


国际肿瘤学杂志››2020,Vol. 47››Issue (8): 480-486.doi:10.3760/cma.j.cn371439-20190923-00061
收稿日期:2019-09-23修回日期:2020-03-10出版日期:2020-08-08发布日期:2020-10-22通讯作者:艾美梅 E-mail:669255069@qq.comWang Jiali1, Han Dong2, Chen Ying1, Zhang Yamin1, Ai Meimei3(
)
Received:2019-09-23Revised:2020-03-10Online:2020-08-08Published:2020-10-22Contact:Ai Meimei E-mail:669255069@qq.com摘要:
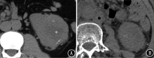
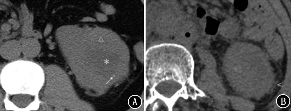
目的探讨肾透明细胞癌(ccRCC)患者术前CT征象影响总生存期的独立危险因素并绘制列线图。方法回顾性分析空军军医大学第一附属医院2011年10月至2015年12月术前行CT扫描并最终经病理学证实的ccRCC患者238例。由两名影像科医生对每例患者的CT征象进行评价,并收集患者的一般资料、肾功能检查以及世界卫生组织/国际泌尿病理协会(WHO/ISUP)分级。绘制Kaplan-Meier生存曲线,采用log-rank检验比较生存率。采用Cox比例风险回归进行单变量和多变量分析,并根据多变量分析结果绘制列线图,采用Bootstrap 1000法内部验证后计算C-指数。结果238例患者 经3~74个月随访后,死亡组32例,截尾组206例。死亡组患者的肿瘤直径为(65.70±27.29)mm,大于截尾组的(46.25±26.16)mm,差异有统计学意义(t=-3.889,P<0.001)。死亡组患者肿瘤坏死(χ2=45.716,P<0.001)、区域淋巴结肿大(χ2=43.342,P<0.001)、肾周脂肪侵犯(χ2=19.324,P<0.001)的发生率均高于截尾组患者。不同肿瘤直径的ccRCC患者其生存率差异有统计学意义(χ2=17.108,P<0.001)。肿瘤组织出现坏死患者的生存率较无坏死患者低(χ2=48.195,P<0.001);区域淋巴结肿大患者的生存率低于无区域淋巴结肿大的患者(χ2=47.232,P<0.001);出现肾周脂肪侵犯患者的生存率低于未侵犯的患者(χ2=19.964,P<0.001)。不同WHO/ISUP分级ccRCC患者的生存率差异有统计学意义(χ2=27.765,P<0.001)。多变量Cox比例风险回归分析结果显示,CT征象中的肿瘤直径(HR=2.90,95%CI为1.37~6.14,P=0.006)、坏死(HR=8.88,95%CI为3.33~23.69,P<0.001)及区域淋巴结肿大(HR=4.48,95%CI为2.04~9.86,P<0.001)是ccRCC患者死亡的独立危险因素。列线图的C-指数为0.870。结论术前CT征象与ccRCC患者的生存率存在相关性,其中肿瘤直径、肿瘤出现坏死以及区域淋巴结肿大是其死亡的独立危险因素,其列线图具有较高的准确性。
王佳丽, 韩冬, 陈英, 张亚敏, 艾美梅. 基于术前CT征象构建肾透明细胞癌患者总生存期的列线图[J]. 国际肿瘤学杂志, 2020, 47(8): 480-486.
Wang Jiali, Han Dong, Chen Ying, Zhang Yamin, Ai Meimei. Construction of a nomogram of overall survival of patients with clear cell renal cell carcinoma based on preoperative CT findings[J]. Journal of International Oncology, 2020, 47(8): 480-486.
表1
两组ccRCC患者的一般资料和实验室检查结果比较($\bar{x}±s$/例)"
| 参数 | 截尾组 (n=206) |
死亡组 (n=32) |
t/χ2值 | P值 |
|---|---|---|---|---|
| 年龄(岁) | 52.08±12.49 | 54.50±14.17 | -1.000 | 0.318 |
| 性别 | ||||
| 女 | 61 | 9 | 0.029 | 0.864 |
| 男 | 145 | 23 | ||
| 肉眼血尿 | ||||
| 无 | 178 | 27 | 0.001 | 0.972 |
| 有 | 28 | 5 | ||
| 胁腹部疼痛 | ||||
| 无 | 153 | 23 | 0.083 | 0.774 |
| 有 | 53 | 9 | ||
| 腹部肿块 | ||||
| 无 | 180 | 30 | 0.556 | 0.456 |
| 有 | 26 | 2 | ||
| 实验室检查 | ||||
| 胱抑素C(mg/L) | 1.03±0.28 | 1.20±0.28 | -3.269 | 0.001 |
| 血肌酐(μmol/L) | 77.32±21.45 | 77.41±24.86 | -0.020 | 0.984 |
| 尿酸(μmol/L) | 364.31±93.93 | 339.84±116.75 | 1.324 | 0.187 |
| WHO/ISUP分级 | ||||
| Ⅰ级 | 47 | 2 | ||
| Ⅱ级 | 130 | 15 | 24.806 | <0.001 |
| Ⅲ级 | 26 | 11 | ||
| Ⅳ级 | 3 | 4 |
表2
两组ccRCC患者的影像学征象比较($\bar{x}±s$/例)"
| 影像学征象 | 截尾组 (n=206) |
死亡组 (n=32) |
t/χ2值 | P值 |
|---|---|---|---|---|
| 肿瘤直径(mm) | 46.25±26.16 | 65.70±27.29 | -3.889 | <0.001 |
| 位置 | ||||
| 左侧 | 100 | 13 | 0.696 | 0.404 |
| 右侧 | 106 | 19 | ||
| 相对密度 | ||||
| 低密度 | 66 | 8 | ||
| 等密度 | 107 | 16 | 1.758 | 0.415 |
| 高密度 | 33 | 8 | ||
| 坏死 | ||||
| 无 | 156 | 5 | 45.716 | <0.001 |
| 有 | 50 | 27 | ||
| 钙化 | ||||
| 无 | 175 | 25 | 0.962 | 0.327 |
| 有 | 31 | 7 | ||
| 区域淋巴结肿大 | ||||
| 无 | 173 | 10 | 43.342 | <0.001 |
| 有 | 33 | 22 | ||
| 肾周脂肪侵犯 | ||||
| 无 | 141 | 9 | 19.324 | <0.001 |
| 有 | 65 | 23 |
表3
238例ccRCC患者预后影响因素的单变量Cox比例风险回归分析结果"
| 参数 | HR值 | 95%CI | P值 |
|---|---|---|---|
| 年龄 | 1.02 | 0.99~1.05 | 0.270 |
| 性别 | 1.09 | 0.50~2.35 | 0.833 |
| 肉眼血尿 | 1.25 | 0.48~3.26 | 0.642 |
| 胁腹部疼痛 | 1.14 | 0.52~2.45 | 0.749 |
| 腹部肿块 | 0.49 | 0.12~2.04 | 0.324 |
| 胱抑素C | 3.62 | 1.64~7.96 | 0.001 |
| 血肌酐 | 1.00 | 0.98~1.02 | 0.936 |
| 尿酸 | 1.00 | 0.99~1.00 | 0.211 |
| WHO/ISUP分级 | |||
| Ⅰ级 | 参考 | <0.001 | |
| Ⅱ级 | 2.70 | 0.62~11.81 | 0.188 |
| Ⅲ级 | 9.06 | 2.00~41.00 | 0.004 |
| Ⅳ级 | 17.81 | 3.26~97.44 | 0.001 |
| 肿瘤直径(≥57.9 mm) | 4.13 | 1.99~8.57 | <0.001 |
| 位置 | 1.34 | 0.66~2.71 | 0.422 |
| 相对密度 | |||
| 低密度 | 参考 | 0.402 | |
| 等密度 | 1.19 | 0.51~2.78 | 0.692 |
| 高密度 | 1.90 | 0.71~5.06 | 0.200 |
| 坏死 | 12.39 | 5.15~34.79 | <0.001 |
| 钙化 | 1.50 | 0.65~3.47 | 0.344 |
| 区域淋巴结肿大 | 8.79 | 4.16~18.57 | <0.001 |
| 肾周脂肪侵犯 | 4.89 | 2.26~10.58 | <0.001 |
| [1] | 黄毅, 阴雷, 黄海, 等. 128例20~40岁肾细胞癌患者的临床病理特征及预后分析[J]. 中华泌尿外科杂志, 2014,35(10):731-733. DOI: 10.3760/cma.j.issn.1000-6702.2014.10.003. |
| [2] | Keegan KA, Schupp CW, Chamie K, et al. Histopathology of surgically treated renal cell carcinoma: survival differences by subtype and stage[J]. J Urol, 2012,188(2):391-397. DOI: 10.1016/j.juro.2012.04.006. doi:10.1016/j.juro.2012.04.006pmid:22698625 |
| [3] | Cumberbatch MG, Rota M, Catto JW, et al. The role of tobacco smoke in bladder and kidney carcinogenesis: a comparison of exposures and meta-analysis of incidence and mortality risks[J]. Eur Urol, 2016,70(3):458-466. DOI: 10.1016/j.eururo.2015.06.042. doi:10.1016/j.eururo.2015.06.042pmid:26149669 |
| [4] | Pedrosa I, Sun MR, Spencer M, et al. MR imaging of renal masses: correlation with findings at surgery and pathologic analysis[J]. Radiographics, 2008,28(4):985-1003. DOI: 10.1148/rg.284065018. |
| [5] | Hötker AM, Karlo CA, Zheng J, et al. Clear cell renal cell carcinoma: associations between CT features and patient survival[J]. AJR Am J Roentgenol, 2016,206(5):1023-1030. DOI: 10.2214/AJR.15.15369. doi:10.2214/AJR.15.15369 |
| [6] | 张进, 王共先, 郭剑明, 等. 肾细胞癌随访5年生存分析及预后相关因素的多中心研究[J]. 中华泌尿外科杂志, 2015,36(2):113-117. DOI: 10.3760/cma.j.issn.1000-6702.2015.02.009. |
| [7] | Nguyen MM, Gill IS. Effect of renal cancer size on the prevalence of metastasis at diagnosis and mortality[J]. J Urol, 2009,181(3):1020-1027. DOI: 10.1016/j.juro.2008.11.023. pmid:19150563 |
| [8] | 任金武, 马聪敏, 张立红, 等. 基于Logistic判别模型初步分析肾透明细胞癌CT征象与预后的关系[J]. 临床放射学杂志, 2018,37(5):789-792. DOI: 10.13437/j.cnki.jcr.2018.05.018. |
| [9] | Chow WH, Shuch B, Linehan WM, et al. Racial disparity in renal cell carcinoma patient survival according to demographic and clinical characteristics[J]. Cancer, 2013,119(2):388-394. DOI: 10.1002/cncr.27690. pmid:23147245 |
| [10] | Ku JH, Moon KC, Kwak C, et al. External validation of an international multicenter study to predict survival in Korean patients with pT2N0M0 renal cell carcinoma[J]. Urology, 2009,74(2):359-363. DOI: 10.1016/j.urology.2009.02.037. pmid:19501879 |
| [11] | 文娟娟, 周晓军. 肾细胞癌预后的影响因素[J]. 中华病理学杂志, 2013,42(12):850-853. DOI: 10.3760/cma.j.issn.0529-5807.2013.12.019. |
| [12] | Phillips CK, Taneja SS. The role of lymphadenectomy in the surgical management of renal cell carcinoma[J]. Urol Oncol, 2004,22(3):214-224. DOI: 10.1016/j.urolonc.2004.04.028. |
| [13] | Patard JJ, Leray E, Rodriguez A, et al. Correlation between symptom graduation, tumor characteristics and survival in renal cell carcinoma[J]. Eur Urol, 2003,44(2):226-232. DOI: 10.1016/s0302-2838(03)00216-1. pmid:12875943 |
| [14] | Novara G, Ficarra V, Antonelli A, et al. Validation of the 2009 TNM version in a large multi-institutional cohort of patients treated for renal cell carcinoma: are further improvements needed?[J]. Eur Urol, 2010,58(4):588-595. DOI: 10.1016/j.eururo.2010.07.006. |
| [15] | Steffens S, Janssen M, Roos FC, et al. Incidence and long-term prognosis of papillary compared to clear cell renal cell carcinoma-a multicentre study[J]. Eur J Cancer, 2012,48(15):2347-2352. DOI: 10.1016/j.ejca.2012.05.002. |
| [16] | Oh S, Sung DJ, Yang KS, et al. Correlation of CT imaging features and tumor size with Fuhrman grade of clear cell renal cell carcinoma[J]. Acta Radiol, 2017,58(3):376-384. DOI: 10.1177/0284185116649795. doi:10.1177/0284185116649795pmid:27235451 |
| [17] | Delahunt B, Egevad L, Samaratunga H, et al. Gleason and Fuhrman no longer make the grade[J]. Histopathology, 2016,68(4):475-481. DOI: 10.1111/his.12803. doi:10.1111/his.12803pmid:26266664 |
| [18] | Lam JS, Shvarts O, Said JW, et al. Clinicopathologic and molecular correlations of necrosis in the primary tumor of patients with renal cell carcinoma[J]. Cancer, 2005,103(12):2517-2525. DOI: 10.1002/cncr.21127. doi:10.1002/cncr.21127pmid:15880379 |
| [19] | Sengupta S, Lohse CM, Leibovich BC, et al. Histologic coagulative tumor necrosis as a prognostic indicator of renal cell carcinoma aggressiveness[J]. Cancer, 2005,104(3):511-520. DOI: 10.1002/cncr.21206. doi:10.1002/cncr.21206pmid:15973740 |
| [20] | Khor LY, Dhakal HP, Jia X, et al. Tumor necrosis adds prognostically significant information to grade in clear cell renal cell carcinoma: a study of 842 consecutive cases from a single institution[J]. Am J Surg Pathol, 2016,40(9):1224-1231. DOI: 10.1097/PAS.0000000000000690. |
| [21] | Delahunt B, Cheville JC, Martignoni G, et al. The International Society of Urological Pathology (ISUP) grading system for renal cell carcinoma and other prognostic parameters[J]. Am J Surg Pathol, 2013,37(10):1490-1504. DOI: 10.1097/PAS.0b013e31-8299f0fb. pmid:24025520 |
| [22] | Rioux-Leclercq N, Karakiewicz PI, Trinh QD, et al. Prognostic ability of simplified nuclear grading of renal cell carcinoma[J]. Cancer, 2007,109(5):868-874. DOI: 10.1002/cncr.22463. doi:10.1002/cncr.22463pmid:17262800 |
| [1] | 陈秋, 王雷, 王明琦, 张梅.恩沃利单抗联合阿昔替尼治疗肾癌肺转移1例并文献复习[J]. 国际肿瘤学杂志, 2023, 50(7): 445-448. |
| [2] | 钱伟伟, 徐申, 孔琪.术前D二聚体在肾嗜酸细胞腺瘤和肾嫌色细胞癌中的鉴别诊断价值[J]. 国际肿瘤学杂志, 2023, 50(10): 614-617. |
| [3] | 吴光, 俞远东, 陈萍.甲磺酸阿帕替尼治疗转移性肾癌的临床观察[J]. 国际肿瘤学杂志, 2021, 48(11): 655-659. |
| [4] | 韩静, 袁帅, 蒲艳, 柳惠斌.基于生物信息学数据库分析肾透明细胞癌SKA1表达及临床意义[J]. 国际肿瘤学杂志, 2020, 47(10): 598-605. |
| [5] | 谌亮,彭敏,翁一鸣,宋启斌.肾透明细胞癌的治疗新策略:靶向代谢重编程[J]. 国际肿瘤学杂志, 2019, 46(7): 443-446. |
| [6] | 熊波波, 张劲松, 李宁, 王海峰, 左毅刚, 王剑松.晚期肾癌的分子靶向治疗[J]. 国际肿瘤学杂志, 2019, 46(12): 705-710. |
| [7] | 蔡梁, 沈亚丽. 立体定向体部放疗在晚期肾癌治疗中的应用[J]. 国际肿瘤学杂志, 2019, 46(10): 627-630. |
| [8] | 叶志华,黄耿,付金伦,桂定文.miR-1291通过调控锌指蛋白8基因的表达对肾癌细胞周期及增殖的影响[J]. 国际肿瘤学杂志, 2018, 45(3): 129-133. |
| [9] | 李金涛, 李金凤.基质金属蛋白酶-9及金属蛋白酶组织抑制剂-1在肾癌中的表达及临床意义[J]. 国际肿瘤学杂志, 2018, 45(2): 92-95. |
| [10] | 黄耿,姜卫东,毛青,桂定文.外源性dsRNA对肾透明细胞癌细胞中p21表达的影响[J]. 国际肿瘤学杂志, 2017, 44(7): 481-484. |
| [11] | 周启东,蒋光亮,徐可.糖皮质激素受体在泌尿系统恶性肿瘤中的研究进展[J]. 国际肿瘤学杂志, 2017, 44(6): 476-. |
| [12] | 姜小良, 罗旭, 刘如明.hepaCAM与多药耐药蛋白在肾癌中的表达及相互关系[J]. 国际肿瘤学杂志, 2016, 43(8): 584-587. |
| [13] | 代醒, 巴楠, 闫琳.舒尼替尼与索拉非尼一线治疗晚期肾细胞癌的对比研究[J]. 国际肿瘤学杂志, 2016, 43(1): 8-11. |
| [14] | 王鸿彪,李绪渊,林文照.转移性肾细胞癌的靶向治疗[J]. 国际肿瘤学杂志, 2014, 41(8): 672-674. |
| [15] | 蒋光亮,胡青峰,徐可.C-反应蛋白在肾癌预后评价中的意义[J]. 国际肿瘤学杂志, 2014, 41(5): 361-363. |
| 阅读次数 | ||||||
| 全文 |
|
|||||
| 摘要 |
|
|||||