploid HeLa cells in the 14 Gy group were significantly lower than those in the 7 Gy group (allP<0.001). The expression levels of P-STAT3 (Tyr 705) and Bcl-2 in radiation-induced polyploidy HeLa cells were higher than those in the control group, and the expression levels were further increased with the increase of radiation dose. Compared with the control group, the expression levels of Survivin and Mcl-1 in polyploid HeLa cells in the 14 Gy group were up-regulated (bothP<0.05). There was no significant difference in Bcl-xL expression among the three groups (F=0.52,P=0.618).ConclusionThe proliferation, migration and invasion abilities of polyploid HeLa cells are reduced by radiation, and the proportion of apoptotic subset is not significantly changed, but the activation of STAT3 signaling pathway is accompanied by up-regulation of downstream anti-apoptotic related proteins, which is favorable for the polyploid tumor cells to be the potential risk factor of recurrent cervical cancer after radiotherapy.

Key words:Cervical neoplasms,Polyploid tumor cells,Radiation,STAT3

Baidu
map