国际肿瘤学杂志 ›› 2023, Vol. 50 ›› Issue (12): 763-765.doi: 10.3760/cma.j.cn371439-20230510-00143

• 病例报道 • 上一篇    下一篇

伊尼妥单抗联合长春瑞滨治疗HER2阳性转移性乳腺癌1例

陈群响, 张晓钰, 张妍, 张凯翔, 李捷, 陈曦()   

  1. 中国人民解放军联勤保障部队第900医院肿瘤科 福建医科大学福总临床医学院,福州 350000
  • 收稿日期:2023-05-10 修回日期:2023-09-23 出版日期:2023-12-08 发布日期:2024-01-16
  • 通讯作者: 陈曦 E-mail:fuzhoucxi@163.com

  • Received:2023-05-10 Revised:2023-09-23 Online:2023-12-08 Published:2024-01-16

摘要:

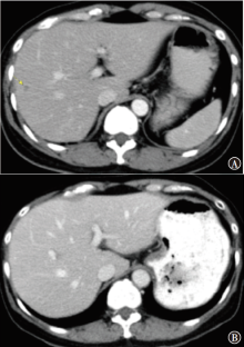
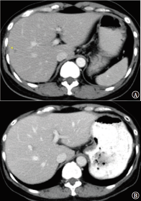
以人表皮生长因子受体2(HER2)扩增或过表达为特征的HER2阳性乳腺癌占所有类型乳腺癌的15%~20%,其侵袭性强且易复发转移,抗HER2靶向药物的应用极大地改善了HER2阳性转移性乳腺癌患者的预后。现报道1例采用伊尼妥单抗联合长春瑞滨治疗HER2阳性转移性乳腺癌患者,该患者达11年无疾病进展。

关键词: 乳腺肿瘤, 基因,erbB-2, 长春瑞滨, 伊尼妥单抗, 肝转移

Baidu
map