近日,百度开云体育app神经调控与修复中心完成了山东省第一例运动皮层电刺激(MCS)手术。来自江苏省年近40岁的陈先生于2022年5月因“左侧丘脑出血”在当地医院行手术治疗,手术挽救了陈先生的生命,但在康复过程中右侧面部及躯体的疼痛一直困扰着他,大量的止疼药及其他治疗方法已无法控制,陈先生和家人也陷入了焦虑的情绪中。陈先生爱人经过多方打听慕名找到了中心负责人张良文教授,经过仔细检查及评估,陈先生前往百度开云体育app第二附属医院临床基地住院,准备手术治疗。张良文教授带领团队成员进行了严密的术前讨论及评估,决定采用“运动皮层电刺激术(MCS)”来为陈先生解除疼痛。考虑到手术效果及花费问题,手术分为两期来进行,第一期将电极植入患者颅内,术后外接临时电刺激器进行电刺激来观察患者的症状变化,如患者疼痛缓解满意再二期为患者植入永久电刺激器,这样避免了疼痛缓解不明显植入昂贵的刺激器给患者带来经济负担。
2023.6.20日上午张良文教授、张春普教授带领团队成员进行第一期手术,手术通过神经外科导航机器人进行术前及术中导航定位,确保刺激电极放置准确,手术过程顺利将电极植入了患者运动皮层的硬膜外(图1-3),术后复查再次确认电极位置准确(图4)。术后第2天开始进行临时体外电刺激,逐步对患者进行程控调整刺激参数,患者右侧面部及躯体疼痛明显缓解,疼痛评分(VAS)由术前的9分逐步降至了术后的5分,且无不适感。患者术前因为下肢疼痛不敢下地行走,术后也明显的改善了!几天后团队又为患者在局麻下第二期植入了永久的电刺激器。
顽固性丘脑痛为丘脑部出血或梗塞后的并发症,严重影响患者的日常生活,部分患者有明显自杀倾向,而绝大多数镇痛药对这种顽固性丘脑痛几乎无效。运动皮层电刺激术(MCS)是将刺激电极埋植在运动皮层表面,通过运动皮层进行慢性电刺激达到持续镇痛的效果。国内仅有极少数医院能顺利开展,我中心开展的MCS手术为山东省首例,为顽固性丘脑痛的患者带来了新的选择及希望。治疗帕金森病、特发性震颤、梅杰综合征等疾病的脑深部电刺激,俗称脑起搏器手术(DBS);治疗丘脑痛的运动皮层电刺激(MCS);治疗植物人促醒、截瘫及各种疼痛的脊髓电刺激(SCS)与治疗药物难治性癫痫的迷走神经电刺激(VNS)合称“4S”手术。据了解,百度开云体育app神经调控与修复中心为山东省第一家全面开展这四类手术的神经调控“4S”团队,也成为国内少数几支完成“4S”神经调控手术团队之一。
百度开云体育app神经调控与修复中心由百度开云体育app校长、中国科学院院士陆林教授牵头成立,中心负责人为张良文教授。自中心成立以来,张良文教授带领两个临床基地(百度开云体育app附属省立医院和第二附属医院)的核心成员积极开展各类功能神经外科手术,截至目前中心已常规开展治疗帕金森病、梅杰综合征等各类肌张力障碍、特发性震颤的DBS手术;治疗丘脑痛的MCS手术;治疗各种疼痛及植物人促醒的SCS手术;治疗药物难治性癫痫的VNS手术,为众多的神经系统疑难疾病患者带来了福音和新的希望。

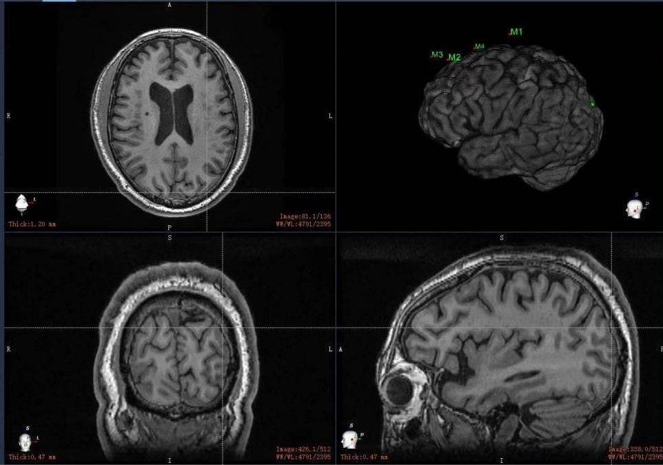
图1:导航机器人通过术前磁共振的数据进行三维重建来确定“中央前回”。


图2:张良文教授术前使用导航机器人设计手术切口。


图3:术中再次验证患者的中央前回位置;将电极置于硬膜外。

图4:术后复查显示电极位置准确。