国际肿瘤学杂志››2023,Vol. 50››Issue (7): 413-418.doi:10.3760/cma.j.cn371439-20230227-00080

• 论著 •上一篇下一篇

Bcl-2 BH4选择性抑制剂BDA-366抑制NK/T细胞淋巴瘤细胞的机制研究

吴佳丽, 张佳慧, 张萍, 肖昕悦, 李睿, 张红宇()

  1. 北京大学深圳医院血液科,深圳 518034
  • 收稿日期:2023-02-27修回日期:2023-05-04出版日期:2023-07-08发布日期:2023-08-03
  • 通讯作者:张红宇,Email: zyiqu@outlook.com
  • 基金资助:
    国家自然科学基金(82170191)

Mechanism of Bcl-2 BH4 selective inhibitor BDA-366 on NK/T cell lymphoma cells

Wu Jiali, Zhang Jiahui, Zhang Ping, Xiao Xinyue, Li Rui, Zhang Hongyu()

  1. Department of Hematology,Peking University Shenzhen Hospital,Shenzhen 518034,China
  • Received:2023-02-27Revised:2023-05-04Online:2023-07-08Published:2023-08-03
  • Contact:Zhang Hongyu,Email: zyiqu@outlook.com
  • Supported by:
    National Natural Science Foundation of China(82170191)

摘要:

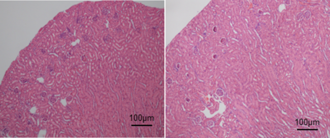
目的研究Bcl-2 BH4选择性抑制剂BDA-366对NK/T细胞淋巴瘤(NK/TCL)的抑制作用和杀伤机制。方法用0、0.05、0.10、0.20、0.30、0.40、0.50 μmol/L的BDA-366处理人NK白血病细胞株YT和人NK/TCL细胞株NK92,使用CCK-8法计算BDA-366对细胞的半抑制浓度(IC50)值;流式细胞术检测对照组和IC50浓度BDA-366处理组细胞凋亡水平;蛋白质印迹法检测对照组、1/2 IC50、IC50、2倍IC50浓度BDA-366处理组细胞凋亡相关蛋白表达水平;TMRE和Fluo-3荧光探针法检测对照组和IC50浓度BDA-366处理组细胞线粒体膜电位,以及对照组、IC50、2倍IC50浓度BDA-366处理组细胞内Ca2+浓度;对对照组和10 mg/kg BDA-366腹腔注射组NOD-SCID小鼠进行称重和小鼠组织HE染色,以评估BDA-366是否具有体内毒性。结果BDA-366对于YT和NK92细胞株的IC50分别为0.065、0.086 μmol/L。流式细胞术结果显示,对照组和0.065 μmol/L BDA-366组YT细胞凋亡率分别为(6.62±1.59)%、(34.60±3.06)%,对照组和0.086 μmol/L BDA-366组NK92细胞凋亡率分别为(5.57±0.88)%、(29.18±0.90)%,差异均具有统计学意义(t=14.05,P<0.001;t=32.58,P<0.001)。对照组、0.043、0.086、0.172 μmol/L BDA-366组NK92细胞Bax相对表达量分别为0.85±0.00、1.26±0.04、1.51±0.18、1.15±0.10(F=20.70,P<0.001),各BDA-366处理组Bax相对表达量均高于对照组(均P<0.05)。对照组和0.065 μmol/L BDA-366组YT细胞TMRE荧光强度分别为8 372.00±330.47、6 419.67±311.34,对照组和0.086 μmol/L BDA-366组NK92细胞TMRE荧光强度分别为9 169.00±535.72、7 311.67±295.52,差异均具有统计学意义(t=7.45,P=0.002;t=5.26,P=0.006)。在YT细胞中,0.065、0.130 μmol/L BDA-366组细胞内Ca2+浓度均高于对照组(5 791.67±220.45、6 729.33±585.39、4 874.67±112.61,F=19.16,P=0.003)(P=0.039;P=0.002);在NK92细胞中,0.086、0.172 μmol/L BDA-366组细胞内Ca2+浓度均高于对照组(4 553.67±17.62、4 740.33±254.50、4 185.67±17.67,F=10.96,P=0.010)(P=0.039;P=0.007)。BDA-366组和对照组小鼠第12天相对于第0天体重变化差异无统计学意义[(3.18±0.01)g比(2.73±0.58)g,t=0.60,P=0.570],HE染色结果未见BDA-366组小鼠心、肝、脾、肺、肾形态异常。结论BDA-366在体外可促进NK/TCL细胞发生凋亡,在体内不引起小鼠体重减轻和器官HE染色形态改变。BDA-366对NK/TCL细胞的抑制作用可能是通过提高Bax表达、诱导Ca2+释放和降低线粒体膜电位实现的。

关键词:原癌基因蛋白质c-bcl-2,细胞凋亡

Abstract:

ObjectiveTo investigate the inhibitory effect and killing mechanism of Bcl-2 BH4 selective inhibitor BDA-366 on NK/T cell lymphoma (NK/TCL).MethodsHuman NK cell leukemia cell line YT and human NK/TCL cell line NK92 cells were treated with 0,0.05,0.10,0.20,0.30,0.40,0.50 μmol/L BDA-366. CCK-8 assay was used to calculate the half inhibitory concentration (IC50) value of BDA-366 on these cells. The apoptosis levels of cells in control group and IC50BDA-366 treated group were detected by flow cytometry. Western blotting was used to detect the expression levels of apoptosis-related proteins in cells of control group and 1/2 IC50,IC50,2× IC50BDA-366 treated groups. TMRE and Fluo-3 fluorescent probe were used to detect mitochondrial membrane potential of control group and IC50BDA-366 treated group,and the intracellular Ca2+concentration of control group,IC50,2× IC50BDA-366 treated groups. NOD-SCID mice in control group and 10 mg/kg BDA-366 intraperitoneal injection group were weighed and HE staining was performed to evaluate the toxicity of BDA-366in vivo.ResultsThe IC50of BDA-366 for YT and NK92 cells were 0.065 and 0.086 μmol/L respectively. The apoptosis rates of YT cells in the control group and 0.065 μmol/L BDA-366 group were (6.62±1.59) % and (34.60±3.06) % respectively. The apoptosis rates of NK92 cells in the control group and 0.086 μmol/L BDA-366 group were (5.57±0.88) % and (29.18±0.90) % respectively,both with statistically significant differences (t=14.05,P<0.001;t=32.58,P<0.001). The relative expression of Bax in NK92 cells of the control group,0.043,0.086 and 0.172 μmol/L BDA-366 groups were 0.85±0.00,1.26±0.04,1.51±0.18,1.15±0.10 (F=20.70,P<0.001),the relative expression of Bax in BDA-366 groups were higher than that in the control group (allP<0.05). The fluorescence intensity of TMRE of YT cells in the control group and 0.065 μmol/L BDA-366 group were 8 372.00±330.47 and 6 419.67±311.34,and that of NK92 cells in the control group and 0.086 μmol/L BDA-366 group were 9 169.00±535.72 and 7 311.67±295.52 respectively,and there were statistically significant differences (t=7.45,P=0.002;t=5.26,P=0.006). In YT cells,the intracellular Ca2+concentrations of 0.065 and 0.130 μmol/L BDA-366 groups were significantly higher than that of the control group (5 791.67±220.45,6 729.33±585.39,4 874.67±112.61,F=19.16,P=0.003) (P=0.039;P=0.002). In NK92 cells,the intracellular Ca2+concentrations of 0.086 and 0.172 μmol/L BDA-366 groups were significantly higher than that of the control group (4 553.67±17.62,4 740.33±254.50,4 185.67±17.67,F=10.96,P=0.010) (P=0.039;P=0.007). There was no statistically significant difference in body weight change on day 12 compared with day 0 of NOD-SCID mice between BDA-366 group and control group [(3.18±0.01) gvs.(2.73±0.58) g,t=0.60,P=0.570],and HE staining showed no abnormal morphology of heart,liver,spleen,lung and kidney in BDA-366 group.ConclusionBDA-366 promotes NK/TCL cells apoptosisin vitro,but does not cause weight loss and morphological changes of organs by HE stainingin vivo. The inhibitory effect of BDA-366 on NK/TCL cells may be achieved by increasing Bax expression,inducing Ca2+release and reducing mitochondrial membrane potential.

Key words:Proto-oncogene proteins c-bcl-2,Apoptosis

Baidu
map