


国际肿瘤学杂志››2023,Vol. 50››Issue (8): 508-510.doi:10.3760/cma.j.cn371439-20230120-00097
收稿日期:2023-01-20修回日期:2023-05-24出版日期:2023-08-08发布日期:2023-10-24通讯作者:李金茂 E-mail:932946406@qq.com
Received:2023-01-20Revised:2023-05-24Online:2023-08-08Published:2023-10-24摘要:
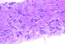
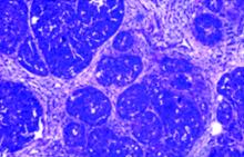
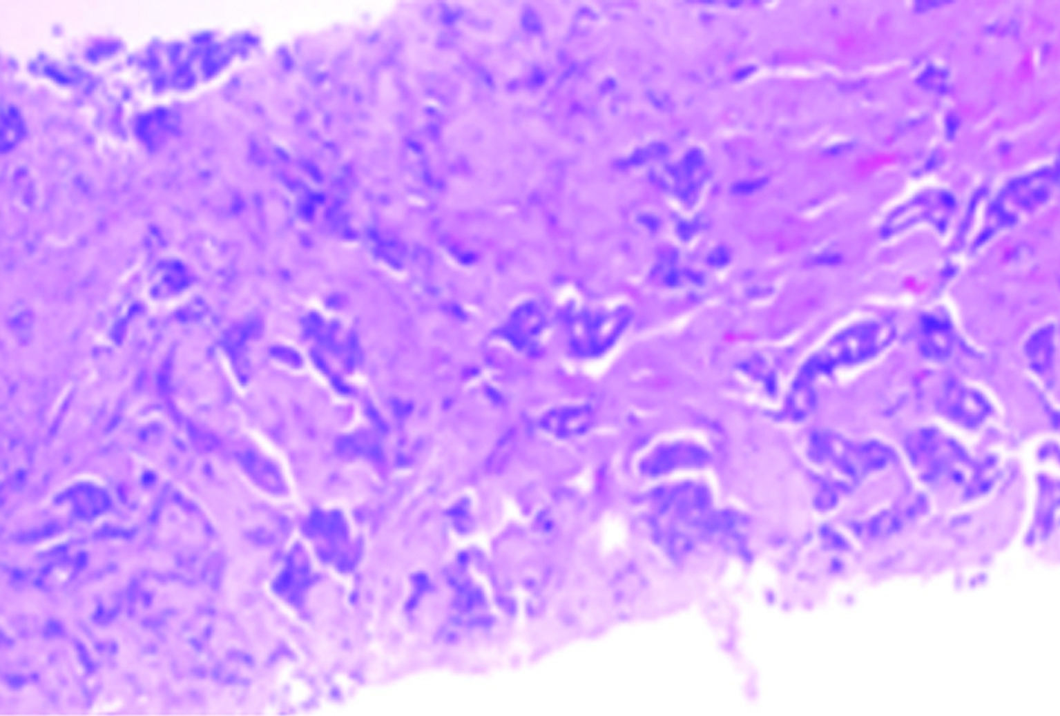
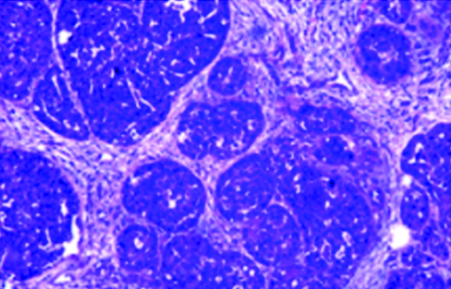
戈沙妥珠单抗于2022年6月正式被国家药品监督管理局批准上市,作为作用于Trop-2靶点的抗体偶联药物,为晚期三阴性乳腺癌患者带来了新的治疗选择。现报道1例晚期三阴性乳腺癌患者在病情出现进展时使用戈沙妥珠单抗治疗后情况,病情变化达到稳定,患者获益较为明显。
徐凡, 王婧, 毛宁, 王世雄, 李金茂. 戈沙妥珠单抗治疗晚期三阴性乳腺癌1例[J]. 国际肿瘤学杂志, 2023, 50(8): 508-510.
| [1] | Nolan E, Lindeman GJ, Visvader JE, et al. Deciphering breast cancer: from biology to the clinic[J].Cell,2023,186(8):1708-1728. DOI:10.1016/j.cell.2023.01.040. pmid:36931265 |
| [2] | Sung H, Ferlay J, Siegel RL, et al. Global cancer statistics 2020: GLOBOCAN estimates of incidence and mortality worldwide for 36 cancers in 185 countries[J].CA Cancer J Clin,2021,71(3): 209-249. DOI:10.3322/caac.21660. |
| [3] | Tray N, Adams S, Esteva FJ. Antibody-drug conjugates in triple negative breast cancer[J].Future Oncol,2018,14(25): 2651-2661. DOI:10.2217/fon-2018-0131. pmid:30175620 |
| [4] | 吕玉珠, 毛大华. 精准医学时代背景下三阴性乳腺癌治疗进展[J].医学综述,2021,27(16): 3199-3203. DOI:10.3969/j.issn.1006-2084.2021.16.015. |
| [5] | 中国抗癌协会肿瘤药物临床研究专业委员会, 国家抗肿瘤药物临床应用监测专家委员会, 国家肿瘤质控中心乳腺癌专家委员会, 等. 抗体药物偶联物治疗恶性肿瘤临床应用专家共识(2020版)[J].中国医学前沿杂志(电子版),2021,13(1): 1-15. DOI:10.12037/YXQY.2021.01-01. |
| [6] | Fenn KM, Kalinsky K. Sacituzumab govitecan: antibody-drug conjugate in triple-negative breast cancer and other solid tumors[J].Drugs Today (Barc),2019,55(9): 575-585. DOI:10.1358/dot.2019.55.9.3039669. |
| [7] | Khongorzul P, Ling CJ, Khan FU, et al. Antibody-drug conjugates: a comprehensive review[J].Mol Cancer Res,2020,18(1): 3-19. DOI:10.1158/1541-7786.MCR-19-0582. pmid:31659006 |
| [8] | Starodub AN, Ocean AJ, Shah MA, et al. First-in-human trial of a novel anti-Trop-2 antibody-SN-38 conjugate, sacituzumab govitecan, for the treatment of diverse metastatic solid tumors[J].Clin Cancer Res,2015,21(17): 3870-3878. DOI:10.1158/1078-0432.CCR-14-3321. pmid:25944802 |
| [9] | Goldenberg DM, Cardillo TM, Govindan SV, et al. Trop-2 is a novel target for solid cancer therapy with sacituzumab govitecan (IMMU-132), an antibody-drug conjugate (ADC)[J].Oncotarget,2015,6(26): 22496-22512. DOI:10.18632/oncotarget.4318. pmid:26101915 |
| [10] | Bardia A, Messersmith WA, Kio EA, et al. Sacituzumab govitecan, a Trop-2-directed antibody-drug conjugate, for patients with epithelial cancer: final safety and efficacy results from the phase Ⅰ/Ⅱ IMMU-132-01 basket trial[J].Ann Oncol,2021,32(6): 746-756. DOI:10.1016/j.annonc.2021.03.005. pmid:33741442 |
| [11] | Bardia A, Mayer IA, Vahdat LT, et al. Sacituzumab govitecan-hziy in refractory metastatic triple-negative breast cancer[J].N Engl J Med,2019,380(8): 741-751. DOI:10.1056/NEJMoa18 14213. |
| [12] | Bardia A, Hurvitz SA, Tolaney SM, et al. Sacituzumab govitecan in metastatic triple-negative breast cancer[J].N Engl J Med,2021,384(16): 1529-1541. DOI:10.1056/NEJMoa2028485. |
| [13] | Tagawa ST, Balar AV, Petrylak DP, et al. TROPHY-U-01: a phase Ⅱ open-label study of sacituzumab govitecan in patients with metastatic urothelial carcinoma progressing after platinum-based chemotherapy and checkpoint inhibitors[J].J Clin Oncol,2021,39(22): 2474-2485. DOI:10.1200/JCO.20.03489. |
| [1] | 潘书兰, 刘畅, 贺平.福瑞替尼对三阴性乳腺癌血管生成、肿瘤生长及IRE1-ASK1-JNK通路的影响[J]. 国际肿瘤学杂志, 2023, 50(8): 457-462. |
| [2] | 李彬, 张桂芳, 周林静, 杨小冬, 何秋立, 贾思思, 黄普超, 梁嘉欣.三阴性乳腺癌中PIK3CA基因状态与临床特征及预后的关系[J]. 国际肿瘤学杂志, 2023, 50(5): 263-267. |
| [3] | 谢露露, 丁江华.免疫治疗在晚期三阴性乳腺癌中的应用进展[J]. 国际肿瘤学杂志, 2023, 50(11): 672-676. |
| [4] | 吴家宜, 陈柯羽, 邵喜英, 王晓稼.CDK4/6抑制剂通过调控三阴性乳腺癌免疫微环境促进抗肿瘤免疫的机制研究进展[J]. 国际肿瘤学杂志, 2022, 49(6): 362-365. |
| [5] | 王孟超, 陈立伟, 孔凡铭.戈沙妥珠单抗治疗三阴性乳腺癌的研究进展[J]. 国际肿瘤学杂志, 2022, 49(10): 619-622. |
| [6] | 王佳荔.分子分型与基因组分析推动难治性转移性三阴性乳腺癌的精准治疗:FUTURE试验[J]. 国际肿瘤学杂志, 2021, 48(11): 698-701. |
| [7] | 李开春, 王雅杰.转移性三阴性乳腺癌临床研究现状[J]. 国际肿瘤学杂志, 2020, 47(3): 169-173. |
| [8] | 亢野,李建一,杨向红.三阴性乳腺癌干细胞研究进展[J]. 国际肿瘤学杂志, 2019, 46(6): 362-365. |
| 阅读次数 | ||||||
| 全文 |
|
|||||
| 摘要 |
|
|||||
