国际肿瘤学杂志››2020,Vol. 47››Issue (7): 385-390.doi:10.3760/cma.j.cn371439-20200221-00042

• 论著 •下一篇

沉默PRMT6基因对胃癌细胞增殖和迁移的影响

刘家铭, 原姗姗, 王雨, 司望利()

  1. 西安市中心医院消化科 710003
  • 收稿日期:2020-02-21修回日期:2020-04-21出版日期:2020-07-08发布日期:2020-08-18
  • 通讯作者:司望利 E-mail:onelisi@163.com

Effects of silencing PRMT6 gene on proliferation and migration of gastric cancer cells

Liu Jiaming, Yuan Shanshan, Wang Yu, Si Wangli()

  1. Department of Gastroenterology, Xi'an Central Hospital, Xi'an 710003, China
  • Received:2020-02-21Revised:2020-04-21Online:2020-07-08Published:2020-08-18
  • Contact:Si Wangli E-mail:onelisi@163.com

摘要:

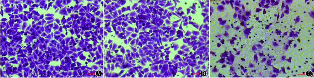
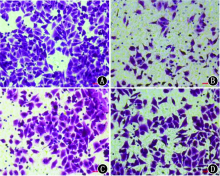
目的研究沉默蛋白质精氨酸甲基转移酶6(PRMT6)基因对胃癌细胞株MGC-803增殖和迁移的影响,并探讨其相关分子机制。方法实时荧光定量聚合酶链反应(qRT-PCR)与Western blotting检测人正常胃黏膜上皮细胞GSE-1和人胃癌细胞株(AGS、SGC-7901、MGC-803)中PRMT6 mRNA与蛋白的表达水平。胃癌细胞株MGC-803分为沉默对照组(NC)、PRMT6沉默组(si-PRMT6)、过表达核转录因子-κB(NF-κB/p65)组(pcDNA-p65)、si-PRMT6+pcDNA-p65组及PRMT6沉默同时过表达基质金属蛋白酶9(MMP9)组(si-PRMT6+pcDNA-MMP9)。Western blotting检测PRMT6、NF-κB/p65和MMP9的蛋白表达水平;CCK-8实验、Transwell实验分别检测细胞增殖、迁移率。结果qRT-PCR结果显示,PRMT6 mRNA 在GSE-1、AGS、SGC-7901、MGC-803细胞中的相对表达水平分别为1.041±0.114、2.141±0.132、2.716±0.231、2.825±0.300,4组间差异有统计学意义(F=46.082,P<0.001),与GSE-1细胞相比,PRMT6 mRNA表达水平在AGS、SGC-7901、MGC-803细胞中明显升高(均P<0.001)。Western blotting结果显示,PRMT6 蛋白在GSE-1、AGS、SGC-7901、MGC-803细胞中的相对表达水平分别为1.090±0.101、2.847±0.331、2.925±0.419、3.278±0.463,4组间差异有统计学意义(F=22.683,P<0.001),与GSE-1细胞相比,PRMT6蛋白表达水平在AGS、SGC-7901、MGC-803细胞中明显升高(P=0.008;P=0.002;P=0.003)。MGC-803细胞沉默PRMT6 48 h后,NC组和si-PRMT6组中的PRMT6 mRNA表达水平分别为0.921±0.110、0.303±0.045;PRMT6蛋白表达水平为分别为1.032±0.105、0.289±0.043;细胞增殖活性分别为0.917±0.089、0.660±0.069;细胞迁移率为(89.122±5.109)%、(30.831±4.463)%;p-p65/p65的蛋白相对表达量比值分别为0.947±0.143、0.285±0.023;si-PRMT6组PRMT6 mRNA表达水平、PRMT6蛋白表达水平、细胞增殖活性、细胞迁移率、p-p65/p65的蛋白相对表达量比值均显著低于NC组(t=9.006,P<0.001;t=11.338,P<0.001;t=3.954,P=0.017;t=14.881,P<0.001;t=7.919,P<0.001)。Western blotting结果显示,NC组、si-PRMT6组、pcDNA-p65组与si-PRMT6+pcDNA-p65组中MMP9的蛋白相对表达量为1.202±0.138、0.318±0.018、2.849±0.217与1.595±0.194,4组间差异有统计学意义(F=127.410,P<0.001),进一步两两比较,si-PRMT6组MMP9的蛋白相对表达量显著低于NC组(P<0.001),而si-PRMT6+pcDNA-p65组MMP9的蛋白相对表达量显著低于pcDNA-p65组(P=0.002)。MGC-803细胞转染si-PRMT6同时转染pcDNA-p65或pcDNA-MMP9 48 h后,NC组、si-PRMT6组、si-PRMT6+pcDNA-p65及si-PRMT6+pcDNA-MMP9组细胞增殖活性分别为0.923±0.054、0.608±0.024、0.818±0.035与0.807±0.029,4组间差异有统计学意义(F=37.343,P<0.001),进一步两两比较,si-PRMT6+pcDNA-p65组与si-PRMT6+pcDNA-MMP9组细胞增殖活性显著高于si-PRMT6组(均P<0.001);4组的细胞迁移率分别为(85.195±3.176)%、(28.419±1.845)%、(60.490±7.231)%与(53.653±6.761)%,4组间差异有统计学意义(F=59.672,P<0.001);进一步两两比较,si-PRMT6+pcDNA-p65组与si-PRMT6+pcDNA-MMP9组细胞迁移率显著高于si-PRMT6组(P=0.002;P=0.003)。结论PRMT6沉默可抑制NF-κB/MMP9信号通路的活化,进而抑制胃癌细胞MGC-803的增殖和迁移。

关键词:胃肿瘤,NF-κB,基质金属蛋白酶9,蛋白质精氨酸甲基转移酶6

Abstract:

ObjectiveTo study the effects of silencing protein arginine methyltransferase 6 (PRMT6) gene on cell proliferation and migration of gastric cancer cell line MGC-803, and explore its related molecular mechanism.MethodsThe expression levels of PRMT6 mRNA and protein in human normal gastric mucosa epithelial cell line GES-1 and human gastric cancer cell lines (AGS, SGC-7901, MGC-803) were detected by quantitative real-time polymerase chain reaction (qRT-PCR) and Western blotting. The gastric cancer cell line MGC-803 was divided into silencing control group (NC group), PRMT6 silencing group (si-PRMT6 group), nuclear factor-κB (NF-κB/p65) overexpression group (pcDNA-p65 group),si-PRMT6+pcDNA-p65 group and PRMT6 silencing and matrix metalloproteinase 9 (MMP9) overexpression group (si-PRMT6+pcDNA-MMP9 group). Western blotting was used to detect the protein expression levels of PRMT6, NF-κB/p65 and MMP9. CCK-8 kit and Transwell assay were used to measure cell proliferation and migration rates.ResultsThe results of qRT-PCR showed that the relative expression levels of PRMT6 mRNA in GSE-1, AGS, SGC-7901 and MGC-803 cells were 1.041±0.114, 2.141±0.132, 2.716±0.231, 2.825±0.300, and the difference among the four groups was statistically significant (F=46.082,P<0.001). Compared with GSE-1 cells, PRMT6 mRNA expression levels were significantly increased in AGS, SGC-7901 and MGC-803 cells (allP<0.001). Western blotting results showed that the relative expression levels of PRMT6 protein in GSE-1, AGS, SGC-7901 and MGC-803 cells were 1.090±0.101, 2.847±0.331, 2.925±0.419 and 3.278±0.463, with a statistically significant difference (F=22.683,P<0.001). Compared with GSE-1 cells, PRMT6 protein expression levels were significantly increased in AGS, SGC-7901 and MGC-803 cells, with statistically significant differences (P=0.008;P=0.002;P=0.003). After 48 hours of silencing PRMT6 in MGC-803 cells, in NC group and si-PRMT6 group, the PRMT6 mRNA expression levels were 0.921±0.110 and 0.303±0.045, the PRMT6 protein expression levels were 1.032±0.105 and 0.289±0.043, the cell proliferation activities were 0.917±0.089 and 0.660±0.069, the cell migration rates were (89.122±5.109)% and (30.831±4.463)%, and the p-p65/p65 protein relative expression ratios were 0.947±0.143 and 0.285±0.023. The relative expression levels of PRMT6 mRNA and protein, cell proliferation activity, cell migration rate, protein relative expression ratio of p-p65/p65 in si-PRMT6 group were significantly lower than those in NC group, with statistically significant differences (t=9.006,P<0.001;t=11.338,P<0.001;t=3.954,P=0.017;t=14.881,P<0.001;t=7.919,P<0.001). Western blotting results showed that the MMP9 protein relative expression levels in NC group, si-PRMT6 group, pcDNA-p65 group and si-PRMT6+pcDNA-p65 group were 1.202±0.138, 0.318±0.018, 2.849±0.217 and 1.595±0.194, with a statistically significant difference (F=127.410,P<0.001). Further pairwise comparison showed that the protein relative expression level of MMP9 in si-PRMT6 group was significantly lower than that in NC group (P<0.001), while that in si-PRMT6+pcDNA-p65 group was significantly lower than that in pcDNA-p65 group (P=0.002). Then, MGC-803 cells were co-transfected with si-PRMT6 and pcDNA-p65 or pcDNA-MMP9 for 48 h. The cell proliferation activities in NC group, si-PRMT6 group, si-PRMT6+pcDNA-p65 group and si-PRMT6+pcDNA-MMP9 group were 0.923±0.054, 0.608±0.024, 0.818±0.035 and 0.807±0.029, with a statistically significant difference (F=37.343,P<0.001). Further pairwise comparison showed that the cell proliferation activity of si-PRMT6+pcDNA-p65 group or si-PRMT6+pcDNA-MMP9 group was significantly higher than that of si-PRMT6 group (bothP<0.001). The cell migration rates of above four groups were (85.195±3.176)%, (28.419±1.845)%, (60.490±7.231)% and (53.653±6.761)%, with a statistically significant difference (F=59.672,P<0.001). Further pairwise comparison showed that the cell migration rate of si-PRMT6+pcDNA-p65 group or si-PRMT6+pcDNA-MMP9 group was significantly higher than that of si-PRMT6 group (P=0.002;P=0.003).ConclusionPRMT6 silencing can inhibit the proliferation and migration of gastric cancer cells MGC-803viadeactivation of NF-κB/MMP9 signaling pathway.

Key words:Stomach neoplasms,NF-kappa B,Matrix metallopeptidase 9,Protein arginine methyltransferase 6

Baidu
map