


Journal of International Oncology››2020,Vol. 47››Issue (5): 264-271.doi:10.3760/cma.j.cn371439-20200221-00016
• Original Articles •Previous ArticlesNext Articles
Wang Kunlong, Zhang Yang, Su Weipeng, Liu Pan, Zhao Huarong(
)
Received:2020-02-21Revised:2020-03-23Online:2020-05-08Published:2020-07-02Contact:Zhao Huarong E-mail:xydyfyzhr@163.comSupported by:
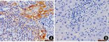
Wang Kunlong, Zhang Yang, Su Weipeng, Liu Pan, Zhao Huarong. Expressions of LSD1 and PDPN in tongue squamous cell carcinoma and their effects on prognosis[J]. Journal of International Oncology, 2020, 47(5): 264-271.
"
| 临床病理特征 | 例数 | LSD1 | PDPN | ||||||||
|---|---|---|---|---|---|---|---|---|---|---|---|
| 低表达 | 高表达 | χ2值 | P值 | 低表达 | 高表达 | χ2值 | P值 | ||||
| 性别 | |||||||||||
| 男 | 34 | 10 | 24 | 0.367 | 0.545 | 18 | 16 | 1.236 | 0.266 | ||
| 女 | 33 | 12 | 21 | 13 | 20 | ||||||
| 年龄(岁) | |||||||||||
| ≤60 | 44 | 14 | 30 | 0.060 | 0.806 | 20 | 24 | 0.034 | 0.853 | ||
| >60 | 23 | 8 | 15 | 11 | 12 | ||||||
| 肿瘤大小 | |||||||||||
| T1-2 | 48 | 20 | 28 | 5.985 | 0.014 | 26 | 22 | 4.247 | 0.039 | ||
| T3-4 | 19 | 2 | 17 | 5 | 14 | ||||||
| 分化程度 | |||||||||||
| 低、中 | 27 | 4 | 23 | 6.660 | 0.010 | 9 | 18 | 3.044 | 0.081 | ||
| 高 | 40 | 18 | 22 | 22 | 18 | ||||||
| 淋巴结转移 | |||||||||||
| 无 | 46 | 19 | 27 | 4.772 | 0.029 | 26 | 20 | 6.206 | 0.013 | ||
| 有 | 21 | 3 | 18 | 5 | 16 | ||||||
| 临床分期 | |||||||||||
| Ⅰ~Ⅱ | 35 | 18 | 17 | 11.487 | 0.001 | 22 | 13 | 8.111 | 0.004 | ||
| Ⅲ~Ⅳ | 32 | 4 | 28 | 9 | 23 | ||||||
"
| 临床病理特征 | 无进展生存率 | 总生存率 | |||||||||||
|---|---|---|---|---|---|---|---|---|---|---|---|---|---|
| 1年 | 3年 | 5年 | χ2值 | P值 | 1年 | 3年 | 5年 | χ2值 | P值 | ||||
| 性别 | |||||||||||||
| 男 | 67.6 | 58.8 | 52.6 | 0.116 | 0.734 | 82.4 | 67.6 | 58.1 | 0.015 | 0.902 | |||
| 女 | 69.7 | 51.5 | 48.5 | 81.8 | 63.6 | 59.1 | |||||||
| 年龄(岁) | |||||||||||||
| ≤60 | 68.2 | 56.8 | 52.2 | 0.042 | 0.837 | 84.1 | 68.2 | 59.6 | 0.139 | 0.710 | |||
| >60 | 69.6 | 52.2 | 47.8 | 78.3 | 60.9 | 56.5 | |||||||
| 肿瘤大小 | |||||||||||||
| T1-2 | 75.0 | 58.3 | 58.3 | 5.326 | 0.021 | 91.7 | 77.1 | 67.2 | 8.843 | 0.003 | |||
| T3-4 | 52.6 | 36.8 | 30.7 | 57.9 | 36.8 | 36.8 | |||||||
| 分化程度 | |||||||||||||
| 低、中 | 55.6 | 51.9 | 51.9 | 0.154 | 0.694 | 70.4 | 55.6 | 51.3 | 1.580 | 0.209 | |||
| 高 | 77.5 | 57.5 | 49.6 | 90.0 | 72.5 | 63.9 | |||||||
| 淋巴结转移 | |||||||||||||
| 无 | 76.1 | 58.7 | 54.3 | 1.437 | 0.231 | 93.5 | 71.7 | 60.9 | 1.530 | 0.216 | |||
| 有 | 52.4 | 47.6 | 42.9 | 57.1 | 52.4 | 52.4 | |||||||
| 临床分期 | |||||||||||||
| Ⅰ~Ⅱ | 80.0 | 65.7 | 60.0 | 3.718 | 0.054 | 100.0 | 82.9 | 69.0 | 6.355 | 0.012 | |||
| Ⅲ~Ⅳ | 56.3 | 43.8 | 40.4 | 62.5 | 46.9 | 46.9 | |||||||
| 术后化疗 | |||||||||||||
| 否 | 68.1 | 53.2 | 46.6 | 0.680 | 0.410 | 83.0 | 61.7 | 56.4 | 0.299 | 0.585 | |||
| 是 | 70.0 | 60.0 | 60.0 | 80.0 | 70.0 | 63.6 | |||||||
| 术后放疗 | |||||||||||||
| 否 | 56.7 | 43.3 | 40.0 | 3.266 | 0.071 | 76.7 | 50.0 | 45.5 | 4.197 | 0.040 | |||
| 是 | 78.4 | 64.9 | 59.2 | 86.5 | 78.4 | 69.3 | |||||||
| LSD1表达 | |||||||||||||
| 低 | 95.5 | 90.9 | 90.9 | 18.930 | <0.001 | 100.0 | 100.0 | 93.3 | 16.257 | <0.001 | |||
| 高 | 55.6 | 35.6 | 30.8 | 73.3 | 48.9 | 41.5 | |||||||
| PDPN表达 | |||||||||||||
| 低 | 93.5 | 87.1 | 87.1 | 31.720 | <0.001 | 100.0 | 90.3 | 87.1 | 18.390 | <0.001 | |||
| 高 | 47.2 | 27.8 | 19.4 | 66.7 | 44.4 | 34.6 | |||||||
| [1] | 赵萌, 刘俊英, 王琨, 等. WHO(2017)颈部/淋巴结肿瘤和肿瘤样病变分类解读[J]. 临床与实验病理学杂志, 2018,34(6):654-657. DOI: 10.13315/j.cnki.cjcep.2018.06.015. |
| [2] | 孙明星, 赵军方. 影响早期舌鳞状细胞癌患者手术效果及预后的相关因素分析[J]. 临床研究, 2019,27(1):17-19. DOI: 10.3969/j.issn.1004-8650.2019-01-009. |
| [3] | Huang J, Sengupta R, Espejo AB, et al. P53 is regulated by the lysine demethylase LSD1[J]. Nature, 2007,449(7158):105-108. DOI: 10.1038/nature06092. doi:10.1038/nature06092pmid:17805299 |
| [4] | Saharinen P, Eklund L, Pulkki K, et al. VEGF and angiopoietin signaling in tumor angiogenesis and metastasis[J]. Trends Mol Med, 2011,17(7):347-362. DOI: 10.1016/j.molmed.2011.01.015. doi:10.1016/j.molmed.2011.01.015pmid:21481637 |
| [5] | Breiteneder-Geleff S, Soleiman A, Kowalski H, et al. Angiosarcomas express mixed endothelial phenotypes of blood and lymphatic capilla-ries: podoplanin as a specific marker for lymphatic endothelium[J]. Am J Pathol, 1999,154(2):385-394. DOI: 10.1016/S0002-9440(10)65285-6. doi:10.1016/S0002-9440(10)65285-6pmid:10027397 |
| [6] | 郭海, 袁杨, 覃胜, 等. Podoplanin在食管鳞状细胞癌患者中的表达及临床预后: 回顾性队列研究[J]. 中国胸心血管外科临床杂志, 2018,25(2):148-152. DOI: 10.7507/1007-4848.2016080-39. |
| [7] | Yang CY, Lin CK, Tsao CH, et al. Melatonin exerts anti-oral cancer effect via suppressing LSD1 in patient-derived tumor xenograft models[J]. Oncotarget, 2017,8(20): 33756-33769. 10.18632/oncotarget.16808. doi:10.18632/oncotarget.16808pmid:28422711 |
| [8] | Culhane JC, Cole PA. LSD1 and the chemistry of histone demethylation[J]. Curr Opin Chem Biol, 2007,11(5):561-568. DOI: 10.1016/j.cbpa.2007.07.014. doi:10.1016/j.cbpa.2007.07.014pmid:17851108 |
| [9] | Yuan C, Li Z, Qi B, et al. High expression of the histone demethylase LSD1 associates with cancer cell proliferation and unfavorable prognosis in tongue cancer[J]. J Oral Pathol Med, 2015,44(2):159-165. DOI: 10.1111/jop.12220. doi:10.1111/jop.12220pmid:25040359 |
| [10] | Sgaramella N, Lindell Jonsson E, Boldrup L, et al. High expression of podoplanin in squamous cell carcinoma of the tongue occurs predominantly in patients ≤40 years but does not correlate with tumour spread[J]. J Pathol Clin Res, 2016,2(1):3-8. DOI: 10.1002/cjp2.28. doi:10.1002/cjp2.28pmid:27499910 |
| [11] | Vormittag L, Thurnher D, Geleff S, et al. Co-expression of Bmi-1 and podoplanin predicts overall survival in patients with squamous cell carcinoma of the head andneck treated with radio(chemo)therapy[J]. Int J Radiat Oncol Biol Phys, 2009,73(3):913-918. DOI: 10.1016/j.ijrobp.2008.10.040. doi:10.1016/j.ijrobp.2008.10.040pmid:19215825 |
| [12] | Hsu YB, Huang CF, Lin KT, et al. Podoplanin, a potential therapeutic target for nasopharyngeal carcinoma[J]. Biomed Res Int, 2019,2019:7457013. DOI: 10.1155/2019/7457013. doi:10.1155/2019/7457013pmid:31321241 |
| [13] | Chung MK, Min JY, So YK, et al. Correlation between lymphatic vessel density and regional metastasis in squamous cell carcinoma of the tongue[J]. Head Neck, 2010,32(4):445-451. DOI: 10.1002/hed.21202. doi:10.1002/hed.21202pmid:19672869 |
| [14] | Alsaqer SF, Tashkandi MM, Kartha VK, et al. Inhibition of LSD1 epigenetically attenuates oral cancer growth and metastasis[J]. Oncotarget, 2017,8(43):73372-73386. DOI: 10.18632/oncotarget.19637. doi:10.18632/oncotarget.19637pmid:29088714 |
| [15] | Lin T, Ponn A, Hu X, et al. Requirement of the histone demethylase LSD1 in Snai1-mediated transcriptional repression during epithelial-mesenchymal transitio[J]. Oncogene, 2010,29(35):4896-4904. DOI: 10.1038/onc.2010.234. doi:10.1038/onc.2010.234pmid:20562920 |
| [16] | Fernández-Muñoz B , Yurrita MM, Martín-Villar E, et al. The teansmembrane domain of podoplanin is required for its association with lipid rafats and the induction of epithelialmesenchymal transition[J]. Int J Biochem Cell Biol, 2011,6(43):886-896. DOI: 10.1016/j.biocel.2011.02.010. |
| [17] | Cho Z, Konishi E, Kanemaru M, et al. Podoplanin expression in peritumoral keratinocytes predicts aggressive behavior in extramammary Paget's disease[J]. J Dermatol Sci, 2017,87(1):29-35. DOI: 10.1016/j.jdermsci.2017.03.012. doi:10.1016/j.jdermsci.2017.03.012pmid:28381343 |
| [1] | Qian Xiaotao, Shi Ziyi, Hu Ge, Wu Xiaowei.Efficacy of consolidation chemotherapy after radical radiotherapy and chemotherapy for stage Ⅲ-ⅣA esophageal squamous cell carcinoma: a real-world clinical study[J]. Journal of International Oncology, 2024, 51(6): 326-331. |
| [2] | Yang Mi, Bie Jun, Zhang Jiayong, Deng Jiaxiu, Tang Zuge, Lu Jun.Analysis of the efficacy and prognosis of neoadjuvant therapy for locally advanced resectable esophageal cancer[J]. Journal of International Oncology, 2024, 51(6): 332-337. |
| [3] | Fan Zhipeng, Yu Jing, Hu Jing, Liao Zhengkai, Xu Yu, Ouyang Wen, Xie Conghua.Predictive value of changes in inflammatory markers for prognosis in patients with advanced non-small cell lung cancer treated with the first-line immunotherapy plus chemotherapy[J]. Journal of International Oncology, 2024, 51(5): 257-266. |
| [4] | Yang Lin, Lu Ning, Wen Hua, Zhang Mingxin, Zhu Lin.Study on the clinical relationship between inflammatory burden index and gastric cancer[J]. Journal of International Oncology, 2024, 51(5): 274-279. |
| [5] | Liu Pingping, He Xuefang, Zhang Yi, Yang Xu, Zhang Shanshan, Ji Yifei.Risk factors of postoperative recurrence in patients with primary brain glioma and prediction model construction[J]. Journal of International Oncology, 2024, 51(4): 193-197. |
| [6] | Wan Fang, Yang Gang, Li Rui, Wan Qijing.Expression levels and clinical significance of serum miR-497 and miR-383 in patients with esophageal cancer[J]. Journal of International Oncology, 2024, 51(4): 204-209. |
| [7] | Yao Yixin, Shen Yulin.Predictive value of serum SOCS3 and TXNIP levels for the prognosis of patients with hepatocellular carcinoma treated with TACE[J]. Journal of International Oncology, 2024, 51(4): 217-222. |
| [8] | Sun Weiwei, Yao Xuemin, Wang Pengjian, Wang Jing, Jia Jinghao.Exploration of prognostic factors and nomogram construction for advanced non-small cell lung cancer treated with immunotherapy based on hematologic indexes[J]. Journal of International Oncology, 2024, 51(3): 143-150. |
| [9] | Liu Yulan, Jing Haiyan, Sun Jing, Song Wei, Sha Dan.Advances in predicting efficacy and prognostic markers of immunotherapy for gastric cancer[J]. Journal of International Oncology, 2024, 51(3): 175-180. |
| [10] | Peng Qin, Cai Yuting, Wang Wei.Advances on KPNA2 in liver cancer[J]. Journal of International Oncology, 2024, 51(3): 181-185. |
| [11] | Chen Boguang, Wang Sugui, Zhang Yongjie.Role of serum cholinesterase and inflammatory markers in the prognosis of stage ⅠA -ⅢA breast cancer[J]. Journal of International Oncology, 2024, 51(2): 73-82. |
| [12] | Jin Xudong, Chen Zhongjian, Mao Weimin.Research progress on the role of MTAP in malignant mesothelioma[J]. Journal of International Oncology, 2024, 51(2): 99-104. |
| [13] | Huang Zhen, Chen Yongshun.Research progress of circulating tumor DNA in the diagnosis and treatment of hepatocellular carcinoma[J]. Journal of International Oncology, 2024, 51(1): 59-64. |
| [14] | Wang Xiao, Li Ying, Luo Yujie, Jin Shu.Study on the prognostic value of serological indicators for nasopharyngeal carcinoma based on nomogram model[J]. Journal of International Oncology, 2023, 50(8): 463-469. |
| [15] | Liu Debao, Sun Ziwen, Lu Shoutang, Xu Haidong.Expression and clinical significance of ASB6 in colorectal cancer tissues[J]. Journal of International Oncology, 2023, 50(8): 470-474. |
| Viewed | ||||||
| Full text |
|
|||||
| Abstract |
|
|||||