


国际肿瘤学杂志››2022,Vol. 49››Issue (5): 316-318.doi:10.3760/cma.j.cn371439-20210604-00059
收稿日期:2021-06-04修回日期:2021-11-03出版日期:2022-05-08发布日期:2022-05-31通讯作者:王大广 E-mail:dgwang@jlu.edu.cn
Received:2021-06-04Revised:2021-11-03Online:2022-05-08Published:2022-05-31摘要:
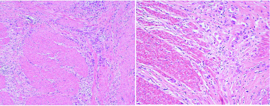
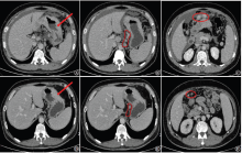
近年来,胃癌的转化治疗作为一种新的治疗策略受到了广泛关注,转化治疗利用放疗、化疗、靶向治疗等综合治疗手段,使初始不可切除的肿瘤转化为可根治性切除的肿瘤,从而延长患者的生存期,并提高其生命质量。现报道1例腹膜转移的Ⅳ期胃癌患者,经术前3个周期转化治疗后,影像学评估为部分缓解,腹腔镜探查腹腔未见转移病灶,行腹腔镜下根治性全胃切除术。术后患者接受了4次系统的SOX化疗(奥沙利铂+替吉奥),随访1年,未见复发。
张绍鹏, 孔远, 潘国强, 朱丽, 王大广. 全身化疗联合腹腔热灌注治疗胃癌1例[J]. 国际肿瘤学杂志, 2022, 49(5): 316-318.
| [1] | Izuishi K, Mori H. Recent strategies for treating stage Ⅳ gastric cancer: roles of palliative gastrectomy, chemotherapy, and radiotherapy[J]. J Gastrointestin Liver Dis, 2016, 25(1): 87-94. DOI: 10.15403/jgld.2014.1121.251.rv2. doi:10.15403/jgld.2014.1121.251.rv2 |
| [2] | Wang T, Wang N, Ren H, et al. Long-term results of conversion therapy for initially unresectable gastric cancer: analysis of 122 patients at the national cancer center in china[J]. J Cancer, 2019, 10(24): 5975-5985. DOI: 10.7150/jca.35527. doi:10.7150/jca.35527 |
| [3] | Yamaguchi K, Yoshida K, Tanahashi T, et al. The long-term survival of stage Ⅳ gastric cancer patients with conversion therapy[J]. Gastric Cancer, 2018, 21(2): 315-323. DOI: 10.1007/s10120-017-0738-1. doi:10.1007/s10120-017-0738-1pmid:28616743 |
| [4] | Sato Y, Sagawa T, Ohnuma H, et al. A dose-escalation study of docetaxel, oxaliplatin, and S-1 (DOS) as a first-line therapy for patients with unresectable metastatic gastric cancer[J]. Cancer Chemother Pharmacol, 2019, 83(1): 161-167. DOI: 10.1007/s00280-018-3719-0. doi:10.1007/s00280-018-3719-0 |
| [5] | Ramos MFKP, Pereira MA, Charruf AZ, et al. Conversion therapy for gastric cancer: expanding the treatment possibilities[J]. Arq Bras Cir Dig, 2019, 32(2): e1435. DOI: 10.1590/0102-672020190001e1435. doi:10.1590/0102-672020190001e1435 |
| [6] | Gong Y, Wang P, Zhu Z, et al. Benefits of surgery after neoadjuvant intraperitoneal and systemic chemotherapy for gastric cancer patients with peritoneal metastasis: a meta-analysis[J]. J Surg Res, 2020, 245: 234-243. DOI: 10.1016/j.jss.2019.07.044. doi:10.1016/j.jss.2019.07.044 |
| [7] | Cho H, Nakamura J, Asaumi Y, et al. Long-term survival outcomes of advanced gastric cancer patients who achieved a pathological complete response with neoadjuvant chemotherapy: a systematic review of the literature[J]. Ann Surg Oncol, 2015, 22(3): 787-792. DOI: 10.1245/s10434-014-4084-9. doi:10.1245/s10434-014-4084-9 |
| [8] | Sugawara N, Ota K, Terazawa T, et al. Endoscopic evaluation of neoadjuvant chemotherapeutic efficacy in gastric cancer before gastrectomy might be as useful as histological assessment after gastrectomy[J]. Digestion, 2020, 101(4): 466-472. DOI: 10.1159/000500907. doi:10.1159/000500907pmid:31256160 |
| [9] | Kurokawa Y, Shibata T, Sasako M, et al. Validity of response assessment criteria in neoadjuvant chemotherapy for gastric cancer (JCOG0507-A)[J]. Gastric Cancer, 2014, 17(3): 514-521. DOI: 10.1007/s10120-013-0294-2. doi:10.1007/s10120-013-0294-2 |
| [10] | Derieux S, Svrcek M, Manela S, et al. Evaluation of the prognostic impact of pathologic response to preoperative chemotherapy using Mandard’s Tumor Regression Grade (TRG) in gastric adenocarcinoma[J]. Dig Liver Dis, 2020, 52(1): 107-114. DOI: 10.1016/j.dld.2019.07.010. doi:10.1016/j.dld.2019.07.010 |
| [11] | Qin R, Yang Y, Chen H, et al. Prediction of neoadjuvant chemotherapeutic efficacy in patients with locally advanced gastric cancer by serum IgG glycomics profiling[J]. Clin Proteomics, 2020, 17: 4. DOI: 10.1186/s12014-020-9267-8. doi:10.1186/s12014-020-9267-8 |
| [12] | Thomassen I, van Gestel YR, van Ramshorst B, et al. Peritoneal carcinomatosis of gastric origin: a population-based study on incidence, survival and risk factors[J]. Int J Cancer, 2014, 134(3): 622-628. DOI: 10.1002/ijc.28373. doi:10.1002/ijc.28373pmid:23832847 |
| [13] | Badgwell B, Ikoma N, Murphy MB, et al. A phase Ⅱ trial of cytoreduction, gastrectomy, and hyperthermic intraperitoneal perfusion with chemotherapy for patients with gastric cancer and carcinomatosis or positive cytology[J]. Ann Surg Oncol, 2021, 28(1): 258-264. DOI: 10.1245/s10434-020-08739-5. doi:10.1245/s10434-020-08739-5 |
| [14] | Badgwell B, Blum M, Das P, et al. Phase Ⅱ trial of laparoscopic hyperthermic intraperitoneal chemoperfusion for peritoneal carcinomatosis or positive peritoneal cytology in patients with gastric adenocarcinoma[J]. Ann Surg Oncol, 2017, 24(11): 3338-3344. DOI: 10.1245/s10434-017-6047-4. doi:10.1245/s10434-017-6047-4pmid:28799004 |
| [15] | Desiderio J, Chao J, Melstrom L, et al. The 30-year experience-a meta-analysis of randomised and high-quality non-randomised stu-dies of hyperthermic intraperitoneal chemotherapy in the treatment of gastric cancer[J]. Eur J Cancer, 2017, 79: 1-14. DOI: 10.1016/j.ejca.2017.03.030. doi:S0959-8049(17)30868-7pmid:28456089 |
| [1] | 袁健, 黄燕华.Hp-IgG抗体联合血清DKK1、sB7-H3对早期胃癌的诊断价值[J]. 国际肿瘤学杂志, 2024, 51(6): 338-343. |
| [2] | 王盈, 刘楠, 郭兵.抗体药物偶联物在转移性乳腺癌治疗中的研究进展[J]. 国际肿瘤学杂志, 2024, 51(6): 364-369. |
| [3] | 高凡, 王萍, 杜超, 褚衍六.肠道菌群与结直肠癌非手术治疗的相关研究进展[J]. 国际肿瘤学杂志, 2024, 51(6): 376-381. |
| [4] | 杨琳, 路宁, 温华, 张明鑫, 朱琳.炎症负荷指数与胃癌临床关系研究[J]. 国际肿瘤学杂志, 2024, 51(5): 274-279. |
| [5] | 解淑萍, 孙亚红, 汪超.早期肿瘤标志物联合NLR、PLR预测胃癌免疫治疗疗效[J]. 国际肿瘤学杂志, 2024, 51(3): 157-165. |
| [6] | 李书月, 马辰莺, 周菊英, 徐晓婷, 秦颂兵.寡转移非小细胞肺癌的放疗进展[J]. 国际肿瘤学杂志, 2024, 51(3): 170-174. |
| [7] | 刘玉兰, 井海燕, 孙静, 宋伟, 沙丹.胃癌免疫治疗疗效预测及预后标志物的研究进展[J]. 国际肿瘤学杂志, 2024, 51(3): 175-180. |
| [8] | 孙国宝, 杨倩, 庄庆春, 高斌斌, 孙晓刚, 宋伟, 沙丹.结直肠癌肝转移组织病理学生长方式研究进展[J]. 国际肿瘤学杂志, 2024, 51(2): 114-118. |
| [9] | 金旭东, 陈忠坚, 毛伟敏.MTAP基因在恶性间皮瘤中的研究进展[J]. 国际肿瘤学杂志, 2024, 51(2): 99-104. |
| [10] | 张露, 蒋华, 林州, 马辰莺, 徐晓婷, 王利利, 周菊英.免疫检查点抑制剂治疗复发转移性宫颈癌的疗效及预后分析[J]. 国际肿瘤学杂志, 2023, 50(8): 475-483. |
| [11] | 邵慧芳, 王学红, 芦永福.CST1在胃癌进展中的作用机制及临床意义[J]. 国际肿瘤学杂志, 2023, 50(8): 489-492. |
| [12] | 朱思雨, 王学红, 李文茜, 刘曙.胃癌患者血清FABP1水平及其与幽门螺杆菌感染的关系[J]. 国际肿瘤学杂志, 2023, 50(6): 336-341. |
| [13] | 李晨曦, 赵宏伟.二次肿瘤细胞减灭术治疗初始减瘤手术不满意铂敏感复发性卵巢癌的预后及影响因素分析[J]. 国际肿瘤学杂志, 2023, 50(6): 342-347. |
| [14] | 李青珊, 谢鑫, 张楠, 刘帅.放疗联合系统治疗在乳腺癌中的应用进展[J]. 国际肿瘤学杂志, 2023, 50(6): 362-367. |
| [15] | 杨娅, 王慧礼, 刘艳, 郭金凤, 王春霞, 吕敏, 山长平.GCSH基因在胃癌SNU-1细胞增殖和凋亡中的作用研究[J]. 国际肿瘤学杂志, 2023, 50(5): 257-262. |
| 阅读次数 | ||||||
| 全文 |
|
|||||
| 摘要 |
|
|||||
