国际肿瘤学杂志››2022,Vol. 49››Issue (8): 453-458.doi:10.3760/cma.j.cn371439-20220305-00088

• 论著 •上一篇下一篇

丙泊酚对前列腺癌DU145细胞恶性生物学行为的影响及其机制

金明1, 甄书青2(), 王彦巧1, 申红霞3, 张爱民1, 回丽妹4

  1. 1河北工程大学附属医院麻醉科,邯郸 056000
    2邯郸市中心医院麻醉科,邯郸 056000
    3河北工程大学附属医院内分泌科,邯郸 056000
    4河北工程大学附属医院产科,邯郸 056000
  • 收稿日期:2022-03-05修回日期:2022-07-05出版日期:2022-08-08发布日期:2022-09-21
  • 通讯作者:甄书青 E-mail:zhenshuqing817@163.com

Effects of propofol on malignant biological behaviors of prostate cancer DU145 cells and its mechanism

Jin Ming1, Zhen Shuqing2(), Wang Yanqiao1, Shen Hongxia3, Zhang Aimin1, Hui Limei4

  1. 1Department of Anesthesiology, Affiliated Hospital of Hebei University of Engineering, Handan 056000, China
    2Department of Anesthesiology, Handan Central Hospital, Handan 056000, China
    3Department of Endocrinology, Affiliated Hospital of Hebei University of Engineering, Handan 056000, China
    4Department of Obstetrics, Affiliated Hospital of Hebei University of Engineering, Handan 056000, China
  • Received:2022-03-05Revised:2022-07-05Online:2022-08-08Published:2022-09-21
  • Contact:Zhen Shuqing E-mail:zhenshuqing817@163.com

摘要:

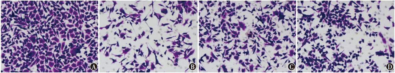
目的探讨丙泊酚对前列腺癌DU145细胞恶性生物学行为的影响及其可能机制。方法设对照组、5-氟尿嘧啶组(200 ng/ml)、丙泊酚低剂量组(100 ng/ml)、丙泊酚高剂量组(400 ng/ml)。采用CCK-8试剂盒测定细胞增殖水平,Transwell法测定细胞侵袭与迁移能力,流式细胞仪测定细胞凋亡水平,qRT-PCR法及蛋白质印迹法测定肝细胞生长因子(HGF)、c-Met mRNA与蛋白水平。结果对照组、5-氟尿嘧啶组、丙泊酚低剂量组、丙泊酚高剂量组细胞存活率分别为(83.32±3.02)%、(36.29±3.54)%、(62.01±4.69)%、(40.20±5.48)%(F=8.65,P=0.006);凋亡率分别为(2.36±0.41)%、(12.47±0.40)%、(6.28±0.39)%、(10.24±0.37)%(F=26.73,P=0.001),进一步两两比较,差异均具有统计学意义(均P<0.05)。4组穿膜数分别为(617.45±29.86)个、(125.27±24.38)个、(407.02±32.27)个、(230.74±31.59)个(F=18.33,P=0.002);迁移距离分别为(603.85±27.74) μm、(121.69±25.85) μm、(395.59±28.37) μm、(233.52±30.42) μm(F=27.02,P=0.001),进一步两两比较,差异均具有统计学意义(均P<0.05)。4组HGF mRNA表达水平分别为6.26±0.39、1.94±0.35、4.15±0.37、2.90±0.33(F=25.31,P=0.001);c-Met mRNA分别为5.85±0.30、2.04±0.32、3.89±0.31、2.94±0.32(F=12.12,P=0.003);HGF蛋白表达水平分别为1.43±0.04、0.34±0.08、0.86±0.06、0.63±0.09(F=17.02,P=0.001);c-Met蛋白分别为1.63±0.14、0.39±0.15、0.93±0.11、0.64±0.17(F=19.89,P=0.001),进一步两两比较,差异均具有统计学意义(均P<0.05)。结论丙泊酚对前列腺癌DU145细胞恶性生物学行为具有抑制作用,且高剂量丙泊酚的抑制作用更明显,其机制可能与丙泊酚抑制DU145细胞HGF、c-Met mRNA与蛋白表达进而抑制HGF/c-Met通路的激活有关。

关键词:前列腺肿瘤,丙泊酚,c-Met,恶性生物学行为

Abstract:

ObjectiveTo investigate the effects of propofol on malignant biological behaviors of prostate cancer DU145 cells and its possible mechanism.MethodsControl group, 5-fluorouracil group (200 ng/ml), low-dose propofol group (100 ng/ml) and high-dose propofol group (400 ng/ml) were set up. CCK-8 kit was used to measure the level of cell proliferation, Transwell method was used to measure the abilities of cell invasion and migration, flow cytometry was used to measure the level of apoptosis, and qRT-PCR and Western blotting were used to measure hepatocyte growth factor (HGF) and c-Met mRNA and protein levels.ResultsThe survival rates of the control group, 5-fluorouracil group, low-dose propofol group and high-dose propofol group were (83.32±3.02)%, (36.29±3.54)%, (62.01±4.69)% and (40.20±5.48)% (F=8.65,P=0.006); the apoptosis rates were (2.36±0.41)%, (12.47±0.40)%, (6.28±0.39)% and (10.24±0.37)% (F=26.73,P=0.001). Further pairwise comparison showed that there were statistically significant differences (allP<0.05). The numbers of penetrating membranes of the four groups were 617.45±29.86, 125.27±24.38, 407.02±32.27 and 230.74±31.59 (F=18.33,P=0.002); the migration distances were (603.85±27.74) μm, (121.69±25.85) μm, (395.59±28.37) μm and (233.52±30.42) μm (F=27.02,P=0.001). Further pairwise comparison showed that there were statistically significant differences (allP<0.05). HGF mRNA expression levels of the four groups were 6.26±0.39, 1.94±0.35, 4.15±0.37 and 2.90±0.33 (F=25.31,P=0.001); c-Met mRNA expression levels were 5.85±0.30, 2.04±0.32, 3.89±0.31 and 2.94±0.32 (F=12.12,P=0.003); HGF protein expression levels were 1.43±0.04, 0.34±0.08, 0.86±0.06 and 0.63±0.09 (F=17.02,P=0.001); c-Met protein expression levels were 1.63±0.14, 0.39±0.15, 0.93±0.11 and 0.64±0.17 (F=19.89,P=0.001). Further pairwise comparison showed that there were statistically significant differences (allP<0.05).ConclusionPropofol has obvious inhibitory effects on the malignant biological behaviors of prostate cancer DU145 cells, and the inhibitory effect of high-dose propofol is more obvious. The mechanism may be related to the inhibition of HGF and c-Met mRNA and protein expressions of DU145 cells by propofol, which inhibits the activation of HGF/c-Met pathway.

Key words:Prostate neoplasms,Propofol,c-Met,Malignant biological behaviors

Baidu
map