国际肿瘤学杂志 ›› 2020, Vol. 47 ›› Issue (11): 656-662.doi: 10.3760/cma.j.cn371439-20200123-00096

• 论著 • 上一篇    下一篇

二十二碳六烯酸联合顺铂对人胃癌裸鼠移植瘤生长的影响及机制研究

徐利本, 吴朝阳(), 王远东   

  1. 江苏大学附属人民医院放疗科,镇江 212000
  • 收稿日期:2020-01-23 修回日期:2020-08-09 出版日期:2020-11-08 发布日期:2021-01-05
  • 通讯作者: 吴朝阳 E-mail:wuchaoyang9@163.com
  • 基金资助:
    江苏大学临床医学科技发展基金(JLY20180001);镇江市社会发展指导性项目(FZ2018034)

Study on the effect of docosahexaenoic acid combined with cisplatin on the growth of human gastric cancer xenografts in nude mice and its mechanism

Xu Liben, Wu Chaoyang(), Wang Yuandong   

  1. Department of Radiation Oncology, Affiliated People's Hospital of Jiangsu University, Zhenjiang 212000, China
  • Received:2020-01-23 Revised:2020-08-09 Online:2020-11-08 Published:2021-01-05
  • Contact: Wu Chaoyang E-mail:wuchaoyang9@163.com
  • Supported by:
    Jiangsu University Clinical Medical Science and Technology Development Fund(JLY20180001);Social Development Guiding Project of Zhenjiang of China(FZ2018034)

摘要:

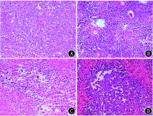
目的 研究二十二碳六烯酸(DHA)联合顺铂对人胃癌裸鼠移植瘤生长的影响,并探讨协同抗肿瘤机制。方法 构建28只人胃癌裸鼠移植瘤模型,采用随机数字表法分为对照组、DHA组、顺铂组、联合组,每组7只,分别给予生理盐水、DHA、顺铂和顺铂+DHA处理,治疗2周,观察裸鼠生长状况,记录肿瘤体积和肿瘤重量的变化;HE染色观察各组细胞的形态变化;流式细胞术检测各组细胞凋亡率的变化;免疫组织化学检测各组标本核转录因子-κB(NF-κB)/p65、survivin的表达;反转录-PCR检测各组标本NF-κB/p65、survivin mRNA的表达。结果 治疗结束3 d后对照组、DHA组、顺铂组、联合组肿瘤体积分别为(3.13±0.25)cm3、(2.32±0.19)cm3、(1.00±0.08)cm3、(0.50±0.15)cm3,4组间差异具有统计学意义(F=314.050,P<0.001),对照组、DHA组及顺铂组均大于联合组(P<0.001;P<0.001;P=0.002)。对照组、DHA组、顺铂组、联合组肿瘤重量分别为(2.86±0.34)g、(2.14±0.22)g、(1.43±0.18)g、(0.73±0.03)g,4组间差异有统计学意义(F=45.570,P<0.001),对照组、DHA组及顺铂组均大于联合组(P=0.001;P<0.001;P<0.001)。HE染色发现,各给药组肿瘤细胞出现凋亡特征,联合组更加明显。对照组、DHA组、顺铂组及联合组凋亡率分别为(3.89±1.03)%、(7.46±0.81)%、(14.85±1.10)%、(24.68±1.17)%,4组间差异有统计学意义(F=545.620,P<0.001),对照组、DHA组及顺铂组均低于联合组(均P<0.001)。对照组、DHA组、顺铂组、联合组NF-κB/p65的蛋白相对表达量分别为0.389±0.027、0.312±0.032、0.258±0.031、0.163±0.036,4组间差异有统计学意义(F=78.050,P<0.001),对照组、DHA组及顺铂组均高于联合组(P<0.001;P<0.001;P=0.018)。对照组、DHA组、顺铂组、联合组survivin的蛋白相对表达量分别为0.480±0.040、0.366±0.052、0.305±0.027、0.197±0.032,4组间差异有统计学意义(F=115.135,P<0.001),对照组、DHA组及顺铂组均高于联合组(P<0.001;P<0.001;P=0.012)。对照组、DHA组、顺铂组、联合组NF-κB/p65的mRNA相对表达量分别为0.902±0.020、0.780±0.040、0.560±0.040、0.350±0.030,4组间差异有统计学意义(F=1 468.705,P<0.001),对照组、DHA组及顺铂组均高于联合组(P<0.001;P<0.001;P=0.026)。对照组、DHA组、顺铂组、联合组survivin mRNA的相对表达量分别为0.890±0.050、0.760±0.020、0.510±0.030、0.280±0.040,4组间差异有统计学意义(F=2 099.107,P<0.001),对照组、DHA组及顺铂组均高于联合组(P<0.001;P<0.001;P=0.030)。结论 DHA联合顺铂可协同抑制裸鼠肿瘤的生长,可能与下调survivin、NF-κB/p65的表达诱发凋亡,并提高化疗药物的敏感性相关。

关键词: 胃肿瘤, 二十二碳六烯酸类, 细胞凋亡, Survivin, NF-κB/p65

Abstract:

Objective To study the effects of docosahexaenoic acid (DHA) combined with cisplatin on the growth of human gastric cancer xenografts in nude mice, and to explore the mechanism of combined anti-tumor. Methods The models of human gastric cancer transplanted in 28 nude mice were established. The models were randomly divided into control group, DHA group, cisplatin group and combined group, with 7 mice in each group. After 2 weeks of treatment with normal saline, DHA, cisplatin and cisplatin + DHA, the growth of nude mice was observed, the changes of tumor volume and tumor weight were recorded; the morphological changes of cells in each group were observed by HE staining; the apoptosis rate was detected by flow cytometry, the protein expressions of nuclear factor-κB (NF-κB)/p65 and survivin were detected by immunohistochemistry, and the mRNA expressions of NF-κB/p65 and survivin was detected by reverse transcription-PCR. Results Three days after treatment, the tumor volumes in the control group, DHA group, cisplatin group and combined group were (3.13±0.25) cm3, (2.32±0.19)cm3, (1.00±0.08) cm3, (0.50±0.15) cm3, and there was a statistical difference among the four groups (F=314.050, P<0.001). The tumor volumes of the control group, DHA group and cisplatin group were all bigger than that of the combined group (P<0.001; P<0.001; P=0.002). The tumor weights of the control group, DHA group, cisplatin group and combined group were (2.86±0.34) g, (2.14±0.22) g, (1.43±0.18) g, (0.73±0.03) g, and there was a significant difference among the four groups (F=45.570, P<0.001). The tumor weights of the control group, DHA group and cisplatin group were all higher than that of the combined group (P=0.001; P<0.001; P<0.001). HE staining showed that apoptosis of tumor cells was observed in each treatment group, and the combined group was more obvious. The apoptotic rates of the control group, DHA group, cisplatin group and combined group were (3.89±1.03)%, (7.46±0.81)%, (14.85±1.10)%, (24.68±1.17)%, with a significant difference (F=545.620, P<0.001), and the control group, DHA group and cisplatin group were all lower than the combined group (all P<0.001). The relative expression levels of NF-κB/p65 protein in the control group, DHA group, cisplatin group and combined group were 0.389±0.027, 0.312±0.032, 0.258±0.031, 0.163±0.036, with a significant difference (F=78.050, P<0.001), and the control group, DHA group and cisplatin group were all higher than the combined group (P<0.001; P<0.001; P=0.018). The relative expression levels of survivin protein in the control group, DHA group, cisplatin group and combined group were 0.480±0.040, 0.366±0.052, 0.305±0.027, 0.197±0.032, with a significant difference (F=115.135, P<0.001), and the control group, DHA group and cisplatin group were all higher than the combined group (P<0.001; P<0.001; P=0.012). The relative expressions of NF-κB/p65 mRNA in the control group, DHA group, cisplatin group and combined group were 0.902±0.020, 0.780±0.040, 0.560±0.040, 0.350±0.030, with a significant difference (F=1 468.705, P<0.001), and the control group, DHA group and cisplatin group were all higher than the combined group (P<0.001; P<0.001; P=0.026). The relative expressions of survivin mRNA in the control group, DHA group, cisplatin group and combined group were 0.890±0.050, 0.760±0.020, 0.510±0.030, 0.280±0.040, with a significant difference (F=2 099.107, P<0.001), and the control group, DHA group and cisplatin group were all higher than the combined group (P<0.001; P<0.001; P=0.030). Conclusion DHA combined with cisplatin can inhibit the growth of transplanted tumor in nude mice. The mechanism may be related to down regulating the expression of survivin and NF-κB/p65, inducing apoptosis and increasing the sensitivity of chemotherapy drugs.

Key words: Stomach neoplasms, Docosahexaenoic acids, Apoptosis, Survivin, NF-κB/p65

Baidu
map